Submit manuscript...
eISSN: 2574-9838

International Physical Medicine & Rehabilitation Journal

Case Report Volume 3 Issue 1

Giant left atrium

Cristian M Toldo,1 Sebastian E Puga,1 Pedro V Kairuz,1 Raul A Barreto1

1Servicio Ecocardiografia Medicina Ambulatoria Salta, Argentina
2Servicio de Cardiologia Clinica Medicina Ambulatoria Salta, Argentina

Correspondence: Cristian Maximiliano Toldo, Servicio Ecocardiografia Medicina Ambulatoria Salta, Argentina

Received: December 26, 2017 | Published: February 7, 2018

Citation: Toldo CM, Puga SE, Kairuz PV, et al. Giant left atrium. Int Phys Med Rehab J. 2018;3(1):72-73. DOI: 10.15406/ipmrj.2018.03.00078

Download PDF

Abstract

We present a case of a patient with a giant left atrium (428 ml/m2) subjected to mitral valvuloplasty 6 years ago, who developed atrial fibrillation requiring anticoagulation with new mitral stenosis. Present new onset of recurrent upper gastrointestinal hemorrhage. Proposed replacement mitral valve added to the reduction of left atrial volume, closure of the appendage and isolation of pulmonary veins with the aim of reducing the incidence of embolic events and being able to do without anticoagulation.

Keywords: rheumatic fever, mega auricul, auricular surgery

Clinical case

Patient of 75 years, height 165 cm and weight 72kg, with a history of mitral valve disease secondary to Rheumatic Fever. Percutaneous valvuloplasty was performed with balloon (Tecnica de Inoue) 6 years ago. Found in permanent atrial fibrillation(AF), NYHA functional class II, medicated with acenocoumarol, enalapril 10mg 2times/day, carvedilol 6.25mg 2times/day, spironolactone 25mg/day, furosemide 20mg/day and rosuvastatin 20mg/day. A Doppler echocardiogram is requested for dyspnea. It highlights the great biatrial dilatation to left predominance with moderate to severe mitral regurgitation, thickened mitral valve with characteristic stiffness (anterior valve in hockey stick), mitral stenosis moderated to severe by hemipresion time (THP) with an average of 10 beats (per to be found in atrial fibrillation rhythm) and systolic pressure in the pulmonary artery of 47mmHg. Left ventricular systolic function preserved. The left atrium measures 10.7cm in the anterior-posterior direction, an area in 4 chambers of 109 cm and an area in 2 chambers of 102cm2, obtaining a volume by the biplane method of 778ml (428ml/m2), remarking that currently the normal area by echocardiography is less than 34ml/m2.1 He presented with upper gastrointestinal bleeding with third episode of significant bleeding in 2 months that required blood transfusion due to gastric and duodenal ulceration. Mitral valve replacement is proposed with biological prosthesis, reduction of atrial volume, closure of left atrial appendage and isolation of pulmonary veins (Figure 1-3).

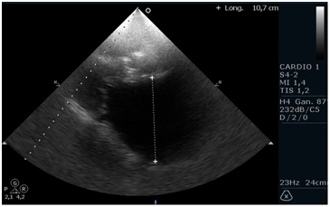
Figure 1 plane echocardiographic paraesternal long axis observing thickening and restriction of opening of the mitral valve and anteroposterior diameter of the left atrium increased (10.7 cm)
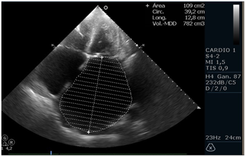
Figure 2 Apical echocardiographic view of four cameras with left atrial area measurement widely increased (109 cm2) and inferosuperior distance of 12.8 cm
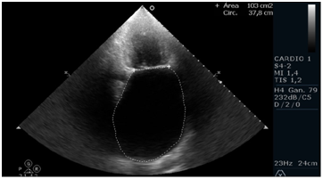
Figure 3 Apical echocardiographic view of two cameras with left atrial area measurement widely increased (103 cm2) and inferosuperior distance of 12.6 cm. Obtaining a volume of left atrium by biplanar method of 778 ml

Discussion

It is known as giant left atrium or left mega-atrium when the anteroposterior diameter exceeds 65 mm for some authors2 while there are works that consider a diameter greater than 80 mm, but there is no evidence even today in the literature of a definition of megaauricula by volume indexed to body surface. Among the causes of mega-auricula are rheumatic valvulopathy (mainly stenosis), mitral valve prolapse and, to a lesser extent, ventricular, systolic or diastolic dysfunction, even without significant mitral dysfunction.3

The relationship between atrial size and arrhythmias, especially atrial fibrillation, is known. In the work of Homer Ross, although with lower atrial volumes than our case, the surgical reduction of atrial size was associated with a greater reversion of AF to sinus rhythm.4 Garcia Villarreal et al.5 using the modified Sankar technique they present data with high probabilities of reversion to sinus rhythm with very large atria.5

Currently, the indications for surgical reduction of atrial volume are the presence of compressive symptoms and/or significant mitral valvulopathy with or without atrial fibrillation.6 To which one could add the impossibility of using anticoagulation in patients who had already used it, knowing that mortality can reach up to 20% in patients undergoing valve replacement plus volume reduction in the left atrium.

In our case, a patient with indication for valvular replacement due to mitral stenosis, atrial fibrillation and recurrent upper gastrointestinal bleeding, we believe that the most cost-effective alternative is valve replacement with biological prosthesis and try to reduce atrial volume, close the left atrial appendage and treat get rhythm sinsual to avoid the use of anticoagulants.

Acknowledgements

None.

Conflict of interest

The author declares has no conflict of interest.

References

Creative Commons Attribution License

©2018 Toldo, et al. This is an open access article distributed under the terms of the, which permits unrestricted use, distribution, and build upon your work non-commercially.