Submit manuscript...
eISSN: 2574-9838

International Physical Medicine & Rehabilitation Journal

Research Article Volume 8 Issue 2

Combined neurological and cardiac rehabilitation:a tale of cardiac tumour operation during inpatient rehabilitation care

Abdulfattah Ismail,1 Millward Helen,1 Abbas Hala,1 Tariq Farheen,1 Edward McLaughlin2

1Inpatient Neurological rehabilitation Unit, Trafford General Hospital, Manchester, M41 5SL, UK
2Cardiac Surgery Department, Manchester Foundation NHS Trust, UK

Correspondence: Abdulfattah Ismail, Inpatient Neurological rehabilitation Unit, Trafford General Hospital, Manchester, M415SL, UK, Tel 07864551763

Received: June 27, 2023 | Published: August 25, 2023

Citation: Ismail A, Helen M, Hala A, et al. Combined neurological and cardiac rehabilitation: a tale of cardiac tumour operation during inpatient rehabilitation care. Int Phys Med Rehab J. 2023;8(2):177-178. DOI: 10.15406/ipmrj.2023.08.00356

Download PDF

Abstract

Purpose: To encourage screening for cardiac tumours in embolic stroke and improve awareness of cardiac papillary fibroelastoma (PEFs), its treatment and prognosis.

Materials and methods: We report the case of a 55 year old lady who was referred for neurological rehabilitation with a diagnosis of ischaemic stroke following right sided hemiparesis and dysarthria. Echocardiogram showed non valvular left atrial tumour. Histopathology confirmed the cardiac tumour to be a cardiac papillary fibroelastoma. Her neurological rehabilitation was recommenced afterwards along with her cardiac rehabilitation with improvement in ability to manage basic activities of daily living with adaptations.

Results: Transthoracic echocardiogram revealed ejection fraction of 55% and a bright mobile echogenic structure in the left atrium. Transoesophageal echocardiogram showed possible left atrial myxoma 1.3 cm x 0.96 cm. Surgical excision showed a friable and jelly like mass containing blood deposits. Histology showed papillary fibroelastoma of the left atrium.

Conclusion: Cardiac causes, including Papillary fibroelastomas should be considered whilst investigating patients for secondary causes of ischaemic strokes even when they have been transferred for their neurological rehabilitation phase of their care.

Keywords: cardiac tumour, ejection fraction, myxoma, papillary fibroelastoma

Abbreviations

PEFs, papillary fibroelastomas; EF, ejection fraction

Introduction

Cardiac tumours are well known secondary causes of embolic strokes and transient ischaemic attacks. They are sometimes missed without detailed investigations for secondary causes of strokes. Cardiac myomas are traditionally the most common cardiac tumours however papillary fibroelastomas (PEFs) are increasingly common. The common anatomical location of PEFs is on the aortic valve and non-valvular locations are relatively rare. We report a case of stroke secondary to non-valve related PEF.

Material and methods

Background

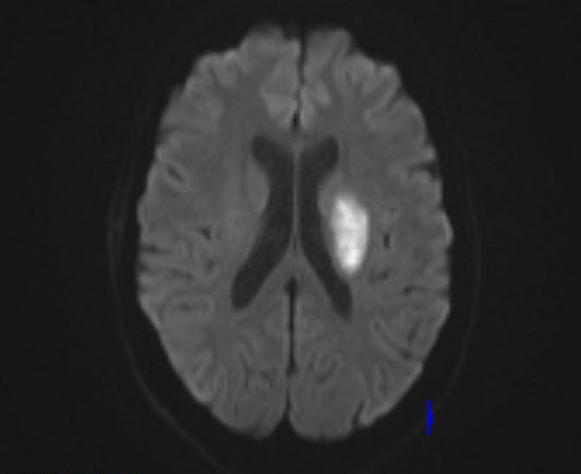
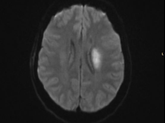
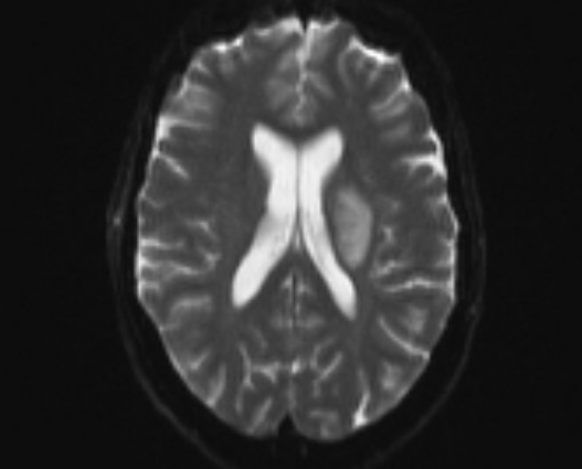
55-year-old female was admitted to our inpatient unit for neurological rehabilitation following stroke. Examination revealed right sided hemiparesis with power of 0/5 in upper limb and 2/5 in lower limb. Laboratory investigations were normal. Her lipid profile was raised. She also had an unremarkable 24-hour electrocardiogram and carotid Doppler. Brain Computed tomography and MRI scans showed left basal ganglia infarct. She was treated as an acute ischaemic stroke and commenced on rehabilitation. She was transferred to our unit to continue her neurological rehabilitation which was progressing slowly (Figure 1a –1c­­).

Figure 1a Magnetic resonance imaging showing left basal ganglia infarct.

Figure 1b Magnetic resonance imaging showing left basal ganglia infarct.

Figure 1c Magnetic resonance imaging showing area of left basal ganglia infarct.

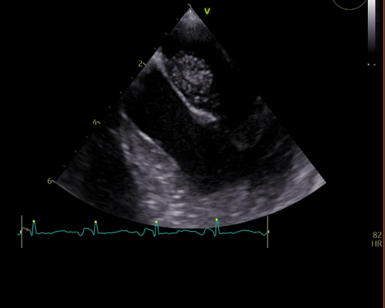
Inpatient evaluation: Transthoracic echocardiogram revealed ejection fraction (EF) of 55% and a bright mobile echogenic structure in the left atrium. Transoesophageal echocardiogram showed possible left atrial myxoma 1.3 cm x 0.96 cm. Multispecialty planning was initiated; cardiac surgeons offered her excision surgery to prevent further strokes (Figure 2a–2b­­).

Figure 2a Echocardiogram showing intra artrial mass.

Figure 2b Echocardiogram showing intra atrial mass separate from the valve.

Intraoperative findings: The lesion was located and excised full thickness from the base. It appeared friable and jelly like containing blood deposits.

Pathology: Papillary fibroelastoma of the left atrium was confirmed on histology. Postoperatively, EF was 50% and left atrium and valves were structurally normal; further neurological rehabilitation had to include cardiac and neurologic elements. Strategies such as grading and pacing out of exercises, avoidance of pressure on sternotomy site, careful selection of transfer methods and regular checking of cardiorespiratory parameters in therapy sessions were used.

Discussion

Papillary fibroelastomas (PFEs) are primary, histologically benign endocardial tumours. They are second most common primary cardiac tumours after cardiac myxoma. They are histologically categorised as benign tumours but with the potential for devastating consequences such as transient ischemic attack and stroke as in the case we reported. This can have lifechanging implications depending on neurological recovery which can vary from on patient to another. PFEs have been more recognition in recent years due to improved echocardiography technology and may be the most common benign primary cardiac tumour with a rate of 1 PFE per every 1,100 echocardiograms according to Tamin et al.,1 in terms of site, non-valvular PFEs are found to occur more in the left ventricle as opposed to the left atrium in this index case. More common sites are aortic valve in 44%, mitral valve in 35%, tricuspid valve in 15% and pulmonary valve in 8% of cases.2 In terms of clinical presentation, PFEs are clinically asymptomatic in 54% of cases, however in symptomatic individuals, the presentation can be non-specific leading to delayed diagnosis.3 Embolization is the most frequent symptomatic presentation of PFE as over 95% of PFEs are left sided. In our patient the PFE was left sided and led to stroke.3 The risk of stroke and TIAs from PFEs is estimated at 13.5% and 53.6% respectively.4 Embolization can lead to other complications such as occlusion of the coronary arteries, mesenteric vessels and limbs.3 There are no official echocardiographic diagnostic criteria for PFEs although diagnostic accuracy is more than 85%.5 In the index case, PFE was diagnosed initially as cardiac myxoma although confirmed as PFE on histology. Other imaging modalities include cardiac computed tomography and magnetic resonance imaging. The treatment of choice is surgical resection for all stable symptomatic patients as in this case.

Conclusion

Papillary fibroelastoma should be considered in investigating causes of ischaemic stroke. When identified, careful evaluation combined with cardiac and neurological treatment and rehabilitation under appropriate specialists is required.

Acknowledgments

None.

Conflicts of interest

None.

References

Creative Commons Attribution License

©2023 Ismail, et al. This is an open access article distributed under the terms of the, which permits unrestricted use, distribution, and build upon your work non-commercially.