Submit manuscript...
Journal of
eISSN: 2373-6437

Anesthesia & Critical Care: Open Access

Proceeding Proceedings Proceedings 2016

Catastrophic Arterial Thrombosis in an Infant Undergoing Neuroblastoma Resection

Rohan K Panchamia, Anahita Dabo

Department of Anesthesiology & Critical Care Medicine, Memorial Sloan Kettering Cancer Center, USA

Correspondence: Anahita Dabo, Department of Anesthesiology & Critical Care Medicine, Memorial Sloan Kettering Cancer Center, New York, USA

Received: January 29, 2016 | Published: February 20, 2016

Citation: Panchamia RK, Dabo A (2016) Catastrophic Arterial Thrombosis in an Infant Undergoing Neuroblastoma Resection. J Anesth Crit Care Open Access 4(4): 00149. DOI: 10.15406/jaccoa.2016.04.00149

Download PDF

Keywords

neuroblastoma, embryonal malignancy

Introduction

Neuroblastoma is an embryonal malignancy of the sympathetic nervous system, arising from neural crest cells which normally differentiate into cells of the adrenal medulla responsible for catecholamine synthesis. 50% of cases originate from unilateral or bilateral adrenals, however, neuroblastoma may present anywhere where neural crest cells are found. Patients may present with abdominal pain, weight loss, nausea/vomiting, diarrhea, bone pain, and/or palpable mass. Favorable prognostic factors include favorable histology, non-amplified N-myc gene, patient’s age less than 2, and stage 1, 2, or 4S disease (Figure 1). Physiological characteristics an anesthesiologist must consider include: Airway displacement or compression from neuroblastoma tumors in the neck or posterior mediastinum.

  1. Vascular compression of large vessels.
  2. Gastric outlet obstruction.
  3. Tumors surrounding large vessels.
  4. Tumors secreting catecholamines.
  5. Effects from chemotherapy agents.

Figure 1 Intestinal neuroblastoma Staging System (INSS).

Case details

14month old female with a history of stage III neuroblastoma, no other comorbidities, presented to our institution for a left thoracoabdominal exploration and resection. As the surgeon made preparations to close, the patient’s SBP’s almost immediately decreased from 90’s (general trend) to 60’s mmHg, accompanied by an elevation in heart rate. Several 20 cc/kg boluses of isotonic crystalloid fluid were administered with no change in hemodynamics. A dopamine infusion was started for refractory hypotension. Surgical exploration revealed the small bowel to be diffusely dusky and ischemic; the surgeon identified a thrombus in the superior mesenteric artery (SMA) (Figure 2 & 3).1˗3 An ABG returned with a pH 7.047 in the setting of profound lactate acidosis with a lactate of 10.4 mmol/L. Vascular surgery was consulted for an SMA embolectomy and heparin 250 units IV was given. As the case progressed, dopamine was up-titrated to maintain MAPs > 40mmHg. The patient’s lactate continued to rise in spite of reperfusion to the SMA, leading to significant vasoplegia and requiring the addition of an epinephrine infusion. A Whipple procedure was performed and the patient was closed, left in discontinuity. She was transported to the PICU intubated, on dopamine and epinephrine infusions.

Figure 2 I-MIBG scan.1-3

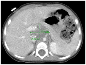
Figure 3 ICT abd/pelvis: 3.8 x 2.6 cm partially calcified heterogeneous paravertebral mass, encases celiac and superior mesenteric arteries and left renal vein, and partially encases the renal arteries.

Discussion

Testing for prothrombotic risk factors revealed the patient to be homozygous for thermoliable methylenetetrahydrofolate reductase (MTHFR) polymorphism 677C to T Ala222val mutation (Figure 4). MTHFR gene mutation creates an enzyme with reduced activity for homocysteine metabolism, which has been linked to the development of venous and arterial thrombo-occlusive events. There have been numerous case reports linking this genetic defect to arterial thrombosis in children with congenital heart disease, cerebral vascular events, leukemia, and inflammatory bowel disease. Nevertheless, arterial thrombotic events in the pediatric population are rare occurrences and incidence is not widely known. The presence of the homozygous genotype is important in the context of general anesthesia. The use of nitrous oxide is associated with catastrophic neurological outcomes and even death, as nitrous oxide inhibits vitamin B12 with an effect possibly lasting for days due to its irreversible chemical nature. Triggering events, especially in the perioperative period, are multifactorial and include surgical stress, oxidative stress, immobilization and enhanced inflammatory response, all of which can contribute to an increased likelihood of thrombo-occlusive events.

Figure 4 MTHER gene mutation.

Conclusion

Our patient had undetected homozygous MTHFR deficiency. Arterial thrombosis in children is a rare phenomenon and when present should be investigated as an underlying disorder can be found in 95% of cases. Routine screening is not justified as prevalence is low. To prevent future thromboembolic events in patients with homozygous MTHFR gene mutation, patients should be appropriately anticoagulated.

Acknowledgments

None.

Conflicts of interest

Author declares there are no conflicts of interest.

Funding

None.

References

Creative Commons Attribution License

©2016 Panchamia, et al. This is an open access article distributed under the terms of the, which permits unrestricted use, distribution, and build upon your work non-commercially.