Submit manuscript...
eISSN: 2574-9838

International Physical Medicine & Rehabilitation Journal

Clinical Report Volume 8 Issue 3

Tuberculous trochanteric bursitis in an immunocompetent patient

Ana Sofia Costa, Marta Lages, Maria Luísa Negrão, José A Gomes, Joaquim Nelas

Orthopedics and Traumatology Department Centro Hospitalar Tondela-Viseu Av. Rei Dom Duarte, 3504-509 Viseu, Portugal

Correspondence: Ana Sofia Costa, Orthopedics and Traumatology Department Centro Hospitalar Tondela-Viseu Av. Rei Dom Duarte, 3504-509 Viseu, Portugal, Tel 00351 232 420 500

Received: December 12, 2023 | Published: December 27, 2023

Citation: Costa AS, Lages M, Negrão ML, et al. Tuberculous trochanteric bursitis in an immunocompetent patient. Int Phys Med Rehab J. 2023;8(3):219-221. DOI: 10.15406/ipmrj.2023.08.00363

Download PDF

Abstract

Musculoskeletal Tuberculosis occurs in 1%–3% of patients with tuberculosis, and Tuberculous trochanteric bursitis (TTB) is responsible for 1%, assuming it as a rare clinical condition, especially if it occurs in immunocompetent patients. This is a case report about a 51 years old man, with pain in right trochanteric area, without swelling or inflammatory signs, 1 year of evolution. About 20 years ago, he suffered an infected traumatic local hematoma. Ultrasound revealed trochanteric bursitis. He was then submitted to a bursectomy. Histological study revealed chronic necrotizing granulomatous bursitis, with negative Acid-Fast Bacillus (AFB) Tests. After 6 mouths the patient suffer relapse of his complains. The MRI revealed intraosseous edema of the great right trochanter, inflammation of adjacent soft tissues and small infratrochanteric collection. Analytically, CRP of 1.24 mg/dl and positive interferon Gamma. A new bursectomy and curettage were performed with sequestrectomy. Lowestein culture was positive for AFB, it was identified protein MPT64, and a positive DNA Mycobacterium tuberculosis complex research. It was associated medical treatment with antibiotics (12 months). Currently with clinical and imaging improvement, without relapse, after 1 and a half years of follow-up.

Usually, TTB arises from the reactivation of an unknown primary infection, whose clinical presentation is often vague, characterized by chronic symptoms. This condition should be considered in the diagnostic discussion whenever a case of recurrent bursitis arises despite the treatment instituted. With the decline in the incidence of tuberculosis, the number of clinical cases of TTB described in the recent literature has decreased considerably, with special attention being given to the reporting and sharing of these cases, with the goal of keeping this diagnosis in perspective in the discussion and orientation of cases of trochanteric bursitis.

Keywords: bursitis, great trochanter, tuberculosis, immunocompetent

Abbreviations

TTB, tuberculous trochanteric bursitis; AFB, acid-fast bacillus; MBT, mycobacterium tuberculosis complex

Introduction

Musculoskeletal tuberculosis occurs in 1 to 3% of tuberculosis patients.1 Of these, arthritis and spondylitis are the most common, with bursitis and tenosynovitis being exceptional.2 Tuberculous trochanteric bursitis (TTB) is responsible for 1% of all cases of musculoskeletal tuberculosis,3 a rare clinical condition, having been described for the first time in 1870 by Teale.4 Its symptoms are usually mild with an insidious evolution, delaying diagnosis and treatment until a later stage,2 especially if we do not see systemic signs of infection.3 Tuberculous lesions usually develop in immunocompromised patients and rarely in immunocompetent patients.5 With the decline in the incidence of tuberculosis, the number of clinical cases of TTB described in recent literature has decreased considerably, and the reporting and sharing of TTB cases is of particular interest, with the aim of keeping this diagnosis in perspective when discussing and guiding cases of trochanteric bursitis.

Clinical case

A 51-year-old male patient who sought an outpatient orthopedics consultation, referred by his family doctor, due to pain in the anterolateral aspect of the proximal third of the right thigh, with approximately 1 year of evolution, without a recent traumatic history. With a history of infected traumatic local hematoma, requiring several drainages and surgical cleanings, around 20 years ago. He also underwent several corticosteroid infiltrations in the right trochanteric region, in the private sector, because of this pain. On objective examination, pain in the right trochanteric region was documented, worsened by local palpation and with hip abduction/rotation, without limiting mobility. No inflammatory signs, swelling or drainage.

Of the complementary diagnostic tests requested, the ultrasound study stands out, revealing mild trochanteric bursitis, an old contusion of the gluteal muscles with increased echogenicity and loss of the fibrillar structure.

He was enrolled for surgical treatment and underwent right trochanteric bursectomy. The histological examination revealed chronic necrotizing granulomatous bursitis, with a negative AFB (acid-fast bacilli) test. The patient showed clinical improvement and did not express any pain complaints. After 6 months of follow-up in an orthopedic consultation, the patient presented a recurrence of his complaints, with local pain and limping when walking.

The MRI performed revealed signal changes in the bone marrow in the region of the right greater trochanter, compatible with intraosseous edema. Soft tissues adjacent to the greater trochanter with signs compatible with local inflammatory phenomena. Small infratrochanteric liquid collection with approximately 20 mm in longest axis. Analytically, a CRP of 1.24 mg/dl and positive Gamma interferon stood out, while other studies of autoimmune and infectious diseases, such as brucellosis, HIV, hepatitis or syphilis, were negative. It was decided to perform a new right trochanteric bursectomy and curettage with sequestrectomy, having found a large amount of fibrotic and devitalized tissue.

Regarding the anatomopathological and microbiological study, the histological examination revealed non-specific bursitis, direct Ziehl Neelson test negative but Lowenstein culture positive for AFB, with MPT64 protein and Mycobacterium tuberculosis complex (MBT) DNA identified. Sensitivity research to first-line antibacillary drugs was also carried out. Collaboration was requested from the Pneumological Diagnostic Center service, where medical treatment with antibacillary drugs was instituted for 12 months (rifampicin, ethambutol, isoniazid and pyrazinamide for 2 months, then rifampicin and isoniazid for another 10 months). After 1 and a half years of follow-up, the patient did not have any recurrence of his complaints and was clinically well. Figure 1–Figure 5

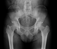
Figure 1 X-ray of the pelvis: Osteolytic lesion at the level of the right greater trochanter.

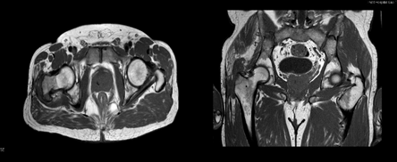
Figure 2 & 3 Axial and coronal MRI image: Intraosseous edema of the right greater trochanter, inflammatory phenomena of the soft tissues.

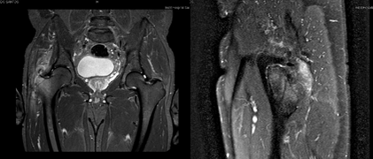
Figure 4 & 5 Coronal and sagittal MRI image – Intraosseous edema of the right greater trochanter, local inflammatory phenomena of the soft tissues adjacent to the greater trochanter, infratronchateric fluid collection, with approximately 20 m in greatest axis.

Discussion

The most frequently affected sites in musculoskeletal tuberculosis are the anterior portion of the vertebral bodies and the metaphysis of long bones.4 Tuberculous bursitis most frequently occurs in the hip.6 As already mentioned, TTB is a rare entity, especially in immunocompetent patients. Typically, TTB arises from the reactivation of an unknown primary infection.1 The microorganism, Mycobacterium tuberculosis, being the most common,1 can reach the trochanteric bursa through canal dissemination, associated with active pulmonary tuberculosis; by hematic and/or lymphatic dissemination; by contiguity.4,7 In this case, 50% of cases of direct contamination originate from infection in the spine and 15% in the hip.7 The possibility of dissemination from the bursa to the bone seems to be the most likely, a somewhat controversial hypothesis in the literature, with the involvement of these two elements being frequent.1 The incidence of concomitant infection in other musculoskeletal sites as well as in the lungs is around 50%,8 which did not occur in the patient's case: there is primary involvement of the greater trochanter and bursa without current or past evidence of other foci of tuberculosis, and there is no evidence of hematic or local dissemination. However, the suspicion arises as to whether the various drainages and surgical cleanings that the patient underwent 20 years ago, in the same anatomical location, were not a gateway to the infection, which later recurred.

The number of tuberculosis cases has increased in recent times due to the growing number of patients with immunodeficiencies and the aging of the population.2 The use of injectable corticosteroids can facilitate the spread of infection,1 a potentially aggravating factor for the patient's clinical situation, as he has been subjected to several corticosteroid injections. Initially it was thought that TTB mainly affected young adults, however, more recent studies indicate that it can occur at any age, with a higher incidence in the elderly (average age 57 years).3 No gender predilection has been documented.2

The clinical presentation of TTB is often vague, characterized by chronic symptoms, such as pain and joint stiffness.4 Constitutional symptoms such as fever, anorexia and weight loss are present in only 30% of cases.2 Involvement of the small and medium glutes can cause limitation in hip abduction, as in the case of this patient. Affecting the hip joint is rare.2 An early diagnosis is extremely important as 90 to 95% of patients achieve function close to normal with correct, timely treatment.7 The study of bone tuberculosis requires X ray/CT/MRI imaging,9 with MRI being the preferred means of investigation as it defines the size and extent of soft tissue involvement as well as bone.2 Whenever cortical erosion of the greater trochanter is observed with an association of edema and calcification of soft tissues,1 the diagnosis of TTB should be considered in the diagnostic discussion, especially if there is an abscessed juxtacortical communication, which may be a predictor of bone tuberculosis.7 Therefore, and due to its late diagnosis, the bone lesion typical of TTB causes destruction, rarefaction and sequestration. The X-ray may be normal initially, but over time it may demonstrate lytic lesions of the greater trochanter.2

Biopsy associated with microbiological and anatomopathological studies allows confirmation of the diagnosis.2,7 Extrapulmonary biological products are normally low in bacilli (paucibacillary), making MTB research, whether direct examination or culture, particularly difficult.10,11 This is the likely explanation why, in this case, the direct Ziehl Neelson test was negative, however, the Lowestein culture was positive for AFB, and the MBT bacillary species was identified through the identification of the MPT64 protein (present in the cell membrane of this microorganism – faster examination10) and DNA.

The differential diagnosis of this entity includes septic bursitis, chronic pyogenic osteomyelitis, post-traumatic, postural, idiopathic and neoplastic bursitis. In infectious bursitis, the predominant agents are gram-negative, anaerobic and, in rare cases, mycobacteria (in particular M. tuberculosis).12 Its treatment mainly involves antibacillary drugs, which must be maintained for 6 to 18 months, and surgical debridement, although there are reports of success with medication alone, relegating surgery to resistant cases or abscesses.1,6 However, most authors do not dispense surgery, considering it essential, especially because recurrence is higher with exclusive medical treatment,1,5 and surgery can be postponed a few weeks after starting medication in cases of more extensive infection with the goal of minimizing its spread.1,5,6 The procedure includes bursectomy and curettage with sequestrectomy of the bone lesion in order to reduce the risk of local reactivation, which may be delayed.1 Reconstruction of the greater trochanter defect or trochanterectomy is not necessary.1 Some studies advocate starting antibacillary medication before a definitive diagnosis is made in order to reduce the risk of mycobacteria spreading during surgery.3,6 Several studies reported the reactivation of trochanteric tuberculosis after surgical drainage in the pre-chemotherapy era, also justified by the lack of knowledge about tuberculosis infection.5

In this case, and as in many others, the difficulty in establishing this diagnosis was implicit, not only due to the vague, non-specific and only local symptoms, but also because he was an immunocompetent patient, due to the initial AFB research, motivated by the histology of chronic necrotizing granulomatous bursitis (also present in brucellosis, coxiella, sarcoidosis), was negative and the patient suffered significant clinical improvement over 6 months. With the recurrence of his complaints, all clinical reasoning was directed towards the study of potential causes of recurrent bursitis, with TTB entering the list of diagnostic hypotheses. This entity must be included in the differential diagnosis of bursitis and trochanteritis, especially if it recurs despite treatment. Its treatment mainly involves antibacillary drugs and surgical debridement. The reactivation of tuberculosis after completion of the antibacillary drug regimen, with or without associated surgery, has been reported, making the correct treatment of this pathology of particular importance.

Acknowledgments

None.

Conflicts of interest

The authors declares that there are no conflicts of interests.

References

  1. Ramos-Pascua, Luis R, Santos-Sánchez JA, et al. Bursectomy, curettage, and chemotherapy in tuberculous trochanteric bursitis. Clinics in Orthopedic Surgery. 2016;8(1):106–109.
  2. Rastogi A, Verma V, Yadav YK, et al. Tuberculous trochanteric bursitis, a rare cause of hip pain in an
    immunocompetent patient: A case report. Internet Journal of Medical Update. 2016;11(1):22–25.
  3. Tayfur O, Kılıç L, Karadağ O, et al. Tuberculous bursitis of the greater trochanter mimicking ankylosing spondylitis. Eur J Rheumatol. 2015;2(1):31–32.
  4. De Bem AA, José AVS, Marcus VC, et al. Bursite Trocantérica Tuberculosa – Relato de um Caso. Rev Bras Orto. 1996;31(12):1023–1026.
  5. Marín Sandra S, Maria Asunción ST, et al. Trochanteric Bursitis Due to Tuberculosis in an Immunocompetent Young Woman. Reumatol Clin. 2012;8(1):34–35.
  6. Kim ST, Moon MS, Yoon MG, et al.  Tuberculosis of the trochanteric bursa: a case report. Journal of Orthopaedic Surgery. 2014;22(1):126–129.
  7. Oliveira JP, Judas F, Garruço A, et al. Trocanterite tuberculosa. Rev Port Ortop Traum. 2012;20(4):471–477.
  8. Ihara K, Toyoda K, Ofuji A, et al. Tuberculous bursitis of the greater trochanter. J Orthop Sci. 1998;3(2):120–124.
  9. Taljanovic MS. Atypical Infections. Downloaded from ClinicalKey.com.
  10. Purohit M, MuStafa T. Laboratory diagnosis of extra-pulmonary tuberculosis (EPTB) in resourceconstrained setting: State of the Art, challenges and the need. Journal of Clinical and Diagnostic Research. 2015;9(4):EE01–EE06.
  11. Antunes A. Manual de Tuberculose e Micobactérias não Tuberculosas. Programa Nacional para a Tuberculose DGS. 2020.
  12. Buehring B, Pearson RL, Brasington R. Trochanteric bursitis. Elsevier. 2011.
Creative Commons Attribution License

©2023 Costa, et al. This is an open access article distributed under the terms of the, which permits unrestricted use, distribution, and build upon your work non-commercially.