Submit manuscript...
Journal of
eISSN: 2373-6437

Anesthesia & Critical Care: Open Access

Case Report Volume 9 Issue 1

Trigeminal Neuralgia in a Patient with Vascular Loop Triggered by Hypertension

Şaziye Şahin,1 Yeliz Kılınç,2 Nazife Begüm Karan,3 Semih Ayrıkçil,4 Derviş Yılmaz5

1MD, Professor, Anesthesiology and Reanimation Specialist Gazi University, Faculty of Dentistry, Department of Oral and Maxillofacial Surgery, Turkey
2DDS, PhD, Research Assistant, Gazi University, Faculty of Dentistry, Department of Oral and Maxillofacial Surgery, Turkey
3DDS, PhD, Assistant Professor, Recep Tayyip Erdo?an University, Faculty of Dentistry, Department of Oral and Maxillofacial Surgery, Turkey
4DDS, PhD Student, Gazi University, Faculty of Dentistry, Department of Oral and Maxillofacial Surgery, Turkey
5DDS, PhD, Professor, Gazi University, Faculty of Dentistry, Department of Oral and Maxillofacial Surgery, Turkey

Correspondence: Şaziye Şahin, Gazi University, Faculty of Dentistry Department of Oral and Maxillofacial Surgery, Bişkek Cd.(8.cd) 82. Sokak No: 4 06510 Emek, Ankara, Turkey, Tel 90 312 2034361, Fax 90 312 223 9226

Received: January 15, 2017 | Published: November 14, 2017

Citation: şahin ş, Kılınç Y, Karan NB, Ayrıkçil S, Yılmaz D (2017) Trigeminal Neuralgia in a Patient with Vascular Loop Triggered by Hypertension. J Anesth Crit Care Open Access 9(1): 00335. DOI: 10.15406/jaccoa.2017.09.00335

Download PDF

Abstract

Trigeminal neuralgia (TN) is a neuropathic pain condition characterized by paroxysms of severe, lancinating, electric‒shock like pain in one or more of the distributions of the trigeminal nerve. TN is divided into primary (classic) or secondary (symptomatic) one according to its etiology. Vascular compression is the most common cause for secondary TN. Little information has been discussed in the literature regarding TN triggered by hypertension and improved with the regulation of hypertension. We report a case of trigeminal neuralgia triggered by hypertension. Our patient presented pain in the left side of his face during unstable blood hypertension. The first Magnetic Resonance Imaging (MRI) study revealed no abnormality, while the second one taken with the appropriate sequence revealed a vascular loop that was contacting to the left trigeminal root exit zone. Following control of hypertension, neuralgia recovered spontaneously. This case report describes two important factors for the clinical diagnosis of TN:1) Hypertension would be a risk factor for TN, resulting in the development vascular compression in the presence of a vascular loop, and 2) MRI is an important diagnostic tool for identifying vascular lesions compressing trigeminal nerve. However incorporation of appropriate imaging protocols and careful radiological interpretations by experienced radiologists are required for correct diagnosis and treatment.

Keywords:Trigeminal neuralgia, Hypertension, Magnetic resonance imaging, Vascular loop

Abbreviations

TN, Trigeminal Neuralgia; MRI, Magnetic Resonance Imaging; ESWL, Extracorporeal Shock Wave Lithotripsy

Introduction

Trigeminal neuralgia (TN) is characterized by paroxysms of severe, lancinating, electric shock‒like bouts of pain restricted to the distribution of the trigeminal nerve. The pain predominantly occurs unilaterally and involves the mandibular and /or maxillary branch or, rarely, the ophtalmic branch.1 Most cases are classic or primary TN, which lacks objective evidence of motor or sensory deficit and is not attributed to another disorder, while a minority of cases are symptomatic or secondary TN, which is related to underlying causes such as multiple sclerosis, vascular compression and tumors.2,3 However most cases are not associated with abnormalities on conventional MRI taken with inappropriate techniques. It has been mentioned in the literature that TN is usually caused by vascular compression of the trigeminal nerve root at the brainstem by a tortuous vessel. This compression results in demyelination of the nerve root entry zone, leading to ectopic impulse generation, ephaptic transmission of impulses, and the symptoms of TN.2

It is unclear whether hypertension is associated with the development of TN. Very few studies have appeared in the literature that have explored the temporal relationship between hypertension and TN. Two of these studies have reported a positive association between TN and hypertension, while 1 study was unable to show a significant association.4‒6 Here we describe the case of a patient who presented TN attacks precipitated by unstable blood hypertension. Following control of blood hypertension, spontaneus recovery of TN was observed. The patient has not received medication for TN. During the 5 years of follow‒up, the patient has not experienced TN attacks.

Case presentation

A 60 year‒old man was referred to our clinic for the left facial pain. He complained of severe, shooting and electrick shock like pain which started 2 years ago. The patient had pain free intervals lasting for 6‒9 months. The pain involved left lower eyelid and lateral part of the nose and continued 10‒20 days lasting for 1‒2 seconds. The affected trigeminal branches were V2 and V3. Light touch of the skin induced the symptoms. In addition the symptoms become worse with hot weather, anxiety and physical effort. His past medical history was significant for cardiac by‒pass surgery and extracorporeal shock wave lithotripsy (ESWL) therapy for the renal stone in the left kidney. Laboratory tests and MRI study performed two years ago/previously revealed no abnormality The patient had been diagnosed with TN at another hospital and prescribed carbamazepine 200 mg, 3 times daily. However the patient refused to take carbamazepine because of the renal stone in the left kidney. At that time the patient was scheduled for left renal lithiasis. Interestingly the pain had relieved one week after the ESWL treatment.

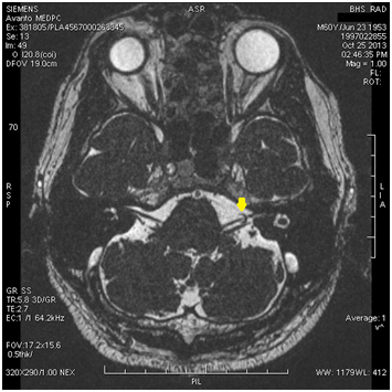
After a 9‒month asymptomatic period, the patient presented at our clinic with an electric‒shock like pain that could be provoked by light touch to the preauricular area. Patient history and physical examination revealed that the pain was aggravated in association with the elevation of the blood pressure, anxiety and tiredness. Then the patient was referred to the cardiology department and diagnosed with essential hypertension. Cranial MRI was repeated for a detailed examination and revealed a vascular loop that was contacting to the left trigeminal root exit zone (Figure 1). The hypertension was treated and the patient was encouraged to make lifestyle modifications and the control of hypertension was achieved. After the control of blood hypertension, complete resolution of symptoms were observed at 1‒month and 3‒ months follow up. Unfortunately we weren’t able to obtain a control MRI for economical reasons. At 5 years of follow –up the patient patient remains pain free. We considered unstable blood hypertension seemed to contribute to the exacerbation of his neuralgia in the presence of a vascular loop contacting to the trigeminal root exit zone. After the control of blood hypertension, spontaneous recovery of neuralgia was observed.

Figure 1 Vascular loop contacting to the left trigeminal root exit zone.

Discussion

The exact patophysiology of TN is still unknown. Although several theories have been proposed to determine the aethiology, most reports concentrate on the anatomic relation between the nerves and the juxtaposed vascular loops.7 In majority of TN cases the trigeminal nerve root entry zone has been found to be compressed by an aberrant loop of artery or vein, which ultimately leads to demyelination of the trigeminal nerve.6 This anomaly has been reported to occur more frequently in patients with hypertension.8 It has been suggested that hypertension could be a predisposing factor for arterial tortuosity. From this perspective hypertension may exacerbate the arterial tortuosity at the brainstem and increase the chance of developing neurovascular compression, which in turn, contributing to a higher risk for TN.2 Hypertension also accelerates atherosclerotic changes, causing the formation of ectatic vessels and resulting in the development of vascular compression.7 In the present case the trigeminal nerve was compressed by a vascular loop and this finding was confirmed by MRI. The neuralgia attacks were precipitated during unstable hypertension periods. We considered that changes in the dimensions of vascular structures secondary to hypertension probably caused neurovascular compression. In our patient the history of neuralgia attacks during unstable blood hypertension may support our hypothesis. Most people with hypertension are over age of 50. TN is age related and rarely seen under the age of 50.8 Hypertension and TN may appear together, at the same time periods. Confusions can arise in determining the aethiologic factor with clinical certainty. Therefore hypertension should be taken into consideration as a possible triggering factor for TN attacks.

MRI is considered the primary method for evaluating patients with symptoms related to the trigeminal nerve in most clinical settings.9 The sensitivity of MRI for the detection of vascular compression of the trigeminal nerve is high, with rates of 94‒97%.The prevalence of asymptomatic vascular contact of trigeminal nerve is also known to be very high. Because vascular contact in asymptomatic individuals is common, corroboration of imaging and clinical findings is essential.10 MRI is to always to be performed in case of trigeminal nerve pathology as it can be involved in generalized neurological conditions or to be origin/affected by brain tumors like schwannomas or neuro‒fibromas.11 However conventional MRI sequences are inadequate to accurately determine the neurovascular relationships.12 and the diagnosis of neurovascular compression may be overlooked. MRI sequences augmented with thin‒section multiplanar sequences,which are T2‒weighted by an experienced radiologist can improve visualization of the vascular compression around the trigeminal nerve root.10

As a conclusion a thorough examination is necessary for TN cases associated with hypertension. TN is an age related pain condition, and the importance of hypertension should be taken into consideration as a triggering factor in patients with symptoms related to TN. MRI is the most important diagnostic tool to detect the aethiologic factors for TN. In case of identifying vascular pathologies we recommend performing MRI for improving diagnostic accurracy. However incorporation of appropriate imaging protocols and careful radiological interpretations are critical for correct diagnosis.

Acknowledgments

None.

Conflicts of interest

None.

References

  1. Bagheri SC, Farhidvash F, Perciaccante VJ. Diagnosis and treatment of patients with trigeminal neuralgia. J Am Dent Assoc. 2004;135(12):1713‒1717.
  2. Pan SL, Yen MF, Chiu YH, et al. Increased risk of trigeminal neuralgia after hypertension A population‒based study. Neurology. 2011;77(17):1605‒1610.
  3. Yoon SZ, Lee SI, Choi SU, et al. A case of facial myofascial pain syndrome presenting as trigeminal neuralgia. Oral Surg Oral Med Oral Pathol Oral Radiol Endod. 2009;107(3):e29‒e31.
  4. Katusic S, Beard CM, Bergstralth E, et al. Incidence and clinical features of trigeminal neuralgia, Rochester, Minnesota, 1945–1984. Ann Neurol. 1990;27(1):89‒95.
  5. Siqueira SR, Teixeira MJ, Siqueira JT. Clinical characteristics of patients with trigeminal neuralgia referred to neurosurgery. Eur J Dent. 2009;3(3):207.
  6. Teruel A, Ram S, Kumar SK, et al. Prevalence of hypertension in patients with trigeminal neuralgia. J Headache Pain. 2009;10(3):199‒201.
  7. Uluduz D, Karaali‒Savrun F, Gunduz A, et al. An unusual case of vascular loop syndrome. The J Headache Pain. 2007;8(4):242‒244.
  8. Kleineberg B, Becker H, Gaab M, et al. Essential hypertension associated with neurovascular compression:angiographic findings. Neurosurgery. 1992;30(6):834‒841.
  9. Williams LS, Schmalfuss IM, Sistrom CL, et al. MR imaging of the trigeminal ganglion, nerve, and the perineural vascular plexus:normal appearance and variants with correlation to cadaver specimens. AJNR Am J Neuroradiol. 2003;24(7):1317‒1323.
  10. Hughes MA, Frederickson AM, Branstetter BF, et al. MRI of the trigeminal nerve in patients with trigeminal neuralgia secondary to vascular compression. AJR Am J Roentgenol. 2016;206(3):595‒600.
  11. Sava A, Furnică C, Petreuş T, et al. Trigeminal nerve:MRI anatomy and case presentation of trigeminal neuralgia due to arterial compression. Rom J Morphol Embryol. 2012;53(4):1097‒1102.
  12. Ishi Y, Asaoka K, Sugiyama T, et al. Case Report:Trigeminal Neuralgia Caused by a Minute Meningioma with Hyperostosed Suprameatal Tubercle. Case Rep Neurol. 2015;7(2):167‒172.
Creative Commons Attribution License

©2017 şahin, et al. This is an open access article distributed under the terms of the, which permits unrestricted use, distribution, and build upon your work non-commercially.