Submit manuscript...
Journal of
eISSN: 2373-6437

Anesthesia & Critical Care: Open Access

Case Report Volume 10 Issue 6

Capnothorax, capnomediastinum and subcutaneous emphysema as complication of laparoscopic nissen´s fundoplication 

Mélanie Duque, Maria José Arede, Sandy Ribeiro, José Pedro Assunção

Department of Anesthesiology, Centro Hospitalar Tondela-Viseu, Portugal

Correspondence: Mélanie Duque, Department of anesthesiology, Centro Hospitalar Tondela-Viseu, Av. Rei Dom Duarte, 3504-509 Viseu, Portugal, Tel 232 420 500, Fax 232 420 591

Received: January 01, 2017 | Published: December 21, 2018

Citation: Duque M, Arede MJ, Ribeiro S, et al. Capnothorax, capnomediastinum and subcutaneous emphysema as complication of laparoscopic nissen's fundoplication. J Anesth Crit Care Open Access. 2018;10(6):259-260. DOI: 10.15406/jaccoa.2018.10.00400

Download PDF

Abstract

The laparoscopic Nissen´s fundoplication is currently the technique of choice for treatment of hiatal hernia. We describe a case of a severe capnothorax and capnomediastinum during laparoscopic Nissen´s fundoplication. These complications were associated with profound hemodynamic impairment that threatened the life of the patient. Close monitoring of patients submitted to laparoscopic procedures and close communication with the surgery team are the keys to timely identification of complications. Prompt diagnosis and treatment are crucial to save patient’s life.

Keywords: Nissen, capnotorax, complication

Abbreviations

ASA, american society of anesthesiology, CO2, carbon dioxide, IV, Intravenous

Introduction

The laparoscopic Nissen´s fundoplication is currently the technique of choice for treatment of hiatal hernia. This technique is associated with lower incidence of postoperative pain, shorter hospitalization and a quicker return to daily life.1,2 However, it is not free from complications, many being related to the use of carbon dioxide (CO2) for insufflation of pneumoperitoneum.3 Subcutaneous emphysema, capnomediastinum and capnothorax are some complications which, although uncommon, may result from the laparoscopic technique.3,4 Capnomediastinum and capnothorax require a prompt diagnosis because they can cause profound hemodynamic changes, endangering the patient´s life.5 With this case report, the authors aim to alert both anesthesiologists and surgeons of the importance of close monitoring and communication to avoid the occurrence of these potentially fatal complications.

Case presentation

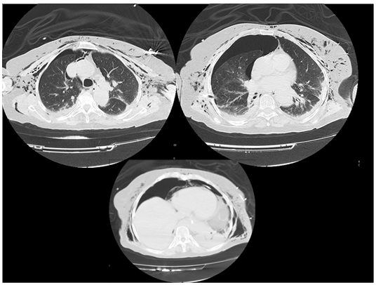
A 77-year-old female patient with an ASA physical status II was proposed for elective laparoscopic fundoplication due to a huge esophageal hiatal hernia. The preoperative exams were within the normal range. The patient was medicated with metoclopramide 10mg IV and esomeprazole 40mg IV on the morning of surgery. In the operating room the electrocardiogram, blood pressure, heart rate, urine output and oxygen saturation were monitored. After pre-oxygenation with 100% oxygen, anesthesia was induced with fentanyl 3µg/kg IV and propofol 2mg/kg IV. Endotracheal intubation was performed after administration of rocuronium 0.6 mg / kg IV, mechanical ventilation initiated and a nasogastric tube placed. Anesthesia was maintained with sevoflurane for a minimum alveolar concentration of 1, and fentanyl and rocuronium were administered, as needed, in bolus. Surgery was initiated and insufflation of the peritoneum took place without incidents. At 100 minutes of surgery, a progressive increase in airway pressure and of expired CO2 was detected (Table 1). Pulmonary auscultation was normal but the ventilatory changes were promptly reported to the surgeons who immediately reduced the pressure of the pneumoperitoneum. Adjustments in ventilation parameters were also undertaken. These measures were, however, not effective and, at 135 minutes of surgery, a severe increase in airway pressure (40 cmH2O) and end tidal CO2 (75mmHg) was noted, with a sudden onset of marked subcutaneous emphysema of the neck and chest. Auscultation did not revealed any altered breath sounds, with symmetrical vesicular murmur but a positive Hamman´s sign was present. Concomitantly, the patient showed marked bradycardia and hypotension that improved with 0.5mg of IV atropine,5 mg of IV ephedrine and infusion of 500 mL of colloid solution. The peripheral oxygen saturation, with 60% of inspired oxygen, never showed values below 97% (Table 1). At this moment, the pneumoperitoneum was immediately stopped and two chest tubes were placed, one in each hemithorax. The subcutaneous emphysema showed a frank decrease and the end tidal CO2, airway pressure, blood pressure and heart rate normalized. Since the surgery was in its final phase, the pneumoperitoneum was resumed, and the intervention ended 15 minutes later. Because of the suspicion of capnomediastinum, we decided not to extubate the patient. Patient was taken to perform a tomography of the chest, deeply sedated and under continuous monitoring. An extensive right capnothorax and slight left capnothorax was revealed, as well as residual capnomediastinum and subcutaneous emphysema (Figure 1). The patient was then transferred to the polyvalent intensive care unit for close monitoring. At 28 hours of admission the patient was extubated and chest drains were removed. The following day the patient was transferred to the general surgery ward and stayed there for seven days due to delay in resumption of normal bowel movements. The patient was then discharged from the hospital without pulmonary complaints and with normal chest radiography.

Time into Surgery (minutes)

0

30

60

90

100

135

160

175

SpO2 (%)

89

95

97

98

97

100

100

99

EtCO2 (mmHg)

-

35

39

44

36

75

37

44

APP (cmH2O)

-

28

32

28

37

40

31

23

BP (mmHg)

154/82

150/93

135/90

143/90

82/53

70/40

102/55

93/56

HR (bpm)

62

65

70

80

59

82

83

72

Table 1 Relevant patient parameters monitoring during surgery

Abbreviations: SpO2, pulse oximetry with peripheral oxygen saturation; EtCO2, end tidal carbon dioxide; APP, airway peak pressure; BP, systolic and diastolic blood pressure; HR, heart rate

Figure 1 Thoracic computerized tomography showing capnothorax, capnomediastinum and subcutaneous emphysema.

Discussion

Capnothorax is an infrequent complication of laparoscopic surgery. It is mostly associated with Nissen´s surgery due to the need for esophageal dissection around the diaphragmatic ring, which poses a high risk for direct laceration of the pleura. The anesthetist should be aware of the possibility of this complication, and close monitoring and early diagnosis are the key to success in order to act accordingly, thus safeguarding the patient's life. An increase in end tidal CO2 that does not respond to adjustments in ventilatory parameters, must always raise the suspicion of capnothorax. In the presence of this complication it is mandatory to stop the pneumoperitoneum. Placement of chest tubes is only necessary if there is marked hemodynamic compromise. In the presence of a minor capnothorax stopping pneumoperitoneum will allow the spontaneous reabsorption of residual CO2. Some authors recommend the use of positive end expiratory pressure, as this reduces the pressure gradient between the abdominal cavity and pleura, thus reducing the passage of gas to the pleura and also allows for expansion of the lung which may lead to a mechanical seal of the pleural lesion.6,7 Subcutaneous emphysema in itself is not life-threatening and is also reabsorbed with the cessation of pneumoperitoneum. However, it must be kept in mind that the subcutaneous emphysema may be associated with a capnothorax or a capnomediastinum.

In this case study we were not able to immediately identify the primary cause of these complications. The diagnosis of capnothorax was hampered by the absence of changes in pulmonary auscultation, highlighting the importance of valuing the progressive increase of the airway pressure and sudden increase in end tidal CO2. In conclusion, it is important to closely monitor the patient, and ventilatory and hemodynamic changes that may occur during laparoscopic surgery, in order to identify potential complications early. The anesthetist should be able to promptly diagnose and treat different complications, alerting the surgeons in a timely fashion, thus preventing less favorable outcomes.

Acknowledgements

None.

Conflict of interest

No conflict of interest.

References

Creative Commons Attribution License

©2018 Duque, et al. This is an open access article distributed under the terms of the, which permits unrestricted use, distribution, and build upon your work non-commercially.