Submit manuscript...
Journal of
eISSN: 2473-0831

Analytical & Pharmaceutical Research

Review Article Volume 2 Issue 3

Pulmonary Inflammation Induced by Single Walled Carbon Nanotubes in Golden Syrian Hamsters

Kiran H Bijlani, Hemlata R Sukhija, Jerome O Cantor, Joseph M Cerreta

Correspondence: Kiran H Bijlani, Department of Pharmaceutical Sciences, St John?s University, 8000 Utopia Parkway, Queens, NY- 11439, USA, Tel + 1 347-881-5272

Received: May 10, 2016 | Published: May 12, 2016

Citation: Bijlani KH, Sukhija HR, Cantor JO, Cerreta JM (2016) Pulmonary Inflammation Induced by Single Walled Carbon Nanotubes in Golden Syrian Hamsters. J Anal Pharm Res 2(3): 00021. DOI: 10.15406/japlr.2016.02.00021

Download PDF

Abstract

Single-walled carbon nanotubes (SWCNTs) have a broad range of applications; however, they may present a potential health hazard. The current study was undertaken to evaluate the effects of inhalation exposure of aerosolized SWCNTs on hamster lungs. Golden Syrian Hamsters were divided in to 2 groups: a control group that was exposed to an aerosol of distilled water, and a treated group exposed to aerosolized SWCNTs at concentrations of 1, 2 or 4mg/m3 for 2hrs/day for 4 consecutive days. Additional groups were used to investigate longer inhalation periods (8 and 14 days) with exposures of 4hrs/day to 2mg/m3 SWCNTs. One day post exposure, hamsters were euthanized. Tissue sections were evaluated by TUNEL assay to determine apoptosis and tissue homogenates were used to measure endothelin-1 (ET-1) levels. Bronchoalveolar lavage fluid (BALF) was used to determine total leukocyte cell numbers, tumor necrosis factor receptor type 1 (TNFR1) counts and endothelin receptor subtypes A (ETA) levels on alveolar macrophages. Scanning electron microscopy (SEM) and transmission electron microscopy (TEM) were carried out on lung tissue sections. The current study demonstrates inhalation exposures to SWCNTs in hamster induce pulmonary inflammation. Results from histological analysis of tissue sections indicated increase in inflammatory cells predominantly macrophages in airways and hyperplasia of airway epithelial cells. SWCNTs treatment significantly increased total BAL leukocyte counts, TNFR1 and lung ET-1 levels. SWCNTs treatment caused an increase in ETA levels and evidence of lung toxicity was demonstrated by apoptosis. SWCNTs deposition in alveolar airspaces along with changes to alveolar epithelium was observed in tissue sections examined by TEM.

Keywords: single walled carbon nanotubes, inflammation, endothelin-1, inhalation, lung

Abbrevation

ANOVA, analysis of variance; BALF, bronchoalveolar lavage fluids; BM, basement membrane; CNT, carbon nanotubes; ECM, extra cellular matrix; ET-1, endothelin-1; ETA, endothelin receptor subtype A; M, mitochondrion; Nu, nucleus; PE, post exposure; SEM, scanning electron microscopy; SWCNTs, single-walled carbon nanotubes; TEM, transmission electron microscopy; TNFR1, tumor necrosis factor receptor type 1

Introduction

Carbon has three allotropic forms; graphite, diamond and fullerenes.1,2 Kroto et al. discovered fullerenes1 followed by the discovery of carbon nanotubes (CNT) by Iijima et al.,3 in fullerene soot.2,4 Such tubes were formed as a product of the carbon-arc discharge method that is similar to the method used for fullerenes preparation. CNTs consist exclusively of carbon atoms arranged in a series of condensed benzene rings rolled-up into a tubular structure with diameters of few nanometers.

There are two classes of carbon nanotubes: single-walled (SWCNTs) and multi-walled (MWCNTs). SWCNTs consist of one layer of graphene cylinders while MWCNTs contain several concentric graphene sheets.2 Such nanotubes are 10,000 times thinner than a human hair, 10 times as strong as steel and 1.2 times as stiff as diamond.5,6 Because of their mechanical, electrical and thermal properties, SWCNTs have multiple potential applications that include chemical sensors, field emission materials, electronic devices, supercapacitors, for hydrogen storage and as nanoprobes in meteorology and biomedical industry.2,7,8

CNTs have a small size, a high aspect-ratio (length to diameter ratio up to 28000000:1), a fiber-like structure and a high surface area (up to 1000m2/g).9 Due to their morphological similarities to asbestos fibers, it has been suggested that CNTs may present a potential health hazard, particularly for workers and professional users. CNTs are biopersistent, as they are mainly made of graphite, and such persistence is a concern with regards to their possible toxicity and effects on humans and environment.10

In humans, one site where CNTs are likely to accumulate and cause injury is the lungs. Lung injury is often associated with damage to the structures of the alveolar wall. In response to such injury, there is an influx of inflammatory cells, release of mediators and turnover of the extracellular matrix (ECM).11 Apoptosis may also occur and is characterized by shrinkage of the cytoplasm, membrane blebbing, condensation of the nuclear chromatin, chromosomal DNA fragmentation, and the formation of apoptotic bodies, that are eventually phagocytosed by macrophages and other neighboring epithelial cells.12 If the inciting agent is persistent a chronic inflammatory reaction may develop. Such a chronic inflammatory reaction may lead to changes in the alveolar interstitium in part due to release of cell mediators.13

 Endothelin (ET-1) is a highly potent vasoconstrictor peptide synthesized and released predominantly from the vascular endothelium and an inflammatory mediator that was first identified by.14 ET-1 may play a role in diseases of the airways, pulmonary circulation, and in acute and chronic inflammatory lung diseases.11,15 ET-1 levels in humans are also increased in acute lung injury, acute respiratory distress syndrome, and idiopathic pulmonary fibrosis. ET-1 is synthesized in smooth muscle cells as well as kidney, lung, heart, brain, pancreas, spleen and parathyroid gland, with the highest levels being found in the lung. In the lung, it is secreted by endothelial cells, epithelial cells, alveolar macrophages, polymorphonuclear leukocytes and fibroblasts.14,16-21 The inflammatory modulator functions of ET-1 are primarily mediated by ETA receptor activity that in turn stimulates the release of important mediators of airway inflammation such prostaglandins and an array of cytokines.22

TNF-α is a pro-apoptotic cytokine that is an important mediator of inflammation predominantly produced by macrophages. The biologic activities of TNF are mediated by two receptors, p55 (TNF-α receptor 1 or TNFR1) and p75 (TNF-α receptor 2 or TNFR2), that belong to the TNFR gene family. Mice genetically deficient in either p55 or p75 show that most of the biological activities of TNF-α are mediated through TNFR1.23 There is limited information regarding in vivo effects of inhaled SWCNTs on the lung as most studies have used either pharyngeal aspiration or intra-tracheal instillation as the route of exposure. The major drawback of such methods of administration is that they deliver a bolus of particles to lungs. Such may lead to an overestimation of the effect of toxicity caused by exposure to SWCNTs. Inhalation is a more natural route of exposure and offers a useful method for investigating the possible harmful potential of SWCNTs to the lungs of exposed animals.

In the current investigation, Golden Syrian Hamsters were selected as the test species, as such animals have been used as models of lung diseases, i.e. toxicity induced pulmonary fibrosis, enzyme induced emphysema, etc.24-26 Hamsters were selected as they are less susceptible to pulmonary infections and due to the large available data base for these animals. The main objective of the current investigation was to evaluate the effects of SWCNTs on the lungs of hamsters via inhalation exposures.

Methods

Experimental design

Female Golden Syrian Hamsters weighing approximately 100gm (6-7 weeks old) were purchased from Harlan Laboratories (NJ, USA) and housed in the AAALAC accredited Animal Care Center of St John’s University. All animal experiments were conducted after approval of the Institutional Animal Care and Use Committee. Animals were supplied with food and water ad libitum and maintained under a 12-hour light/dark cycle. Hamsters were divided into 2 groups, control and treated. Animals were placed in a chamber (28×19×15 inches) and exposed to an aerosol generated using Misty Ox Nebulizer and compressed air. SWCNTs manufactured by Catalytic Chemical Vapor Deposition were 1-2 nm in diameter, 5-30µm in length with a surface area of 400m2/gm were purchased from Nanostructured Amorphous Materials Inc. (TX, USA). Control groups were exposed to an aerosol of autoclaved distilled water. Treated groups were exposed to aerosolized SWCNTs at concentrations of 1mg/m3, 2mg/m3 and 4mg/m3 for 2hrs/day for 4 consecutive days. Additional groups were used to investigate longer inhalation periods (8 days and 14 days) with exposures of 4hrs/day to 2mg/m3 SWCNTs. The hamsters were euthanized 1 day post-exposure to SWCNTs; lungs and BAL fluids were collected. Each group (control and treated) was composed of 20 hamsters, 5 animals were used for bronchoalveolar lavage collection, 5 animals for lung measurement and 5 animals for histopathological and immunohistochemical examination, with the final 5 animals being used for SEM and TEM.

Histopathological evaluation of lungs by light microscopy

The animals were euthanized and the lungs fixed in neutral buffered formalin, dehydrated in alcohol and embedded in Paraplasts Plus. Tissue sections (5µM) were cut and stained with hematoxylin and eosin. The sections were examined and photographed at X400 using an Olympus Bright field microscope.

Scanning electron microscopy (SEM)

Following exposures to SWCNTs, animals were euthanized at the time points as described above. The lungs were fixed in situ with 2.5% glutarldehyde prepared in 0.1M sodium cacodylate buffer (pH 7.4) then cut into small blocks (2×2mm) and placed in fresh buffered fixative. Following fixation, the fixative was removed and replaced with 0.1M sodium cacodylate buffer and washed overnight. Samples were dehydrated in increasing concentrations of ethanol (30%, 60%, 90% and 100%). Following dehydration, samples were dried by the critically point method using bone dry CO2 as a transition fluid. Samples were mounted on clean stubs; sputter coated with platinum and examined using a Hitachi S-530 Scanning Electron Microscope.

Total bronchoalveolar lavage (BAL) counts

Hamsters were euthanized with an overdose of pentobarbital sodium. Lungs were lavaged in situ 3 times with phosphate-buffered saline (PBS) (pH 7.4), using one aliquot of 3ml followed by two aliquots of 2ml each and all aliquots were pooled. The total leukocytes were determined by direct counting using a hemocytometer.

Immunocytichemical analysis of TNF-R1α

The local production of TNF-R1α on the surface of macrophages was evaluated immunocytochemically using an anti-TNF- R kit (Stressgen Bioreagents Corp, Canada; Vector Laboratories Inc, USA)27 according to the manufacturer’s protocol. The brown staining of cytoplasmic TNF-R1α in the macrophages was evaluated, and the results were expressed as the number of macrophages stained positive for TNF-R1α in 20 fields.

ET-1 ELISA assay: The lungs were collected and homogenized in extraction buffer (PBS in 1% triton-X) and used for ELISA assay as outlined in the manufacturer’s protocol (R&D Systems, MN). Relative light units (RLU) were determined using a luminometer.

Immunofluorescence microscopy for ET-A receptor

A cytospin preparation of BAL cells was rinsed with PBS and fixed in 2% paraformaldehyde. Samples were washed and permeabilized using 0.2% triton-X-100 in 1% BSA and samples blocked with 10% normal serum. Washed samples were incubated with rabbit polyclonal antibody to Endothelin A receptor (1: 200; in 1% BSA) for 1hr at room temperature. Following primary antibody treatment, cells were washed and incubated with goat polyclonal antibody prepared against rabbit IgG and labeled with FITC (1: 200; in 1% BSA) for 1hr, at room temperature. After the second incubation, cells were washed and stained with DAPI (1:7000) for 15 min, and examined using a Nikon Eclipse TE2000 microscope at X200.

TUNEL assay: Apop Tag® Plus Peroxidase In Situ Apoptosis Detection Kit (Chemicon International, MA) was used for TUNEL assay. Paraffin embedded sections were cleared and rehydrated to water and TUNEL assay was carried out as per manufacturer’s protocol. Specimens were examined and photographed at X400 using a SPOT camera attached to an Olympus Brightfield microscope.

Transmission electron microscopy (TEM)

Animals were euthanized at the time points as described above. The lungs were fixed in situ with 2.5% glutarldehyde prepared in 0.1M sodium cacodylate buffer (pH 7.4), cut into small pieces (2×2mm) and placed in fresh buffered fixative. Following fixation, the blocks were washed with 0.1M sodium cacodylate buffer and then post-fixed 1 hour in 1% osmium tetroxide prepared in 0.1M sodium cacodylate buffer (pH 7.4) for 2 hrs. Following post fixation, specimens were washed with 0.1M sodium cacodylate buffer. Tissue blocks were stained with 1% uranyl magnesium acetate for 12 hrs and briefly washed with acidified distilled water. Stained blocks were dehydrated in a series of water/acetone mixtures to 100% acetone then infiltrated in sequentially increasing concentrations of acetone/plastic mixture containing EM Bed 812, Araldite 6005 (Ted Pella Inc, CA; USA) to 100% plastic. Following infiltration the blocks were embedded in fresh plastic, and polymerized. Tissue sections were cut on an ultramicrotome, collected on 300 mesh copper grids and stained with uranyl acetate, followed by lead citrate. Tissues were examined using a Jeol JEM-1200EX electron microscope at 80 kV.

Statistical analysis

Data presented as ± SEM were plotted using Graph Pad Prism®, Graph Pad Software Inc. (San Diego, CA). Significance was tested among and between groups using one-way analysis of variance (ANOVA) followed by Neumann Keuls multiple comparison post-hoc analysis. The criterion for significance was set at p< 0.05.

Results

Morphology: light microscopy

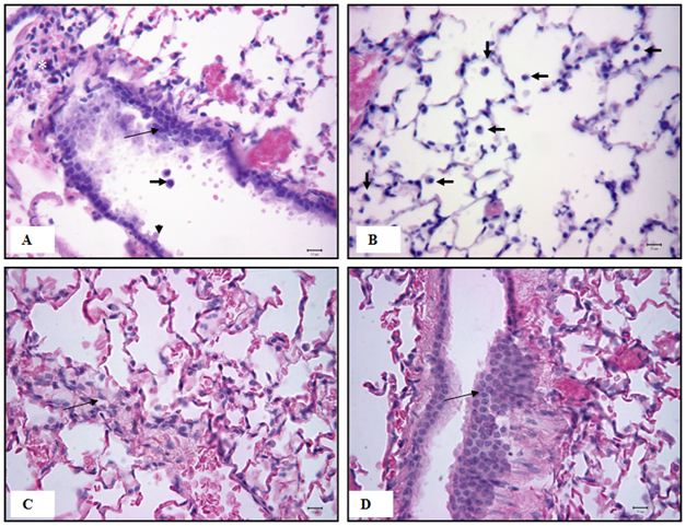
Light micrographs demonstrated that SWCNTs treatment induced lung injury and inflammation as shown in Figure 1A-1D. Animals exposed to SWCNTs treatment exhibited blebbing and hyperplasia of airway epithelial cells (Figure 1A) and an increase in the number of macrophages in airways and airspaces (Figure 1B). Animals exposed to SWCNTs for 8 days (Figure 1C) or 14 days (Figure 1D) also had similar pathology.

Figure 1(A-D) Light micrographs of SWCNTs-treated hamster lungs. (A) Lungs of animals treated with 2 mg/m3 SWCNTs for 4 days, had increases in macrophages laden with carbon particles in the airways (thick arrows), hyperplasia and hypertrophy of the airway epithelial cells (thin arrows) and blebbing of airways (arrowheads) and thickening of the alveolar interstitium (asterisk). (B) 2mg/m3 SWCNTs treatment for 4 days, treated tissues demonstrate increase in macrophages in the airspaces (thick arrows). (C) 2mg/m3 SWCNTs treatment for 8 days; treatment caused thickening of the alveolar septa and hyperplasia of the parenchymal cells (thin arrows). (D)2mg/m3 SWCNTs treatment for 14 days; caused epithelial cell hyperplasia of the airway (thin arrows) (Original magnification X400).

Scanning electron microscopy (SEM)

SEM of 14 day control hamster lungs had normal alveolar structure and presence of few macrophages in the airspaces (Figure 2A). SEM of 14 day SWCNTs-treated hamster lungs demonstrated thickening of the alveolar septa and increase in the number of macrophages in the airspaces (Figure 2B), accompanied by deposition of agglomerates of SWCNTs (Figure 2C).

Figure 2(A-C) Scanning electron micrographs of 14 day control and SWCNTs treated hamster lungs. (A) Control lung 14 day: normal alveolar structure and presence of few macrophages in the airspaces. (B) 14 days SWCNTs treated lungs: treated tissues demonstrate thickening of the alveolar septa (thin arrow) and increase in the number of macrophages in the airspaces (thick arrows). (C) 14 days SWCNTs treated lungs: treated tissues have deposits of SWCNTs along the alveolar walls (arrowheads).

Total bronchoalveolar lavage (BAL) counts

Hamsters were exposed to 1, 2 and 4mg/3 for 2hrs/day for 4 consecutive days and were euthanized 1 day post exposure. Total BAL Leukocyte counts were determined using a hemocytometer (Figure 3A). As shown in Figure 3A, the mean total leukocyte count for control group was 66.67×104 cells/ml, whereas 1 mg/m3 treated group had a mean total count of 138.17×104 cells/ml (p<0.05), 2mg/m3 treated group had a mean total count of 181.86×104 cells/ml (p<0.001), 4mg/m3 treated group had a mean total count of 186×104 cells/ml (p<0.001). The data show that there was an increase in the number of cells with increasing concentrations of SWCNTs (Figure 3A). A prolong study was carried out in order to determine the effects of SWCNTs on the lungs by increasing the exposure time. 2mg/m3 concentration was selected for the prolong study of up to 14 days, as it had induced a significant increase in total BAL cell counts in the initial experiments. Figure 3B represents total BAL counts for 4 day, 8 day and 14 day groups. As compared to their respective control groups, SWCNTs treatment for 4 day, 8 day and 14 day induced a significant increase in the total leukocyte count (p<0.0001).

Figure 3(A-B) (A) This is a histogram that represents total BALF leukocyte counts of hamsters exposed to 1, 2 and 4mg/m3 of SWCNTs. *= p < 0.05 as compared to control, **= p < 0.001 as compared to control. Data indicated an increase in the total number of cells with increasing concentrations of SWCNTs. (B) This histogram represents total BALF leukocyte counts of hamsters exposed to 2 mg/m3 SWCNTs for up to 14 days. ***= p < 0.0001 as compared to control.

Immunocytochemistry for TNFR1

BAL cytospin preparations of hamsters treated up to 14 days with 2 mg/m3of SWCNTs were analyzed using immunocytochemical techniques for TNFR1 on surface of macrophages. Percent TNFR1 positive cells per field were determined in twenty random fields (Figure 4). Percent TNFR1 positive cells per field were significantly increased in the hamsters exposed to 2 mg/m3 of SWCNTs for 4 days, 8 days and 14 days as compared to their respective control groups (p<0.0001). 4 day treated group had an average of 73% TNFR1 positive cells as compared to 6.9% TNFR1 positive cells in the controls (p<0.0001). 8 day treated group had an average of 78% TNFR1 positive cells as compared to 7.6 % TNFR1 positive cells in the controls (p<0.0001). 14 day treated group had an average of 74% TNFR1 positive cells as compared to 7.5% TNFR1 positive cells in the control animals (p<0.0001).

Figure 4 This is a histogram that represents TNFR1 cell counts from BAL cytospins of 4, 8 and 14 day controls and SWCNTs-treated hamsters. The treated groups were exposed to 2mg/m3 of SWCNTs for 4, 8 or 14 days. Percentage of TNFR1 positive cells was obtained by counting positive cell and total cells present in twenty random fields. ***= p < 0.0001 as compared to control.

ET-1 ELISA assay

Lung ET-1 levels were measured using ET-1 ELISA ASSAY (Figures 5A & 5B). Treatments, 2 and 4 mg/m3 of SWCNTs caused a significant increase in lung ET-1 levels as compared to the control groups (p<0.0001) (Figure 5A). Exposures of 2mg/m3 SWCNTs treatment for up to 14 days significantly increased lung ET-1 levels as compared to control groups (p<0.0001) (Figure 5B). 4 day, 8 day and 14 day treated groups had increased lung ET-1 levels as compared to their respective control groups (Figure 5B). ET-1 concentration in the lung tissues was plotted as percent control. Lung ET-1 concentration in 4 day treated group was 180% (p<0.001), in 8 day treated group was 207% (p<0.0001) and 14 day treated group was 236% (p<0.0001) as compared to their respective controls (Figure 5B).

Figure 5(A-B) Lung ET-1 levels are presented in this histogram of control and SWCNTs-treated hamsters. (A) The treated groups were exposed to 1, 2 and 4mg/m3 of SWCNTs (2hrs/day for 4 days). The animals were euthanized 1 days post-exposure (p.e.) (B) The treated groups were exposed to 2 mg/m3 of SWCNTs for 4, 8 or 14 days. **= p < 0.001 as compared to control, ***= p < 0.0001 as compared to control.

Immunofluorescence microscopy for ETA receptor

The presence of ETA receptor was assessed using immunofluorescence microscopy on cytospin preparation of BAL cells (Figures 6A & 6B). Cells were stained with DAPI for nuclear staining and the secondary antibody was FITC-labeled. The presence of ETA receptor is shown by green fluorescence stain. The control animals demonstrated low levels of ETA receptor (Figure 6A). In comparison to the control groups; animals treated for 8 days had increased ETA receptor levels (Figure 6B). Similar results were obtained for 4 day and 14 day treated animals (photos not shown).

Figure 6(A-B) Fluorescence photomicrographs of control and SWCNTs-treated BAL cells representing Immunofluorescence Assay for ETA receptor. The treated groups were exposed to 2mg/m3 of SWCNTs for 8 days. (A) BAL cells obtained from control animals had low levels of ETA receptor (arrows). (B) BAL cells from animals treated for 8 days had increased levels of ETA receptor (arrows). DAPI was used as nuclear stain and appears blue, secondary antibody is FITC labeled and appears green (Original magnification X200).

TUNEL assay

Paraffin embedded tissue sections were used for TUNEL assay (Figures 7A & 7B). The control animals lacked TUNEL positive cells (Figure 7A), while, animals exposed to SWCNTs for 8 days had an increase in TUNEL positive cells (Figure7B). Such increases indicate that SWCNTs treatment induced apoptosis of alveolar parenchyma and macrophages as compared to the control groups (Figure 7B). Similar results were obtained for 4 day and 14 day treated animals (photos not shown).

Figure 7(A-B) Light photomicrographs of control and SWCNTs-treated lungs representing TUNEL assay. The treated groups were exposed to 2mg/m3 of SWCNTs for 8 days. (A) Control lungs have a normal appearance with absence of TUNEL positive cells. (B) SWCNTs treatment groups had TUNEL positive cells in the parenchyma and macrophages (thick arrows) (Original magnification X400).

Transmission electron microscopy (TEM)

TEM was used to determine the extent of deposition of inhalation exposures of SWCNTs in the lungs and to investigate ultrastructural changes associated with SWCNTs exposure. Figure 8A, animals treated with 2 mg/m3 SWCNTs for 8 days exhibited presence of aggregates/ bundles of SWCNTs assembled in a mesh-like structure in the air spaces and cell processes that appear to be engulfing SWCNTs. The 14 day treated animals demonstrated that SWCNTs can penetrate into the alveolar interstitial cell as tubular structures arranged in a parallel fashion (Figure 8B). Such animals exhibited ultrastructural changes in the lung that were evident by thickening of the basement membrane (BM) and presence of ruffled and irregular lung surfaces (Figure 8B).

Figure 8(A-B) Transmission electron micrograph of SWCNTs treated hamster lung. (A) Electron micrograph of lung tissue from animals exposed to 2mg/m3 of SWCNTs for 8 days. Note presence of aggregates/ bundles of SWCNTs assembled in a mesh-like structure in the air spaces and cell processes that may be engulfing SWCNTs (black arrows). (B) Hamster lungs exposed to 2mg/m3 of SWCNTs for 14 days. Note deposition of bundles/ aggregates of SWCNTs arranged as parallel rods in the alveolar interstitial cell (thick arrow). Thickening of the basement membrane (BM) and presence of lipid deposits were observed and surfaces appear ruffled and irregular in the treated group (black arrowheads).

Discussion

The current study investigates the pulmonary effects of inhalation exposures of SWCNTs in hamsters. Inhalation was chosen as the method of administration, as it is a more normal route of exposure when compared to intratracheal instillation and pharyngeal aspiration that have been used in previous studies.10,28,29 SWCNTs have a high aspect ratio, are long fibers and are biopersistent similar to asbestos, such properties of carbon nanotubes may contribute to comparable toxicity to asbestos.30 As the knowledge of the biological effects of single-walled carbon nanotubes (SWCNTs) is very limited and the production of SWCNTs is expected to increase in the future, requiring a larger workforce with more workers being exposed to the lightweight CNTs, it is important to understand the impact of such fibers have on the lung.

The Occupational Safety and Health Administration’s (OSHA) current permissible limit (PEL) on synthetic graphite is 5 mg/m3 for occupational exposures (NIOSH/ OSHA 1988).31 However, in comparison there are no standard limits for carbon nanotubes exposures. The current study has used lower concentrations, 1, 2 and 4 mg/m3 of SWCNTs as the effects of such low levels of SWCNTs on the lung have not been previously examined.

The main finding of the current investigation is that inhalation of aerosolized SWCNTs induced pulmonary inflammation in hamsters. Animals exposed to 1, 2 and 4 mg/m3 aerosol concentrations of SWCNTs had a concentration-dependent increase in the total bronchoalveolar lavage (BAL) leukocyte cell counts as compared to the control animals. Inflammatory cells present were predominantly macrophages, suggesting a chronic inflammatory reaction that may be attributed to the inert nature of SWCNTs. SWCNTs treatment increased macrophages in the airspaces and airways, with epithelial hyperplasia of the bronchi accompanied by blebbing of bronchial epithelium. In the current study, scanning electron micrographs of lungs of SWCNT treated animals’ had thickened alveolar walls, increase in the number of macrophages in the airspaces along with deposition of carbon nanotubes. Very few studies have been carried out that have investigated the pulmonary effects of inhaled SWCNTs in vivo. Lam et al.,10 and Warheit et al.,28 were the first to evaluate the acute lung toxicity of intratracheally instilled SWCNTs in mice and rats respectively. Lam et al.,10 reported persistent and dose-dependent epithelioid granulomas and interstitial inflammation in mice after a single treatment with 0.1 or 0.5 mg SWCNT per mouse. The investigators concluded that SWCNTs in the lungs were far more toxic than carbon black and even quartz that were used as controls in same study. Warheit et al.,28 reported that exposures to SWCNT produced a transient inflammation and a non–dose-dependent accumulation of multifocal granulomas. In comparison, data from the current study showed that inhalation of aerosolized SWCNTs up to 14 days induced a chronic pulmonary inflammation in a concentration-dependent fashion. Such differences in the results may be attributed to the use of different routes of exposure.

Shvedova et al.,29 carried out a study using C57CL/6 mice; the animals were given a single treatment of SWCNTs, carbon black or quartz at a dose of 0, 10, 20 or 40µg/mouse via pharyngeal aspiration. SWCNTs treated lungs showed an acute inflammation, early onset of granulomas and progressive fibrosis. SWCNTs-induced granulomas were mainly associated with hypertrophied epithelial cells, interstitial fibrosis and alveolar thickening. Recently, Shvedova et al.,32 carried out an inhalation study with 5mg/m3 of SWCNT in C57BL/6 mice. The investigators concluded that the inhalation exposure to SWCNT was even more effective than pharyngeal aspiration in causing inflammatory response, oxidative stress, collagen deposition and fibrosis in the mice. Our findings that SWCNTs have the potential to induce pulmonary injury are consistent with inhalation study carried out by Shvedova et al.32 The current study showed that inhalation of lower concentrations of SWCNT (i.e. <5 mg/m3) could induce a chronic inflammatory reaction in hamster lungs.

In the current study, we observed that ET-1 levels were significantly elevated in the lung of animals exposed to 2 and 4 mg/m3 aerosol concentrations of SWCNTs as compared to the control groups. ET-1 is a pro-inflammatory cytokine known to play an important role in pathogenesis of many pulmonary diseases.22 The SWCNT exposed groups had an increase in ETA receptor levels on BAL cells. Such results may indicate a role of ET-1 in SWCNTs induced pulmonary inflammation.

SWCNTs are tubular hydrophobic structures with diameters of 0.6–3.5 nm, and are therefore much smaller than the nuclear pore. It is a concern that SWCNTs may also enter cells through the lipid bilayer and interact with organelles or even enter the nucleus.33-35 Porter et al.,35 used human monocyte-derived macrophages (HMMs) as an in vitro model for studying the effects of SWCNTs on cells using TEM. The investigators reported that at 4 days exposures, SWCNTs had fused and aligned with their long axes parallel to the plasma membrane, in some regions these oriented bundles of SWCNT merged with lysosomes and fused with or crossed the lysosomal membrane, and translocated across the nuclear membrane localizing within the nucleus. The results from the current investigation show that the carbon nanotubes appeared as bundles of SWCNT arranged in a parallel fashion and were deposited in the interstitial cells as observed by transmission electron microscopy. Results from the current study show similar arrangement of carbon nanotubes and are supported by findings of Porter et al.35 An important finding of the current investigation is that inhalation exposures to carbon nanotubes lead to deposition of such particles deep in the respiratory airspaces as well as the lung interstitial cells. The lung surfaces of treated animals appeared ruffled with numerous cell processes engulfing carbon nanotubes that appeared as a mesh-like structure. The mechanism by which SWCNTs enter the cell is not fully understood and reports have indicated that they could either traverse the cellular membrane by means of endocytosis or they insert into and diffuse through the lipid bilayer.35 Uptake to these sites implies that SWCNTs have the opportunity to interact with intracellular proteins, organelles and DNA, which would greatly enhance their toxic potential.35 SWCNTs have also been reported to fuse with the plasma membrane, where they have been shown to cause cell damage through lipid peroxidation and oxidative stress.35

The second objective was to investigate the pulmonary effects of SWCNTs by increasing exposure duration up to 14 days. Four day, 8 day and 14 day treated groups had a significant increase in the total BAL leukocytes and increases in lung ET-1 levels as compared to their respective control groups. TNF-α has been proven as a central mediator in induction of pulmonary diseases.36 BAL cells of 4 day, 8 day and 14 day SWCNTs treated hamsters had elevated numbers of TNFR1 positive cells as compared to the control groups, suggesting a role for this pro-inflammatory cytokine in SWCNTs induced pulmonary inflammation. Such findings are consistent with studies carried out by Muller et al.,37 in Sprague-Dawley rats exposed to MWCNTs intratracheally. CNTs stimulated the production of TNF-α in the lung of treated animals. In vitro studies have shown that MWCNTs induce overproduction of TNF-α by macrophages, and results suggest that CNTs may be potentially toxic to humans.37 Data from the current study reported the localization of TNF-R1 in macrophages by immunocytochemistry and presence of apoptosis of alveolar parenchyma and macrophages by TUNEL assay with SWCNT treatment demonstrating that TNFR participate in SWCNTs induced pulmonary toxicity. The TUNEL positive cells were significantly increased with SWCNT treatment as compared to the control animals, suggesting lung injury by apoptosis. Similarly, Wang et al.,38 have shown SWCNTs induced cytotoxicity in PC12 cells induced apoptosis via oxidative stress that may be associated with an increase in mitochondrial dysfunction. Porter et al.,35 reported decreases in cell viability with SWCNT treatment for 4 days in human monocyte-derived macrophages (HMMs).

In summary, this study demonstrates, inhalation exposures to SWCNTs in hamsters induce pulmonary inflammation. Such is evident by concentration dependent increase in the total BAL leukocyte counts, increase in inflammatory cells in the airspaces and presence of airway epithelial hyperplasia and blebbing. The treated groups had increases in pro-inflammatory cytokines such as ET-1, TNFR1 and lung toxicity was evident by apoptosis. SWCNTs deposited not only in the airways but also deep in the lung airspaces, and were engulfed by alveolar macrophages.39-41 SWCNTs caused ultrastructural changes in the surfaces of the lung cells that appeared ruffled and irregular. The current study demonstrates that inhalation exposures to low doses of SWCNTs can induce pulmonary inflammation indicating that protective measures should be taken to limit inhalation exposure to SWCNTs in occupational settings.

Conclusion

The Gamma distribution is parameterized in this paper in terms of the mean and the standard deviation. The probability density function of a Gamma distributed variable x is

Acknowledgments

None.

Conflicts of interest

Authors declare that there is no conflict of interest.

References

  1. Scharff P. New carbon materials for research and technology. Carbon. 1998;36(5-6):481‒486.
  2. Goswami T, Paradise M. Carbon nanotubes - Production and industrial applications. Materials & Design. 2007;28(5):1477‒1489.
  3. Iijima S, Ichihashi T. Single shell carbon nanotubes of 1-nm diameter. Nature. 1993;363:603‒605.
  4. Biro LP, Horvath ZE, Szlamas L, et al. Continuous carbon nanotube production in underwater AC electric arc. Chemical Physics Letters. 2003;372(3-4):399‒402.
  5. Walters DA, Ericson LM, Casavant MJ, et al. Elastic strain of freely suspended single-wall carbon nanotube ropes. Appl Phys Lett. 1999;74(25):3803‒3806.
  6. Yu MF, Files BS, Arepalli S, et al. Tensile loading of ropes of single wall carbon nanotubes and their mechanical properties. Phys Rev Lett. 2000;84 (24):5552‒5555.
  7. Ong AC, Jowett TP, Firth JD, et al. An endothelin-1 mediated autocrine growth loop involved in human renal tubular regeneration. Kidney Int. 1995;48(2):390‒401.
  8. Baughman RH, Zakhidov AA, de Heer WA. Carbon nanotubes-the route toward applications. Science. 2002;297(5582):787‒792.
  9. Peigney A, Laurent Ch, Flahaut E, et al. Specific surface area of carbon nanotubes and bundles of carbon nanotubes. Carbon. 2001;39(4):507‒514.
  10. Lam CW, James JT, McCluskey R, et al. Pulmonary toxicity of single-wall carbon nanotubes in mice 7 and 90 days after intratracheal instillation. Toxicol Sci. 20004;77(1):126‒134.
  11. Teder P, Noble PW. A cytokine reborn? Endothelin-1 in pulmonary inflammation and fibrosis. Am J Respir Cell Mol Biol. 2000;23(1):19‒26.
  12. Arends MJ, Wyllie AH. Apoptosis: mechanisms and roles in pathology. Int Rev Exp Path. 1991;32:223‒354.
  13. Piguet PF, Collart MA, Grau GE, et al. Requirement of tumor necrosis factor for development of silica-induced pulmonary fibrosis. Nature. 1991;344(6263):245‒247.
  14. Yanagisawa M, Kurihara H, Kimura S, et al. A novel potent vasoconstrictor peptide produced by vascular endothelial cells. Nature. 1988;332(6163):411‒415.
  15. Fagan KA, McMurtry IF, Rodman DM. Role of endothelin-1 in lung disease. Respir Res. 2001;2(2):90‒101.
  16. Matsumura Y, Ikegawa R, Ohyama T, et al. Endothelin immunoreactivity in medium from cultured porcine aortic endothelial cells correlates with the biological activity. Biochem Biophys Res Commun. 1989;160(2):602‒608.
  17. Mattoli S, Mezzetti M, Riva G, et al. Specific binding of endothelin on human bronchial smooth muscle cells in culture and secretion of endothelin-like material from bronchial epithelial cells. Am J Respir Cell Mol Biol. 1990;3(2):145‒151.
  18. Giaid A, Polak JM, Gaitonde V, et al. Distribution of endothelin like immunoreactivity and mRNA in the developing and adult human lung. Am J Respir Cell Mol Biol. 1991;4(1):50‒58.
  19. Ehrenreich H, Anderson RW, Fox CH, et al. Endothelins, peptides with potent vasoactive properties, are produced by human macrophages. J Exp Med. 1990;172(6):1741‒1748.
  20. Shahar I, Fireman E, Topilsky M, et al. Effect of endothelin-1 on alpha-smooth muscle actin expression and on alveolar fibroblast proliferation in interstitial lung diseases. Int J Immunopharmacol. 1999;21(11):759‒775.
  21. Sessa WC, Kaw S, Hecker M, et al. The biosynthesis of endothelin-1 by human polymorphonuclear leukocytes. Biochem Biophys Res Commun. 1991;174(2):613‒618.
  22. Hocher B, Schwarz A, Fagan KA, et al. Pulmonary fibrosis and chronic lung inflammation in ET-1 transgenic mice. Am J Respir Cell Mol Biol. 2000;23(1):19‒26.
  23. Malleo G, Mazzon E, Siriwardena AK, et al. Role of tumor necrosis factor-α in acute pancreatitis: from biological basis to clinical evidence. Shock. 2007;28(2):130‒140.
  24. Snider GL, Celli BR, Goldstein RH, et al. Chronic interstitial pulmonary fibrosis produced in hamsters by endotracheal bleomycin. Lung volumes, volume-pressure relations, carbon monoxide uptake, and arterial blood gas studied. Am Rev Respir Dis. 1978;117(2):289‒297.
  25. Phalen RF, Mannix RC, Drew RT. Inhalation exposure methodology. Environ Health Perspect. 1984;56:23‒34.
  26. Nakashima JM, Levin JR, Hyde DM, et al. Repeated exposures to enzyme-generated oxidants cause alveolitis, epithelial hyperplasia, and fibrosis in hamsters. Am J Pathol. 1991;139(6):1485‒1499.
  27. http://www.cdc.gov/niosh/pel88/SYNGRAPH.html
  28. Warheit DB, Laurence BR, Reed KL, et al. Comparative pulmonary toxicity assessment of single-wall carbon nanotubes in rats. Toxicol Sci. 2004;77(1):117‒125.
  29. Shvedova AA, Kisin ER, Mercer R, et al. Unusual inflammatory and fibrogenic pulmonary responses to single walled carbon nanotubes in mice. Am J Physiol Lung Cell Mol Physiol. 2005;289(5):698‒708.
  30. Donaldson K, Aitken R, Tran L, et al. Carbon nanotubes: a review of their properties in relation to pulmonary toxicology and workplace safety. Toxicol Sci. 2006;92(1):5‒22.
  31. http://www.cdc.gov/niosh/pel88/npelname.html
  32. Shvedova AA, Kisin E, Murray AR, et al. Inhalation vs. aspiration of single-walled carbon nanotubes in C57BL/6 mice: inflammation, fibrosis, oxidative stress, and mutagenesis. Am J Physiol Lung Cell Mol Physiol. 2008;295(4):552‒565.
  33. Patarotto D, Briand JP, Prato M, et al. Translocation of bioactive peptides across cell membranes by carbon nanotubes. Chem Commun. 2004;1:16‒17.
  34. Kam NWS, Liu Z, Dai H. Carbon nanotubes as intracellular transporters for proteins and DNA: an investigation of the uptake mechanism and pathway. Angew Chem Int Ed Engl. 2006;45(4):577‒581.
  35. Porter AE, Gass M, Muller K, et al. Direct imaging of single-walled carbon nanotubes in cells. Nat Nanotechnol. 2007;2(11):713‒717.
  36. Kuschner WG, D'Alessandro A, Wong H, et al. Dose-dependent cigarette smoking-related inflammatory responses in healthy adults. Eur Respir J. 1996;9(10):1989‒1994.
  37. Muller J, Huaux F, Moreau N, et al. Respiratory toxicity of multi-wall carbon nanotubes. Toxicol Appl Pharmacol. 2005;207(3):221‒231.
  38. Wang L, Mercera RR, Rojanasakul Y, et al. Direct fibrogenic effects of dispersed single-walled carbon nanotubes on human lung fibroblasts. J Toxicol Environ Health A. 2010;73(5):410‒422.
  39. Filep JG, Fournier A, Foldes FE. Acute pro-inflammatory actions of endothelin-1 in the guinea-pig lung: involvement of ETA and ETB receptors. Br J Pharmacol. 1995;115(2):227‒236.
  40. Li N, Sioutas C, Cho A, et al. Ultrafine particulate pollutants induce oxidative stress and mitochondrial damage. Environ Health Perspect. 2003;111(4):455‒460.
  41. Sayes CM, Reed KL, Warheit DB. Assessing toxicity of fine and nanoparticles: comparing in vitro measurements to in vivo pulmonary toxicity profiles. Toxicol Sci. 2007;97(1):163‒180.
Creative Commons Attribution License

©2016 Bijlani, et al. This is an open access article distributed under the terms of the, which permits unrestricted use, distribution, and build upon your work non-commercially.