Submit manuscript...
Journal of
eISSN: 2373-6437

Anesthesia & Critical Care: Open Access

Case Report Volume 11 Isuue 3

Unilateral hypoglossal nerve and recurrent laryngeal nerve weakness following endotracheal intubation

Walaa Ali Kheir

Emergency Medicine, Qatar

Correspondence: Walaa Ali Kheir, Emergency Medicine, Qatar

Received: December 08, 2019 | Published: December 12, 2019

Citation: Kheir WA. Unilateral hypoglossal nerve and recurrent laryngeal nerve weakness following endotracheal intubation. J Anesth Crit Care Open Access.2019;11(3):91?92. DOI: 10.15406/jaccoa.2019.11.00417

Download PDF

Abstract

Endotracheal intubation with cuffed tube is a safe procedure associated with few complications in majority of patients. Immediate complications are primarily associated with problems dring intubation and extubation while early and late complications represent the short- and long-term effets of epithelial trauma. True vocal cord paralysis may follow endotracheal intubation and be the result of peripheral nerve damage. This damage can occur as the result of compressing the nerve between an inflated endotracheal tube cuff and the overlying thyroid cartilage.1

The hypoglossal nerve (12th cranial nerve) is  motor nerve. It supplys the tongue muscle and help in speech, Food manipulation, and swallowing. Hypoglossal nerve injury following endotracheal intubation under general anesthesia is a rare complication and can cause symptoms, such as dysarthria and dysphagia.2

Keywords: Endotracheal intubation, recurrent laryngeal nerve, hypoglossal nerve, palsy, paralysis, complications

Abbreviations

ETT, Endotracheal Tube

Case presentation

A 30 years old female not known to have any medical illness was admitted electively for septoplasty. Procedure done under general anesthesia, patient was easily intubated with induction of propofol, fentanyl and paralytic agent. Using size 7 ETT cuffed tube with size 3 blade, there were no difficulties in the laryngoscopic view, tube was fixed at the level of 23 cm at incisors. Procedure was un eventful and the patient then shifted to the post-operative ward. Two days post-operative, patient developed slurred speech and difficulty of swallowing with hoarseness of voice, examination showed the tongue was curved toward the left side consistent with left hypoglossal nerve palsy. The patient was seen by neurology who ordered MRI head / MRA head and neck which came to be normal.3,4

In hospital course:

Patient followed up regularly in the clinic by speech therapist, the hypoglossal nerve palsy improved totally but vocal cord paly still present. The case was sent abroad for an overseas specialized center in voice rehabilitation for more management.

Treatment and outcome:

Patient underwent augmentation of the left vocal cord and speech therapy, she had partially improved, but she is still has hoarseness of voice. Still following with speech therapy.

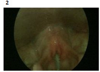
Endoscopic vocal cord examination pictures (one year after the injury) as shown down:

Lt vocal cord weakness with thickening post augmentation. Figures

Discussion and conclusion

In  our case, complete  recovery of function from hypoglossal nerve palsy is generally achieved within the first 2 weeks.

In conclusion, the cause of hypoglossal nerve palsy in our patient was assumed to be a complication of direct compression of the hypoglossal nerve beneath the angle of the mandible during the surgical procedure with mask ventilation and oropharyngeal manipulation. Therefore, in order to prevent this complication, we must apply gentl direct laryngoscopy and carefull manipulation the patient’s head and neck. True vocal cord paralysis may follow endotracheal intubation and be the result of peripheral nerve damage. This damage can occur as the result of compressing the nerve between an inflated endotracheal tube cuff and the overlying thyroid cartilage.

Conflicts of interest

I have no conflict of interest in relation to this case.

References

Creative Commons Attribution License

©2019 Kheir. This is an open access article distributed under the terms of the, which permits unrestricted use, distribution, and build upon your work non-commercially.