Submit manuscript...
eISSN: 2574-9838

International Physical Medicine & Rehabilitation Journal

Case Report Volume 4 Issue 5

Stiff skin syndorme rock-hard skin a report case of two sisters

Dua Cebeci,1 Seide Karasel,2 Sirin Yasar,3 Sema Aytekin,3 Sezen Bostan,3 Pembegül Gunes4

1Department of Dermatology and Venerology, Famagusta State Hospital, Cyprus
2Department of Physical Therapy and Reahbilitation, Famagusta State Hospital, Cyprus
3Department of Dermatology and Venerology, Haydarpasa Training and Research Hospital, Turkey
4Department Pathology, Haydarpasa Numune Egitim Ve Arastirma Hastanesi, Turkey

Correspondence: Dua Cebeci, Department of Dermatology and Venerology, Famagusta State Hospital, Cyprus, Tel 05488586367

Received: September 18, 2019 | Published: September 25, 2019

Citation: Cebeci D, Ya?ar S, Karasel S, et al. Stiff skin syndorme rock-hard skin a report case of two sisters.Int Phys Med Rehab J. 2019;4(5):216?217. DOI: 10.15406/ipmrj.2019.04.00203

Download PDF

Abstract

Stiff skin (SS) syndrome is a scleroderma-like disease characterized by the absence of involvement of internal organs and muscles in infancy or early childhood, with hardness of the skin, localized hypertrichosis, and limitation of joint mobility.1 Involvement of the hip and thighs is prominent, and localized hyperpigmentation may also attend the affected areas.Non-cutaneous findings may be accompanied by “tiptoe-fingertip gait” walking , scoliosis, restrictive breathing difficulty and growth retardation. Familial manifestation shows a genetic transmission of it.2 We present two sister who initially were diagnosed clinical and histopathological characteristics of SSS.

Keywords: scleroderma, scleroderma-likedisorder, stiff skin syndrome

Case report

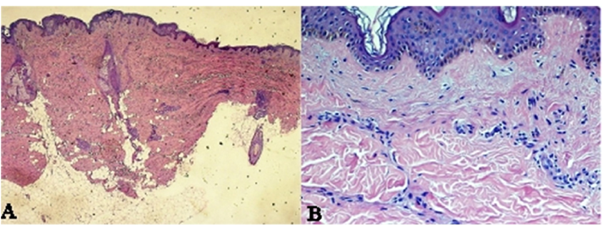
A 15-year-old female patient was reffered in dermatology for difficulty in walking, difficulty opening and closing her arms and legs, and excessive stiffness of the abdomen, hips and thighs. From the age of 8 complaints began to become clear. Over the time, skin stiffness and painful muscle spasms started to triggered by movement and coldness. Her family history revealed that there was kinship between the mother and father, and similar complaints were also found in the sister. Stiffness of the skin and subcutis was felt on palpation. Lesions were starting from the inguinal region and the thighs, which had collapsed and puffed hard palpated from the dense skin surface, had a cobblestone appearance. (Figure 1 A,B,C) Although 23-year-old sister had similar physical examination findings but sclerosis was less. ANA, ENA profile for scleroderma, EMG findings for muscle involvement were normal. Histopathological examination of both sisters showed; coarsening, disordered and homogenization of collagen fibers in papillary and reticular dermiş. Decreased skin supplements and loss of fat pad in the dermis. (Figure 2 A,B) With clinical, pathological and laboratory findings the patients were diagnosed as “STIFF SKIN SYNDROME”. In order to reduce sclerosis, UVA-1 treatment was started at the external center. Sclerosis decreased significantly after 15 sessions and patients are still under treatment (Figure 3 A,B.C).

Figure 1 (A,B,C) Stone-hard sclerotic image of the legs and localized hypertrichosis and sclerosis of the lumber region.

Figure 1 (A,B,C) Stone-hard sclerotic image of the legs and localized hypertrichosis and sclerosis of the lumber region.

Figure 3 (A,B,C)  Reduction in sclerosis after 15 sessions of UVA-1 treatment.

Discussion

Stiff Skin first is described by Esterly and Mc Kusik in 1971as uncommon connective tissue disease similar to scleroderma.1 Generally internal organ and muscular involvement, vascular hyperactivity and immune system abnormalities are absent.3 There are some criteria that support this syndrome such as: hereditary transmision, stone-hard thickening of the skin predominantly in facia buttocks and thighs, restricted joint movements, variable hypertrichosis and absence of mucopolysaccharidosis in urine test.4 This syndrome is most commonly confused with scleroderma or morphea profunda but despite excessive sclerosis progression is very slow, laboratory findings are unremarkable, nail capillary microscopy is normal, raynaud's phenomenon is not accompanied and muscle involvement is not observed.5 Skin induration of hard skin syndrome is not progressive, hardens and remains constant. Most of the sss patients histolopathologies showed a non-inflammatory, thickened and hyalinized fascia accompanied by dermal fibrosis.6

Conclusion

Stiff skin syndrome is a rare syndrome with unknown etiology and pathogenesis, characterized by an early and insidious stony hard skin, especially in the thigh, hip and abdominal and joint mobility restriction. There is no effective treatment for this disease yet. Exercises and rehabilitative treatment are important to improve quality of life of the patient. Our patient was given UVA-1 treatment a set of exercises and is being followed-up periodically. Exercise therapy and phototherapy combinantion provided a significant improvement in our patients condition.

Measurements and results analysis

During the design of the therapeutic plan, the multidisciplinary teams must be able to evaluate its impact in order to adapt to the particular needs of each patient. In the literature, we found several scales and functional classifications, but the implementation and validation of the scores to the multidisciplinary environment are not well established.

Neurorehabilitation is a dynamic process that cannot be encapsulated at one protocol or score. Studies will need to clearly define the goals and measurements in recovery interventions. While it does not happen, it is crucial for a team to determine which scales and assessment points will satisfy a continuous refinement of its job.

Nevertheless, again some authors have published some data and discussions about neurorehabilitation in stroke patients. The scores and scales can be adapted, resulting in useful tools to multidisciplinary teams. The implementation of measures is also essential for hospital managers to identify priorities and plan futures investments.

Conclusion

The recovery process of complex neurosurgeries should not be underestimated. Those surgeons that have the opportunity to work with a multidisciplinary team certainly will see better results in patients that need rehabilitation in the postoperative period. Although there is a lack of studies concerning this issue, in future we probably will see evidence-based data confirming that complex procedures demand complex approaches after operative room. Until specific protocols and measurement tools are not established, hospitals and neurorehabilitation groups should feel motivated to discuss and choose the best options to develop their work.

Funding details

There was no funding for this study.

Acknowledgments

None.

Conflict of interest

The authors declare that there is no conflict of interest.

References

Creative Commons Attribution License

©2019 Cebeci, et al. This is an open access article distributed under the terms of the, which permits unrestricted use, distribution, and build upon your work non-commercially.