Submit manuscript...
Journal of
eISSN: 2373-6437

Anesthesia & Critical Care: Open Access

Case Report Volume 13 Issue 5

Thrombolytic therapy in conjunction with CPR has managed cardiac arrest caused by extensive of pulmonary embolism and subglottic laryngeal oedema

Dr Hesham H Hamza Aly

Consultant Intensive care and anaesthesia at MZH Abu Dhabi

Correspondence: Dr Hesham H Hamza Aly, Consultant Intensive care and anaesthesia at MZH Abu Dhabi, GMC 4680039, Dubai DHA 507090980, Abu Dhabi DOH GD 15016, Tel 00971509554188

Received: December 01, 2021 | Published: December 23, 2021

Citation: Aly HHH. Thrombolytic therapy in conjunction with CPR has managed cardiac arrest caused by extensive of pulmonary embolism and subglottic laryngeal oedema. J Anesth Crit Care Open Access. 2021;13(5):181‒183. DOI: 10.15406/jaccoa.2021.13.00493

Download PDF

Abstract

Extensive Pulmonary embolism led to a patients’ acute deterioration to cardiogenic shock. Thrombolytic therapy had been administered during cardio-pulmonary resuscitation following cardiac arrest. The patient fully recovered and the right ventricle demonstrated normal transthoracic echocardiography (TTE) studies 16 hours after the arrest event.

Keywords: pulmonary embolism, saddle shape embolus, subglottic edema, thrombolysis therapy

Introduction

Efficient cardio-pulmonary resuscitation (CPR) and thrombolytic therapy were used in the rescue management of a patient that developed cardiac arrest as a consequence of extensive pulmonary embolism (PE). The patient underwent full neurological and physical recovery. The right side of the heart showed normal parameters.

Case summary

Massive pulmonary thromboembolism is one of essential factors to be considered during cardiopulmonary resuscitation. Efficient CPR and thrombolytic therapy was effective in getting return of spontaneous circulation (ROSC) status in 18 min. The patient resumed sinus rhythm and blood pressure (BP) was maintained by inotropic support for only a few hours. Normal BP was maintained without use of vasoactive medication whilst acute kidney injury recovered within 36 hours. We achieved good organ perfusion and weaning from ventilator 48 hrs later. The difficult intubation and upper airway oedema development led to delay in patient weaning from ventilator.

Case presentation

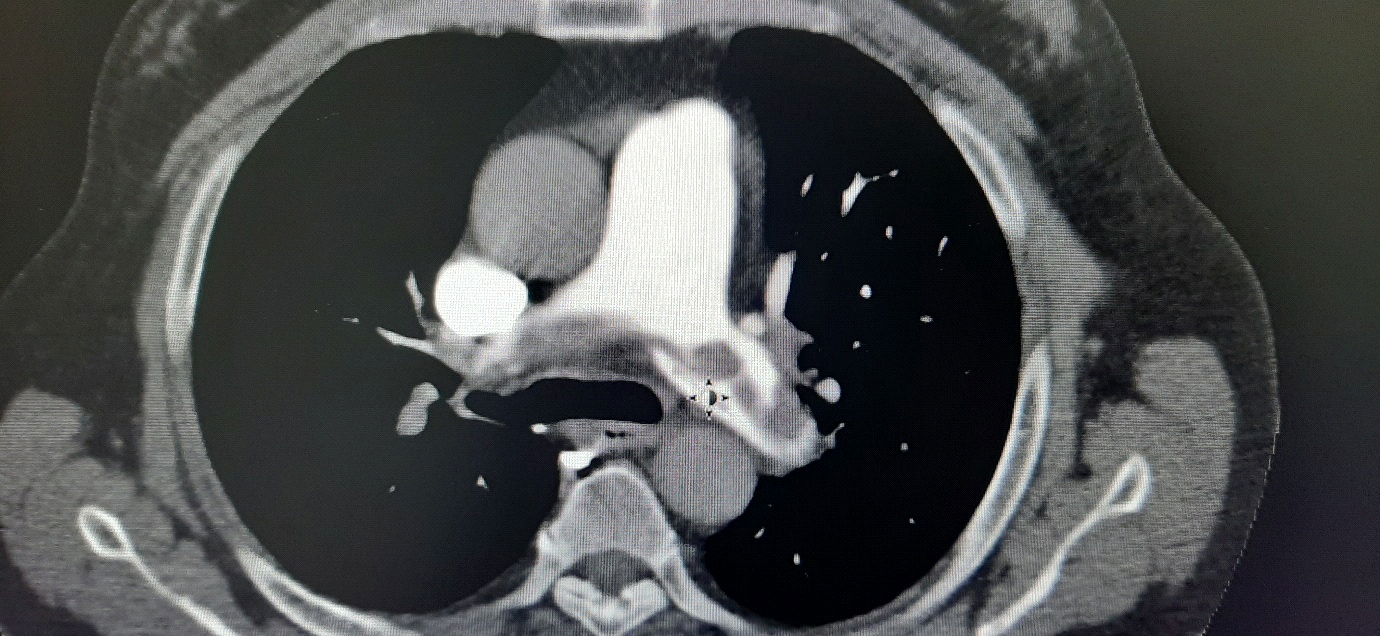
A 60 year old male admitted to emergency room presented with shortness of breath and easily fatigable. The patient is a known non-insulin dependent diabetic (NIDDM) and overweight. Following a work related knee injury 45 days prior to development of new symptoms the patient was diagnosed with meniscal and ACL tear using MRI. ECG shown in revealed a classic S1 Q3 T3. Transthoracic Echo was completed by Cardiologist colleague showing significant right ventricle dilatation and strain. The strongly suspected PE was confirmed by the significant elevated D Dimer and CTPA (Figure 1). An obvious extensive saddle shaped pulmonary artery (PA) embolism was detected at the bifurcation and extended to both right and left pulmonary arteries.

The patient maintained normal BP and gas exchange remained within normal O2 saturation. We initiated therapeutic anti coagulation light molecular weight heparin (LMWH) at 1mg /kg/12 hrs, receiving first dose in ER prior to transfer to ICU. Three hours later the patient deteriorated becoming hypotensive and severely respiratory distressed. Thrombolytic therapy was ordered and the decision was made to intubate and ventilate the patient.

The time when the thrombolytic therapy was ready the patient was in asystole cardiac arrest. CPR was immediately initiated according to ACLS guidance, during which thrombolytic therapy was administered with Alteplase 90mg.

The patient went through 9 cycles for 18 minutes. The first 4 cycles were in asystole and the patient received Epinephrine as per ACLS protocol. The 5th to 7th cycles, the rhythm was PEA and the patient received further Epinephrine as per protocol. The metabolic acidosis corrected with use of sodium bicarbonate Table 1. During the 8th and 9th cycles the patient exhibited pulseless ventricular tachycardia and received 2 successive unsynchronized cardioversion 120 and 200 J. The patient entered ROSC status and was sedated and ventilated for 48hrs. BP was supported initially by low dose of Epinephrine infusion for 5 hours.

Arterial Blood Gasses

Date

16th Sep

16th Sep

 

 

17th Sep

17th Sep

17th Sep

Time

17:00

20:00

20:30

20:57

5:00

7:00

11.3

PH

7.44

7.06

6.95

7.07

7.25

7.28

7.3

PaCO2

30.1mm Hg 

36.7mm Hg

74.8mm Hg

61.1mm Hg

34.1mm Hg

37.2mm Hg

47.7mm Hg

PaO2

64.8m mHg

108.0m mHg

543.0m mHg

167.0m mHg

101.0mmHg

100.0mmHg

106.0mmHg

HCO3

22mmol/L

11mmol/L

12mmol/L

14mmol/L

16mmol/L

18mmol/L

21mmol/L

BE

 

-19.3 mmol/L

-16.8 mmol/L

-13.3 mmol/L

-11.2 mmol/L

-8.8 mmol/L

-3.7 mmol/L

HB

158g/L

171g/L

143g/L

145g/L

135g/L

125g/L

 

O2sat

94.00%

95.10%

99.30%

98.10%

97.20%

97.30%

97.90%

O2HB

91.60%

95.40%

97.60%

96.20%

95.80%

95.90%

96.30%

COHB

1.90%

0.60%

0.90%

1.00%

0.80%

0.70%

0.70%

Met HB

0.70%

-0.90%

0.80%

0.90%

0.60%

0.70%

0.90%

K

3.9mmol/L

5.8mmol/L

3.9mmol/L

3.5mmol/L

4.0mmol/L

5.2mmol/L

5.1mmol/L

Cl

108mm ol/L

107mm ol/L

105mm ol/L

107mm ol/L

111mm ol/L

111mm ol/L

115mm ol/L

Na

141mmol/L

132mmol/L

145mmol/L

145mmol/L

144mmol/L

143mmol/L

145mmol/L

Glucose

13.9mm ol/L

20.mmo l/L

19.6mm ol/L

18.1mm ol/L

23.7mm ol/L

22.0mm ol/L

12.8mm ol/L

Ica

 

1.07mmol/L

1.04mmol/L

1.00mmol/L

1.00mmol/L

0.99mmol/L

1.04mmol/L

Lac

2.2mmol/L

12.5mmol/L

14.5mmol/L

10.9mmol/L

10.4mmol/L

8.0mmol/L

1.7mmol/L

T Bili

 

3mircromol/L

32micromol/L

31micromol/L

16micromol/L

13micromol/L

16micromol/L

The intubation was challenging despite the good visualisation; the passing of the endotracheal tube (ETT) was difficult which raised the possibility of subglottic oedema and wither that oedema was related to the pulmonary embolism is another concern. After several attempts ETT was passed with the help of the bougie. The patient was placed on steroid for 48 hrs and weaning done after the leak test showed more than a 35% leak. 

The patient was weaned off and showed good recovery with normal neurological and haemodynamic parameters.  He was assisted by intermittent non-invasive ventilation (NIV) BIPAP for the first 24 hrs then high flow nasal for 48 hrs. He also suffered of mild delirium which has been managed with pain control, Haloperidol and Ondansetron. The source of the pain was anterior chest wall as a consequence of CPR. There was obvious lung contusion as well. The pain was managed effectively with regular Paracetamol, Fentanyl Patch and Lidocaine Patch. Repeat TTE demonstrated normal right heart function with complete disappearance of the right heart strain. Later Doppler showed deep vein thrombosis (DVT) in the left popliteal.

By day 5 the patient started ambulation in his room. LMWH was stopped and a therapeutic dose of Apixaban oral anticoagulant was initiated. The patient was transferred to the ward by day 9 in very stable condition.

Discussion

This 60 years old patient was admitted to ER in a state of highly suspected PE however he was in relatively stable condition. The diagnosis of PE was based on history of immobilization as a consequence of knee injury and the clinical picture of shortness of breath and tachycardia. ECG showed S1 Q3 T3 which occurs in 15 % of PE cases reflecting severe right heart strain and cor pulmonale.1 The right heart dilatation was confirmed by transthoracic echo. D-Dimer was significantly high and finally CT pulmonary angiogram (CTPA) demonstrated a large saddle embolus extending to both right and left pulmonary arteries.

The indications for thrombolysis are usually classified as either absolute indication in massive PE with hypotension or relative indications as in right heart failure, pulmonary hypertension, extensive deep venous thrombosis and recurrent PE.2 

Venous thromboembolism (VTE) includes acute PE as well as deep vein thrombosis (DVT) which is a life-threatening condition that usually results in death if not diagnosed early.3,4 PE results in increase of RV afterload, and a subsequent increase in RV wall tension that may lead to dilatation and dysfunction causing decreased right coronary artery flow and increased RV myocardial oxygen demand. Ischemia of RV also occurs as left ventricle compression leads to decreased cardiac output and coronary perfusion. Death eventually results from RV failure.5

CTPA has the main role in PE diagnosis however the use of echocardiography in diagnosis and management of hemodynamically unstable patients has been recommended by the European Society of Cardiology (ESC). Patients with RV strain have more than 2-fold increase in risk of early mortality compared with patients with no signs of RV strain.6

Current mainstay treatment of PE includes anticoagulation, thrombolytic therapy, and catheter embolectomy. Acute surgical embolectomy is reserved for hemodynamically unstable patients (cardiogenic shock, cardiac arrest) and when thrombolytic therapy is contraindicated.7 In my opinion in the absence of a surgical option/facility the optimum treatment should be early thrombolysis therapy. Despite the normal BP, the right heart strain was significant and the extensive saddle shape PE further indicates thrombolysis therapy.

Increasing clinical experience and data from open studies now suggest that thrombolysis during CPR can contribute to hemodynamic stabilization and survival in patients with massive pulmonary embolism and acute myocardial infarction, after conventional CPR procedures have been performed unsuccessfully.8

Learning point

  1. Early thrombolytic therapy should be considered in PE with right heart strain and extensive saddle shape PE
  2. Thrombolytic therapy should be given during CPR in confirmed PE cases
  3. Is there any relation between the pressure effect of PE and the development of subglottic edema?

Acknowledgments

Thanks to the team at MZD Hospital especially those involved in the management of the patient: Dr N. Mohamed Consultant Cardiologist, Dr A. Essam Omar, Dr M. Ezzeldine, Dr S. Khan, Dr L. Suboohi (Cardiology) and Dr M. Abdelrahman (Medicine).

Patient consent report

The patient has authorized us to publish the case.

References

  1. Acute cor pulmonarly resulting from pulmonary embolism. 1935;104:1473–1480.
  2. Lilienfeld DE, Chan E, Ehland J, et al. Mortality from pulmonary embolism in the United States: 1962 to 1984. 98(5):1067–1072.
  3. Aklog L, Williams SC, Byrne GJ, et al. Acute pulmonary embolectomy: a contemporary approach. 2002;105:1416–1419.
  4. Ahmed P, Khan AA, Smith A, et al. Expedient pulmonary embolectomy for acute pulmonary embolism: improved outcomes. Interact Cardiovasc Thorac Surg. 2008;7:591–594.
  5. Gerges C, Skoro-Sajer N, Lang IM. Right ventricle in acute and chronic pulmonary embolism (2013 Grover Conference series). Pulmonary Circulation. 2014;4:378–386.
  6. Ten Wolde M, Sohne M, Quak E, et al. Prognostic value of echocardiographically assessed right ventricular dysfunction in patients with pulmonary embolism. Arch Intern Med. 2004;164:1685–1689.
  7. Konstantinides S, Torbicki A, Agnelli G, et al. 2014 ESC guidelines on the diagnosis and management of acute pulmonary embolism. Eur Heart J. 2014;35(43):3033–3069.
  8. Stephanie R Welle, Michael F Harrison. Massive Pulmonary Embolism Causing Cardiac Arrest Managed with Systemic Thrombolytic Therapy: A Case Report. Am J Case Rep. 2021;22:e931215.
Creative Commons Attribution License

©2021 Aly. This is an open access article distributed under the terms of the, which permits unrestricted use, distribution, and build upon your work non-commercially.