Submit manuscript...
Journal of
eISSN: 2473-0831

Analytical & Pharmaceutical Research

Research Article Volume 11 Issue 1

Effects of paraquat dichloride on adult male wistar rat. an approach in the toxicity of body weights and hematological tissues

Great Iruoghene Edo

Faculty of Arts and Sciences, Department of Chemistry, Cyprus International University, Nicosia, Turkey

Correspondence: Great Iruoghene Edo, Faculty of Arts and Sciences, Department of Chemistry, Cyprus International University, Nicosia, Turkey

Received: December 31, 2021 | Published: January 21, 2022

Citation: Edo GI. Effects of paraquat dichloride on adult male wistar rat. an approach in the toxicity of body weights and hematological tissues. J Anal Pharm Res. 2022;11(1):1-7. DOI: 10.15406/japlr.2022.11.00394

Download PDF

Abstract

The main objective of the experiment is aimed to examine the impact of paraquat dichloride on the body weights of adult male Wistar rats as well as in their haematological tissues. The total number of male Wistar rats was 48 and was divided into 4 groups of 12 each. The 1st group (Test 1) served as control. The other three groups served as experimental groups in which the paraquat dichloride was administered. The experimental groups which are 2nd group (Test 2), 3rd group (Test 3) and 4th group (Test 4) received doses of paraquat dichloride of 10 mg/kg b.wt/per oral/day, 20 mg/kg b.wt/per oral/day and 40 mg/kg b.wt/per oral/day respectively. The experiment was carried out for a time duration of 42 days. The mean values of body weights, erythrocyte indices, total erythrocyte count (TEC), total leucocyte count (TLC) and Hb concentrations were significantly (P<0.05) decreased in Test 2, 3 and 4 rats, excluding packed cell volume (PCV), which in comparison to the control groups. Outcomes and observations from hematological parameters and bone marrow revealed the toxicity of paraquat dichloride to hematological tissues resulting in anemia and bone marrow hypoplasia which eventually leads to failure of the bone marrow and extensively hematopoietic system of adult male Wistar rats following long term exposure and high concentration.

Keywords: anemia, hypoplasia, body weight, wistar rat, paraquat dichloride, toxicity

Introduction

In the recent past, the awareness of the serious consequences related to the use of herbicides on humans has increased in Cyprus and other developing countries in Asia.1 Herbicides was developed during the second world war because of the pervasiveness of plant diseases to control weeds in our community had been extensively embraced for industrial, household and farming purposes and had turned into a pervasive and necessary need of an individual's lifestyle today in Cyprus. Prevalence rate of toxic herbicides in Cyprus as well as other developing countries might not be isolated in an impoverished or possibly absent in governmental organization and the abuse of the poisonous pesticide.2 It is absolutely necessary to evaluate the potential adverse reactions associated with these herbicides might portent on the stores that are selling them, farm workers’ and people’s health and wellness caused by the countless amount of herbicides utilized in agriculture these days.3 People are exposed to herbicides essentially by at least three ways more specifically; the skin, oral and inhalation, and a lot of focus has been made with respect to the oral means of exposure as well as several reports had involved in accordance with oral means to cause several toxic effects of tissue.4 More so, persistent breathing of herbicides is extremely dangerous due to the fact that it remains rapidly absorbed in the blood stream through the lungs in cases in which toxicity exists alternated beginning with mild to dangerous.5 Toxicity to reproduction is a subject of growing interest with regard to the consideration of environmental health threats.6 In accordance with,3 the evaluation of the possible effects of herbicides on farm workers’ condition is revered by taking into account the enormous quantity of herbicides utilized in the industry. Many clinical studies7 have proven the ability of herbicides to intervene in the reproductive health and endocrine disorders.

Herbicides or weed killers are the chemical substances which are used to destroy or prevent the increase in the number of several weeds.8 In the developed world, these herbicides are currently being used rapidly due to the absence of weaving and increasing of crop production.9 Paraquat is considered to be one of the most widely used for high-quality, low-emission and minimal agricultural produce residue.10 Paraeforce (e) a paraquat dichloride (1,1-dimethyl-4,4-bipiridininum ion) has been identified as an organochlorine herbicide as well as a water-soluble herbicide that is registered for controlling the increase in the number of weeds and grasses in many agricultural and non-agricultural areas.11 Herbicide application and toxic characteristics depend on the parent cation's capacity to undergo a single addition of the electron to generate free radical molecules. It is widely used as a non-selective and beneficial herbicide in agriculture with various toxicity levels including reactive oxygen species (ROS).13 Commercial names such as the Gramoxone, Crisquat, Dextrone X and Esgram in approximately 100 industrialized and developing countries is seen to register the Paraquat herbicide and marketed out the same as under these commercial names. Though, since 2007 due to health reasons and the environmental persistence is being seen to be unlawful throughout the European Union countries. however, it is nevertheless being utilized in highly agricultural and non-agricultural methods till date.13 Through the period prior to-planting of a peanut, sugarcane, grains, potatoes, cotton, tree plantation areas, vegetables and grasses; post-plant of fruit crops, vegetables, trees, vine, grains, soybeans, and sugar cane; all the way across the dormant season on herbaceous plants and alternative legumes, paraquat dichloride is seen to be employed. In the harvest of cotton, beans, soybeans, potatoes, sunflowers and sugarcane, it is seen to act in conjunction like a chemical compound and as a siccative on staked tomatoes for post-harvest. In non-agricultural places like roadsides, airports, industrial buildings, drains, irrigation, ditches and waterways paraquat dichloride has also been utilized.14

Nucleophilic centers of cellular biomolecules, including DNA has proven to establish a covalent bond with highly reactive compounds such as herbicides. Undesirable effects to human health, causing damage to the DNA molecules that led to potential adverse reproductive results, an initiation of cancer, and other chronic illnesses associated with the the non-selective use of herbicides subsequent to their biological activity.15 In certain circumstances, the information on the exposure might be obtainable by the analysis of the concentration of a specific herbicide in the human body, tissues and fluids, that is, biological observation or may be done by coming up with experiments which could be used to review herbicide effects on non-target animals and to assess the danger in humans exposed to herbicides.16 The aim of this research is to determine the toxic effects of a non-selective herbicide paraquat dichloride on body weights and some hematological tissues which include the bone marrow and blood on male wistar rats.

Materials and methods

Experimental animals

A total number of 48 male Wistar rats that weighs 150 to 250 grams were obtained from the animal facility of the College of Health Sciences, Cyprus International University for the current study. The rats were housed in the Biochemistry Research Center of the Cyprus International University in solid base polypropylene cages and stored in a controlled atmosphere (20 – 22 °C) during the experiment period. The rats were allowed to adjust in accordance with favorable conditions for two (2) weeks that would allow them to adapt to their new environment and fed with a standard grower’s mash obtained from Lambrou Agro Ltd, Cyprus as well as deionized water at Biochemistry Research Center of the Cyprus International University during the period of the experimentalal procedures.

On the weight and haematological analysis, the rats were grouped into four groups: one control group (Test 1) and three experiment groups (2, 3 and 4; Test 2, 3 and 4 respectively). Each group that contains 12 rats was administered paraquat dichloride orally with the use of oral gavage for 42 days. Group 2 (Test 2): rats weighing 258 - 262g were administered does of paraquat dichloride (10 mg/kg b.wt/per oral/day) orally with the use of oral gavage for 42 days. Group 3 (Test 3): rats weighing 254 - 259g were administered does of paraquat dichloride (20 mg/kg b.wt/per oral/day) orally with the use of oral gavage for 42 days. Group 4 (Test 4): rats weighing 261 - 265g were administered does of paraquat dichloride (40 mg/kg b.wt/per oral/day) orally with the use of oral gavage for 42 days. Group 1 (Control: Test 1): was kept as rat control that doesn't have exposure to paraquat dichloride. The experimental rats were grouped into three groups on the weight basis in the following order so that they can simulate an actual lifetime experience where individuals of various bodyweights remain in the stores and to determine whether there is a connection between the body weight and level of metabolic rate of xenobiotics throughout the living organisms. Taking into Account, the rats that have not been exposed represent the control for a comparison.

Experiments conducted in this study was conducted following the European Convention for the Protection of Vertebrate Animals used for Experimental and other Scientific Purposes. The Institutional Committee on Ethics on Animal Use has already accepted all Protocols.

Chemical

Paraquat dichloride was obtained from ZAGRO Europe GmbH Rheinstrasse 1, D79618 Rheinfelden, Germany.

Weight estimation

At day zero and 7th, 21st and 42nd day of experiment, individual body weights of all rats were obtained with the use of electronic weighing balance.

Haematology test

The selected research laboratory rats were positioned to fast rapidly for 12 hours prior to the collection of blood. Six (6) rats from every group was used for the blood collection upon the day of sacrifice (approximately 3-4mL) by using a capillary tube to retro-orbital plexus into a coated anticoagulant vacutaner {(K2EDTA, 7.2mg tube, 13mm x 75 mm, 4mL (Fisher Scientific. Ltd., USA)} carry out all the haematological parameters that will be implemented. The full blood samples have been utilize for the assessment of parameters such as haemoglobin (Hb) concentration, packed cell volume (PCV), total leukocyte count (TLC), total erythrocyte count (TEC) and RBC indices such as mean corpuscular volume (MCV), mean corpuscular haemoglobin concentration (MCHC) and mean corpuscular haemoglobin (MCH) by using Hematology Analyzer (Yumizen H2500/H1500, Horiba Medical. Ltd., USA).

Bone marrow micronucleus assay

 At day 7, day 21 and day 42 after the application of paraquat dichloride, 40 mg/kg b.wt/per oral/day in accordance with a single application, rats were sacrificed through an overdose. Bone marrow transplantation is suctioning with a syringe that contains 1 ml of 5 % fresh bovine albumin in phosphate-buffered saline (pH 7.2) once the femora has dissected, as described by.17 Bone marrow transplant extract was mixed equally and the corresponding cell suspension was centrifuged for 5 minutes at 180 × g. Smears was prepared on clean glass slides and dried up as soon as the pellet remained resuspended in the fresh bovine albumin. Following 5 minutes of smears in methanol, it was stained with May Gruenwald/Giemsa stain at pH 6.8.18 Under oil-immersion objective after coding, the stained slides were screened microscopically at magnification (40X and 100X) to determine the histological effects resulting from paraquat dichloride.

Statistical analysis

 Statistical interpretation was made from collected data (body weight and haematological data) by applying one-way ANOVA and using IBM SPSS Statistics 23 software. By using Duncan's multiple comparison tests, differences between the means were tested and significance level was set at P<0.05.

Results

Body weight (g) estimation results

The outcome of the consequence of long-term exposure to paraquat dichloride on body weight of male wistar rats is presented in Table 1. After 7 days there has been a significant decrease (p<0.05) in the body weight of the exposed rats in T2 (245.49±4.36), T3 (234.37±3.39) and T4 (219.25±2.09) when compared to the control T1 (254.51±3.68). Simultaneously after 21 days significantly decrease in rats was recorded in T2 (231.39±2.28), T3 (222.47±4.48) and T4 (211.51±2.37) when compared to the control T1 (289.61±5.05) and a further significant decrease was observed after 42 days in T2 (211.61±3.49), T3 (201.59±2.72) and T4 (190.63±4.41) when compared to the control T1 (321.42±5.11) respectively.

TEST

DAY7

DAY21

DAY42

T1

254.51±3.68a

289.61±5.05a

321.42±5.11a

T2

245.49±4.36b

231.39±2.28ba

211.61±3.49c

T3

234.37±3.39b

222.47±4.48ba

201.59±2.72c

T4

219.25±2.09c

211.51±2.37c

190.63±4.41b

Table 1 Weight (g) result in different examined groups (Test)
Values in each column are presented as mean ± SD, (i.e. n = 6). Using One-way ANOVA
Means in the same column with a different superscript are significantly different (p < 0.05)

Haematology results

The result of the impact of persistent exposure to paraquat dichloride on haematological indices of rats is presented in Table 2, 3 and 4. After 7 days there has been a significant decrease (p<0.05) in the MCHC (g/dL) of the exposed rats in T3 (33.51±1.57) and T4 (31.23±0.45) as compared to the control T1 (35.34±0.78) as well as insignificant differences (p>0.05) has been observed in T2 (34.92±1.60) when compared with the control group T1. Concurrently following 21 days significantly decreased in rats has been recorded in T2 (35.51±0.20) and T4 (32.51±0.52) in comparison to the control group T1 (34.77±0.21) as well as the insignificant differences (p>0.05) was noted in T3 (34.10±1.25) as compared with the control group T1 and an additional significant decrease was seen after 42 days in T2 (36.94±0.29), T3 (35.87±0.37) and T4 (34.11±0.33) as compared to the control T1 (33.65±3.71) respectively. At the Same Time MCV (fL) additionally decreased significantly (p<0.05) following 7 days in T3 (51.17±1.96) and T4 (48.24±0.91) in comparison to the control T1 (52.72±1.25) as well as insignificant differences (p>0.05) has been observed in T2 (52.11±0.68) when compared with the control group T1. Concurrently after 21 days significantly decreased in rats turned out to be recorded in T3 (50.49±1.96) and T4 (47.33±0.40) as compared to the control T1 (51.75±1.60) and insignificant differences (p>0.05) proved to be observed in T2 (51.51±1.25) when compared with control group T1 as well as a further significant decrease has been observed after 42 days in T2 (49.11±0.37), T3 (48.71±0.21) and T4 (45.79±0.33) in comparison to the control T1 (50.23±0.18) respectively. Nevertheless, in comparison to the control group T1 (16.78±0.15, 17.69±0.49 and 18.20±0.26) the concentrations of MCH (pg) decreased significantly (p<0.05) in T3 (15.86±1.25, 16.34±1.61 and 17.13±0.56) and T4 (14.84±0.64, 15.85±0.54 and 16.21±0.45) in 7, 21 and 42 days, likewise T2 (16.24±0.45, 17.11±0.57 and 18.07±0.18) ) decreased insignificantly (p>0.05) in 7, 21 and 42 days respectively.

MCHC (g/dL)

   

TEST

DAY7

DAY21

DAY42

T1

35.34±0.78a

34.77±0.21a

33.65±3.71a

T2

34.92±1.60a

35.51±0.20b

36.94±0.29b

T3

33.51±1.57b

34.10±1.25a

35.87±0.37b

T4

31.23±0.45c

32.51±0.52c

34.11±0.33c

MCV (fL)

     

TEST

DAY7

DAY21

DAY42

T1

52.72±1.25a

51.75±1.60a

50.23±0.18a

T2

52.11±0.68a

51.51±1.25a

49.11±0.37b

T3

51.17±1.96b

50.49±1.96b

48.71±0.21b

T4

48.24±0.91c

47.33±0.40c

45.79±0.33c

MCH (pg)

     

TEST

DAY7

DAY21

DAY42

T1

16.78±0.15a

17.69±0.49a

18.20±0.26a

T2

16.24±0.45a

17.11±0.57a

18.07±0.18a

T3

15.86±1.25b

16.34±1.61b

17.13±0.56b

T4

14.84±0.64c

15.85±0.54c

16.21±0.45c

Table 2 RBC indices in different examined groups (Test)
Values in each column are presented as mean ± SD, (i.e. n = 6). Using One-way ANOVA
Means in the same column in each parameter with a different superscript are significantly different (p < 0.05)

Hb (g%)

     

TEST

DAY7

DAY21

DAY42

T1

16.70±0.34a

16.25±0.20a

15.77±0.52a

T2

16.01±0.15a

15.47±0.18b

14.89±2.62b

T3

15.69±0.37b

14.88±0.42b

13.01±0.18b

T4

13.80±0.15c

12.11±0.37c

10.23±0.33c

TEC (Millions/μL)

   

TEST

DAY7

DAY21

DAY42

T1

9.55±0.17a

9.35±0.24a

9.11±0.26a

T2

9.20±0.15b

9.02±0.17a

8.89±0.12b

T3

9.01±0.12b

8.55±0.19b

8.21±0.18b

T4

8.06±0.10c

7.49±0.23c

7.01±0.10c

TLC (Thousands/ μL)

   

TEST

DAY7

DAY21

DAY42

T1

13.01±0.39a

13.54±0.18a

12.47±0.25a

T2

12.89±0.42a

12.11±1.60a

11.23±0.27a

T3

11.23±1.96b

10.53±0.24b

9.49±0.30b

T4

9.18±0.21c

8.45±0.40c

7.47±0.25c

Table 3 Haematological parameters in different examined groups (Test)
Values in each column are presented as mean ± SD, (i.e. n = 6). Using One-way ANOVA
Means in the same column in each parameter with a different superscript are significantly different (p < 0.05)

TEST

DAY7

DAY21

DAY42

T1

53.47±0.27c

49.27±1.48b

44.89±1.06c

T2

53.01±2.53c

52.49±1.24c

51.03±2.77a

T3

54.79±1.78b

53.12±3.75c

52.01±1.52a

T4

56.34±0.52a

50.17±0.78a

45.57±1.67b

Table 4 PCV (%) in different examined groups (Test)
Values in each column are presented as mean ± SD, (i.e. n=6). Using One-way ANOVA
Means in the same column with a different superscript are significantly different (p<0.05)

Following 7 days, the reduction was significant (p<0.05) in the Hb (g%) of the exposed rats in T3 (15.69±0.37) and T4 (13.80±0.15) as compared to the normal control T1 (16.70±0.34) although insignificant differences (p>0.05) were shown in T2 (16.01±0.15) in comparison to the normal control group T1. Furthermore, following 21 and 42 days a significant decrease (p<0.05) was demonstrated in in accordance with Hb levels of T2 (15.47±0.18 and 14.89±2.62), T3 (14.88±0.42 and 13.01±0.18) rats in comparison to the control group T1 (16.25±0.20 and 15.77±0.52). Following 7 days, there has been a significant decrease (p<0.05) in the TEC (Millions/μL) of the exposed rats in T2 (9.20±0.15), T3 (9.01±0.12) and T4 (8.06±0.10) in comparison to the control T1 (9.55±0.17). Simultaneously after 21 days significantly decreased in rats has been recorded in T3 (8.55±0.19) and T4 (7.49±0.23) when compared to the control T1 (9.35±0.24) and insignificant differences (p>0.05) have been observed in T2 (9.02±0.17) as compared to the control group T1 as well as a further significant decrease was observed after 42 days in T2 (8.89±0.12), T3 (8.21±0.18) and T4 (7.01±0.10) in comparison to the control T1 (9.11±0.26) respectively. However, when compared to the control group T1 (13.01±0.39, 13.54±0.18 and 12.47±0.25) in accordance with levels of TLC (Thousands/ μL) decreased significantly (p<0.05) in T3 (11.23±1.96, 10.53±0.24 and 9.49±0.30) and T4 (9.18±0.21, 8.45±0.40 and 7.47±0.25) in 7, 21 and 42 days, also T2 (12.89±0.42, 12.11±1.60 and 11.23±0.27) have been reduced insignificantly (p>0.05) in 7, 21 and 42 days respectively.

There had been a slight significant decrease at day 7 in the PCV (%) of the exposed rats in T3 (54.79±1.78) and T4 (56.34±0.52) as compared to the normal control T1 (53.47±0.27) however insignificant differences (p>0.05) have been shown in T2 (53.01±2.53) in comparison to the normal control group T1. Simultaneously following 21 days significantly decreased in rats has been recorded in T2 (52.49±1.24), T3 (53.12±3.75) and T4 (50.17±0.78) as compared to the control T1 (49.27±1.48) as well as the a further significant decrease was observed following 42 days in T2 (51.03±2.77), T3 (52.01±1.52) and T4 (45.57±1.67) as compared to the control T1 (44.89±1.06) respectively.

Bone marrow micronucleus assay result

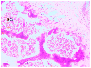
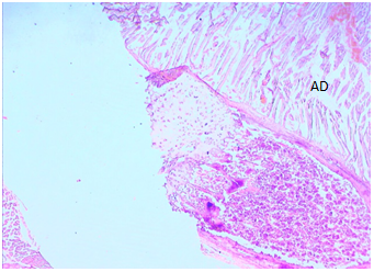
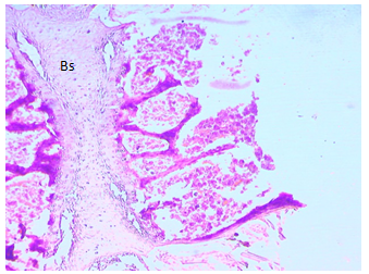
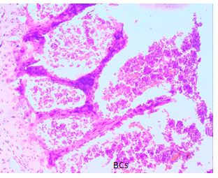
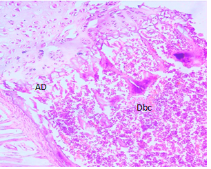
 In the research sections of the bone marrow displays an epiphysis along with bone marrow blast at various levels of maturation which are separated with spikes of bone. From inside the marrow tissue there are a few megakaryocytes associated adipocytes were also seen. These features are in accordance with mild bone marrow hypoplasia following the administration of paraquat administration on day 7 (Figure 3 and 4). Although, at day 21, the section of bone marrow tissue is seen to be composed of bone tissue including developing blood cells at various stages of development although cell lines in which sparse and adipocytes remain scant (Figure 5 and 6) compared to the control group (Figure 1 and 2). Such characteristics are consistent with moderate bone marrow tissues. On day 42, sections of bone marrow display the bone tissue along with associated marrow in which are scant blast cells. There exists an abundance of spaces separated by bone spikes. These features are in line with bone marrow failure (severe bone marrow hypoplasia) (Figure 7 and 8).

Figure 1 Bone Marrow Biopsy (Control) H & E x 40.

Figure 2 Bone Marrow Biopsy (Control) H & E x 100.

Figure 3 Bone Marrow Biopsy (Day 7) H & E (x40).

Figure 4 Bone Marrow Biopsy (Day 7) H & E (x100).

Figure 5 Bone Marrow Biopsy (Day 21) H & E (x40).

Figure 6 Bone Marrow Biopsy (Day 21) H & E (x100).

Figure 7 Bone Marrow Biopsy (Day 42) H & E (x40).

Figure 8 Bone Marrow Biopsy (Day 42) H & E (x100).
Keys: Bs, bone spikes; Dbc, developing blast cells; AD, adipocytes; BCs, blast cells.

Discussion

Weight reduction may be attributed to reduced feed and low water consumption in accordance with GIT's toxic activity of paraquat dichloride and free radical oxidative damage in several vital organs on the subcellular level. This observation is in accordance with earlier studies of.19,20

Results seen in the bone marrow revealed features of bone marrow hypoplasia that vary from mild to severe as a result of accumulated paraquat dichloride in the bone marrow. This will be seen to be comparable to the study which reported paraquat dichloride accumulation on the immune system, bone marrow and separate blood cell types (granulocytes, erythrocytes and megakaryocytes) are the possible causes of the decrease of the white blood cell count indicating adverse effects on leukocyte development.21

In connection with the toxicity of every exogenous compound which should be established, the credibility of haematological indices should be investigated for the reason that it plays a significant role in evaluating the toxicity of any compound; thus, accumulation of any exogenous compound in excess through the erythrocytes is typically a pointer to the clinic-pathological condition. Through the hematoxicity evaluation, reduction or rise in blood variables happens to be symptomatic of destruction of red blood cell production as well as such analysis results is very important in red blood cell risk evaluation due to the fact that changes in haematological system is equipped with an extremely high predictive amount used for human toxicity once the results showed after the assay happens to be induced to man.22 These alterations in the mean concentration levels of TEC and Hb could be caused by free radical induced damage in accordance with erythrocyte membrane and comparable view had been expressed by.23 The results of the analysis are in compliance with the earlier study proposed by.24 The changes in the TLC mean values in the current study were in accord with the view of22 who declared that the toxic effect of paraquat dichloride on leucopoiesis will lead to decrease TLC values. The insignificant high-level PCV mean values may have been caused by fluid loss caused by moderate diarrhoea and that these discovery are in accordance with the earlier studies proposed by.25 In contrast with the control sample, an average MCVs, MCHs and MCHC concentrations in different treatment groups showed no considerable decrease. Reduction in the number of RBC indices values (MCV, MCH and MCHC) in the present study can be attributed to the toxic influence of paraquat dichloride on haemopoietic system in connection with such discovery correspond to the previous studies proposed by.24 Similarly, RBC, hemoglobin, PCV, TLC and absolute leukocyte value in the rats are decreased by way of hemolysis emerging from the lipid peroxidation owing to the production of reactive oxygen species caused by the toxicity of paraquat dichloride in accordance with the previous studies26.24 Findings of the current study demonstrated that paraquat exposure results in substantial hematological changes in the adult male Wistar rats. All stated alterations revealed that exposed Wistar rats was suffering from anemia caused by the herbicide paraquat dichloride. This is considered as an indication of the disruptive effects of paraquat dichloride on tissues responsible for the production of erythrocytes as well as the viability of the cells.27 Wistar rat’s osmoregulation was seen to possibly destroyed by paraquat dichloride. Dilution of blood was seen as the resulting effect of the disturbed osmoregulation. Since oxygen transportation within the body has proven to be performed by erythrocytes as well as their hemoglobin contents, the relatively small number of red blood cells or insufficient amount of their hemoglobin content could be seen to have an impact on the energy balance of the body. In this case, Wistar rat is seen to may have suffered from oxygen deficiency which ultimately prohibited its normal growth. Moreover, it seems that the reduction in red blood cells has been seen as a key factor which could be responsible for productivity reduction.28

ROS (reactive oxygen species) production is seen as the medium through which paraquat dichloride exhibits its toxicity.24 The ROS productions have been seen to result to cell damages and inducing the cascades of signaling mechanism which conclusively lead to cellular differentiation, adaptation, proliferation, necrosis or apoptosis.30,31 It is seen to be highly reactive and vulnerable to free radicals and specifically reactive oxygen species as a result of possessing sulphuric and unsaturated molecules, amino acids such as phenylalanine, mitonin, cysteine, histidine and tryptophan.19,15 This has helped split the amino acid series, incorporate amino acid chains and also alter amino acids biochemical structures and causes proteolytic changes in protein compounds. Therefore, tissue damage is being shown in the destruction of protein structures of the tissue and also lipid structures of the cell membrane.

A review of paraquat dichloride given at 1, 0,1 and 0,001mg/kg doses for 21 days, the immunotoxic effect has been studied in Balbc/mice. In various groups of animals, weight, organ weight, spleen cellularity, type of delayed hypersensitivity reaction, subtypes of spleen cells and lymphocyte proliferation assays were investigated. The discoveries showed that the cellular and humoral immune response following a high dose of paraquat dichloride can be suppressed. Removing macrophages and granulocyte phagocytic operations, lymphocytic tissues and natural killers, as well as decreased cellular cells of the spleen, white pulp atrophy, and lymphocytes with an increased amount of red pulp volume in rats, has allegedly been proven to be triggered by paraquat dichloride.12

The paraquat dichloride herbicide is being used as a non-selective herbicide, in conjunction with its properties detected in 1955; it has previously been registered in ICI laboratories as an herbicide in 1962. Farmers in the developing countries are seen to have convenient access to it.28 When humans encounter accidental or suicidal ingestion of paraquat dichloride, it is usually confirmed to be one of the chemicals used for suicidal attempts, with a dosage of 4 mg kg-1 b.wt. It is well-known to be toxic to humans and animals at high doses, especially in the lungs, liver, kidneys and hearts. This herbicide, owing to its rapid impact and the simplification of administration, proved to be widely utilized as a test model for studying lung injury, particularly alveolar damages.19

The study recorded a paraquat distribution of three-dimensional model, indicating paraquat dichloride toxicity and it was expected to make a contribution to variable alterations in the hematological parameters, in which the overall mean erythrocyte count, hemoglobin and packed cell volume throughout the paraquat treatment groups compared to the control group were discovered to be significantly decreased. This discovery demonstrated that paraquat dichloride can cause anemia.32,33

Conclusion

Humans are extremely exposed to paraquat dichloride particularly during the rainy season as a result of their application for land preparation by the farmers and removal of weeds as well as the unwanted vegetation by way of households, this is seen to results in the need to access the environmental effects of the toxic compounds that will assist in creating public consciousness regarding its danger. Consequently, the usage of mortality or bioassay experiments is seen to be necessary to access its impact on the body weights and some hematological tissues. The current study demonstrated that paraquat is obviously toxic to adult male Wistar rats. An exposure of Wistar rats in connection with this herbicide has resulted in significant reduction in the examined body weights and hematological parameters. These alterations are seen as being able to adversely suppress normal growth, reproduction, immunity and even survival of adult male Wistar rats in the natural environment as well as culture conditions. Paraquat dichloride at the same time it is seen to cause bone marrow hypoplasia which eventually leads to bone marrow failure following long term exposure in adult male Wistar rats.

In conclusion, the toxic effects of paraquat dichloride as seen in this study could be useful in educating farmers who regularly use this herbicide and the general public on possible effects of this herbicide to human and animal lives in order to prevent increased mortality rate due to paraquat dichloride toxicity. Subsequently, further studies on the effect of paraquat dichloride on hematological tissues especially the bone marrow is recommended.

Funding

This research did not receive any specific grant from funding agencies in the public, commercial, or not-for-profit sectors.

Acknowledgments

None.

Declarations

Conflict of interest: The author have no conflict of interests to declare.

Ethics approval and consent to participate: The experimental protocols were approved by the Animal Ethics Committee of the Faculty of Life Sciences, Cyprus International University, Nicosia, Cyprus.

Consent for publication: The authors grant Comparative Clinical Pathology for the appropriate consent to publish this work.

Competing interests: The authors declare no competing interests.

References

  1. Adebayo OL, O Adegbes B, A Adenuga G. Comparison of the Effects of Low Protein Diet Versus Chemical Neurotoxins on Brain Weight, Brain Lipid Peroxidation and Antioxidant Status of Rats. Asian J Biol Sci. 2008;2:7–13.
  2. Konradsen F, van der Hoek W, Cole DC, et al. Reducing acute poisoning in developing countries—options for restricting the availability of pesticides. Toxicology. 2013;192:249–261.
  3. Scientific Committee on Consumer Safety (SCCS). Toxicity and Asessment of Chemical Mixtures. 2005. p. 1–50.
  4. Mostafalou S, Abdollahi M. Pesticides and human chronic diseases: Evidences, mechanisms, and perspectives. Toxicol Appl Pharmacol. 2013;268:157–177.
  5. Mansour SA. Pesticide exposure—Egyptian scene. Toxicology. 2004;198:91–115.
  6. Guth S, Hüser S, Roth A, et al. Toxicity of fluoride: critical evaluation of evidence for human developmental neurotoxicity in epidemiological studies, animal experiments and in vitro analyses. Arch Toxicol. 2020;94:1375–1415.
  7. Chedrese P, Piasek M, Henson M. Cadmium as an Endocrine Disruptor in the Reproductive System. Immunol Endocr Metab Agents Med Chem. 2006;6:27–35.
  8. Carocci A, Catalano A, Lauria G, et al. Lead Toxicity, Antioxidant Defense and Environment. Rev Environ Contam Toxicol. 2016;238:45–67.
  9. Hossain M. Recent perspective of herbicide: Review of demand and adoption in world agriculture. J Bangladesh Agric Univ. 2016;13:19–30.
  10. Ren M, Wang YM, Zhao J, et al. Metallothioneins attenuate paraquat-induced acute lung injury in mice through the mechanisms of anti-oxidation and anti-apoptosis. Food Chem Toxicol. 2014;73:140–147.
  11. Toxicological Profile for Glyphosate. US Dep Heal Hum Serv. 2020;144.
  12. Mollace V, Lannone M, Muscoli C, et al. The role of oxidative stress in paraquat-induced neurotoxicity in rats: protection by non peptidyl superoxide dismutase mimetic. Neurosci Lett. 2013;335:163–166.
  13. Mansour SA. Environmental Impact of Pesticides in Egypt. Rev Environ Contam Toxicol. 2008;196:1–51.
  14. Ma M, Ayaz P, Jin W, et al. Analysis of the Dissipation Behavior of Defoliants in Cotton Fiber during Field and Scouring Process Using Liquid and Gas Chromatography. Int J Anal Chem. 2012;2019:1–5.
  15. Bolognesi C. Genotoxicity of pesticides: a review of human biomonitoring studies. Mutat Res Mutat Res. 2020;543:251–272.
  16. Hasenbein S, Peralta J, Lawler SP, et al. Environmentally relevant concentrations of herbicides impact non-target species at multiple sublethal endpoints. Sci Total Environ. 2017;607–608:733–743.
  17. Narayana K, D’Souza UJ, Seetharama Rao K. The genotoxic and cytotoxic effects of ribavirin in rat bone marrow. Mutat Res Toxicol Environ Mutagen. 2012;521:179–185.
  18. Mathew G, Rahiman MA, Vijayalaxmi KK. In vivo genotoxic effects in mice of Metacid 50, an organophosphorus insecticide. Mutagenesis. 2004;5:147–150.
  19. Kumar Reddy KBA, Jeevanalatha M, Lakshman M, et al. The Toxic Effects of Paraquat (PQ) on Body Weights and Haematological Parameters in Male Albino Wistar Rats and its Amelioration with Vitamin C. Int J Curr Microbiol Appl Sci. 2013;8:314–320.
  20. Pourgholamhossein F, Rasooli R, Pournamdari M, et al. Pirfenidone protects against paraquat-induced lung injury and fibrosis in mice by modulation of inflammation, oxidative stress, and gene expression. Food Chem Toxicol. 2018;112:39–46.
  21. Okitsu K, Bandow H, Maeda Y, et al. Sonochemical Preparation of Ultrafine Palladium Particles. Chem Mater. 1996;8:315–317.
  22. Olson H, Betton G, Robinson D, et al. Concordance of the Toxicity of Pharmaceuticals in Humans and in Animals. Regul Toxicol Pharmacol. 2000;32:56–67.
  23. Sato Y, Kamo S, Takahashi T, et al. Mechanism of Free Radical-Induced Hemolysis of Human Erythrocytes: Hemolysis by Water-Soluble Radical Initiator. Biochemistry. 1995;34:8940–8949.
  24. Lalruatfel PL, Saminathan M, Ingole RS, et al. Toxicopathology of Paraquat Herbicide in Female Wistar Rats. Asian J Anim Vet 2012;9:523–542.
  25. Wershana KZ. The Influence of Vitamin C or Selenium on Paraquat-induced Toxicity in Guinea Pigs. Pakistan J Biol Sci. 2015;4:81–88.
  26. Ighodaro OM, Adeosun AM, Akinloye OA. Alloxan-induced diabetes, a common model for evaluating the glycemic-control potential of therapeutic compounds and plants extracts in experimental studies. Medicina (B Aires). 2017;53:365–374.
  27. Patnaik L, Patra A. Haemoatopoietic alterations induced by carbaryl in Clarias batrachus (LINN). J Appl Sci Environ Manag. 2006;10.
  28. Hashemi RA, Jaddi Y, Sadeghi MA, et al. Study of Toxicology Effects of Herbicide Paraquat on Heamatological Parameters of Mesopotamichthys sharpeyi. Open J Mar Sci. 2017;07:258–270.
  29. Waren A, Ayuningtiyas R, Wahyuda A. Relationship Between Personal Protective Equipment Use and Contact Dermatitis in Palm Oil Pesticide Workers. KnE Life Sci. 2015;2021:272–277.
  30. Onyibe PN, Edo GI, Nwosu LC, et al. Effects of vernonia amygdalina fractionate on glutathione reductase and glutathione-S-transferase on alloxan induced diabetes wistar rat. Biocatal Agric Biotechnol. 2021;36:102118.
  31. Hassan F, Edo GI, Nwosu LCl. An inventory of medicinal plants used as sedative, analgesic and blood tonic in Abeokuta, Ogun State, Nigeria. Acta Ecol Sin. 2021.
  32. Adeoti OT, Belonwu DC, Wegwu MO, et al. Implication of Acute, Sub-chronic and Chronic Exposure to Different Pesticides via Inhalation on Male Wistar Rats. Bioeng Biosci. 2008;5:74–85.
  33. Salehi, Ata, V Anil Kumar, et al. Antidiabetic Potential of Medicinal Plants and Their Active Components. Biomolecules. 2009;9:551.
Creative Commons Attribution License

©2022 Edo. This is an open access article distributed under the terms of the, which permits unrestricted use, distribution, and build upon your work non-commercially.