Submit manuscript...
Journal of
eISSN: 2572-8466

Applied Biotechnology & Bioengineering

Proceeding Volume 8 Issue 4

Identification of a gene that makes a protein by using a cell free protein synthesis system

Umair Masood

State University of New York, USA

Correspondence: Umair Masood, State University of New York, USA

Received: July 29, 2021 | Published: August 24, 2021

Citation: Masood U. Identification of a gene that makes a protein by using a cell free protein synthesis system. J Appl Biotechnol Bioeng. 2021;8(4):124-125. DOI: 10.15406/jabb.2021.08.00264

Download PDF

Abstract

A living cell could be genetically modified to perform a function such as the production of a protein. However, these genetic modifications often conflict with normal cellular function and result in a mutation. Defects can be overcome through removing the bacterial membrane which leaves the lysate that is performing both transcription and translation. The cell free-protein synthesis is also known as in vitro protein synthesis and is the production of a protein without using a living cell. The gene is acting as instructions to make the protein. If we can isolate a gene and then apply a cell free protein synthesis system after synthesis the protein and run on gel-electrophoresis we can identify a gene on the basis of the protein. Gel electrophoresis is a laboratory technique used to ______ contrasting proteins according to molecular size and charge.

Steps of identifying gene

  1. Isolation of gene: Gene can be isolated from different method but we can preferer a amplify a desire gene by using PCR method PCR is a method broadly used in molecular biology to manufacture several copies of a specific DNA segment. Permit scientist to take a very small sample of DNA and amplify it to a huge enough amount to study in detail. The basic principle of PCR is based on thermocycler.1–4 There are three main steps of PCR: Denaturation, Annealing, Extension.
  2. Cell free system: development of cell free system is your choice you can either break the wall of bacteria and make a cell free system or order a different kit which is available in online websites.
  3. Purification of protein: there are different types of technique we can be used mainly are centrifuge method dialysis and chromatography.
  4. Run on gel: after purify a protein, protein run on the gel we can identify a protein by using their molecular size. If we can identify a protein, we can identify a gene on the bases of protein.

Result

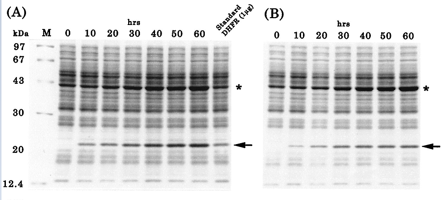
Protein blends in the dialysis framework. (A and B) Coomassie blue-stained SDS polyacrylamide gels showing DHFR blend with (A) or without (B) expansion of new mRNA. Bolts and indicators mark DHFR and creatine kinase, individually. The standard example was ready by blending a response combination without mRNA with known measures of DHFR prior to stacking onto the gel.

Acknowledgments

None.

Conflicts of interest

The author declares that there is no conflict of interest.

Funding

None.

References

Creative Commons Attribution License

©2021 Masood. This is an open access article distributed under the terms of the, which permits unrestricted use, distribution, and build upon your work non-commercially.