Submit manuscript...
Journal of
eISSN: 2373-6437

Anesthesia & Critical Care: Open Access

Case Report Volume 10 Issue 3

Desmoplastic medulloblastoma in an adult patient

Mehmet Edip Akyol,1 Abdurrahman Aycan,1 Celaleddin Soyalp,2 Mehmet Arslan1

1Yüzüncü Yıl University Faculty of Medicine, Department of Neurosurgery, Turkey
2Yüzüncü Yıl University Faculty of Medicine, Department of Anesthesiology and Reanimation, Turkey

Correspondence: Mehmet Edip Akyol, Yüzüncü Yıl University Faculty of Medicine, Department of Neurosurgery, Van, Turkey

Received: February 21, 2017 | Published: June 7, 2018

Citation: Akyol ME, Aycan A, Soyalp C, et al. Desmoplastic medulloblastoma in an adult patient. J Anesth Crit Care Open Access. 2018;10(3):101-103. DOI: 10.15406/jaccoa.2018.10.00370

Download PDF

Abstract

Though medulloblastoma is considered as a childhood brain tumor, it may occur less frequently in adolescents and rarely in adults. While desmoplastic medulloblastoma histologic variant is observed in approximately 15% of childhood cases, it constitutes more than 50% of adult cases. In this article, we discuss a desmoplastic medulloblastoma case in view of the current literature.

Keywords: medulloblastoma, desmoplastic medulloblastoma, histologic variant

Abbreviations

CSF, Cerebrospinal fluid; MRI, magnetic resonance imaging; EVD, External ventricular drainage; cranial CT, cranial computed tomography

Introduction

Medulloblastoma is a malignant embryonal tumor classified in the primitive neuroectodermal tumor group. Medulloblastoma can be seen in adults besides being pediatric tumors classically. It was first described and named by Bailey et al.1 It arises from bipotential neural stem cell precursors in the granular cell layer of the cerebellar cortex at the 4. ventricle ceiling and mostly localized in the midline, cerebral vermis.

Medulloid tumors constitute approximately 15-20% of pediatric brain tumors, and 4-10% of primary brain tumors. Histologically, they are most commonly observed as "classical" medulloblastomas.1,2 Besides the classical type of medulloblastomas, the other subtypes including desmoplastic medullobastoma, medullomyeloblastoma, melanotic medulloblastoma, lipomatous medulloblastoma and large cell medulloblastoma are also seen. Desmoplastic medulloblastoma is a rare variant of medulloblastomas. This variant is macroscopically well-limited tumors. As well as it can be seen in the midline, and vermis, in the pediatric age, it is superficially localized on the cerebellum side lobes, mostly beginning in the adult era. In this article, a case of desmoplastic medulloblastoma, which is interesting because of its low incidence, is presented and the clinical features of desmoplastic medulloblastomas are discussed in view of the current literature.

Case report

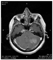
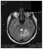
A 28 year-old female patient with long-lasting intermittent nausea was admitted to our hospital with the complaints of nausea, vomiting, and headache. The neurologic examination was normal with normoactive deep tendon reflexes. Cranial MRI revealed a hydrocephalus due to pressure on the 4th ventricle in the left cerebellum (Figure 1) and external ventricular drainage system was applied to the patient. Subsequent contrast-enhanced cranial MRI examination revealed, a massive heterogeneous contrast enhanced lesion which was iso-hypointense in T1 and iso-hyperintense in T2 imagings and located on the lateral left cerebellum and extended to the cerebellopontin angulus, showing compression to the 4th ventricular and extraaxial placement (Figure 2-4). The patient was operated, and the tumor in pink-gray colored, soft and flexible consistency was totally removed. She was followed by external ventricular drainage and the external drainage system was withdrawn with the normalization of Cerebrospinal Fluid(CSF) circulation. The postoperative course was uneventful and she was taken to the chemotherapy and radiotherapy program. At one month control no neurologic sequellea was observed.

Figure 1 Cranial MRI revealed a hydrocephalus due to pressure on the 4th ventricle in the left cerebellum.

Figure 2 In non-contrast cranial MRI a mass revealed to pressure on the 4th ventricle in the left cerebellum.

Figure 3 In contrast axial cranial MRI a mass revealed to pressure on the 4th ventricle in the left cerebellum.

Figure 4 In contrast sagital cranial MRI a mass revealed to pressure on the 4th ventricle in the left cerebellum.

Discussion

Medulloblastoma accounts for 15-20% of childhood intracranial tumors.1,2 Pediatric age is most common among malignant brain tumors. However, medulloblastomas constitute only 1% of intracranial tumors in adults.1,2 Medulloblastoma accounts for 30% of posterior fossa tumors. Incidence increases in the first decade and 80% of cases occur in the first 15years.1–3 30% of the patients are under 3years old.3 The ratio of male to female is 2:1.

Medulloblastomas usually develop from cerebellar vermis, and from the apex of the 4th ventricle ceiling (fastigium). They are seen as a pale gray-pink, easily disintegrating spherical mass with no well-circumscribed capsule, filling the 4th ventricle. Medulloblastomas are characterized by a large number of small, round, and blue cells with intense hyperchromatic nuclei, small cytoplasm. Homer Wright rosettes showing neurobehavioral differentiation are seen and mitosis is frequent.3–5

Most of the desmoplastic variants are on the surface of the hemisphere and show lateral placement. Although the desmoplastic variant is more common at older ages, it constitutes approximately 15% of pediatric cases and more than 50% of adult cases.4,5 While less than 10% of the pediatric medulloblastomas are located at the lateral level, 50% of the adult medulloblastomas are located at the lateral level.4–7 Our patient was 28years old and the mass showed extra-axial placement in the lateral cerebellum. Histologically, desmoplastic medulloblastomas are characterized by solid bands of undifferentiated cells and biphasic structures that surrounds the islands containing polar, thin fibrillar extensions cells with looser placement of the trabeculae.

Although 11-43% of medulloblastomas metastasize to spinal cord via CSF, they can also metastasize to the central nervous system.7,8 As medulloblastomas are very aggressive and rapidly growing tumors, the duration of symptoms is usually 2months or less. Symptoms are specific to the increase in intracranial pressure due to hydrocephalus resulting from the fourth ventricular growth of the tumor and localization of the tumor. Patients can be presented with various symptoms including headache, nausea, vomiting, ataxia, gait disturbance, dysmetria, irritability and lethargy. Appendicular ataxia and dysmetria are especially seen in laterally located tumors.

The diagnosis of medulloblastomas is made radiologically by cranial computed tomography (cranial CT) and magnetic resonance imaging (MRI). MRI is the first radiological study to be performed in posterior fossa lesions and is superior to cranial CT because of its advantages. The vermian mass, typically filling the midline of 4th ventricle in CT, is seen as a homogenously hyperdense before contrast and medium homogeneous contrast enhanced after contrast. Obstructive hydrocephalus is common. Heterogeneous hypointense in T1 and hyperintense in T2 imagings are typically seen in MRI. The cyst is seen in 75-80% of cases.

External ventricular drainage (EVD) should be performed if hydrocephalus threatens the patient's life. Ventriculoperitoneal shunt may be applied in patients who cannot tolerate the operation. However, EVD should be preferred because the patient will be addicted to the shunt and there will be the risk of metastasis. The main treatment of the patient consists of surgery and chemotherapy with radiotherapy. The purpose of surgical treatment is to make a diagnosis, to open the CSF pathway and to perform total resection. Tumor resection, age and metastasis are the main prognostic criteria. Subtotal resection, residual tumor's volume more than 1.5cm3 and the patient's age 3 years or less are poor prognosis criteria. The patient should be followed with a craniospinal MRI once in three months for the first 2 years and once in six months after 2 years and then once a year.

Conclusion

In conclusion, medulloblastomas in the cerebellar hemispheres constitute only 1% of the primary tumors of the central nervous system in adults and more than 50% of the cases constitute desmoplastic variants.9–11 In this case, an adult patient with relatively rare medullaryblastomas was presented and examining the clinical features of the desmoplastic medulloblastomas, which were interesting because of their low incidence, were aimed at.

Acknowledgements

None.

Conflict of interest

The author declares no conflict of interest.

References

  1. Turkish neurosurgical society publications No: 10/2010. Turkish Neurosurgery. 2010;2(77):1057.
  2. Mark S Greenberg. Handbook of Neurosurgery, 7th Edition. Surg Neurol Int. 2010;1:19.
  3. Lijima M, Nakazato Y. Pale İsland in medulloblastoma consist of differentiatedcells with low growth potential. Pathol Int. 1997;47(1):25–30.
  4. Bloom HJ, Bessel EM. Medullobastoma in adults: A review of 47 patiens treated between 1952 and 1981. Int J Radiat Oncol Biol Phys. 1990;18(4):763–772.
  5. Belza MG, Donaldson SS, Steinberg GK, et al. Medulloblastoma: Fredoom mfrom relapse longer than 8 years a therapeutic cure? Neurosurg. 1991;75(4):575–582.
  6. Giangaspero F, Bigner SH, Kleihues P, et al. Medulloblastoma. In Kleihues P, et al. editors. Tumours of the Nervous System. Lyon: IARC; 2000:129-37.
  7. Peterson K, Walker RW. Medulloblastoma: Primitive neuroectodermal tumor in 45 adults. Neurology. 1995;45(3 Pt 1):440–442.
  8. Buhring U, Strayle-Batra M, Freudenstein D, et al. MRI features of primary, secondary and metastatic medulloblastoma. Eur Radiol. 2002;12:1342–1348.
  9.  Laurent JP, Chang CH, Cohen ME. A classification for primitive neuroectodermal tumors (medulloblastoma) of the posterior fossa. Cancer. 1985;56(7 Suppl);1807–1809.
  10. Allen JC, Epstein F. Medulloblastoma and other primary malignant neuroectodermal tumors of the CNS. The effect of patients’ age and extent of disease on prognosis. J Neurosurg. 1982;57(4):446–451.
  11. Bailey P, Cushing H. Medulloblastoma cerebelli: Acommon type of mid-cerebellar glioma of childhood. Arch Neurol Psych. 1925;14:192–224,
Creative Commons Attribution License

©2018 Akyol, et al. This is an open access article distributed under the terms of the, which permits unrestricted use, distribution, and build upon your work non-commercially.