Submit manuscript...
Journal of
eISSN: 2373-6437

Anesthesia & Critical Care: Open Access

Case Report Volume 17 Issue 3

Acute negative pressure pulmonary edema after total thyroidectomy: case report

Dayan Autran Lamego, MD,1 Tatiana Goldgaber Borges, MD,2 Luiz Eduardo Imbelloni, MD, PhD,3 Rachel Motyl Gutman, MD,2 Anna Lúcia Calaça Rivoli, MD,2 Sylvio Valença de Lemos Neto, MD, PhD,4 Ana Cristina Pinho, MD,5 Patrícia L. Procópio Lara, MD2

1Third-year anesthesiology resident at CET/SBA, INCA, Brazil
2Anesthesiologist at the National Cancer Institute (INCA), Brazil
3Researcher without institution, Brazil
4Head of the Anesthesiology Service of the National Cancer Institute (INCA) Anesthesiologist, Responsible for the CET-SBA of the National Cancer Institute, Brazil
5INCA Anesthesiologist, Co-Responsible for the CET-SBA of the National Cancer Institute, Brazil

Correspondence: Dr. Luiz Eduardo Imbelloni, Researcher without institution, Av. Epitácio Pessoa, 2356/203, Lagoa, 22411-072- Rio de Janeiro, RJ, Brazil, Tel + 55.11.99429-3637

Received: May 05, 2025 | Published: May 30, 2025

Citation: Lamego DA, Borges TG, Imbelloni LE, et al. Acute negative pressure pulmonary edema after total thyroidectomy: case report. J Anesth Crit Care Open Acces. 2025;17(2):78-80. DOI: 10.15406/jaccoa.2025.17.00623

Download PDF

Abstract

Background: Negative pressure pulmonary edema after acute upper airway obstruction is a well-described event, thought infrequently diagnosed and reported. This report aimed at presenting a case of post-extubation negative pressure pulmonary edema with successful therapeutic after using positive pressure invasive mechanical ventilation.

Case report: A female patient, 59 years old, underwent thyroidectomy with bilateral dissection. Preoperative exams showed no abnormalities. Immediately after extubation, the patient presented with sudden dyspnea and pulmonary crackles, being reintubated, transferred to the ICU, and subsequent tracheostomy. She was discharged home with a metal cannula and two months later its removal was performed.

Conclusion: NPPE is a difficult entity to diagnose and should be observed whenever patients develop signs and symptoms of post-extubation respiratory failure. Early diagnosis, reintubation and subsequent tracheostomy allowed patients to return to their activities two months after the metal cannula was removed.

Keywords: Negative pressure pulmonary edema, positive pressure invasive mechanical ventilation, laryngospasm, tracheostomy.

Introduction

Negative pressure pulmonary edema (NPPE) or post-obstruction pulmonary edema is a clinical entity of great relevance in anesthesiology and intensive care.1 In general, the occurrence of NPPE can be immediate or delayed and requires immediate recognition and treatment in the perioperative care of patients.1 NPPE occurs after intense inspiratory effort against an obstructed airway, often due to upper airway infection, tumor, laryngospasm, or postoperative. The first description of this pathology was identified in two pediatric patients who immediately developed florid pulmonary edema after the relief of upper airway obstruction and was published in 1977.2 The incidence of NPPE, in patients developing acute upper airway obstruction, has been estimated between 0.1% and 12% in 1986.3 A recent systematic review published in 2021 of NPPE in adult ear, nose and throat  surgery reported a mortality rate of 5% and identified age and intensive care unit admission as the main risks for increased mortality.4 This report outlines a case of NPPE following general anesthesia and tracheal extubation, which was successfully managed after reintubation and referral to the ICU and discharged to the ward after eight days and to home where the metal cannula was removed for hospital monitoring.

Case report

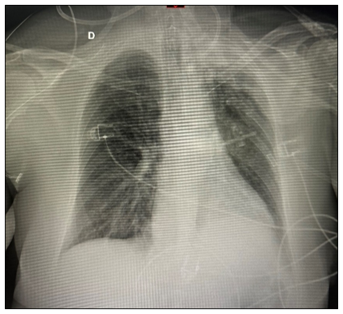
After registration in the Brazil Platform (CAAE: 88315925.0.0000.5274), approval by the Ethics Research Committee (Number: 7.544.215) and signing of the informed consent, female patient, 59 years old, 71 kg, 155 cm, with hypertension, T2DM, obesity, ex-smoker (70 packs/year) using doxazosin and losartan, without allergies underwent a total thyroidectomy with bilateral dissection, due to medullary thyroid carcinoma. Preoperative examinations, electrocardiogram, chest X-ray (Figure 1), urine and blood count, were unremarkable.

Figure 1 Chest X-ray preoperative.

After admission to the operating room, she was monitored with a cardio-scope, PANI, and pulse oximeter. Peripheral venous access was obtained in the right upper limb #20G, induced with midazolam (2 mg), fentanyl (100 µg), lidocaine (100 mg), propofol (150 mg), succinylcholine (70 mg) and intubated with a 7.0 orotracheal tube with cuff and neuromonitoring of integrity of the recurrent laryngeal nerve through the tracheal tube.

The surgical team performed a bladder catheterization. Balanced general anesthesia was maintained with sevoflurane 2%, dexmedetomidine 0.2 mg/kg/h, ketamine 15 mg, magnesium 2 g, 2,500 ml of crystalloids infused, and 1,300 ml of urine was administered without complications, with a total procedure duration of 7 hours. After extubation, she remained eupneic for 30 minutes in room air and was transferred to the post-anesthesia care unit (PACU), suddenly developing tachydyspnea, stridor, cyanosis, agitation and diffuse coarse rhonchi on pulmonary auscultation. An oxygen mask of 6 l/min was placed, and the condition worsened, and tracheal intubation was performed after administration of fentanyl (100 µg), lidocaine (80 mg), propofol (50 mg), and rocuronium (50 mg) under direct laryngoscopy, with a 7.0 orotracheal tube with cuff. Post-intubation blood gas analysis was performed with a PaO2/FiO2 ratio of 175, and improvement in mechanical ventilation parameters, and a significant drop in lung compliance with a chest X-ray showing diffuse interstitial infiltrate (Figure 2).

Figure 2 Chest X-ray after intubation in the ICU.

Transferred to the intensive care unit (ICU), maintained with mechanical ventilation under positive pressure and loop diuretic (furosemide), with improvement in PaO2/FiO2 and radiological image. On the 4th postoperative day, she was extubated, and 30 minutes after extubation, she developed the same condition, and a new reintubation was performed by direct vision with a 7.0 orotracheal tube, and a tracheostomy was indicated in the surgical center, where tracheomalacia was confirmed.

The pulmonary edema gradually improved and after 48 hours it was possible to remove controlled ventilation. She remained in an ICU bed with a tracheostomy for eight days and was later transferred to the ward after being weaned from mechanical ventilation. A few days later, she was discharged from the hospital with a metal cannula and was monitored by the head and neck department for a biweekly assessment. At the end of the 2nd month post-operatively the metal cannula was removed.

Discussion

NPPE begins with a significant upper airway obstruction, generating inspiratory efforts to overcome the obstruction providing highly negative intrapleural and alveolar pressures, and the high pressure gradient causes fluid to move out of the pulmonary capillaries and into the interstitial and alveolar spaces.1,3 In adult patients, airway obstruction leading to NPPE occurs most commonly in the event of a post-extubation laryngospasm.1 In the present case report, the patient developed NPPE 30 minutes after extubation, and was reintubated and tracheostomy was indicated. She remained in the ICU for eight days and was discharged to the ward with a metal cannula; after completing the 2nd month, the metal cannula was removed due to outpatient monitoring by the head and neck service, and she returned to his normal activities.

NPPE is a dangerous and potentially fatal condition with multifactorial pathogenesis, manifests as upper airway obstruction, generating large negative intrathoracic pressure by forced inspiration against an obstructed airway is thought to be the main mechanism involved, causing an increase in pulmonary vascular volume and pulmonary capillary transmural pressure, creating a risk of disruption of the alveolar-capillary membrane.1 The early detection of the signs of this syndrome is vital to the treatment and to patient outcome, which occurred in this case with immediate diagnosis of tracheal reintubation and subsequent tracheostomy.

In 2005, following 4000 cases of Australian Incident Monitoring Study during anesthesia, there were 189 reports of laryngospasm, and may present atypically and, if not promptly managed effectively, may lead to morbidity and mortality.5 In the present case, the diagnosis was promptly made, and the treatment was successful. Thyroid cancer is much more common in women, with rates two to five times higher than in men, with 16,660 new cases (rate of 4.3%) for the period between 2023 and 2025.6 However, reviewing all thyroidectomies performed, no incidence of this complication was obtained in cancer patients at the National Cancer Institute (INCA).

NPPE is noncardiogenic pulmonary edema caused by a rapid increase in negative intrathoracic pressure. Many adults who develop pulmonary edema have laryngospasm as a triggering factor, the diagnosis of which is based on clinical symptoms that manifest themselves through respiratory difficulty followed by inspiratory stridor.7 The normal intrathoracic trachea is compliant, dilating with inspiration and narrowing with expiration due to the difference between intrathoracic and intraluminal pressures. Some pathologies such as laryngospasm can evolve into tracheomalacia (TM), where the tracheal cartilage is compromised, leading to loss of structural integrity and an inability to prevent airway collapse due to increased intrathoracic pressure during exhalation.8 TM in the adult population is typically due to an acquired injury from a previous surgery involving the airway, intubation, or chronic lung disease. In this case, TM occurred immediately after extubation from a 7-hour bilateral thyroidectomy surgery, progressing with severity and requiring tracheostomy.

A recent systematic review on decannulation with 24 articles showed that several professionals such as doctors, speech therapists, physiotherapists, and nurses are important for success.9 The factors indicated as indicative of success in the decannulation process are clinical and hemodynamic stability, alert level of consciousness, and collaborative patient, and that swallowing is an important factor for the evaluation.9

In adult patients, most cases of NPPE resolve rapidly, within 24 to 48 hours, probably due to the absence of persistent hydrostatic stress. These solutions of alveolar edema across the normally tight epithelial barrier can be regulated by cyclic adenosine monophosphate-dependent mechanisms through adrenergic or dopamine receptor stimulation, and by several independent mechanisms, including glucocorticoids, thyroid hormone, dopamine, and growth factors.10 In the present case, the pulmonary edema disappeared between 36 and 48 hours

NPPE begins with a significant upper airway obstruction, generating inspiratory efforts to overcome the obstruction providing highly negative intrapleural and alveolar pressures, and the high pressure gradient causes fluid to move out of the pulmonary capillaries and into the interstitial and alveolar spaces.1,3 In adult patients, airway obstruction leading to NPPE occurs most commonly in the event of a post-extubation laryngospasm.1 In the present case report, the patient developed NPPE 30 minutes after extubation, and was reintubated and tracheostomy was indicated. She remained in the ICU for eight days and was discharged to the ward with a metal cannula; after completing the 2nd month, the metal cannula was removed due to outpatient monitoring by the head and neck service, and she returned to his normal activities.

NPPE is a dangerous and potentially fatal condition with multifactorial pathogenesis, manifests as upper airway obstruction, generating large negative intrathoracic pressure by forced inspiration against an obstructed airway is thought to be the main mechanism involved, causing an increase in pulmonary vascular volume and pulmonary capillary transmural pressure, creating a risk of disruption of the alveolar-capillary membrane.1 The early detection of the signs of this syndrome is vital to the treatment and to patient outcome, which occurred in this case with immediate diagnosis of tracheal reintubation and subsequent tracheostomy.

In 2005, following 4000 cases of Australian Incident Monitoring Study during anesthesia, there were 189 reports of laryngospasm, and may present atypically and, if not promptly managed effectively, may lead to morbidity and mortality.5 In the present case, the diagnosis was promptly made, and the treatment was successful. Thyroid cancer is much more common in women, with rates two to five times higher than in men, with 16,660 new cases (rate of 4.3%) for the period between 2023 and 2025.6 However, reviewing all thyroidectomies performed, no incidence of this complication was obtained in cancer patients at the National Cancer Institute (INCA).

NPPE is noncardiogenic pulmonary edema caused by a rapid increase in negative intrathoracic pressure. Many adults who develop pulmonary edema have laryngospasm as a triggering factor, the diagnosis of which is based on clinical symptoms that manifest themselves through respiratory difficulty followed by inspiratory stridor.7 The normal intrathoracic trachea is compliant, dilating with inspiration and narrowing with expiration due to the difference between intrathoracic and intraluminal pressures. Some pathologies such as laryngospasm can evolve into tracheomalacia (TM), where the tracheal cartilage is compromised, leading to loss of structural integrity and an inability to prevent airway collapse due to increased intrathoracic pressure during exhalation.8 TM in the adult population is typically due to an acquired injury from a previous surgery involving the airway, intubation, or chronic lung disease. In this case, TM occurred immediately after extubation from a 7-hour bilateral thyroidectomy surgery, progressing with severity and requiring tracheostomy.

A recent systematic review on decannulation with 24 articles showed that several professionals such as doctors, speech therapists, physiotherapists, and nurses are important for success.9 The factors indicated as indicative of success in the decannulation process are clinical and hemodynamic stability, alert level of consciousness, and collaborative patient, and that swallowing is an important factor for the evaluation.9

In adult patients, most cases of NPPE resolve rapidly, within 24 to 48 hours, probably due to the absence of persistent hydrostatic stress. These solutions of alveolar edema across the normally tight epithelial barrier can be regulated by cyclic adenosine monophosphate-dependent mechanisms through adrenergic or dopamine receptor stimulation, and by several independent mechanisms, including glucocorticoids, thyroid hormone, dopamine, and growth factors.10 In the present case, the pulmonary edema disappeared between 36 and 48 hours.

Conclusion

TM in adults is typically acquired, often resulting from tracheostomy or intubation. In this case report, there was an initial need for reintubation with subsequent tracheostomy after approximately two months of evolution. The diagnosis was immediate with an indication of eight days of ICU. However, careful evaluation and follow-up are necessary to determine the best course of treatment for this rare presentation, where it was necessary to keep the metal cannula in place for two months, when it was removed and the patient returned to normal activities. The processes of decannulation include a multidisciplinary approach and should be performed by the cooperation between physicians, physiotherapists, and speech therapists, conduct that was performed on this patient.

Acknowledgments

None.

Conflicts of interest

None.

References

Creative Commons Attribution License

©2025 Lamego, et al. This is an open access article distributed under the terms of the, which permits unrestricted use, distribution, and build upon your work non-commercially.