Submit manuscript...
Journal of
eISSN: 2373-6437

Anesthesia & Critical Care: Open Access

Research Article Volume 13 Issue 4

Determination of nephrotoxic effects due to Sugammadex and Rocuronium administration in rats

Öznur Uludağ,1 Öznur Uludağ,2 Ebru Annaç3

1Anesthesiology and Reanimation Department, Adiyaman University Faculty of Medicine, Turkey
2Anatomy Department, Adiyaman University Faculty of Medicine, Turkey
3Histology and Embryology Department, Adiyaman University Faculty of Medicine, Turkey

Correspondence: Assoc. Prof. Dr. Öznur Uludağ, Adiyaman University Faculty of Medicine, Anesthesiology and Reanimation Department, 02100 Adiyaman, Turkey , Tel +90416-2231690, Fax +90416-2231693

Received: July 02, 2021 | Published: July 27, 2021

Citation: Uludağ Ö, Doğan Z, Annaç E. Determination of nephrotoxic effects due to Sugammadex and Rocuronium administration in rats. J Anesth Crit Care Open Access. 2021;13(4):150‒153. DOI: 10.15406/jaccoa.2021.13.00487

Download PDF

Abstract

Background: Nowadays, neuromuscular blocker rocuronium and antagonizing sugammadex are being used in anesthesia practice.  Rocuronium and sugammadex complexes are eliminated via the kidneys.  The aim of this study was to investigate the effects of sugammadex and rocuronium plus sugammadex on histopathological evaluation and antioxidant status of kidney tissue for nephrotoxic effect.

Material and method: The study included 32 Sprague-Dawley type rats. The experimental animals were randomized into four groups with equal numbers each containing 8 rats as follows; Sham Group 1, Control Group 2, Sugammadex Group 3, Rocuronium plus sugammadex Group 4. Kidneys were excised after practise. Kidney tissue histopathological evaluation and antioxidant status (measurements of MDA and GSH levels) were investigated.

Results: In group 4 led to a insignificant decrease in GSH levels compared to other groups.  MDA for Group 4 showed a statistically significant difference compared to all other groups. Histopathological evaluation in group 4,  an increase in vascular congestion was detected and degeneration was observed in dilated tubules and tubule epithelium.  In addition, dilatation was observed in the glomerular capillaries and the veins in the medulla region.

Conclusion: According to our findings, Rocuronium plus sugammadex in the dose ranges used in the studies,  caused histopathological degeneration in the kidneys.

Keywords: Kidney, Neuromuscular block, Rat, Rocuronium, Sugammadex

Introduction

Sugammadex is a modified gamma-cyclodextrin.  It antagonizes the effect of muscle relaxant drugs. When sugammadex is used, there is no need for anticholinesterase or anticholinergic drugs such as neostigmine and atropine.  Side effects of anticholinesterase and anticholinergic drugs are not seen. Sugammadex  exerts  its  effect  by  forming  very  tight  water-soluble  complexes  with  steroidal, neuromuscular blocking drugs such as rocuronium, vecuronium, pancuronium.  Sugammadex is effect by encapsulating non-depolarizing muscle relaxant agents like rocuronium molecules in plasma and detaching them from the neuromuscular junction.1 Sugammadex has a cyclodextrin structure. It is cyclodextrin adjuvant produced as the first single drug and is licensed.  Sugammadeks dosage range is 2–16 mg/kg. Sugammadex is principally removed in the urine in an within 48 hours after intravenous administration. In patients with renal failure, while half-life and volume of distribution are increased. Sugammadex–rocuronium complexes are highly hydrophilic. They are eliminated rapidly via the kidneys.2 Rocuronium is excreted by the liver, but the rocuronium sugammadex complex is mainly excreted by the kidneys.3 Studies showing the effect of sugammadex and rocuronium plus sugammadex on kidneys are limited. Drugs can cause free radical damage with their metabolites.  Free oxygen radicals on cell membrane fatty acids initiate lipid peroxidation.  Oxidation of polyunsaturated fatty acids result in aldehydes. Malondialdehyde (MDA) is the best known aldehyde.  Antioxidants repaire oxidative damage.  The most known glutathioneperoxidase (GSH-Px) in live tissues is amongst antioxidants.4 The hypothesis of this study is to investigate whether sugammadex and rocuronium plus sugammadex application affect the antioxidant status and histopathology of kidney tissues.

Material and methods

All techniques performed in this examination were approved by the Ethics Committee for Animal Experimentation of the Faculty of Medicine at Adiyaman University, Turkey (Approval no:2018/12, ADYU-HADYEK). This study was conducted in the Laboratory of Adiyaman University.  All the procedures were performed according to the accepted standards of the Guide for the Care and Use of Laboratory Animals.5

Animals

Thirty‐ two pieces Sprague–Dawley adults, male rats (Laboratory Animals of Experimental Surgery, Adiyaman, Turkey), weighing 300–350 g, were used. All animals were given with standard 7- to 8-mm pellets and water ad libitum. Room temperature and humidity were maintained at 22–25°C and 50–55 %, respectively. Cool white fluorescent lighting was used between 06:00 and 18:00 hours.

Experimental groups

The animals were separated into four groups, each containing eight rats.

Sham Group 1: No action was taken to rats.

Control Group 2:  Equivalent volume with sugammadex 16 mg/kg 0.9%  intravenous serum physiological were administered to control group.

Sugammadex Group 3: 16 mg/kg intravenous sugammadex (Bridion®; Schering‐ Plough Corporation, Netherlands) were administered to sugammadex group.

Rocuronium plus Sugammadex Group 4: 1 mg/kg intravenous rocuronium (Esmeron®; Organon, Turkey) and three minute later 16 mg/kg intravenous sugammadex (Bridion®; Schering‐ Plough Corporation, Netherlands) were administered.

The combinations of drugs were given intravenously (the tail vein).  In the literature review, sugammadex and rocuronium secreted in the urine for 72 hours have been reported.6 Therefore, the rats were processed after 72 hours to determine the effects of sugammadex and rocuronium on the kidney.  After the procedure, the rats were placed in cages for 72 hours. No difference was observed in feeding pattern. No rat loss. After 72 hours, kidney tissues were removed under ketamine/xylazine anesthesia.  Kidney tissues were divided into incisions for biochemical and histological examinations. After the procedure, rats were sacrificed under anesthesia.

Biochemical evaluation

Kidney tissues were washed with saline at a temperature of +4 degrees, were puted in ependorf tubes with respect to the cold bond principles and stocked at -70°C until investigated.  Tissue homogenates for malondialdehyde and glutathione peroxidase measurements were presented in cold with 0.15 M KCl (10%, w/v) homogenizer.

Malondialdehit (MDA) Assay; Although it is not a specific or quantitative indicator of fatty acid oxidation, it shows good correlation with the degree of lipid peroxidation.  Lipid peroxidation is an indirect indicator of the amount of free oxygen radical formed in the tissue. Uchiyama's method was used for measurements.7 The supernatant removed from the N-butanol phase of the pink colored produce as a result of the MDA reacting with thiobarbituric acid at 95°C was intended on spectrophotometer at 535 and 520 nm.  Kidney tissues were homogenized in 10% trichloroacetic acid and centrifuged.   The superficial liquid part with an equal volume of 0.67% thiobutyric acid, they were incubated in boiling water for 15 minutes at 90 degrees, cooled and centrifuged.  The tissues MDA concentrations were calculated in nmol/g tissue under 532 nm absorbance.

Glutatyon peroksidaz (GSH-Px) Assay; Hydrogen peroxide takes place in the neutralization. Hydrogen peroxide is reduced to two water molecules. The reduced glutathione is oxidized during the reaction. GSH-Px catalyzes the reduction of harmful peroxides such as lipid peroxide and hydrogen peroxide. During this reaction, the reduced glutathione is turned into oxidized glutathione.  GSH-Px analysis was made glutathione in the analysis tube reacted with 5-dithiobis 2-nitrobenzoic acid to give yellow-greenish color and the light intensity of this color was calculated by spectrophotometer at a wavelength of 410 nm. The measurements were made according to the method determined by Ellman.8

Histological analysis

At room temperature, the kidney tissues were stabled with 10% formaldehyde. The kidney tissues were preserved in this solution for ten days. Then the kidney tissues were washed in tap water to eliminate the fixation solution in the samples.  The dehydration and polishing were made. The tissues were finished as paraffin blocks. 10 µm volume was planned from the paraffin blocks with cavaliere method. They were taken for histological examination at 7 µm thick sections. For histopathological evaluation, sections were stained with Hematoksilen & Eosin. The figures obtained by Carl Zeiss Axiocam ERc5 digital camera attachment microscope were investigated and interpreted.

Statistical analysis

One-way analysis of variance (ANOVA) test was used to analyze the malondialdehyde (MDA) and glutathione peroxidase (GSH-Px) values of the groups.  Mann-Whitney U test was used to compare the groups.  Kruskal wallis test was used for data not showing normal distribution and Dunnet test for multiple comparisons. All statistical analyses were done with SPSS 22.0 for Windows; IBM, Chicago, IL, USA.  P < 0.005 was considered significant.

Results

Malondialdehit and glutatyon peroksidaz assays

Comparison of GSH and MDA levels of groups as a result of statistical measurements, rat kidney GSH levels were as follows: 1942.23 ± 469.83 nmol/g in group 1, 1990.3 ± 279.21 nmol/g in group 2, 1988.7 ± 329.09 nmol/g in group 3, 1834.06 ± 382.61 nmol/g in group 4 were found as tissue (Table 1). Compared study data; There was no statistically significant difference between the group in terms of renal GSH (P=0.817). Sugammadex administration showed a insignificant decrease in renal GSH levels compared to control groups.  In group 4 led to a insignificant decrease in GSH levels compared to other groups. MDA, which is defined as an indicator of free radical damage in tissues, did not show a significant difference with sugammadex application compared to control groups.  In the group 1, 1035.98 ± 245.55 nmol/g;  in the group 2, 1076.18 ± 253.26 nmol/g;  1035.98 ± 326.81 nmol/g in the group 3, and 1451.43 ± 368.86 nmol/g in the group 4. Group 4 showed a statistically significant difference compared to all other groups (P = 0.027) (Table 1).

 

 

Kidney Tissue

 

 

Group 1

Group 2

Group 3

Group 4

P value

 

 

 

 

 

1942.23 ±

 

 

 

 

GSH

1990.3 ± 279.21

1988.7 ± 329.09

1834.06 ± 382.61

0.817

469.83

 

 

 

 

1035.98 ±

1076.18 ±

1035.98 ±

1451.43 ±

0.027*

MDA

 

326.81ba

368.86b

245.55a

253.26a

 

Table 1 Biochemical Evaluation of Kidney Tissue
Distribution of GSH and MDA values in kidney tissue of the groups (No statistically significant difference was found between the groups with the same letters, there were statistically significant differences between the groups shown in different letters).

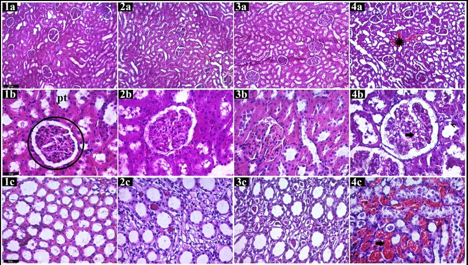
Histopathological evaluation of kidney tissue

Cortex and medulla layers, glomerular and tubular structures were evaluated. Bowman distance was normal in groups and no glomerular fibrosis was found.   In Group 1, Group 2 and Group 3, Glomerular structure, Bowman distance, the parietal leaf of the Bowman capsule, epithelial structures and lumens of the proximal and distal tubules were observed to have normal histological appearance (Figure. 1a, 1b, 1c-2a, 2b, 2c-3a, 3b, 3c).  In group 4, an increase in vascular congestion was detected and degeneration was observed in dilated tubules and tubule epithelium. In addition, dilatation was observed in the glomerular capillaries and the veins in the medulla region (Figure. 4a, 4b, 4c).

Figure 1 Histopathological Evaluation of Kidney Tissue.
1a, 2a, 3a, 4a. Light microscopy image of the kidney cortex region of group 1, group 2, group 3 and group 4, respectively (x10, Hematoxylin & Eosin staining); 1b, 2b, 3b, 4b. Light microscopy image (x40, Hematoxylin & Eosin staining) in glomerular structures of group 1, group 2, group 3 and group 4, respectively; 1c, 2c, 3c, 4c. Light microscopic image (x40, Hematoxylin & Eosin staining) to the renal medulla region of group 1, group 2, group 3 and group 4, respectively; pt: proximal tubule; Black circle: glomerul; star: vascular congestion; Black thick arrow: vascular dilatation; Black arrow head; degeneration in the tubule.

Discussion

Cyclodextrin‐rocuronium complexes are highly hydrophilic and thus are expected to be excreted via the kidneys easily.  Epemolu et al. demonstrated in a study that sugammadex is excreted via the kidneys.9 A significantly prolonged elimination time for rocuronium-sugammadex complex has been reported in human studies when comparing patients with normal renal function and patients with severe kidney damage.10 In anaesthetised guinea pigs it was demonstrated that sugammadex increased the renal excretion of rocuronium several fold compared to excretion after saline administration. The rocuronium with sugammadex complex is removed in urine within 24 hours.  Administration of sugammadex after rocuronium causes prolonged exposure of renal glomerulus and tubules to this combination. Bostan et al. declared that 1 mg/kg rocuronium +96 mg/kg sugammadex combination did not cause any deterioration in renal function but caused histopathological degeneration in the kidneys such as glomerular vacuuming, tubular dilation, lymphocyte infiltration, vascular hypertrophy.11 In one study, neostigmine and sugammadex  that  reversing the muscle relaxant drugs were comparised.  These drugs reported to have not been cause renal failure but to affected renal function.12 In another study sugammadex was used to reverse neuromuscular blockade in patients with severe renal insufficiency.  It has been reported that patients with severe renal insufficiency are inadequate to support the use of sugammadex due to long-term exposure to sugammadex-rocuronium complex.13 One study compared the efficacy of sugammadex in reversing the neuromuscular block of rocuronium in patients with end-stage renal disease and normal renal function. It has been reported that recovery in patients with end stage renal disease is slower than in healthy patients.14 Sugammadex and rocuronium combination patients with end-stage renal disease compared with healthy control group between patients with renal failure and healthy controls between sugammadex and rocuronium observed differences.  It has been reported that urinary excretion of both drugs has decreased in kidney patients.6  The results of the studies conducted so far severe kidney patients must do not use sugammadex and rocuronium combination. In our study, we showed that the kidneys are affected histopathologically and biochemically at the recommended use dose. Large amounts of hydrogen peroxide are generated from superoxide by cell damage.  Hydrogen peroxide can be converted to hydroxyl radicals in damaged cells, although it can normally be converted into water molecules.  Reactive oxygen radicals, such as hydroxy radicals, cause lipid peroxidation. In this case, lytic enzymes are activated, oxidizing the cell proteins. The membrane of the plasma and mitochondria is disrupted. Thus, DNA damage causes cell damage.  The free radical causes the accumulation of steroids and age pigments in the cell while DNA, nucleotides, lipids, enzyme activities in the cell destroy the protein structure.15 Oxidative stress may result from increased free radical production and reduced antioxidant defense. Therefore, the investigation of antioxidant consumption as oxidative stress biomarker is seen as a decrease in the amount of antioxidants or increased metabolites. In our study, sugammadex administration showed a slight decrease in renal GSH levels compared to control groups.  Co-administration of sugammadex with rocuronium led to a insignificant decrease in GSH levels compared to other groups.  In MDA evaluation, group 4 showed a statistically significant difference compared to all other groups.  MDA, which is defined as an indicator of free radical damage in tissues rocuronium with sugammadex was increased. Oxidative stress may result from increased free radical production and reduced antioxidant defense. Therefore, the investigation of antioxidant consumption as an oxidative stress biomarker may be due to a decrease in the amount of antioxidants or an increase in their metabolites.  GSH is used to measure the antioxidant defense system. MDA is used for the measurement of oxidative damage biomarkers.  A significant increase in MDA level and a decrease in GSH concentration in the rocuronium and sugammadex group can be attributed to the increased production of free radicals. In Group 1, Group 2 and Group 3, glomerular structure, bowman distance, the parietal leaf of the bowman capsule, epithelial structures and lumens of the proximal and distal tubules were observed to have normal histological appearance.  In group 4, an increase in vascular congestion was detected and degeneration was observed in dilated tubules and tubule epithelium.  In addition, dilatation was observed in the glomerular capillaries and the veins in the medulla region.   As the degree of histopathological deterioration is more than group 1, 2 and 3 in group 4, it can be concluded that the administration of rocuronium with sugammadex may increase the histopathological degeneration in the kidneys. In addition,  increased MDA level in group 4 also supports histopathological degeneration.

The limitations of the study were the lack of specific biomarkers to assess renal function.

Conclusion

This current study has showed that the kidneys are affected histopathologically and biochemically at the recommended use dose for sugammadex-roruronium combination in rats. In group 4 led to a insignificant decrease in GSH levels compared to other groups.  MDA for Group 4 showed a statistically significant difference compared to all other groups. Histopathological evaluation in group 4, an increase in vascular congestion was detected and degeneration was observed in dilated tubules and tubule epithelium.  In addition, dilatation was observed in the glomerular capillaries and the veins in the medulla region.   As sugammadex and rocuronium in the dose ranges used in the studies, produce adverse effects in animal studies, it is anticipated that it may will nephrotoxic effects in humans either. We believe that attention should be paid when during the use of these drugs to kidneys in humans.

Conflicts of interest

The authors declare no conflict of interest.

Authors' contributions

All the authors contributed equally to the experiments. All authors read and approved the final manuscript.

References

  1. Sorgenfrei IF, Norrild K, Larsen PB, et al. Reversal of rocuronium‐induced neuromuscular block by the selective relaxant binding agent sugammadex: a dose‐finding and safety study. Anesthesiology. 2006;104:667–674.
  2. Jones RK, Caldwell JE, Brull SJ, et al. Reversal of profound rocuronium-induced blockade with sugammadex: a randomized comparison with neostigmine. Anesthesiology. 2008;109:816–824.
  3. Staals LM, de Boer HD, van Egmond J, et al. Reversal of rocuronium-induced neuromuscular block by sugammadex is independent of renal perfusion in anesthetized cats. J Anesth. 2011;25:241–246.
  4. Marrocco I, Altieri F, Peluso I. Measurement and clinical significance of biomarkers of oxidative stress in humans. Oxid Med Cell Longev. 2017;2017:6501046.
  5. Uludağ Ö. History and Importance of Ethical Rules in Animal Experiment Studies (Hayvan deneyi çalışmalarında etik kuralların tarihçesi ve önemi). Adıyaman Üniv Sağlık Bil Derg. 2019;5:1401–1403.
  6. Staals LM, Snoeck MM, Driessen JJ, et al. Reduced clearance of rocuronium and sugammadex in patients with severe to end-stage renal failure: a pharmacokinetic study. Br J Anaesth. 2010;104:31–39.
  7. Uchiyama M, Mihara M. Determination of MDA precursor in tissue by TBA test. Anal Biochem. 1978;86:271–278.
  8. Elman GL. Tissue sulphydryl groups. Arch Biochem Biophys. 1959;82:70–77.
  9. Epemolu O, Bom A, Hope F, et al. Reversal of neuromuscular block and simultaneous increase in plasma rocuronium concentration after the intravenous infusion of the novel reversal agent Org 25969. Anesthesiology. 2003;99:632–637.
  10. Canakci E, Karatas A. The association between kidney function and efficacy of sugammadex in the reversal of neuromuscular blockade train-of-four and kidney functions. J Anesth Crit Care Open Access. 2018;10(5):188‒196.
  11. Bostan H, Kalkan Y, Tomak Y, et al. Reversal of rocuronium-induced neuromuscular block with sugammadex and resulting histopathological effects in rat kidneys. Renal Failure. 2011;33:1019–1024.
  12. Isık Y, Palabiyik O, Cegin BM, et al. Effects of Sugammadex and Neostigmine on Renal Biomarkers. Med Sci Monit. 2016;22:803–809.
  13. Panhuizen IF, Gold SJ, Buerkle C, et al. Efficacy, safety and pharmacokinetics of sugammadex 4 mg kg-1 for reversal of deep neuromuscular blockade in patients with severe renal impairment. Br J Anaesth. 2015;114:777–784.
  14. de Souza CM, Tardelli MA, Tedesco H, et al. Efficacy and safety of sugammadex in the reversal of deep neuromuscular blockade induced by rocuronium in patients with end-stage renal disease: A comparative prospective clinical trial. Eur J Anaesthesiol. 2015;32:681–686.
  15. Reilly PM, Schiller HJ, Bulkley GB. Pharmacologic approach to tissue injury mediated by free radicals and other reactive oxygen metabolites. Am J Surg. 1991;161:488–503.
Creative Commons Attribution License

©2021 Uludağ, et al. This is an open access article distributed under the terms of the, which permits unrestricted use, distribution, and build upon your work non-commercially.