Submit manuscript...
Journal of
eISSN: 2373-6437

Anesthesia & Critical Care: Open Access

Case Report Volume 13 Issue 3

Panton-valentine leukocidin staphylococcus causing necrotising pneumonia in a young male

O Mirza, M Noor, A Chaudhry

Senior clinical fellow, Acute medicine, England

Correspondence: Omer Mirza, Senior clinical fellow, Acute medicine, England

Received: April 29, 2021 | Published: May 18, 2021

Citation: Noor M, Chaudhry A, Mirza O. Panton-valentine leukocidin staphylococcus causing necrotising pneumonia in a young male. J Anesth Crit Care Open Access. 2021;13(3):124‒127. DOI: 10.15406/jaccoa.2021.13.00482

Download PDF

Abstract

Panton–Valentine leukocidin (PVL) is among one of the many toxins associated with Staphylococcus aureus infection. It commonly causes recurrent skin and soft tissue infections (SSTIs), but can sometimes be associated with severe invasive infections, including necrotising haemorrhagic pneumonia in otherwise healthy young people. Here we report a case of young male patient who presented with community acquired pneumonia that very rapidly progressed to necrotising haemorrhagic pneumonia leading to septic shock with multi-organ failure. His chest imaging showed extensive right sided cavitatory pneumonia & his bronchial washings confirmed the presence of PVL positive Staph aureus. He was managed in Intensive care where he was resuscitated with organs support along with broad spectrum antibiotics. He later developed renal impairment needing renal replacement therapy. Patient gradually showed clinical signs of improvement after prolonged ICU admission. He was later stepped down to the Respiratory ward following improvement in clinical condition. Hence medical physicians need to know about Panton–Valentine leukocidin (PVL) producing staphylococcus aureus as early detection and treatment can save lives of patients.

Background

Staphylococcus Aureus is an important human pathogen that causes severe chest infections and accounts to 2% community acquired pneumonia and 10% of Hospital Acquired pneumonias. The pathogenicity of Staphylococcus aureus largely depends on presence of extracellular virulence factors, one of these exoproteins is Panton-Valentine leukocidin (PVL).1 PVL is a toxin produced by some strains of Staphylococcus aureus that can cause severe lung necrosis, pulmonary oedema, alveolar haemorrhage, multi organ failures and death. PVL was first described in 1932, however in UK the first case of PVL-positive Staphylococcus aureus pneumonia was reported in 2003. It is found in isolates of less than 2% of Staphylococcus aureus. The mortality with PVL-positive Staphylococcus aureus pneumonia has been reported to approach 75%.2

Various hypothesis have been described to understand the pathogenesis of PVL3 but it primarily targets the human immune system mainly polymorphonuclear neutrophils (PMNs), monocytes, and macrophages4 and causes cell death by apoptosis or necrosis.5

The toxin of PVL is encoded by two genes genes PVL locus (lukS-PV and lukF-PV) and the mecA gene. The detection of PVL-producing strains is mainly performed by Polymerase chain reaction  of colonies of Staphylococcus aureus for the detection of these  genes.6

Case presentation

40 years old male previously fit and healthy gentleman presented to Accident and Emergency with history of cough, high temperatures and shortness of breath. Clinical examination on presentation revealed high temperature of 39.2, pulse rate of 158/min, and respiratory rate of 44/min with O2 saturations of 92% at room air. His Chest X-ray revealed extensive right middle lobe consolidation.

Chest X-Ray of the patient on initial presentation to Accident and emergency, showing right middle lobe consolidation.

During his management in Accident and Emergency his clinical condition deteriorated rapidly with worsening cough and hemoptysis, his blood pressure dropped and developed clinical signs of septic shock. Patient was transferred to Intensive care unit where he was intubated & ventilated. He was started on vasopressor support, iv antibiotics and iv fluids. His admission bloods showed CRP 330, Creatinine 219, Urea 13.1, lactate 4.0, Bilirubin 31. His initial blood culture didn't grow anything. His throat swabs were positive for influenza B. His renal function deteriorated further and he was started on CVVH (continuous veno-venus hemofiltration) for acute renal failure. His malarial screen, urinary legionella & pneumococcal antigens came back negative. Repeat Chest X-ray showed worsening bilateral lung infiltrates.

Chest X-ray performed 2 days after admission, showing worsening bilateral lung infiltrates.

A CT Abdomen and Pelvis was arranged to find out occult source of bleed or collection. CT scan of abdomen revealed large right retroperitoneal hematoma causing anterior displacement of kidney, Bilateral consolidation and effusions more on Right side and cavitatory lesion at right lung base. The hematoma was managed conservatively with advice from surgeons and hematology team.

CT abdomen showing large right retroperitoneal hematoma causing anterior displacement of kidney.

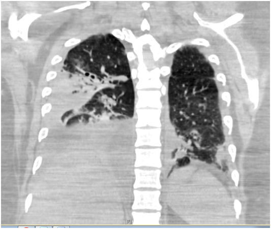
CT Thorax was arranged which confirmed right sided abscess/cavity. The case was discussed with thoracic surgeons who advised to manage conservatively & USS guided chest drain was put in under antibiotics cover. Meanwhile his bronchial washings grew Staphylococcus aureus (Panton valentine leucocidin positive). It was sensitive to Flucloxacillin. Case was discussed in multidisciplinary team meetings with microbiologist who advised to continue with 4 weeks of Flucloxacillin.

CT thorax showing bilateral consolidation and effusions more on right side and cavitatory lesion at right lung base.

Patient gradually showed significant improvement, he was decannulated, chest drain taken out and transferred to the ward after prolonged ICU stay. Patient was discharged home following clinical improvement.

Discussion

PVL-containing S. aureus have been most frequently associated with soft tissue infections and necrotizing pneumonias.7-9 Although PVL has a strong epidemiologic association with community acquired methicillin resistant staphylococcus aureus (CA-MRSA) infections, its role in the pathogenesis and spread of infection is controversial.10-14 The most compelling clinical data have been the association of PVL with necrotizing pneumonia, particularly in the setting of post-influenza respiratory infections.15

PVL is found in less than 2% of Staphylococcus aureus isolates. Death rates of PVL-positive Staphylococcus aureus are stated to be close to 75%.2 Worldwide it is more prevalent in closed communities and among close contacts.16 In 2003, PVL-positive Staphylococcus aureus in the UK was the first recorded case of severe community-acquired pneumonia.17 PVL is a methicillin-resistant Staphylococcus aureus cytotoxin.16  Gillet et al compared PVL-positive and PVL-negative Staphylococcus aureus pneumonias. The survival rate at 48 h was only 63% in PVL-positive patients while for PVL-negative patients it was 94%.13

In most otherwise healthy patients, young patients, and men, PVL producing Staphylococcus aureus can cause rapidly progressive, haemorrhagic, and necrotising pneumonia.7,13 It can also lead to pulmonary abscess formation, cavitation or pleural effusion.7 Community acquired soft tissue & skin infections are common presentations of PVL Staphylococcus aureus infection18 but it  can also cause invasive infections like septic arthritis, osteomyelitis, necrotizing fascitis etc.

The most serious of these is a necrotising haemorrhagic pneumonia with a high mortality, which often follows a “flu-like” illness, and may affect otherwise healthy young people in the community.1 The classic features are fever >39°C, tachycardia >140 bpm, haemoptysis, hypotension, marked leukopenia and high CRP (usually >200). Chest radiograph shows multilobar infiltrates which are usually <3 cm diameter.2

PVL-associated Staphylococcus aureus infection should be suspected if a patient has a necrotising SSTI, recurrent furunculosis or abscesses, or there is clustering of SSTIs within a household or social group; also in invasive infections in immunocompetent people, particularly community-acquired necrotising/haemorrhagic pneumonia in young, previously fit people .Appropriate clinical samples (e.g. pus, swab of exudate from an abscess or other lesion, sputum) from suspected cases should be sent to the local microbiology department.

The health protection agency has issued guidelines for the management of PVL Staphylococcus aureus pneumonia. The patients who presents with following features should be managed in ICU: RR>30, HR >140, hemoptysis, young, multilobar infiltrates. Patient should be isolated and protective equipment should be worn.1 No single antibiotic has proven to be successful. Combinations of clindamycin with rifampicin, linezolid with rifampicin, vancomycin with rifampicin and vancomycin with clindamycin have all been successful,13 but with widely differing durations of intravenous therapy, sometimes as long as four weeks.19,20

Intravenous immunoglobulins IVIG should be considered in addition to intensive care support and high dose antimicrobial therapy because of its action in neutralizing exotoxins and superantigens, particularly enterotoxins A, B and C and TSST-1. The expected benefits outweigh the risks in a condition with such a high mortality (>60%).1

Conclusion

In summary our patient suffered from PVL Staphylococcus aureus pneumonia following initial flu like illness complicated by sepsis with organ failure. He had a prolonged ITU stay but he showed remarkable recovery following resuscitation & aggressive management. This case is one of the examples of PVL positive Staphylococcus aureus necrotizing pneumonia. In these cases, early identification and participation of the ITU team can significantly improve the outcome of the disease.

References

  1. Diagnosis and management of PVL staphylococcus aureus infections, a quick reference guide for primary care. Gov.UK 2014
  2. Morgan MS. Diagnosis and treatment of Panton–Valentine leukocidin (PVL)‒associated staphylococcal pneumonia. International journal of antimicrobial agents. 2007;30(4):289‒296.
  3. Genestier AL, Michallet MC, Prevost G, et al. Staphylococcus aureus Panton‒Valentine leukocidin directly targets mitochondria and induces Bax‒independent apoptosis of human neutrophils. J Clin Invest. 2005;115(11):3117‒3127.
  4. Szmigielski S, Sobiczewska E, Prevost G, et al. Effect of purified staphylococcal leukocidal toxins on isolated blood polymorphonuclear leukocytes and peritoneal macrophages in vitro. Zentralbl Bakteriol. 1998;288(3):383‒394.
  5. Konig B, Prevost G, Piemont Y, et al. Effects of Staphylococcus aureus leukocidins on inflammatory mediator release from human granulocytes. J Infect Dis. 1995;171(3):607‒613.
  6. Bocchini CE, Hulten KG, Mason EO, et al. Panton‒Valentine leukocidin genes are associated with enhanced inflammatory response and local disease in acute hematogenous Staphylococcus aureus osteomyelitis in children. Pediatrics. 2006;117(2):433‒440.
  7. Labandeira‒Rey M, Couzon F, Boisset S, et al. Staphylococcus aureus Panton‒Valentine leukocidin causes necrotizing pneumonia. Science. 2007;315(5815):1130‒1133.
  8. Lina G, Piemont Y, Godail‒Gamot F, et al. Involvement of Panton‒Valentine leukocidin‒producing Staphylococcus aureus in primary skin infections and pneumonia. Clin Infect Dis. 1999;29(5):1128‒1132.
  9. Diep BA, Sensabaugh GF, Somboonna N, et al. Widespread skin and soft‒tissue infections due to two methicillin‒resistant Staphylococcus aureus strains harboring the genes for Panton‒Valentine leucocidin. J Clin Microbiol. 2004;42(5):2080‒2084.
  10. Voyich JM, Otto M, Mathema B, et al. Is Panton‒Valentine leukocidin the major virulence determinant in community‒associated methicillin‒resistant Staphylococcus aureus disease? J Infect Dis. 2006;194(12):1761‒70.
  11. Zhang K, McClure JA, Elsayed S, et al. Coexistence of Panton‒Valentine leukocidin‒positive and ‒negative community‒associated methicillin‒resistant Staphylococcus aureus USA400 sibling strains in a large Canadian health‒care region. J Infect Dis. 2008;197(2):195‒204.
  12. Bubeck Wardenburg J, Bae T, Otto M, et al. Poring over pores: alpha‒hemolysin and Panton‒Valentine leukocidin in Staphylococcus aureus pneumonia. Nat Med. 2007;13(12):1405‒1406.
  13. Gillet Y, Vanhems P, Lina G, et al. Factors predicting mortality in necrotizing community‒acquired pneumonia caused by Staphylococcus aureus containing Panton‒Valentine leukocidin. Clin Infect Dis. 2007;45(3):315‒321.
  14. Hamilton SM, Bryant AE, Carroll KC, et al. In vitro production of panton‒valentine leukocidin among strains of methicillin‒resistant Staphylococcus aureus causing diverse infections. Clin Infect Dis. 2007;45(12):1550‒1558.
  15. Hageman JC, Uyeki TM, Francis JS, et al. Severe community‒acquired pneumonia due to Staphylococcus aureus, 2003‒04 influenza season. Emerg Infect Dis. 2006;12(6):894‒899.
  16. Vandenesch F, Naimi T, Enright MC, et al. Community‒acquired methicillin‒resistant Staphylococcus aureus carrying Panton‒Valentine leukocidin genes: worldwide emergence. Emerg Infect Dis. 2003;9(8):978‒984.
  17. Klein JL, Petrovic Z, Treacher D, et al. Severe community‒acquired pneumonia caused by Panton‒Valentine leukocidin‒positive Staphylococcus aureus: first reported case in the United Kingdom. Intensive Care Med. 2003;29(8):1399.
  18. Shallcross LJ, Williams K, Hopkins S, et al. Panton‒Valentine leukocidin associated staphylococcal disease: a cross‒sectional study at a London hospital, England. Clin Microbiol Infect. 2010;16(11):1644‒1648.
  19. Torell E, Molin D, Tano E, et al. Community‒acquired pneumonia and bacteraemia in a healthy young woman caused by methicillin‒resistant Staphylococcus aureus (MRSA) carrying the genes encoding Panton‒Valentine leukocidin (PVL). Scand J Infect Dis. 2005;37(11‒12):902‒904.
  20. Micek ST, Dunne M, Kollef MH. Pleuropulmonary complications of Panton‒Valentine leukocidin‒positive community‒acquired methicillin‒resistant Staphylococcus aureus: importance of treatment with antimicrobials inhibiting exotoxin production. Chest. 2005;128(4):2732‒2738.
Creative Commons Attribution License

©2021 Noor, et al. This is an open access article distributed under the terms of the, which permits unrestricted use, distribution, and build upon your work non-commercially.