Submit manuscript...
eISSN: 2574-9838

International Physical Medicine & Rehabilitation Journal

Case Report Volume 2 Issue 1

Complex regional pain syndrome type-1 after surgical treatment of preiser's disease: early response to rehabilitation combined with gabapentin

Ilker Ilhanli, Adem Turkoz, Elif Uysal, Canan Celik, Burcu Unlu, Fazil Kulakli

Department of Physical Medicine and Rehabilitation, Giresun University Medical Faculty, Turkey

Correspondence: Fazil Kulakli, Department of Physical Medicine and Rehabilitation, Giresun University Medical Faculty, Giresun, Turkey

Received: May 12, 2017 | Published: November 7, 2017

Citation: Ilhanli I, Turkoz A, Uysal E, et al. Complex regional pain syndrome type-1 after surgical treatment of preiser’s disease: early response to rehabilitation combined with gabapentin. Int Phys Med Rehab J. 2017;2(1):18 -20. DOI: 10.15406/ipmrj.2017.02.00040

Download PDF

Abstract

Preiser's1 Disease is the avascular necrosis of scaphoid bone and it is less common than other avascular necrosis. Treatment includes surgery and immobilization. Surgery and immobilization are risk factors for complex regional pain syndrome type 1. Here we presented a 23-year-old male patient who suffered from severe pain and limitation of wrist movement on the left hand after a surgical intervention for avascular necrosis. He was diagnosed as complex regional pain syndrome type-1 after surgical intervention for Preiser’s1 disease and early response to the treatment including gabapentin and rehabilitation. Adding gabapentin can shorten the time of response to the treatment in complex regional pain syndrome type-1. treated with medical therapy including calcium 1000 mg / day, cholecalciferol 800 IU / day, naproxen sodium 750 mg / day and gabapentin 1800 mg / day, and physical therapy including TENS, contrast bath, electrical stimulation and rehabilitation.

Keywords: preiser's disease, complex regional pain syndrome type-1, gabapentin, rehabilitation

Background

Preiser's1 Disease is the vascular necrosis of scaphoid bone and it is less common than other a vascular necrosis. Idiopathic a vascular necrosis of the scaphoid was first described in 1910 by Preiser.1 Generally, these abnormalities of bone perfusion are mainly due to trauma, prolonged use of corticosteroids, chemotherapy, systemic disease, or scaphoid hypoplasia.2–4 This disease develops insidiously beginning with pain and sometimes swelling around the anatomical snuffbox, which may be associated with loss of strength and reduced range of motion in the wrist. This disease frequently involves progression to carpal collapse and osteoarthritis after fragmentation or pathological fracture of the scaphoid.5

Many authors prefer to treat this disease surgically in the early stages to stop disease progression. Based on the many indications for conservative treatment, others, who hope for spontaneous recovery of the associated vascular anomalies, consider surgery to be too invasive if imaging results remain satisfactory. In later stages of the disease surgical treatment is a more unanimously accepted option because of the development of irreversible lesions. At present, there is no consensus on a treatment strategy.5  Also it is difficult to identify reliable therapeutic indications based on disease progression.6,7 Treatment includes surgery and non surgical regimens including physiotherapy and kinesiotherapy, immobilization, nonsteroidal anti-inflammatory drugs (NSAIDs) and, occasionally, steroid infiltration.8,9 Multiple surgical approaches may be used in these cases, among which carpectomy of the proximal row is included10 proximal scaphoid excision with a silastic replacement, radial styloidectomy with bone debridement and implant11 total wrist arthroplasty12 large and semilunar bone fusion or scaphoid debridement with vascularized bone implant.8 Revascularization procedures are performed in those cases with necrosis but without degenerative changes, while more aggressive treatments (proximal row carpectomy of the wrist) are indicated in patients who already have osteoarthritic changes.7,13 In complex regional pain syndrome type-1, sensory changes including pain, allodynia, and hyperalgesia represent cardinal symptoms that form a considerable health burden for the patient.14 Several agents have been suggested to reduce the severity of these symptoms, but today, there is still no clear guidance about which agent should be prioritized to support physical rehabilitation.15,16 In clinical practice, the view that a patient should be treated early and aggressively in the hope to prevent chronic stages still prevails.17 At present, treatment recommendations include conventional analgesics (acetaminophen, NSAIDs, and opioids), anesthetics, anticonvulsants, antidepressants, free radical scavengers, oral muscle relaxants, corticosteroids, calcitonin, bisphosphonates, and calcium channel blockers.18 Gabapentin is one of the promising agents for the treatment of complex regional pain type-1.19

Case report

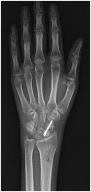
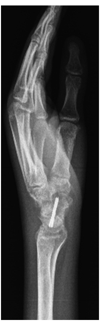
A 23-year-old male patient who was suffering from severe pain and limitation of movement on the left hand and wrist presented to our clinic. The patient’s complains were started 18 months ago. After surgical intervention for avascular necrosis 45 days ago he used casting for 30 days. After surgery the pain has turned out to be more severe and burning. On the physical examination, there was nearly complete limited range of motion on the entire movements of the left wrist, metocarpophalangeal, proximal interphalangeal, and distal interphalangeal joints. Furthermore, especially dorsal redness, thin, shiny, moist skin, increased heat and increased hair on the left hand was detected (Figure 1). There was patchy osteopaenia particularly in the peri-articular regions (Figure 2). With the diagnosis of complex regional pain syndrome type-1 calcium 1000 mg / day, cholecalciferol 800 IU/day, naproxen sodium 750 mg / day and gabapentin 1800 mg / day was started. A rehabilitation program was started including TENS, contrast bath, electrical stimulation and exercise program. After 4 weeks of treatment, the patient's pain was completely reduced. Wrist and other hand joint movements were completely turned out to be normal (Figure 3). Written consent of the patient has been obtained.

Figure 1 Skin changes and increased hair of the left hand.
Figure 2 Patchy osteopaenia.
Figure 3 Improved range of motion after treatment.

Conclusion

This case is worth to be presented because the Preiser's Disease is a less common avascular necrosis. Also complex regional pain syndrome after a surgical intervention in Preiser’s disease hasn’t been presented before us. may occur after surgical or immobilization regimens. Furthermore, in our patient using gabapentin may have shorten the time of response to the treatment in complex regional pain syndrome type-1.In the treatment of complex regional pain syndrome type-1, the rehabilitation program combined with gabapentin offers early response and effective treatment opportunities.

Acknowledgements

Special thanks to our patient giving consent for supporting the literature and to Fazil KULAKLI for revising this manuscript.

Conflict of interest

The authors has no conflict of interest.

References

  1. Preiser. Eine typische posttraumatische und zur spontanfraktur führende ostitis des naviculare carpi. Fortschr Geb Röntgenstr. 1910;15:189–197.
  2. Vidal M, Linscheid R, Amadio P, et al. Preiser's disease. Ann Hand Upper Limb Surg. 1991;10(3):227–236.
  3. Harper P, Radk C, Souhami R. Avascular necrosis of bone caused by combination chemotherapy without corticosteroids. Br Med J. 1984;28(288):267–268.
  4. Parkinson RW, Noble J, Bale RS, et al. Rare abnormalities of the scaphoid in association with congenital radial ray defects of the hand. J Hand Surg. 1991;16(2):208–211.
  5. Herbert TJ, Lanzetta. Idiopathic avascular necrosis of the scaphoid. J Hand Surg Br. 1994;19(2):174–182.
  6. Lenoir H, Coulet B, Lazerges C, et al. Idiopathic avascular necrosis of the scaphoid: 10 new cases and a review of the literature. Indications for Preiser’s disease orthopaedics & traumatology: Surgery & Research. 2012;98(4):390–397.
  7. Lauder AJ, Trumble TE. Idiopathic avascular necrosis of the scaphoid: Preiser's disease. Hand Clin. 2006;22(4):475–484.
  8. Kalainov DM, Cohen MS, Hendrix RW, et al. Preiser's disease: identification of two patterns. J Hand Surg Am. 2003;28(5):767–778.
  9. Buttermann GR, Putnam MD, Shine JD. Wrist position affects loading of the dorsal scaphoid: possible effect on extrinsic scaphoid blood flow. J Hand Surg Br. 2001;26(1):34–40.
  10. Toffoli A, Lenoir H, Lazerges C, et al. Clinical outcomes of proximal row carpectomy by preoperative midcarpal joint morphological classification: Viegas type I versus type II. Hand Surg Rehabil. 2017;36(3):181–185.
  11. Ekerot L, Eiken O. Idiopathic avascular necrosis of the scaphoid: case report. Scand J Plast Reconstr Surg. 1981;15(1):69–72.
  12. Ferlic D, Morin P. Idiopathic avascular necrosis of the scaphoid: Preiser's disease? J Hand Surg Am. 1989;14(1):13–16.
  13. Amillo GS, Romero MLM, Pons DJ. Bilateral Preiser's disease: a case report and review of the literature. Musculoskelet Surg. 2011;95(2):131–133.
  14. Schwartzman RJ, Erwin KL, Alexander GM. The natural history of complex regional pain syndrome. Clin J Pain. 2009;25(4):273–280.
  15. Harden RN, Oaklander AL, Burton AW, et al. Complex regional pain syndrome: Practical diagnostic and treatment guidelines, 4th edition. Pain Med. 2013;14(2):180–229.
  16. Goebel A, Barker CH, Turner SL. Complex regional pain syndrome in adults: UK guidelines for diagnosis, referral and management in primary and secondary care. London: The Royal College of Physicians; 2013.
  17. Van EF, Stanton HM, Van ZJ, et al. Evidence-based interventional pain medicine according to clinical diagnoses. Complex regional pain syndrome. Pain Pract. 2011;11(1):70–87.
  18. Perez RS, Zollinger PE, Dijkstra PU, et al. Evidence based guidelines for complex regional pain syndrome type 1. BMC Neurol. 2010;31(3):10–20.
  19. Vusse VAC, Berg VSG, Kessels AH, et al. Randomised controlled trial of gabapentin in complex regional pain syndrome type 1. BMC Neurol. 2004;29:4–13.
Creative Commons Attribution License

©2017 Ilhanli, et al. This is an open access article distributed under the terms of the, which permits unrestricted use, distribution, and build upon your work non-commercially.