Submit manuscript...
Journal of
eISSN: 2373-6437

Anesthesia & Critical Care: Open Access

Case Report Volume 14 Issue 4

Posterior reversible encephalopathy syndrome in a patient with mixed connective tissue disorder: a case report

Sushil Khanal, Kripa KC, Marisha Shrestha, Chandani Sainju

Department of Critical Care, Grande International Hospital, Nepal

Correspondence: Sushil Khanal, Department of Critical Care, Grande International Hospital, Kathmandu, Nepal, Tel 9779843177465

Received: July 28, 2022 | Published: August 25, 2022

Citation: Khanal S. Posterior reversible encephalopathy syndrome in a patient with mixed connective tissue disorder: a case report. J Anesth Crit Care Open Access. 2022;14(4):147‒148. DOI: 10.15406/jaccoa.2022.14.00526

Download PDF

Abstract

Our case report includes a 42-year-old female patient; a known case of Mixed Connective Tissue

Disorder (MCTD) who presented with focal seizure. Magnetic Resonance Imaging (MRI) brain showed the features of Posterior Reversible Encephalopathy syndrome (PRES) to be the cause of seizure. Given the timely diagnosis of PRES, the seizure was controlled with anti-epileptic drug and the possibility of having poor neurological outcome was successfully prevented. Although Mixed Connective Tissue Disorder is rarely associated with PRES, MCTD should be considered when there are supportive clinical and radiological findings as in our case.

Keywords: Posterior Reversible Encephalopathy syndrome, Mixed Connective Tissue Disorder, Hydroxychloroquine

Introduction

Posterior reversible encephalopathy syndrome (PRES) is defined as a clinical syndrome of headache, confusion or decreased level of consciousness, visual changes and seizure and it is associated with posterior cerebral white matter edema in neuroimaging. Common causes of PRES include hypertension, medications, renal disease including lupus nephritis and glomerulonephritis.1 PRES has been associated with many autoimmune disorders including thrombotic thrombocytopenic purpura, systemic lupus erythematosus, inflammatory bowel disease and rheumatoid arthritis, but very few cases of its association with mixed connective tissue disorder (MCTD) have been reported in the literature.2

Case report

Our patient is 42-year-old female who presented to our emergency room with complaints of sudden onset of abnormal jerky movements of her hands and legs. The duration of the seizure was not exactly known. The seizure was focal involving hands and legs separately. It was not associated with other classical signs of seizures such as uprolling of eyes, tongue bite, clenching of teeth, urinary or fecal incontinence and loss of consciousness. There was no history of fever, altered sensorium, neck rigidity, visual disturbances. The patient is a known case of mixed connective tissue disorder with varying myopathic symptoms, sjogren syndrome and scleroderma. She was positive for anti-ribonucleoprotein antibody (anti RNA) and anti–Sjögren's-syndrome-related antigen A (anti-SSA/ Ro), and anti–Sjögren's-syndrome-related antigen B (anti-SSB/ La). She was taking pregabalin and hydroxychloroquine for last 6 years for MCTD. There was no significant family, drug and allergic history.

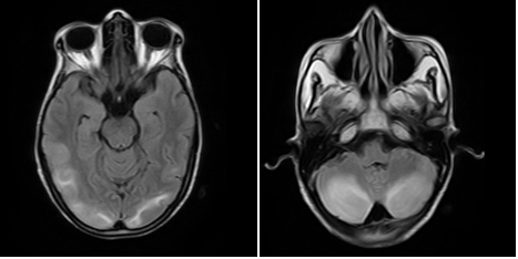
On examination, she was confused with the Glassgow Coma Scale (GCS) of 14/15 (E4V4M6). Her vital signs were within normal limits. Cranial nerves, motor, sensory and deep tendon reflexes were noted to be normal. No abnormalities were detected in other systemic examination. Initial laboratory investigations including CT scan Head was normal. Echocardiography screening was done which was normal. The patient was managed in the intensive care unit with Levetiracetam for controlling seizure. MRI brain was done which showed high signal intensity in bilateral parietooccipital lobe and in bilateral cerebellar hemisphere (Figure 1). The seizure was well controlled with Levetiracetam and the patient had no episodes of seizure thereafter. All standard ICU care including physiotherapy, mobilization, nutrition was continued. The patient was shifted to general ward after 8 days of total ICU stay. The patient’s stay in the ward was uneventful and hence she was discharged to home.

Figure 1 MRI showing hyper intense lesion in bilateral parieto-occipital lobe and cerebelluma.

Discussion

Posterior reversible encephalopathy syndrome is a reversible neurological disorder with acute/ subacute onset, incorporating a wide range of neurological symptoms such as headache, confusion, seizure; encephalopathy, visual field deficits, impaired visual acuity, and focal neurological deficit.3 A case series on 15 patients performed by Hinchey et al. first described this syndrome in 1996.4

Radiographically, particularly in MRI, parieto-occipital head region is found to be the predominant site involved subsequently followed by frontal lobe, temporal lobe and cerebellum.5 The posterior areas of the cerebral hemisphere are commonly affected which might be explained by the fact that they have lesser degree of sympathetic innervation as opposed to anterior cerebral hemisphere where the superior cervical ganglion innervation is in ample amount.3 Furthermore, patients with autoimmune diseases demonstrated a higher incidence of cerebellar involvement3 and this finding aligns with our patient.

Currently, there are two proposed theories regarding the origin of this syndrome. According to the hyperperfusion theory, there is defective autoregulation of cerebral blood flow secondary to conditions causing high blood pressure, leading to dysfunction of the blood-brain barrier, resulting in cerebral vasogenic edema. On the other hand; cerebral hypoperfusion theory states that immune mediated vascular instability causes endothelial dysfunction of blood-brain barrier leading to vasoconstriction and eventually vasogenic edema.5

PRES has been associated with several medical conditions like preeclampsia, eclampsia, hypertension, organ transplantation, sepsis, septic shock. Although PRES has been correlated with various autoimmune disorders but there are limited literature showing its association with MCTD. The  reported cases of PRES with MCTD have been described in  young adults in the literature.6,7  These reports in addition to our case display that MCTD should be considered as a possible cause of PRES when dealing with the patient with MCTD presenting with neurological symptoms. The pathophysiology can be explained by the study of Solteszet et al, which showed that the presence of different autoantibodies like anti-U1-Ribonucleoprotein antibodies (Anti-U1-RNP), anti-Endothelial Cell antibodies (AECA) and proinflammatory cytokines upregulation in MCTD causing the endothelial cell disruption.8 Our patient also had anti Ribonucleoprotein antibody positive. Among very few case reports mentioning association of PRES and MCTD, almost all the cases had generalized tonic clonic seizures unlike our patient who uniquely presented with focal seizure.9

A possible association between PRES and the use of hydroxychloroquine was reported in the case of a 23 year-old-female with nine years history of Systemic Lupus Erythematosus controlled on mercaptopurine, hydroxychloroquine.10 Since our patient was maintained on hydroxychloroquine for 6 years, a likely correlation between the long-term use of hydroxychloroquine and PRES can be a field for further researches.

Conclusion

The association of PRES with various clinical conditions has been well studied but its association with MCTD has not been frequently reported. Hence, knowledge of this rare association should always be kept in mind to timely diagnose PRES and avoid permanent neurological deficits.

Acknowledgments

Non-Applicable.

Conflicts of interest

No conflicts of interest.

Funding

No funding was received for this study.

Ethical approval

No ethical approval required.

Consent

Informed consent was obtained from the patient.

References

  1. Rijal JP, Giri S, Dawadi S, et al. Posterior reversible encephalopathy syndrome (PRES) in a patient with late postpartum eclampsia. BMJ case reports. 2014;2014:2013203162.
  2. Machiraju PK, Alex NM, Sankaran S. Posterior reversible encephalopathy syndrome as the first manifestation of mixed connective tissue disorder: a case report. J Med Case Rep. 2021;15(1):40.
  3. Fischer M, Schmutzhard E. Posterior reversible encephalopathy syndrome. Oxf Med Case Reports. 2017;264(8):1608–1616.
  4. Hinchey J, Chaves C, Appignani B, et al. A reversible posterior leukoencephalopathy syndrome. N Engl J Med. 1996;334(8):494–500.
  5. Fugate JE, Claassen DO, Cloft HJ, et al. Posterior reversible encephalopathy syndrome: associated clinical and radiologic findings. Mayo Clin proc. 2010;85(5):427–432.
  6. Rahmanzadeh R, Rahmanzade R, Zabihiyeganeh M. Posterior reversible encephalopathy syndrome in a patient with mixed connective tissue disease: a case report. J Med Case Rep. 2016;10(1):145.
  7. Das M, Mazumdar P, Kumar D, et al. Posterior reversible encephalopathy syndrome in a patient with underlying mixed connective tissue disease. Int J Res Med Sci. 2018;6(7):2551–2553.
  8. Soltesz P, Bereczki D, Szodoray P, et al. Endothelial cell markers reflecting endothelial cell dysfunction in patients with mixed connective tissue disease. Arthritis Res Ther. 2010;12(3):78.
  9. Machiraju PK, Alex NM, Sankaran S. Posterior reversible encephalopathy syndrome as the first manifestation of mixed connective tissue disorder: a case report. J Med Case Rep. 2021;15(1):40.
  10. Bag A, Curé J, Sullivan J. Central variant of posterior reversible encephalopathy syndrome in systemic lupus erythematosus: new associations? Lupus. 2010;19(2):225–226.
Creative Commons Attribution License

©2022 Khanal, et al. This is an open access article distributed under the terms of the, which permits unrestricted use, distribution, and build upon your work non-commercially.