Case Report Volume 9 Issue 3
Centro Hospitalar Universitário Lisboa Norte, ULS Santa Maria, Portugal
Correspondence: Rebeca Gomes, Centro Hospitalar Universitário Lisboa Norte, ULS Santa Maria, Portugal
Received: December 21, 2024 | Published: December 30, 2024
Citation: Gomes R, Carvalho M, Silva TR, et al. Proximal rupture of the anterior rectus femoris muscle in a soccer player - a case report. Int Phys Med Rehab J. 2024;9(3):128-130. DOI: 10.15406/ipmrj.2024.09.00388
Rectus femoris muscle strain injuries are uncommon but significant, particularly for high-level athletes, and typically occur at the distal muscle-tendon junction. Proximal ruptures, though rare, are associated with high-impact activities, such as football, where the muscle is stressed during actions like kicking. This case study details the injury of a 25-year-old semi-professional football player who sustained a proximal rectus femoris tendon rupture following a hip hyperextension movement during a football match. The patient presented with anterior thigh and inguinal pain, and imaging confirmed a near-complete tendon disruption with hematoma. The treatment plan included pharmacological pain management, physiotherapy, and strengthening exercises, without rest. Two weeks post-injury, the athlete showed significant recovery with pain-free walking and early-stage rehabilitation. The case highlights the importance of timely diagnosis using ultrasound and MRI and suggests a rehabilitation protocol emphasizing early mobilization and gradual strengthening exercises.
The rectus femoris is the most superficial muscle of the quadriceps. It acts as a hip flexor and a knee extensor. Proximally, it has two tendon attachments: the direct head attaches to the anterior inferior iliac spine, while the indirect head connects to the hip joint capsule at the superior acetabular ridge. The two heads merge to form a conjoined tendon, with the fibers of the direct head making up the superficial component, and the fibers of the indirect head forming the deep component.1 Rectus femoris muscle strain injuries commonly occur at the distal muscle-tendon junction of the quadriceps tendon.2 Even though injuries to the musculotendinous junction of the quadriceps are common, damage to the proximal area of the rectus femoris is rare,3 representing around 1.5% of hip injuries sustained during sports activities. These injuries typically affect high-level athletes and result from sudden eccentric contractions while the muscle is stretched (hip extension, knee flexion).4 Research on gait analysis has demonstrated that the quadriceps main role during running is to decelerate knee flexion at the moment of heel strike, which happens simultaneously with the contraction of the hamstrings during the support phase. Consequently, the rectus femoris is typically injured while controlling the motion of the hip and knee. In soccer, rectus femoris injuries can occur from the forceful contraction of the quadriceps required for simultaneous knee extension and hip flexion during kicking motions. This muscle contains a high proportion of type II muscle fibers, which are suited for generating rapid and powerful movements. As the rectus femoris is the only biarticular muscle in the quadriceps group, it is unsurprisingly the most commonly injured.2,5 Unfortunately, they are often initially misdiagnosed, which can lead to delays in treatment.4 No therapeutic consensus has yet been clearly established for proximal rupture of the anterior rectus tendon.4
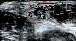
This clinical case concerns a 25-year-old healthy young man, a semi-professional football player who developed pain in the anterior thigh and right inguinal region after a hip hyperextension movement under load during a football game. Following the event, he presented a limp, with his trunk in anterior flexion, as he could not tolerate the neutral position. He experienced pain during resisted hip flexion and in the knee flexion/extension movements. At the time of the event, he reported moderate to intense pain using the numeric rate scale (NRS 7/10). After 36 hours, he underwent a musculoskeletal ultrasonography (US) that showed signal alteration at the myotendinous junction of the sartorius and rectus femoris muscles, highlighted in Figure 1 by a dashed red circle, consistent with a probable myotendinous rupture of the rectus femoris, as well as the presence of a hematoma, indicated in Figure 2 by the red arrows. At the time of the US, there was a slight improvement in pain (NRS 5/10). After 72 hours from the incident, a bruise developed on the anterior thigh, as illustrated in Figure 3.
He underwent pharmacological treatment with paracetamol 1000mg every 12 hours, along with physiotherapy treatments, which included ultrasound, draining massage, compression, and dynamic ice therapy. He also received one session of moist heat, but this exacerbated the bruise, leading to the suspension of further treatment. Two weeks after the injury, he underwent a Magnetic ressonance imaging (MRI) of the thigh, which showed an extensive proximal rupture of the right rectus femoris muscle, with a hematoma measuring approximately 61 * 36 * 19, as outlined by the dashed yellow circle in Figure 4. He did not undergo a period of rest and started quadriceps strengthening exercises 3 weeks after the injury due to the absence of pain while walking. Currently, in the 4th week after the event, he is pain-free while walking, with no limitations or pain in active hip and knee movements. He is tolerating concentric and eccentric quadriceps exercises using only body weight, experiencing pain only during the passive stretching of the quadriceps.
Injuries to the proximal rectus femoris tendon often occur due to kicking motions.1 During the backswing of a kick, when the hip is hyperextended and the knee is flexed, the rectus femoris is under significant tension. The final phase of the backswing involves a powerful eccentric contraction, which places the RF tendon at a high risk of injury.6 Several risk factors have been identified for quadriceps muscle injuries, which can be categorized into intrinsic (age, previous injury, short height and high body weight, leg dominance, flexibility, strength) and extrinsic factors (dry field).6 The key factors that may offer the best chance to prevent rectus femoris injuries are flexibility, strength, and core stability.6 The diagnosis of rectus femoris tendon injuries is usually made clinically, based on the injury mechanism and physical examination. US is an effective point-of-care diagnostic tool, particularly in cases involving edema or hematoma, and can help monitor the recovery of rectus femoris injuries.7 MRI is the gold standard imaging technique for confirming the diagnosis and detailing the characteristics of the tendon injury,8 as demonstrated in the presented case. The MRI grading of myotendinous injuries is classified from I to III. Grade I tears are characterized by a high-intensity signal at an intact myotendinous junction. Grade II tears involve partial disruption of the myotendinous junction. Grade III tears represent a complete myotendinous disruption, with or without retraction. A more recent grading system proposed by British Athletics offers a detailed classification based on both the extent (grades 0 to 4) and the location of the injury (a – myofascial, b - muscular/musculotendinous, c - intratendinous).1
According to this system, this case represents a grade 3c injury, which is a near - complete intratendinous tear with retraction. Proximal rectus femoris tendon tears are usually treated without surgery. The treatment typically begins with a rest period of 3 to 5 days, something that our patient did not do, during which crutches may be used if walking proves painful. Pain management includes the use of ice, physical modalities, and pain-relieving medications. Following this, a thorough rehabilitation plan is implemented, focusing on therapeutic exercises. This includes improving core stability, progressing from isometric to eccentric and concentric strengthening of the hip flexors and knee extensors, as well as stretching of the iliopsoas and quadriceps muscles.1 Healing time varies depending on the severity of the rupture, and athletes are advised not to resume sports activities until they can walk without pain, which typically takes around 4 to 12 weeks. During this period, it has been shown that the extended recovery time may also be due to structural changes at the myotendinous junction caused by prolonged immobilization after the injury. For this reason, it is widely accepted that early mobilization, followed by a targeted rehabilitation program and physical therapy, can promote proper structural recovery of the injury.9 There is a case report concerning a 39-years-old non-professional soccer player with a myotendinous junction rupture of the rectus femoris with retraction of 1.5 cm from the anterior inferior iliac spine, treated with Platelet-rich plasma (PRP) ultrasound guided injections and a specific rehabilitation protocol. A clinical assessment 45 days after the completion of treatment revealed complete absence of pain, along with the full recovery of strength and range of motion. Muscle healing was confirmed through magnetic resonance imaging.9 Surgery is typically reserved for elite athletes with complete tears involving both the direct and indirect heads, or for cases of incomplete tears that do not respond to nonoperative treatment. The surgical procedure involves removing the proximal tendon remnants, followed by myotendinous suture anchor repair to the anterior inferior iliac spine.1
Proximal rectus femoris injuries in adult athletes are rarely reported, and their treatment approach remains a subject of debate. MRI is considered the gold standard for both diagnosis and prognosis, providing valuable insights into the extent of the injury. Non-surgical management, focusing on pain control, early mobilization, and progressive rehabilitation, can be highly effective, as demonstrated in this case. Although full recovery can vary, most athletes can return to activity within 4 to 12 weeks, depending on the severity of the injury. Surgical intervention is typically reserved for severe, non-responsive cases. Further studies are needed to evaluate the potential effectiveness of PRP therapy in enhancing the healing of proximal rectus femoris injuries and its impact on the recovery and return to sports, particularly for elite athletes.9
None.
The authors declare that there are no conflicts of interest.
©2024 Gomes, et al. This is an open access article distributed under the terms of the, which permits unrestricted use, distribution, and build upon your work non-commercially.