Submit manuscript...
eISSN: 2574-9838

International Physical Medicine & Rehabilitation Journal

Case Report Volume 3 Issue 5

Femoral neck stress fracture in a 21 years female: a case report

Nurce Cilesizoglu Yavuz

Giresun Physical Therapy and Rehabilitation Center, Karadeniz Technical University, Turkey

Correspondence: Nurçe Çilesizoğlu Yavuz, Giresun Physical Therapy and Rehabilitation Center, Karadeniz Technical University, The Faculty of Medicine, Trabzon, Turkey, Tel 905437746498

Received: September 29, 2018 | Published: October 9, 2018

Citation: Yavuz NC. Femoral neck stress fracture in a 21 years female: a case report. Int Phys Med Rehab J. 2018;3(5):430 -431. DOI: 10.15406/ipmrj.2018.03.00140

Download PDF

Abstract

In young adults, femoral neck fractures are mostly caused by high-energy trauma. Non-traumatic femoral neck fractures have also been reported in young athletes and military personnel, mainly due to stress fractures.

Early diagnosis and early treatment are essential for femoral neck fractures in younger patients; as there might be severe consequences such as non-union and a vascular necrosis of the femoral head when left untreated. In hip pain cases where a hip fracture is suspected, advanced imaging methods such as bone scintigraphy and magnetic resonance imaging are very effective tools in the diagnosis.

In this study, we would like to present a fracture of the femoral neck in a young female patient, which could not be detected by radiological findings in the first clinical setting but diagnosed later using magnetic resonance imaging. We would also like to emphasize the importance of such cases.

Keywords: femoral neck fracture, stress fractures

Introduction

Femoral neck fractures in young populations are usually caused by high-energy trauma.1 Non-traumatic femoral neck fractures have also been reported in young athletes and military personnel due to stress fractures.2,3 The risk of fracture displacement increases with delayed diagnosis, as with the increased risk of nonunion and a vascular necrosis (AVN). Non-union is seen in about 33% and AVN is seen in around 28% of cases with acutely displaced femoral neck fractures.4 In this case report, we would like to present a young patient with a femoral neck stress fracture after extreme walking. Our patient is younger but not an athlete or a soldier so this makes our case different.

Case report

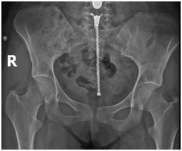
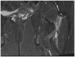
A 21-year-old young female patient presented with left hip pain after a strenuous walking exercise, in which she walked nearly 10km every day. The patient was not a professional athlete and said she was walking just for physical activity. There was no history of trauma and nutritional deficit, steroid use, menstrual abnormality, metabolic disorder, and any other relevant illnesses. There was no significant feature in her family history. Her height was 165cm and she weighed 55 kg, and her body mass index (BMI) is 20.20kg/ m2. In physical examination, no deformities were noticed. Both active and passive range-of-motion in the left hip was with mild discomfort on the extremes of the range of motion. The affected limb was well perfused, with normal peripheral pulses and normal motor and sensory function. Pelvic AP X-Ray was ordered but no signs of fracture or other acute lesions were identified in the x-rays (Figure 1). She was advised to rest and NSAIDs were prescribed for pain relief. However, her symptoms showed no sign of improvement. Later on, a hip MRI (Figure 2) showed a left femoral neck fracture. Laboratory testing included a complete blood cell count, a chemistry panel, serum 25-hydroxyvitamin D levels, parathyroid hormone levels, and thyroid-stimulating hormone with reflex thyroxine levels. Lab results showed nothing abnormal with all values within the range. A consultation from the orthopedics department recommended surgery but the patient refused and she stopped coming to the clinic for further treatment.

Figure 1 Pelvic AP X-Ray which shows no signs of fracture.

Figure 2 MRI of the left hip, T2 sequence, showing hyperintense signal.

Discussion

Stress fractures are defined as the mechanical failure of bone due to repetitive loading, which exceeds its structural strength. Failure can occur in a normal bone exposed to abnormal stress (fatigue fractures) or in abnormal bone that cannot compensate normal stress loading (insufficiency fractures). Stress fractures caused by sports activities predominantly represent the fatigue type and are located almost exclusively in the lower extremity.5 Women are 3.5 times more likely to sustain a stress fracture than men and are more prone to femoral stress fractures.6 Both intrinsic and extrinsic risk factors have been implicated in the etiology of stress fractures. Intrinsic factors include biomechanics (malalignment, gait abnormality, muscle imbalance, and small tibia diameter) and biochemical issues (hormonal imbalance, low bone mineral density, bone disease, and nutritional deficits). Extrinsic factors include training errors (overuse, lack of cross-training, lack of conditioning, sudden increases in training intensity and duration, poor technique), environmental challenges (nonabsorbent training surface, banked track), and improper equipment (inappropriate footwear, prolonged use of footwear, non–gender-specific training equipment).7,8 Patients with femoral neck stress fracture typically present with anterior groin pain and inability to bear weight. Tenderness to palpation is not common, but pain with extremes of internal and external rotation may elicit some discomfort.9 other symptoms, such as an antalgic gait and limited range of motion are also commonly reported and lower limb shortening is typically encountered in displaced fractures.5 Early radiographs of the hip failed to identify stress fractures in 30–70% of cases. Radiologic evidence of fractures can only be seen when about 40% of the bone structure is altered and osseous changes become visible up to 2–3 weeks after the onset of symptoms.5 MRI may be warranted if symptoms fail to improve and will show bony edema (usually in the compression side of the femoral neck), and a fracture line may also be present.9 Bone scintigraphy can also be used but MRI is more sensitive than two-phase bone scintigraphy and should be used as the gold standard for detecting stress injuries of bone.10

In conclusion, plain radiographs should be ordered in patients complaining of hip or groin pain after strenuous exercise during the initial examination. In the event where the pain does not improve or resolve after a week of NSAIDs and rest, an MRI should be performed to exclude femoral neck stress fractures in those cases.

Acknowledgements

I thank the patient who was the subject of this study.

Conflict of interest

The author declares no conflict of interest.

References

Creative Commons Attribution License

©2018 Yavuz. This is an open access article distributed under the terms of the, which permits unrestricted use, distribution, and build upon your work non-commercially.