Submit manuscript...
Journal of
eISSN: 2373-6437

Anesthesia & Critical Care: Open Access

Case Report Volume 13 Issue 6

Could nebulized heparin be the magic treatment for COVID-19 Pneumonia and ARDS?

Khaled Sewify,1 Ahmed R Shoala,2 Abdelaziz Alshaer,3 Ashraf Amin,4 Rehab Y AL-Ansari5

1Consultant Intensivist, Critical Care Department, Kingdom of Saudi Arabia
2Critical Care Specialist, Critical Care Department, Kingdom of Saudi Arabia
3Consultant Intensivist, Critical care Department, Kingdom of Saudi Arabia
4Critical Care Specialist, Critical Care Department, Kingdom of Saudi Arabia
5Hematology Consultant, Adult Hematology Unit, Internal medicine Department, Kingdom of Saudi Arabia

Correspondence: Khaled Sewify, Intensive care consultant, critical care Department, KFMMC, Dhahran 31932, Kingdom of Saudi Arabia

Received: December 08, 2021 | Published: December 29, 2021

Citation: Sewify K, Shoala AR, Alshaer A, et al. Could nebulized heparin be the magic treatment for COVID-19 Pneumonia and ARDS? J Anesth Crit Care Open Access. 2021;13(6):185‒191. DOI: 10.15406/jaccoa.2021.13.00494

Download PDF

Abstract

Background: The global spread of the novel strain of coronavirus referred to as severe acute respiratory syndrome coronavirus 2 (SARS-CoV-2) has resulted in the continuous rise in the hospitalization of people suffering from COVID-19 in various parts of the world. The predominant symptoms experienced by patients diagnosed with SARS-CoV-2 infection include pneumonia and acute respiratory distress syndrome (ARDS). These symptoms have contributed to the high mortality rate of COVID-19 patients across the globe. Recent studies have indicated that nebulized unfractionated heparin (UFH) can be employed in the treatment of pneumonia and acute respiratory distress syndrome (ARDS) in hospitalized patients who have been diagnosed with SARS-CoV-2 infection. 

Case description: The case study for this investigation was a 37-year-old Saudi woman who had muscular dystrophy, bronchial asthma, and diabetes mellitus. This hospitalized patient who was a wheelchair bound was admitted to the intensive care unit (ICU) due to the onset of severe COVID-19 related pneumonia and ARDS. The patient was intubated and placed on high mechanical ventilation support with protective lung strategy (low tidal volume and high PEEP level), prone positioning, administering inhaled nitric oxide therapy, and the intravenous infusion methylprednisolone together with antiviral agents and empiric antibiotics for seven days. Despite the administration of this maximal therapy, she continued to have refractory hypoxemia and severe ARDS. As a result, a high dose of UFH was administered to the patient through nebulization. After administering nine different doses of nebulized UFH, the patient’s oxygenation and inflammatory markers have remarkably improved, then she had a very smooth course and successfully weaned off mechanical ventilation.

Conclusion: This treatment strategy resulted in a significant improvement in the P/F ratio, a remarkable reduction in the bilateral lung infiltrates and inflammatory markers and eventually weaning of mechanical ventilation in the COVID-19 patient. This case suggests that nebulized UFH has a strong scientific and biological basis to test its use as a therapy for COVID-19 pneumonia and ARDS as it may offer huge clinical benefit across the time course of the disease as well may prevent progression of infection If administered early at the onset of symptoms, and may finally prevent the needs for mechanical ventilation.

Learning points: Randomized controlled trials should be carried out to investigate the clinical impacts of nebulized UFH in both prevention and treatment of COVID-19 pneumonia/AERDS.

Keywords: COVID-19, SARS-CoV-2, pneumonia, unfractionated heparin, nebulization, ARDS

Introduction

The incidence and global spread of the novel strain of coronavirus referred to as severe acute respiratory syndrome coronavirus 2 (SARS-CoV-2) has resulted in the continuous rise in the hospitalization of people suffering from COVID-19 in various parts of the world. The predominant symptoms experienced by patients diagnosed with SARS-CoV-2 infection include pneumonia and acute respiratory distress syndrome (ARDS).1 The onset of ARDS leads to the production of inflammatory cytokines, which damage the lungs and impairs breathing in about 23% of COVID-19 patients who are critically ill.2 A recent publication has revealed that the mortality rate of patients diagnosed with COVID-19 who experience pneumonia and ARDS exceeds 66%.3-5 This high mortality rate has been associated with the rise in the plasma markers, such as D-dimers, prolonged prothrombin activity and reduce the total platelet count in individuals suffering from COVID-19.6-10 Moreover, the production of cytokines that causes the damage of major organs increases the severity of SARS-CoV-2 infection among patients that have been admitted to COVID-19 wards. In this focused case review, we present the rationale for the use of nebulized UFH for

COVID- 19 pneumonia and ARDS in hospitalized patients and calling for an urgent, global investigation of its therapeutic effect for this condition.

Case description

A 37-year-old Saudi woman who was suffering from muscular dystrophy, bronchial asthma, and diabetes mellitus served as a case study for this investigation after signing an off able drug consent. This hospitalized patient was bound to a wheelchair due to her inability to move and was placed on B2 agonist and steroid inhalers to alleviate the symptoms of bronchial asthma. Two years ago, the patient was admitted to the intensive care unit (ICU) due to the onset of severe community-acquired pneumonia caused by a bacterial infection. As a result, she had a stormy course and subjected to tracheostomy, high mechanical ventilation support and very difficult weaning of mechanical ventilator. Fortunately, the patient fully recovered after a month and discharged home. On February 2021, she was rushed to the emergency department for treatment after experiencing pyrexia, dry cough, loss of taste and smell, body pain, and dyspnea for 4 days. It was later discovered that she had been in contact with patients diagnosed with COVID-19.11 The result of the nasopharyngeal swab specimen obtained from the patient confirmed that she was infected with SARS nCoV-2 RNA.

Physical, laboratory, and radiological examination 

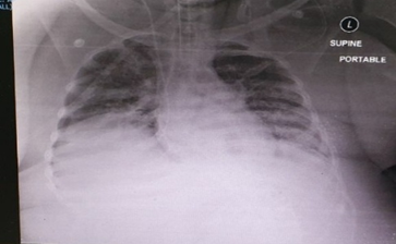
The physical examination of the patient showed that the woman has mild signs of respiratory distress. She had a body temperature of 37.6°C, blood pressure of 112/65 mmHg, pulse rate of 70 bpm, and respiratory rate of 15 bpm. She had oxygen saturation level of 94% on high flow nasal cannula. On the other hand, the laboratory investigations on admissions revealed that the patient had a lymphocyte count of 0.321×103/µL and white blood cell count of 2.50×103/µL. The laboratory test results also showed that the woman had a normal neutrophil count and coagulation profile. The patient had a BUN unit of 1.6 mmol/L, procalcitonin concentration of 0.05 ng/mL, creatinine level of 13 µmol/L, LDH of 338 µL, magnesium ion concentration of 0.73 mmol/L D-dimer concentration of 0.05 mg/L, sodium ion concentration of 135 mmol/L, and ferritin concentration of 310 ng/mL. Furthermore, the result of the venous blood gas analysis indicated the occurrence of metabolic acidosis that is characterized by a pH of 7.28, pCO2 of 63, pO2 76, PFR of 76, and HCO3 of 25. The result of the chest radiograph showed the presence of bilateral lung infiltrates suggesting ARDS (Figure 1).

Figure 1 Chest x-ray on admission showing bilateral basal consolidation with evolving ARDS.

The hospital’s course of action and management procedure

The patient was transferred and admitted to the COVID-19 ward. They administered prophylactic enoxaparin, along with intravenous steroid and empiric antibiotics. On the first day of admission in the COVID-19 ward, the patient was stable without symptoms of dry cough and fever. However, she developed tachypnea and acute hypoxic respiratory failure on the second day of admission. As a result of the onset of severe ARDS, the patient was transferred to the hospital’s ICU, where she was intubated and placed on prolonged mechanical ventilation support. The patient was managed by the protocols of the ARDS Network that include protective lung strategy by maintaining a low tidal volume and high PEEP level of 16 on the ventilator, the prone positioning of the patient, and the intravenous infusion of, with methylprednisolone (1mg g/kg per day), antiviral agents Favipiravir and empiric antibiotics such as azithromycin and ceftriaxone for seven days. Due to the onset of refractory hypoxemia, inhaled nitric oxide therapy has been commenced therapy. The concentration of nitric oxide administered to the patient was 20 ppm. Although the aforementioned protocols were employed to ensure the effective management of the medical condition, the patient continued to experience refractory hypoxemia and severe ARDS with a P/F ratio that was less than 100 mm/Hg for 2 days.

An interview was held with the relatives of the patient to discuss alternative treatment solutions to enhance oxygenation and reduce the inflammation of the lungs.11 The family members were asked to select either of these two treatment solutions: the provision of venovenous extracorporeal membrane oxygenation (ECMO) support or the trial of an off-label use of high dose of unfractionated heparin (UFH) through nebulization. At the end of the interview, the patient’s family appended their signature in an informed consent form to commence the administration of a high dose of UFH through nebulization. A dose of 25,000 units/mL was administered to the patient at 6 hours interval. On the second day, the physicians noticed a marvelous improvement in the P/F ratio after the administration of nebulized UFH. The P/F ratio of the patient increased from 80 to 280 mmHg on the second day to 390 mm/Hg on the seventh day. The physicians also noticed that there was a remarkable reduction in the bilateral lung infiltrates and inflammatory markers, which was evident in the patient’s chest radiograph (Figure 2).

Figure 2 Chest x-ray on Day 3 after starting heroine nebulization showing marked improvement.

After administering nine different doses of nebulized UFH, the concentration inflammatory markers and blood gases returned to normal (Table 1), and lung mechanics also improved (Table 2). As a result, the patient was extubated and moved to a regular ward in the hospital. The patient course this time was very smooth compared with the previous admission and the patient went home after a total of 15 days in the hospital. Interestingly the patient did not develop any secondary bacterial infections or MDR organisms during her stay in the hospital and antibiotics was stopped after completing 7 days without needs for escalation.

Laboratory Results

Reference Range

ICU

D1

ICU

D2

ICU

D3

 

ICU

D4

ICU

D5

ICU

D6

ICU

D7

ICU

D8

ICU

D9

ICU

D10

ICU

D11

EXT

D1

ICU

D12

EXT

D2

ICU

D13

EXT

D3

 

 

48 h

pre-NH

24 h pre-NH

D1 NH

D2 NH

D3 NH

D4

NH

D5

NH

D6

NH

D7 NH

D8 NH

D9 NH

D10

 NH

24 h post-NH

WBC (×10³µ/l)

4-11

3.6

4.3

8

11

13

8

8.4

6.8

10.8

8.3

11.3

10.8

14.4

CRP (mg/l)

0-7

-

75.7

-

168

39

13.5

-

-

2.1

2.5

-

-

2.1

Procalcitonin (ng/ml)

<0.05

-

0.03

-

-

0.02

0.07

-

-

-

0.11

0.01

0.01

0.02

LDH (µ/l)

85-227

-

433

-

-

422

269

223

-

195

160

189

143

162

Ferritin (ng/ml)

2-4

-

-

-

-

-

-

-

-

-

-

-

77

22

D-dimer(mg/l)

0-0.55

0.64

0.55

0.89

0.55

0.70

0.32

0.31

-

0.21

-

-

-

0.19

Lymphocytes (×10³/µl)

1-5

0.31

0.34

0.37

0.61

0.86

0.96

1.0

1.52

1.54

1.62

1.50

1.69

1.59

Table 1 Inflammatory markers before, during and after heparin nebulization
*Abbreviation: h, hours; NH, nebulized heparin; D, Day; EXT, extubation; WBC, White Blood Cell; CRP, C-Reactive Proteins; LDH, lactate dehydrogenase.

Respiratory Parameter and Lung Mechanics

ICU

D1

ICU

D2

ICU D3

ICU

D4

ICU

D5

ICU

D6

ICU

D7

ICU

D8

ICU

D9

ICU

D10

ICU

D11

ICU

D12

ICU

D13

48 h

pre-NH

24 h pre-NH

D1 NH

D2

NH

D3

NH

D4

NH

D5

NH

D6

NH

D7

NH

D8

NH

 

D9

NH

D10

NH

 

24 h post-NH

Ventilator Mode

PCV

PCV

PCV

PCV

PCV

PCV

PCV

SIMV

SIMV

PS

EXT D1

EXT

D2

EXT

D3

PEEP

14

14

14

16

16

15

15

13

11

9

-

-

-

FIO2

100

80

70

50

50

50

40

30

30

30

21

21

21

PH

7.28

7.36

4.16

7.46

7.47

7.46

7.42

7.52

7.43

7.42

7.52

7.39

7.39

PCO2 mmHg

63

43

39

39

37

44

49

36

46

40

42

41

42

Hco3 mmol/l

25

23

25

28

25

30

31

29

29

29

32

24

25

PO2 mmHg

76

70

100

100

187

144

104

119

98

110

109

101

119

Spo2 %

88

93

97

97

99

99.6

99.3

98.2

96

98.5

96.7

97

97.2

pO2(a)/FIO2CmmHg

70

76

143

280

375

359

347

397

327

368

362

-

-

Compliance

34

33

40

40

35

29

35

51

46

36

-

-

-

Plateau Pressure

32

32

31

32

31

31

25

18

19

21

-

-

-

Table 2 Respiratory parameter and lung mechanics before, during and after heparin nebulization
*Abbreviation: h, hours; D, Day; NH, nebulized heparin; EXT, extubation; PEEP, peak inspiratory airway pressure.

Discussion

The occurrence of severe cases of SARS-CoV-2 infection is often associated with other health complications such as the destruction of alveolar walls, coagulopathy, hyper inflammation, microvascular thrombosis, and enhanced synthesis of neutrophil extracellular traps (NETS), which promotes the death of epithelial cells that make up lung tissues. SARS-CoV-2 penetrates human cells by combining with an angiotensin-converting enzyme-2 (ACE-2). The genes responsible for the synthesis of ACE-2 are mostly found in the epithelial cells that make up lung tissues.11,13 The transcription and translation of these genes lead to the production of ACE-2, which prevents the breakdown of angiotensin II in the cell. The continuous synthesis of angiotensin II triggers various cell signaling mechanisms that lead to the initiation of the coagulation pathway. The onset of the blood clotting cascade results in enhanced expression of tissue factors, severe vasoconstriction, destruction of endothelial cells, and damage to the lungs. 

A critical review of the previous case series has indicated that there is an important relationship between the occurrence of severe cases of coagulopathy in COVID-19 patients and the unfavorable outcomes of clinical treatment.14 For instance, the results of a study carried out by Tang et al.10 provided compelling proof of high concentrations of D-dimers and degradation products of fibrin in hospitalized individuals who died due to the COVID-19 infection. The authors further documented that a longer partial thromboplastin time and the prothrombin time were recorded in hospitalized people who died from COVID-19 infection, compared to the survivors who were hospitalized. Similarly, in another study, Klok et al.15 investigated the composite outcome of administering pharmacological thromboprophylaxis to patients diagnosed with COVID-19 infection. The results of the study confirmed that COVID-19 patients who experienced severe symptoms of coagulopathy suffered from ischemic stroke, symptomatic pulmonary embolism (PE), myocardial infarction, and deep-vein thrombosis. The cases of systemic arterial embolism were observed in 49% of the hospitalized patients, while pulmonary embolism was documented in 87% of the patients.15 Furthermore, another recent study carried out by Helms et al.8 showed that COVID-19 patients who experience severe symptoms of ARDS suffered from various thrombotic complications compared to COVID-19 patients who were not diagnosed with ARDS. These studies prove that there is an important relationship between the severity of coagulopathy in COVID-19 patients and the unfavorable outcomes of clinical treatment.

UFH is a type of glycosaminoglycan molecule that is synthesized by various cells in living organisms.16 The specific roles of this biological molecule are often linked to the activities carried out in the basement membrane, respiratory surfaces, endothelial cells, and extracellular matrices. Heparin is mainly synthesized by mast cells and preserved as granules in humans. This glycosaminoglycan molecule constitutes 30% of the dry biomass of the granules found in mast cells.17 The selection and application of nebulized UFH to alleviate pneumonia and ARDS in patients infected with SARS-CoV-2 virus are based on the results derived from various research investigations.

Firstly, different randomized and non-randomized control trials have been carried out on hospitalized individuals diagnosed with severe lung injury and other similar medical conditions. The results of these trials provided compelling evidence that the application of nebulized UFH decreased the initiation of the blood clotting cascade, microvascular thrombosis, as well as pulmonary dead space, and enhanced the impact of clinical treatments in hospitalized individuals. Furthermore, the use of a high dose of nebulized UFH improved mechanical ventilation and oxygenation in hospitalized people infected with SARS-CoV-2 virus. Secondly, scientific research has revealed that UFH has significant mucolytic and anti-viral effects against SARS-CoV-2 virus. This biological molecule also alleviates the symptoms triggered by the occurrence of coagulation and inflammation of the lungs.16,17 In view of this, many researchers have explored the mechanism of action of UFH against SARS-CoV virus and the prevention of the penetration of the virus into the cells of mammals.18-22 The results of these research investigations revealed that the application of a high dose of nebulized UFH prevents the onset of lung infections caused by SARS-CoV-2 virus. Most importantly, a high dosage of nebulized UFH prevents the attachment of SARS-CoV-2 to ACE-2 and the occurrence of COVID-19 infection in mammalian cells. 

Over the years, researchers have discovered various pieces of evidence, which prove that nebulized UFH has significant anti-viral impacts that enhance the effectiveness of the host’s defense mechanisms. The first proof is based on the preexisting knowledge that mast cells are localized along the blood vessels in the human body, particularly along capillaries and venules.23 The second evidence is rooted in the fact that organs like lung tissues and the alimentary canal have a high amount of mast cells compared to other parts of the human body.24 The third proof is based on the knowledge that heparin is a macromolecule that is conserved in a wide array of species, including those without a blood-clotting pathway. Therefore, Nader et al.25 inferred that the production of heparin in various species is quintessential to carrying out different biological functions that are not related to the initiation of the blood clotting process. This suggestion was validated in a study conducted by Porzionato et al.23 which indicated that many pathogenic bacteria and viruses rely on the interactions between proteoglycan molecules like heparin sulfate to penetrate and adhere to tissue surfaces in different hosts.

Past research studies have also indicated that UFH prevented the penetration of viral pathogens like the herpes simplex virus (HSV), SARS-associated coronavirus, and the human immunodeficiency virus (HIV) into the cells of mammals.18- 22,26,27 In addition, a recent research investigation carried out by Mycroft-West et al.28 revealed that the attachment of unfractionated heparin to the receptor-binding domain of the SARS-CoV-2 Spike S1 protein triggers a change in the conformation of the macromolecule that inhibits the attachment of the viral pathogen to ACE-2. Subsequent investigations by researchers have further proven that the effects of the attachment of heparin to the receptor-binding domain of the SARS-CoV-2 Spike S1 protein vary with the molecular weight of the molecule.29 In view of this, it can be inferred that heparins with a high molecular weight will exhibit a significant magnitude of attachment compared to similar molecules with a low molecular weight.

Heparin molecules have anti-inflammatory properties, which enables them to inhibit the production of chemicals associated with the inflammation of tissues.30-34 For instance, during the onset of SARS-CoV-2 infection, heparin prevents the synthesis of cytokines and adhesion substances that mediate the attachment of inflammatory cells to tissues. Heparin also enhances oxygenation on mechanical ventilation and increases the production of nitric oxide.35-38 A study carried out by Camprubi-Rimblas et al.39 demonstrated that heparin molecules decrease the synthesis of pro-inflammatory cytokines in damaged macrophages that are localized in the alveoli of the human pulmonary system. The authors further documented that the biological molecule inhibits the NF-kB pathway that is associated with the production of pro-inflammatory mediators in the cells of the alveoli. Similarly, a research investigation conducted by Chimenti et al.40 indicated that the nebulization of heparin reduces the synthesis of NF-kB effectors, pro-inflammatory cytokines, and TGF-β effectors in lung cells. The main mechanisms of action through which heparin alleviates the symptoms triggered by the onset of SARS-CoV-2 infection include the inhibition of the activity of heparinase and the decline in the production of adhesion substances in the cells of the alveoli. 

The biological molecule also prevents the entry and attachment of inflammatory cells into the tissues of the lungs.41 In addition, Mulloy41 demonstrated the pharmacological effects of heparin in the prevention of endothelial injuries caused by SARS-CoV-2 infection. The level of effectiveness of UFH was discovered and validated by carrying out pre-clinical trials using suitable animal models. For instance, a pre-clinical study conducted by Lever et al.42 proved that UFH has a higher anti-inflammatory effect compared to low molecular weight heparin molecules. In view of this, the authors suggested that UFH exhibits pharmacological properties that may be useful in the alleviation of hyper inflammation in hospitalized individuals who are diagnosed with SARS-CoV-2 infection. Similarly, Zhang et al.43 emphasized that the various anti-viral and anti-inflammatory properties of heparin may be quintessential in the treatment of hyper inflammation in people who are diagnosed with SARS-CoV-2 infection. 

The anticoagulant effects of heparin have made the molecule a suitable treatment solution for the alleviation of symptoms associated with systemic fibrin deposition.44 Some research studies have proven that heparin prevents the initiation of the coagulation pathway through several mechanisms of action. These mechanisms include acting as a catalyst to enhance the activity of antithrombin, decreasing the expression of tissue factors during the onset of a viral infection, enhancing the initiation of the pathway that inhibits the expression of tissue factors, and promoting the synthesis of heparin sulfate through the production of plasminogen activators by endothelial cells.34,45 This mechanism of action enables the nebulized heparin molecules to decrease inflammation and limit the onset of fibrin disposition in the lungs.

Other studies have also documented the anti-inflammatory effects of nebulized UFH.30-33 These research publications documented that the mode of action of UFH does not involve entry into the systemic circulation of the human body. In addition, the application of nebulized UFH did not cause major side effects when used to enhance the functions of the lungs. For instance, a study carried out by Camprubi-Rimblas et al.34 indicated that the use of nebulized UFH for the treatment of acute respiratory distress syndrome decreases the risks of systemic bleeding in hospitalized patients. In this regard, researchers have recommended the application of nebulized UFH as a systemic therapeutic agent for ARDS and for the prophylactic treatment of coagulopathy. 

Most importantly, the clinical proof of the efficacy of nebulized UFH in the treatment of SARS-CoV-2 infection shows that the administration of this therapeutic agent contributes significantly to positive clinical outcomes compared to other treatment solutions.10

For instance, the results of a non-randomized control trial carried out by Tang et al.46 provided compelling evidence of the efficacy of nebulized UFH in the treatment of SARS-CoV-2 infection. The authors reported that the administration of heparin to hospitalized patients who exhibited symptoms caused by high levels of D-dimers and sepsis-induced coagulopathy increased the survival rate of these individuals compared to other treatment solutions (Figure 4).

Figure 3 LDH and Lymphocytes count in relation to UFH nebulization.

Figure 4 Pco2, Po2 and Spo2% in relation to UFH Nenulization.

The result of another observational research carried out to investigate the effects of the application of nebulized UFH on the survival rate of hospitalized individuals diagnosed with SARS-CoV-2 infection showed that the therapeutic solution reduced the mortality rate of these patients significantly.47 In contrast, this effect was not observed in patients who did not receive systemic anticoagulation treatment.47 Based on the outcome of this investigation, Paranjpe et al.47 inferred that the administration of UFH had better clinical impacts in hospitalized individuals suffering from COVID-19. 

On the whole, the outcome of different studies on the therapeutic properties of nebulized UFH shows that the treatment solution provides clinical benefits over the time course of SARS-CoV-2 infection.11,46-48 The several modes of action of nebulized UFH also make this therapeutic agent a suitable choice for the prophylactic treatment of COVID-19. In addition, nebulized UFH can be administered during the onset of the SARS-CoV-2 infection to reduce the progression of the disease. The antiviral, anti-inflammatory, and anti-coagulation effects of nebulized UFH make it a preferable option for the alleviation of pneumonia and ARDS that characterize the progression of SARS-CoV-2 infection.

Many research studies have demonstrated that nebulized UFH reduced the inflammation of the lungs, and enhanced the recovery rate of COVID-19 patients.30-33 Although the wide availability and cost-effectiveness of this drug make it a potential treatment solution for the alleviation of COVID-19 symptoms in hospitalized individuals, large-scale clinical studies must be conducted to evaluate the impacts of nebulized UFH on the mortality rate of people diagnosed with SARS-CoV-2 infection. In order to ascertain the generalizability of the outcome of large-scale research studies, the investigations should be connected by a global health network. 

Conclusion

This article review may provide convincing clue of the efficacy of nebulized UFH in the treatment of pneumonia and ARDS that are experienced by hospitalized patients who have been diagnosed with SARS-CoV-2 infection. This intervention in our case resulted in a significant improvement in the P/F ratio, a remarkable reduction in the bilateral lung infiltrates and inflammatory markers, and significant improvement in the mechanism of ventilation in the COVID-19 patients. It is well known that high doses nebulized UFH has antiviral, anti-inflammatory, anti-coagulant, and mucolytic properties that improve the recovery and survival rates of hospitalized individuals admitted to COVID-19 wards.

Moreover, the multiple mechanisms of action of nebulized UFH make this therapeutic solution a preferable choice for the prophylactic treatment of COVID-19 and the inhibition of the progression of the disease in hospitalized individuals. Other benefits such as the wide availability, high safety and cost-effectiveness of the drug make it a suitable treatment solution for the alleviation of COVID-19 symptoms in hospitalized individuals.

Based on the beneficial effects of nebulized UFH in the treatment of COVID-19 disease, a call has been issued out to concerned stakeholders to conduct large scale studies to investigate the clinical impacts of this therapeutic solution in the alleviation of COVID-19 related pneumonia and ARDS in hospitalized patients across the globe.

Acknowledgments

There is no acknowledgment.

Conflicts of interest

There are no conflicts of interest regarding the publication of this paper.

Financial disclosure or funding

Not applicable.

Informed consent

Not applicable.

Author contributions

Nothing to declare.

References

  1. Ahmed T, Garrigo J, Danta, I. Preventing bronchoconstriction in exercise-induced asthma with inhaled heparin. New England Journal of Medicine. 1993;329(2):90–95.
  2. Cagno V, Tseligka ED, Jones ST. Heparan sulfate proteoglycans and viral attachment: True receptors or adaptation bias? Viruses. 2009;11(7).
  3. Camprubi-Rimblas M, Guillamat-Prats R, Lebouvier T, et al. Role of heparin in pulmonary cell populations in an in-vitro model of acute lung injury. Respiratory Research. 2007;18(1):89.
  4. Camprubi-Rimblas M, Tantinya N, Bringue J, et al. Anticoagulant therapy in acute respiratory distress syndrome. Annals of Translational Medicine. 2018;6(2):36.
  5. Carr J. The anti-inflammatory action of heparin: Heparin as an antagonist to histamine, bradykinin and prostaglandin E1. Thrombosis Research. 1979;16(3–4);507–516.
  6. Chimenti L, Camprubi-Rimblas M, Guillamat-Prats R, et al.. Nebulized heparin attenuates pulmonary coagulopathy and inflammation through alveolar macrophages in a rat model of acute lung injury. Journal of Thrombosis and Haemostasis. 12017;17(11):2125–2134.
  7. de Haan CA, Li Z, te Lintelo E, et al. Murine coronavirus with an extended host range uses heparan sulfate as an entry receptor. Journal of Virology. 2017;79(22):14451–1446.
  8. Deng Y, Liu W, Liu K, et al. Clinical characteristics of fatal and recovered cases of coronavirus disease 2019 (COVID-19) in Wuhan, China: A retrospective study. Chinese Medical Journal. 2020;133(11):1261–1267.
  9. Fellner SK, Purkerson ML. Gordon Murray: Heparin, hemodialysis and hubris. American Journal of Nephrology. 2020;22(2–3):271–277.
  10. Gattinoni L, Chiumello D, Caironi P, et al. COVID-19 pneumonia: Different respiratory treatments for different phenotypes? Intensive Care Medicine. 2020;46:1099–1102.
  11. Grasselli G, Zangrillo A, Zanella A, et al. Baseline characteristics and outcomes of 1591 patients infected with SARS-CoV-2 admitted to ICUs of the Lombardy Region, Italy. JAMA. 2020;323(16):1574–1581.
  12. Hamming I, Timens W, Bulthuis ML, et al. Tissue distribution of ACE2 protein, the functional receptor for SARS coronavirus. A first step in understanding SARS pathogenesis. Journal of Pathology. 2004;203(2):631–637.
  13. Helms J, Tacquard C, Severac F, et al. High risk of thrombosis in patients with severe SARS-CoV-2 infection: A multicenter prospective cohort study. Intensive Care Medicine. 2020;46:1089–1098.
  14. Huang C, Wang Y, Li X, et al. Clinical features of patients infected with 2019 novel coronavirus in Wuhan, China. Lancet. 2020;395(10223):497–506.
  15. Klok FA, Kruip M, van der Meer NJM, et al. Confirmation of the high cumulative incidence of thrombotic complications in critically ill ICU patients with COVID-19: An updated analysis. Thrombosis Research. 2020;191:148–50.
  16. Koenig A, Norgard-Sumnicht K, Linhardt R, et al. Differential interactions of heparin and heparan sulfate glycosaminoglycans with the selectins. Implications for the use of unfractionated and low molecular weight heparins as therapeutic agents. Journal of Clinical Investigation. 1998;101(4):877–889.
  17. Kim S, Jin W, Sood A, et al. Glycosaminoglycan binding motif at S1/S2 proteolytic cleavage site on spike glycoprotein may facilitate novel coronavirus (SARS-CoV-2) host cell entry. 2020.
  18. Lang J, Yang N, Deng J, et al. Inhibition of SARS pseudovirus cell entry by lactoferrin binding to heparan sulfate proteoglycans. PLoS One. 2006;6(8):e23710.
  19. Lever R, Smailbegovic A, Page CP. Locally available heparin modulates inflammatory cell recruitment in a manner independent of anticoagulant activity. European Journal of Pharmacology. 2010;630(1–3):137–144.
  20. Madu IG, Chu VC, Lee H, et al. Heparan sulfate is a selective attachment factor for the avian coronavirus infectious bronchitis virus Beaudette. Avian Diseases. 2007;51(1):45–51.
  21. Marini JJ, Gattinoni L. Management of COVID-19 respiratory distress. JAMA. 323(22):2329–2330.
  22. Milewska A, Zarebski M, Nowak P, et al. Human coronavirus NL63 utilizes heparan sulfate proteoglycans for attachment to target cells. Journal of Virology. 2004;88(22):13221–13230.
  23. Monagle K, Ryan A, Hepponstal M, et al. Inhalational use of antithrombotics in humans: Review of the literature. Thrombosis Research. 2015;136(6):1059–1066.
  24. Moulard M, Lortat-Jacob H, Mondor I, et al. Selective interactions of polyanions with basic surfaces on human immunodeficiency virus type 1 gp120. Journal of Virology. 2000;74(4):1948–1960.
  25. Mousavi S, Moradi M, Khorshidahmad T, et al. Anti-inflammatory effects of heparin and its derivatives: A systematic review. Advances in Pharmacological Sciences. 2015;507151.
  26. Mulloy B, Hogwood J, Gray E, et al. Pharmacology of heparin and related drugs. Pharmacological Reviews. 2016;68(1):76–141.
  27. Mulloy B. The non-anticoagulant promise of heparin and its mimetics. Current Opinion in Pharmacology. 2019;46:50–54.
  28. Mycroft-West C, Su D, Elli S, et al. The 2019 coronavirus (SARS-CoV-2) surface protein (Spike) S1 Receptor Binding Domain undergoes conformational change upon heparin binding. 2020.
  29. Nader HB, Chavante SF, dos-Santos EA, et al. Heparan sulfates and heparins: Similar compounds performing the same functions in vertebrates and invertebrates? Brazilian Journal of Medical and Biological Research. 1999;32(5):529–538.
  30. Paranjpe I, Fuster V, Lala A, et al. Association of treatment dose anticoagulation with in-hospital survival among hospitalized patients with COVID-19. Journal of the American College of Cardiology. 2020;76(1):122–124.
  31. Porzionato A, Macchi V, Parenti A, et al. The distribution of mast cells in the human area postrema. Journal of Anatomy. 2004;204(2):141–147.
  32. Qin C, Zhou L, Hu Z, et al. Dysregulation of immune response in patients with COVID-19 in Wuhan, China. Clinical Infectious Diseases, ciaa248. 2020.
  33. Rostand KS, Esko JD. Microbial adherence to and invasion through proteoglycans. Infection and Immunity. 1997;65(1):1–8.
  34. Shute JK, Calzetta L, Cardaci V, et al. Inhaled nebulised unfractionated heparin improves lung function in moderate to very severe COPD: A pilot study. Pulmonary Pharmacology and Therapeutics. 2018;48:88–96.
  35. Tang N, Bai H, Chen X, et al. Anticoagulant treatment is associated with decreased mortality in severe coronavirus disease 2019 patients with coagulopathy. Journal of Thrombosis and Haemostasis. 2019;18:1094–1099.
  36. Tang N, Li D, Wang X, et al. Abnormal coagulation parameters are associated with poor prognosis in patients with novel coronavirus pneumonia. Journal of Thrombosis and Haemostasis. 2020;18(4):844–847.
  37. Tangphao O, Chalon S, Moreno HJJr, et al. Heparin-induced vasodilation in human hand veins. Clinical Pharmacology and Therapeutics. 1999;66(3):232–238.
  38. Tay MZ, Poh CM, Renia L, et al. The trinity of COVID-19: Immunity, inflammation and intervention. Nature Reviews Immunology. 2020;20:363–374.
  39. Thomas R, Brooks T. Common oligosaccharide moieties inhibit the adherence of typical and atypical respiratory pathogens. Journal of Medical Microbiology. 2004;53(9):833–840.
  40. Thompson BT, Chambers RC, Liu KD. Acute respiratory distress syndrome. New England Journal of Medicine. 2017;377(6):562–572.
  41. Tuinman PR, Dixon B, Levi M, et al. Nebulized anticoagulants for acute lung injury - A systematic review of preclinical and clinical investigations. Critical Care. 2012;16(2):R70.
  42. van Haren FMP, Page C, Laffey JG, et al. Nebulized heparin as a treatment for COVID-19: Scientific rationale and a call for randomized evidence. Critical Care. 2020;24:454.
  43. Valent P, Baghestanian M, Bankl HC, et al. New aspects in thrombosis research: Possible role of mast cells as profibrinolytic and antithrombotic cells. Journal of Thrombosis and Haemostasis. 2020;87(5):786–790.
  44. Vicenzi E, Canducci F, Pinna D, et al. Coronaviridae and SARS-associated coronavirus strain HSR1. Emerging Infectious Diseases. 2004;10(3):413–418..
  45. Wu C, Chen X, Cai Y, et al. Risk factors associated with acute respiratory distress syndrome and death in patients with coronavirus disease 2019 pneumonia in Wuhan, China. JAMA Internal Medicine. 2004;180(7):934–943.
  46. Zhang H, Penninger JM, Li Y, et al. Angiotensin-converting enzyme 2 (ACE2) as a SARS-CoV-2 receptor: Molecular mechanisms and potential therapeutic target. Intensive Care Medicine. 2020;46(4):586–590.
  47. Zhang W, Zhao Y, Zhang F, et al. The use of anti-inflammatory drugs in the treatment of people with severe coronavirus disease 2019 (COVID-19): The perspectives of clinical immunologists from China. Clinical Immunology. 2020;214:108393.
  48. Zhao Y, Zhao Z, Wang Y, et al. Single-cell RNA expression profiling of ACE2, the putative receptor of Wuhan 2019-nCov. 2020.
Creative Commons Attribution License

©2021 Sewify, et al. This is an open access article distributed under the terms of the, which permits unrestricted use, distribution, and build upon your work non-commercially.