Case Report Volume 5 Issue 6
1Physiotherapist/RRT, MS, Coordinator of Pediatric Intensive Care Unit of Instituto da Criança e do Adolescente, Hospital das Clinicas of Faculty of Medicine, University of Sao Paulo, Brazil
2Physiotherapist/RRT, PhD. Clinical Research Assistant Professor of Neonatology and Intensive Care Pediatrics Department of Medical University of Sao Paulo – FMUSP, Brazil
3Nutritionist, PhD. Division of Nutrition, Multidisciplinary Nutritional Support Team of Instituto da Criança e do Adolescente/Hospital das Clinicas of Faculty of Medicine, University of Sao Paulo, Brazil
4Nurse, MS. Division of Nursing. Coordinator of Pediatric Intensive Care Unit of Instituto da Criança e do Adolescente/Hospital das Clinicas of Faculty of Medicine, University of Sao Paulo, Brazil
5Md, PhD. Associate Professor of Pediatrics. Department of Pediatric of Faculty of Medicine, University of Sao Paulo. Coordinator of Pediatric Intensive Care Unit of Instituto da Criança e do Adolescente, Hospital das Clinicas of Faculty of Medicine, University of Sao Paulo, Brazil
6Md, PhD. Full Professor of Neonatology and Intensive Care Pediatrics Department of Medical University of Sao Paulo – FMUSP, Brazil
Correspondence: Cíntia Johnston, Physiotherapist,RRT, PhD. Clinical Research Assistant Professor of Neonatology and Intensive Care Pediatrics Department of Medical University of Sao Paulo – FMUSP, Brazil
Received: November 01, 2020 | Published: December 4, 2020
Citation: Lahoz ALC, Johnston C, Zamberlan P, et al. Success of multiprofessional management of non-invasive ventilation: positive covid-19 pediatric case report. Int Phys Med Rehab J. 2020;5(6):244?248 DOI: 10.15406/ipmrj.2020.05.00265
Objective: To describe a pediatric clinical case with positive COVID-19 that was successful in conducting multiprofessional noninvasive ventilation (NIV).
Method: Description of the clinical case of a 34-month-old (2y10m) feminine gender patient admitted on May 09, 2020 to the Pediatric Intensive Care Unit (PICU) due to moderate acute ventilatory failure due to COVID-19. The child was submitted to NIV (in bilevel ventilatory mode) by the multiprofessional team (doctor, physiotherapist and nurse), being monitored his vital signs, global functionality (FSS Scale) and nutritional status during his stay in the PICU.
Results: In May, 58 patients were admitted to PICU, 02 patient’s COVID-19 being positive. Due to the clinical severity of children with positive COVID-19, only this reported clinical case showed an indication for the use of NIV as the first method of ventilatory support. The MPJA patient, with previous comorbidity (chronic non-progressive encephalopathy - CNPE), remained on NIV (in bilevel mode) for six consecutive days, evolving with decreased respiratory effort and improvement of clinical signs (respiratory rate, pulse saturation) oxygen) as well as the SpO2 / FiO2 and PaO2 / FiO2 ratios. After ventilator weaning and removal of NIV, and was kept in room air in the pediatric ward, discharged after 16 days of hospitalization.
Conclusions: This NIV success case report demonstrates that the readiness of the multiprofessional team to establish a ventilatory support plan within the acceptable “window of time” of the evolution in moderate acute ventilatory failure resulting from COVID-19 can help successful ventilatory support even of patients with previous comorbidities.
Keywords: pediatrics, PICU, COVID-19, SARS-CoV-2, NIV
Chronic non-progressive childhood encephalopathy (PNEC) is defined as a set of sequels resulting from brain attacks, characterized by persistent and variable disorder of tone, posture and movement. Generally, these patients have a frequent need for hospitalization throughout life, the main cause being recurrent respiratory infections.1
Swallowing changes contribute to the aspiration of gastric contents into the lungs, as well as intense sialorrhea. Neuromusculoskeletal changes resulting from immobilization culminate in osteo articular and rib cage deformities, further contributing to the decrease in cardiorespiratory and global functionality. Often, these patients have epilepsy, nutritional deficits, use of medications that can lead to airway secretion retention and coughing difficulties. These factors also contribute to the accumulation of secretions in the airways and predispose to new infections of the respiratory system.2 This profile of a complex chronic child is susceptible to infections of the respiratory system, currently, the concern is focused on the SARS-CoV-2 infection.
Traditionally, due to all the benefits (lower risk of pneumonia associated with mechanical ventilation, lower risk of morbidity and mortality, among others) of non-invasive ventilation (NIV), it has been chosen to use it when the complex chronic child has acute ventilatory failure (AVF) moderates or chronic AVF with indication of intermittent or continuous NIV.3,4 The disease (COVID-19) caused by the new coronavirus (SARS-CoV-can lead to infection of the respiratory system, with AVF, which can be rapidly deteriorating clinically. Transmission of infection occurs by inhaling droplets, aerosols or direct contact with contaminated surfaces.5–7
Due to the risks of viral contamination of the environment and the multidisciplinary team; in view of the initial lack of knowledge about individual protection methods and what would be the appropriate environment for the use of non-invasive ventilatory support, the use of NIV was initially contraindicated in cases of COVID-19 that deal with AVF.6 However, based on the definition of professional biosafety care and the course of the disease, NIV was indicated in specific clinical cases, which have moderate AVF (SpO2 / FiO2 ratio between 221-264) during a 60- 90 minutes, with the patient being monitored in a private room (preferably with negative pressure), provided that NIV is applied: through the interface of the total unventilated face; use of level 3 PPE by professionals; use of double branch NIV devices with HEPA filter in the expiratory branch or HMEF close to the interface.7–9
Thus, the objective of this article is to report a clinical case of a complex chronic child with COVID-19, who developed moderate AVF who was successful in using NIV during his stay in a(PICU) referenced for care of pediatric patients with moderate, severe or critical SARS-CoV-2 infection.
Female MPJA patient, 2 years and 10 months old, diagnosed with chronic non-evolutionary encephalopathy due to Pseudomonas aeruginosa meningitis (in February 2018) with brain abscess by the same infectious agent and hydrocephalus requiring drainage and peritoneal ventricle shunt in the same period.
The patient was admitted to the PICU in May 2020, presenting wheezing on pulmonary auscultation and respiratory discomfort for three days after being hospitalized, afebrile, without vomiting, and without gastrointestinal disorders. He presents hypoxemia with the need for oxygen therapy via a non-reinalining mask for two hours and, subsequently, a Venturi® mask with 50% inspired oxygen (FiO2). Family members have reported respiratory symptoms for a week.
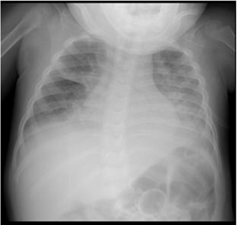
Upon admission to the emergency room, chest X-ray (X-ray) revealed veiling at the apex of the right lung and opacity in the perihilar region of both hemithorax (Figure 1A), with RT-PCR for SARS-CoV-2 being collected, with a negative result.
One day after admission to the ward, she had contact with a positive COVID-19 patient. On the same day, he presented worsening of oxygen pulse saturation (SpO2) with the need for non-invasive ventilatory support, being transferred to the PICU, with a Pediatric Index of Mortality (PIM 3) prognostic score of 1.6%. A new RT-PCR was performed for SARS-CoV-2, also with a negative result.
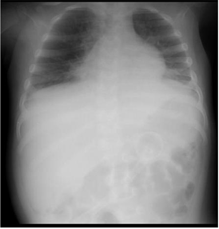
The patient was kept on NIV using the Bennett 840® device, with a non-ventilated full face mask, interspersed every six hours by an orofacial mask for six consecutive days. The ventilatory parameters used, as well as the SpO2 / FiO2 and PaO2 / FiO2 ratio can be seen in Table 1, as well as the chest x-ray (Figure 1B) showing improvement of the image compared to Figure 1A of the admission.
|
NIV Days |
D1 |
D2 |
D3 |
D4 |
D5 |
D6 |
|
Ventilation mode |
A/C |
A/C |
A/C |
A/C |
A/C |
PSV |
|
FiO2 |
0.5 |
0.5 |
0.5 |
0.5 |
0.4 |
0.35 |
|
PCV |
17 |
17 |
19 |
19 |
19 |
NA |
|
PSV |
NA |
NA |
NA |
NA |
NA |
18 |
|
PEEP |
7 |
7 |
7 |
7 |
7 |
7 |
|
FR |
24 |
24 |
20 |
20 |
20 |
NA |
|
Ti |
0.7 |
0.7 |
0,7 |
0.7 |
0.7 |
NA |
|
SpO2/FiO2 |
196 |
196 |
197 |
196 |
245 |
280 |
|
PaO2/FiO2 |
240 |
---- |
362 |
276 |
---- |
328 |
Table 1 Ventilation modes, ventilation parameters used in NIV, SpO2 / FiO2 and PaO2 / FiO2 ratio during the six days of hospitalization at PICU
Abbreviations: NIV, non-invasive ventilation; FiO2, fraction of inspired oxygen; PCV, controlled pressure ventilation mode; PSV, ventilatory mode at support pressure; PEEP, positive end-expiratory pressure; FR, respiratory rate; Ti, inspiratory time; SpO2, oxygen pulse saturation; PaO2, arterial oxygen pressure; D1, day 1, D2, day two, D3, day three, D4, day four, D5, day five and D6, day six of NIV; NA, does not apply
A gradual weaning from NIV was carried out daily, and it was possible to remove NIV on the seventh day of admission to the PICU, migrated to a low-flow nasal catheter at 1L / min. The patient did not present a dermatological lesion due to pressure on the face during the use of NIV.
All preventive measures to minimize aerolization and dispersion of droplets into the environment were used (HEPA filter on the expiratory branch of the NIV device and non-ventilated full face interface), use of level 3 PPE by the multiprofessional team (cap, N95 mask, face shield mask, waterproof apron, gloves) 7,8. The patient used a ventilated private room.
The Functional Status Scale10 was applied by the Physiotherapy Team at admission (18 points) and at discharge (16 points) from the PICU, indicating a severe functional change in this patient.
From the nutritional point of view, the child was screened for admission as a medium nutritional risk by Strongkids11 due, especially, to the underlying disease. The nutritional classification showed overweight, with an appropriate weight ratio for the age (Z=0.94) and a slight height deficit (Z = -1.32). The enteral nutritional therapy (NET) by gastrostomy (GTM) was introduced on the second day of hospitalization, with good tolerance, which allowed the adequacy of the nutritional offer (with usual volume used at home) from the third day of hospitalization. The patient evolved with good tolerance to NET throughout the hospitalization and maintenance of nutritional condition (Table 2).
|
Height |
|
|
(ml/ day) |
(Kcal/ day) |
(g/Kg / day) |
|||
|
BMI / I (Z) |
(% adequacy) |
(% adequacy) |
||||||
|
09-May |
Medium |
15.0 (0.94) |
Overweight |
NET (GTM) |
500 |
500 |
-40% |
1,0 (50%) |
|
88.0 (-1.32) |
||||||||
|
19.4 (2.5) |
||||||||
|
10-May |
NET (GTM) |
800 |
800 |
-64% |
1,6 (80%) |
|||
|
11-May |
NET (GTM) |
1000 |
1000 |
-100% |
2,0 (100%) |
|||
|
12-May |
NET (GTM) |
1000 |
1000 |
-100% |
2,0 (100%) |
|||
|
13-May |
NET (GTM) |
1000 |
1000 |
-100% |
2,0 (100%) |
|||
|
14-May |
NET (GTM) |
1000 |
1000 |
-100% |
2,0 (100%) |
|||
|
15-May |
Medium |
14.8 (0.83) |
Overweight |
NET (GTM) |
1000 |
1000 |
-100% |
2,0 (100%) |
|
88.0 (-1.32) |
||||||||
|
19.1 (2.36) |
Table 2 Nutritional evolution of the patient during admission to the PICU
Abbreviations: GTM, gastrostomy; NET, enteral nutritional therapy; Z, z-score; BMI, body mass index of
*equação de Schofield, 1985 Schofield WN. Predicting basal metabolic rate, new standards and review of previous work. Hum Nutr Clin Nutr. 1985;39:5-41
recomendação da American Society for Parenteral and Enteral Nutrition (ASPEN) Mehta NM, Skillman HE, Irving SY, Coss-Bu JA, Vermilyea S, Farrington EA, et al. Guidelines for the Provision and Assessment of Nutrition Support Therapy in the Pediatric Critically Ill Patient: Society of Critical Care Medicine and American Society for Parenteral and Enteral Nutrition. JPEN J Parenter Enteral Nutr. 2017;41(5):706-42
According to institutional protocol12 on the 10th day of hospitalization, serology (IgG and IgM) for SARS-CoV-2 was collected, IgM being reactive and IgG non-reactive, remaining in isolation for aerosols until hospital discharge. After the removal of NIV, the patient remained for 24 hours in the PICU in a low-flow nasal catheter 1L / min, returning to the infirmary to continue his treatment and later hospital discharge after 16 days of hospitalization.
Transmission of SARS-CoV-2 infection occurs by inhaling droplets or aerosols containing the virus or by direct contact with contaminated surfaces and objects in the health environment.13
In the case of the use of VNI, which generates aerosols, specific measures aimed mainly at preventing and controlling infection related to this procedure are extremely important: Use of N95 mask; facial protector; protective goggles; long sleeve apron; wearing gloves. However, in addition, the health team when handling this child must make use of general protective measures such as14,15: Hand hygiene, considering the 5 moments related to patient care; Cleaning of the environment and equipment and waste management; Scale in isolations, for patients in diaper use due to the risk of fecal-oral transmission; Training of staff for proper PPE dressing and dressing; Disinfection of objects for personal use such as: stethoscope, thermometer, cuff; Keep the patient in a room with negative pressure, if it is impossible to keep in a private room with a bathroom; Whenever there is a need for intra-hospital transfer, both the patient and the professional responsible for transport must wear a surgical mask; HEPA filters should be positioned on the expiratory branch of the ventilator circuit to avoid spreading aerosols to the environment; In the absence of the HEPA filter, an antimicrobial filter (HMEF) can be used that must be placed between the patient / ventilator interface; Conventional humidification is not recommended; Avoid inhalation therapy when necessary.
It is known that hospitalization and PICU admission can cause several adverse effects on the health of patients, as well as affect their functionality during the hospitalization period and after discharge. The FSS is based on on the patient's daily life activities and their forms of adaptation, and can be used in order to assess the patients' functional outcomes. It has been widely used in the intensive care environment due to its practical application and reliability, and can be applied from the age group of newborns to adolescence.16
The dysfunction, when present, is expected to reduce or remain unchanged until the patient is discharged. In this clinical case, despite a 10% improvement in the patient's functionality in the breathing domain, the patient remained classified as severe dysfunction, since her previous diagnosis is encephalopathy.17
The patient was classified as overweight. Obese or overweight patients are at high nutritional risk. Compared to eutrophic patients, these patients have more exacerbated proteolysis and higher consumption of lean mass (sarcopenia)18 which can lead to unfavorable clinical outcomes such as longer time on mechanical ventilation and prolonged hospital stay. Therefore, as in eutrophic patients, in obese and / or overweight patients, NET should be started within the first 24 to 48 hours of admission to the ICU.19
There are no specific data on nutritional management for patients infected with COVID-19. However, the considerations may be based on the existing knowledge about NT in other conditions. A recent publication by the Society of Critical Care Medicine and American Society for Parenteral and Enteral Nutrition (ASPEN)20 points out as one of the most important aspects of the nutritional care of these patients, exactly the precociousness of the introduction of NT, aiming at the attenuation of the inflammatory response and the reduction of protein catabolism.
The progression of NT aims to reach 70% or more of the nutritional needs established in the first week of hospitalization. Our patient had TNE introduced by GTM in the first 24 hours of admission to the ICU, so that on the third day of hospitalization, she received the full nutritional offer; which allowed the maintenance of their nutritional condition and contributed to a favorable outcome.
This NIV success case report demonstrates that the readiness of the multiprofessional team to establish a ventilatory support plan within the acceptable “window of time” of the evolution in moderate acute ventilatory failure resulting from COVID-19 can help successful ventilatory support even of patients with previous comorbidities.
None.
No potential conflict of interest relevant to this article was reported.
©2020 Lahoz, et al. This is an open access article distributed under the terms of the, which permits unrestricted use, distribution, and build upon your work non-commercially.