Submit manuscript...
Journal of
eISSN: 2373-6437

Anesthesia & Critical Care: Open Access

Case Report Volume 2 Issue 4

Anesthetic Management of Esophageal Atresia Tipe Iii with Tracheoesophageal Fistula in Premature Infant without Invasive Monitoring: A Case Report

Martin Guijarro Diego,1 Romero Layos Manolo2

1Anaesthesioly Resident, Spain
2Pedriatric Anaesthesioly and Reanimation Service, Spain

Correspondence: Martin Guijarro Diego, Anaesthesioly Resident, “12 de Octubre” Hospital, Madrid, Spain

Received: February 19, 2015 | Published: June 18, 2015

Citation: Diego MG, Manolo RL (2015) Anesthetic Management of Esophageal Atresia Tipe Iii with Tracheoesophageal Fistula in Premature Infant without Invasive Monitoring: A Case Report. J Anesth Crit Care Open Access 2(4): 00063. DOI: 10.15406/jaccoa.2015.02.00063

Download PDF

Abstract

A 10-day-old female premature neonate, 1300 grams weight, with personal medical history of esophageal atresia type III with tracheoesophageal fistula (TEF), without any other associated malformations. In a first surgical intervention, invasive monitoring of the arterial blood pressure through the femoral artery was decided. But once it was catheterized, with great technical difficulties, the patient started presenting pale and pulse less extremity. On the face of it, only emergency gastrotomy was performed to prevent pulmonary aspiration. In the second intervention, after improvement of anticoagulation member, it was decided not to perform invasive monitoring to prevent iatrogenic again with satisfactory results. It seems necessary to assess individually the benefit/risk balance of more invasive vascular catheter monitoring in this kind of patients, since most of the times we are not getting the expected advantage of it and, on the other hand, it has serious implications for the patient.

Keywords: esophageal atresia type iii, fistula tracheoesophageal, neonatal malformation, surgery, anesthetic management

Abbreviations

TEF, tracheoesophageal fistula; CVP, central venous pressure; OR, operating room; OTI, orotracheal intubation; GER, gastroesophageal reflux

Introduction

Esophageal atresia is a rare neonatal malformation that occurs in approximately one out of 2.500 – 4.000 newborn infants. It involves the lack of esophageal lumen continuity, with or without connecting the airway (Tracheoesophageal Fistula) due to some embryogenesis alterations which might occur in the first six weeks of pregnancy.1 This condition includes five different forms of esophageal atresia with tracheoesophageal fistula, being the most common the type IIIb (80%), which consists of an upper esophageal blind pouch with an abnormal connection between the lower esophageal pouch and the trachea through a fistula close to the carina.2 In this form, the fistula between the lower esophagus and trachea may allow stomach acid to flow into the trachea and lungs and cause chemical pneumonitis or respiratory distress. Furthermore, other birth defects may co-exist with this malformation such as: cardiac, gastrointestinal, genitourinary and musculoskeletal defects or in a syndrome way called VATER (association of vertebral defects, anal atresia, tracheoesophageal fistula, esophageal atresia and renal malformations/radius abnormalities).

Surgery is the treatment of choice using thoracotomy or thoracoscopy, depending on the newborn size, by closing the fistula and reconnecting the two ends of the esophagus to each other in a scheduled surgery, provided that the patient is in good conditions. Otherwise, if the patient has respiratory symptoms, mechanical ventilation with positive-pressure may be required.3 In this case, it is necessary to resort to an emergency gastrostomy before the definitive correction, in order to avoid pulmonary aspiration of gastric contents. The current survival rate is about 80%.

As far as intraoperative anesthetic management is concerned, there is limited published evidence and most of them stress the ventilation difficulties of that kind of patients due to hypoxia-hypercapnia secondary disorders and the likelihood of aspiration. It is also mentioned, to provide the patient with a better intraoperative management, the need for exhaustive monitoring as well as invasive arterial pressure, central venous pressure (CVP), brain oxygen saturation, etc.

As expected, this kind of interventions pose a major anesthetic challenge for the pediatric anesthesiologist, even more with the addition of low birth weight and other important disorders like congenital heart defects.4 It is in our hands to ensure, the correct pulmonary and cardiac physiopathology knowledge and involvements in this procedure in order to provide the best intraoperative cares and guarantees to get best possible subsequent outcome.

Clinical case

A 10-day-old female premature neonate, 1300 grams weight, with personal medical history of esophageal atresia type III with tracheoesophageal fistula (TEF), without any other associated malformations. In a first surgical intervention, invasive monitoring of the arterial blood pressure through the femoral artery was decided. But once it was catheterized, with great technical difficulties, the patient started presenting pale and pulse less extremity. Vascular surgeon was informed, who recommended removing the arterial catheter, 48-hour anticoagulation therapy and postponing the corrective surgery. On the face of it, only emergency gastrotomy was performed to prevent pulmonary aspiration. One week later, showing good clinical evolution at both respiratory and thrombotic levels, corrective atresia surgery was rescheduled via left thoracotomy. The fistula was located 3-4mm above the tracheal carina. Before entering the operating room (OR), in the Neonatal Care Unit, a number 24 peripheral line was catheterized in left inferior limb, an epicutaneous catheter in right superior limb and antibiotic prophylaxis was made with gentamicin and vancomycin. After standard monitoring of ECG, pulse oximetry and Non-Invasive Arterial Pressure, we proceeded to the inhalation induction with sevoflurane 4%, atropine 0.01mg /kg, fentanyl 10 micro gr/kg, rocuronium 1mg/kg and propofol 2mg/kg. Once spontaneous breathing was lost (manual ventilation not required), orotracheal intubation (OTI) was successfully performed with uncuffed portex number 3 (Cormack I/IV), verifying its proper placement distal to the TEF, by both hemithorax symmetrical auscultation and good ventilation parameters. In the OR, the fibrobronchoscopy was prepared in case of unsuccessful orotracheal intubation or tube placement. After being intubated, the patient is connected to continuous pressure Mechanical Ventilation with the following parameters: Fraction of Inspired Oxygen (FiO2) 0.4, Positive End-Expiratory Pressure (PEEP) 5, Inspiratory Pressure 15mmHg, Respiratory Rate 35bpm; thus obtaining a Mechanical Ventilation of 0.5 with Tidal Volume (Vt) 10ml/kg and nearly 99% arterial oxygen saturation. The patient was placed in left lateral decubitus position, checking once again the intubation, and putting foam pads in the pressure areas of the newborn. Sevoflurane 3.5% was used for the anesthetic maintenance, plus one more dose of fentanyl 5 micro g/kg. The rest of the monitoring consisted of putting nasogastric tube, urinary catheter, oral thermometer and getting control of End tidal CO2 (EtCO2) and peak and plateau airway pressures, without neither arterial blood pressure nor central vein pressure invasive methods.

With regard to fluid therapy, the patient received Plasma-Lyte® and albumin 5% depending on her basal requirements, including more punctual bolus in case of need. During surgery, mechanical ventilation was kept with the following parameters: FiO2 between 0.4 and 1, PEEP from 5 to 7 mmHg and Inspiratory Pressure about 15 to 25 mmHg. These variations were because of the patient needs during surgery, according to the arterial oxygen saturation, which levels were kept above 92% during almost the three hours of surgical procedure, with the exception of two sporadic episodes of desaturation (until 85%) corresponding to the phases of surgery where the right lung was collapsed with the valve. Those were solved using FiO2=1 and Mapleson type Jackson Rees for manual ventilation. Occasional intraoperative permissive hypercapnia was allowed in order to improve mechanical ventilation management, not exceeding 65mmHg with pH higher than 7.25.

Hemodynamically, our patient required dopamine doses of 5mcg/kg/min during the repair stage of the esophageal atresia (about one hour), probably because of the venous return decrease caused by the pulmonary collapse done with the surgical valve. The infant remained hemodynamically stable, which made possible to stop dopamine doses at the end of surgery. It was not necessary neither blood transfusion nor other drugs to maintain homeostasis. The patient temperature ranged between 35.5 and 36.5ºC thanks to surgical warming blanket and warm fluid therapy support. As far as surgical technique is concerned, in first place, fistula resection was performed without incident and with satisfactory result, followed by the esophageal atresia correction. In fact, sutures were tested in the OR using Valsava maneuver made with sporadic manual ventilation (Figures 1 & 2).

The patient left the OR hemodynamically stable, without vasoactive agents, respiratory stable, intubated, with corrected PCO2 (carbon dioxide partial pressure) of 30mmHg and pH of 7.49, and was moved to the Neonatal intensive unit care, where five days later she was extubated. Ten days after the surgical procedure, the infant suffered an episode of bronchoaspiration because of gastroesophageal reflux (GER), which had a favorable outcome. She didn´t show any other serious complication.5,6

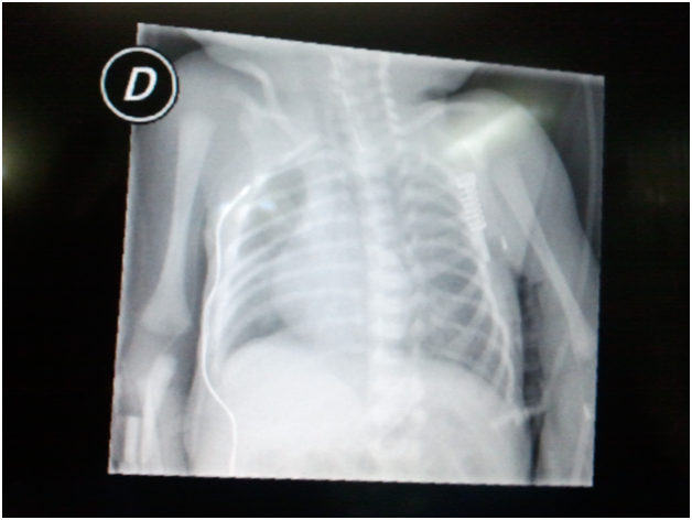
Figure 1 Chest X-ray, prior to surgical intervention.

Figure 2 The final result before leaving the operating room.

Discussion

It is important to highlight the fact that, we sometimes have to deal with extremely low birth weight infants, with the added challenge of vascular access and its iatrogenic consequences. Therefore, it seems necessary to assess individually the benefit/risk balance of more invasive vascular catheter monitoring in this kind of patients, since most of the times we are not getting the expected advantage of it and, on the other hand, it has serious implications for the patient, as in our case.

Obviously, in our second surgery, intraoperative hemodynamic monitoring was considered once again and finally rejected, owing to previous complications. Nevertheless, despite not doing the mentioned monitoring, the results were satisfactory, solving patient’s malformation without severe repercussions. We would like to emphasize the fact that we consider necessary to have a vascular access which allows you to take intraoperative blood tests, give vasoactive drugs and provide the patient with fluids, as in our case, to maintain patient’s homeostasis and his/her possible needs.

Conclusion

This kind of pathology and patient represent a challenge for the pediatric anesthesiologist not only in the anesthetic management complexity but also in the required deep knowledge of extremely low weight infant physiopathology and its specific considerations.

Acknowledgments

None.

Conflicts of interest

The authors declare that there are no conflicts of interest.

Funding

None.

References

  1. Whizar–Lugo V. Intrusión geopolítica en decisiones editoriales. Anest Mex. 2004;16(1):4.
  2. Lopez SJ. The introduction of anesthesia in Cuba. J Hist Med Allied Sci. 1946;1(4):649–656.
  3. JL Sánchez. The Introduction of anesthesia in Cuba. Anesthesiology. 1947;8(3):337–337.
  4. López JL. Historia y evolución del uso de la anestesia quirúrgica en Cuba. Boletín del Colegio Médico de Camagüey. 1947;10:16–54.
  5. Martinez Curbelo M. Continuous peridural segmental anesthesia by means of uretheral catheter. Current Researches in Anesthesia & Analgesia. 1949;28(1):13–23.
  6. Martínez Curbelo M.Nueva técnica de la anestesia del plexo braquial. Ventajas de esta anestesia regional en clínica de ortopedia. Rev Med Cubana. 1933;5:27–31.
  7. Aldrete JA, Cabrera HS, Wright AJ. Manuel Martínez Curbelo and continuous lumbar epidural anesthesia. Bull Anesth Hist. 2004;22(4) 4–8.
  8. Roberts WO. Was Che an anaesthetist? Anaesthesia. 2003;58(10):1045.
  9. González PE, Fernández CM, Jiménez SD. Calidad en los servicios médicos en anestesiología:algunas consideraciones actuales. Rev Cuba Anestesiol Reanim. 2011;10(1):2–11.
  10. Rubén C A, Niurka LM, Jaime CF, et al. PupoV Diferencias de citación entre la producción científica en salud de Cuba publicada en revistas nacionales y extranjeras. Rev Cubana Info Ciencias de la Salud. 2015;26(2):148–167.
  11. Grenedys TLT, Osvaldo GA. Estudio bibliométrico de la revista Cor Salud. Biblios. 2013;52:16–26.
  12. http://www.wame.org/
  13. Freedman JM (2000) First Cuba–U.S.A. Anesthesiology Symposium. Anesthesiology. 2000;93:1369.
Creative Commons Attribution License

©2015 Diego, et al. This is an open access article distributed under the terms of the, which permits unrestricted use, distribution, and build upon your work non-commercially.