Submit manuscript...
Journal of
eISSN: 2373-4396

Cardiology & Current Research

Case Report Volume 7 Issue 4

A Case of Variant of Dual Left Descending Artery in Patient with Acute Myocardial Infarction

Aramberry L, Gentiletti A, Menendez M, Rojo Liliana

Department of Interventional Cardiology, Hospital Italiano de Rosario, Argentina

Correspondence: Aramberry L, Department of Interventional Cardiology, Hospital Italiano de Rosario, Virasoro 1249, Rosario, Santa Fe, Argentina

Received: March 09, 2016 | Published: December 16, 2016

Citation: Aramberry L, Gentiletti A, Menendez M, Rojo L (2016) A Case of Variant of Dual Left Descending Artery in Patient with Acute Myocardial Infarction. J Cardiol Curr Res 7(4): 00257 DOI: 10.15406/jccr.2016.07.00257

Download PDF

Abstract

Coronary artery anomalies are sporadic, most consist of minor variations and are benign. In contrast, some coronary artery anomalies are well described as a cause of cardiovascular morbidity and mortality. Dual left anterior descending artery (LAD) is an extremely rare coronary anomaly. In the present article, we describe a case of type 6 dual LAD in a patient with acute ST elevation myocardial infarction. The aim of this paper is to review the incidence and classification regarding of dual LAD systems.

Keywords: Coronary anomaly; Percutaneous coronary intervention; Acute myocardial infarction/STEMI

Abbreviations

LMCA: Left Main Coronary Artery; LAD: Left Anterior Descending Artery; Lcx: Left Circumflex Artery; RC: Right Coronary Artery; AIVS: Anterior Intraventricular Sulcus; RVOT: Right Ventricle Outflow Tract; RSV: Right Valsalva Sinus

Introduction

Coronary artery anomalies arise sporadically and are found in 0.3 to 1.3% [1] of patients undergoing coronary angiography, most consist of minor variations in the location of the coronary arterial origin and are commonly benign. In contrast, some coronary artery anomalies are well described as a cause of cardiovascular morbidity and mortality due to a specifically abnormal course, traditionally called inter-arterial, or “between the aorta and pulmonary artery,” and associated with a severe prognosis [2].

Dual left anterior descending artery (LAD) is an extremely rare coronary anomaly traditionally classified into one of four types described by Spindola-Franco [3]. As described by these authors, Dual LAD consists of a short LAD that ends high in the anterior interventricular sulcus (AIVS) and a long LAD that most commonly originates as an early branch of the LAD proper (types 1–3) and rarely originates anomalously from the right coronary artery (type 4). Subsequently, other variants of this anomaly were described, called type 5 by Manchanda et al. [4], and type 6, by Maroney et al. [5], when the course of “long LAD” is between the right ventricle outflow tract (RVOT) and the aorta root. Other variants have been proposed in recent studies using CT angiography by Bolzar et al. [6] (Table 2-4). In the present article, a case of Type 6 double LAD is described in a patient with acute ST elevation myocardial infarction. The aim of this paper is to review the incidence and classification regarding double LAD system.

Case History

67- year-old male, former smoker and with history of hypertension is admitted to coronary care unit due to acute myocardial infarction with posterolateral ST-segment elevation, treated with thrombolytic and positive reperfusion criteria, referred to our institution for coronary angiography. The echocardiogram showed preserved ventricular function and moderate aortic valve stenosis. Selective left coronary angiography through a trans-radial access revealed normal left main coronary artery (LMCA) divided in Left Circumflex artery (LCx) having in its posterolateral branch an eccentric lesion with stenosis of 80% (Figure 1A) and LAD which emerges a large diagonal branch and the first great septal branch and runs in the top of the AIVS where it ends. We initially interpreted this as a completely occluded LAD in the proximal segment.

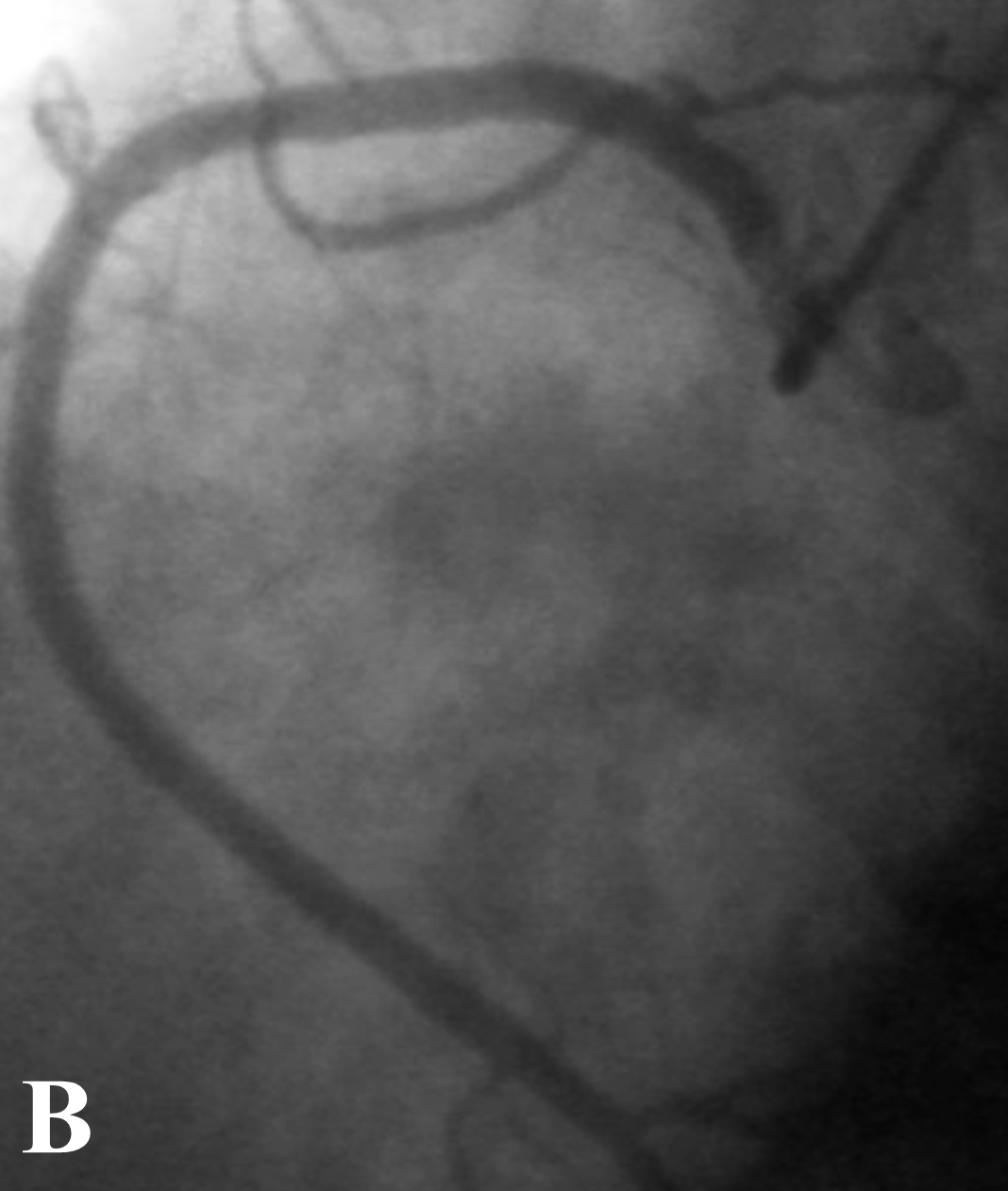
Selective right coronary angiography revealed a dominant right coronary artery (RCA), without lesions (Figure 1B), during the injection, contrast media dyes unselectively an artery that comes very close to the origin of the RCA. Selective angiography of this vessel reveals that it is the middle - distal segment of the LAD which is directed right to left and return to its position on the AIVS giving a septal branch near its origin and a second diagonal branch (Figure 1D) establishing the diagnosis of a dual LAD system (Figure 1C), the proximal segment of the long LAD was narrower than the middle segment without an arteriosclerotic lesion and no compression was observed during systole. CT angiography identified the anomalous origin of long LAD from the Right Valsalva Sinus (RVS) near the origin of the RCA, and passing between the aortic root and RVOT providing a second diagonal branch without atherosclerotic lesions (Figure 2A&2B), and ending in the distal AIVS. The lesion in the posterolateral branch was successfully treated with the implant of 3.0 x 28 mm everolimus eluting stent.

Figure 1: A. Angiographic view of Left Coronary Artery in RAO. LMCA: Left main coronary artery. LAD: Left anterior descending artery. LCx: Left circumflex artery. B. Right coronary artery in LCO. C. Angiographic view in LCO of Left coronary artery. LMCA: Left main coronary artery, LAD 1: Short Left descending artery, LCx: Left coronary artery. D. LAD 2: Long Left anterior descending artery, RCA: Right coronary artery.
Figure 2: A. CT angiography axial section. RA: Right atrial. LA: Left atrial. Ao: Aortic root. RVS: Right Valsalva sinus. RVOT: Right ventricle outflow tract. LV: Left ventricle. RCA: Right coronary artery. LAD 2: Long left anterior descending artery. B. 3D volume CT angiography. LMCA: Left main coronary artery. LAD: Left anterior descending artery. LCx: Left circumflex artery.

Discussion

As stated in the paper of Angelini et al. [7], the primary assumption is that the term “normal” must apply to 99% of the population, which automatically implies that the prevalence of artery anomalies must be below 1%. Anomalies of and variations in the coronary arteries are important in pathophysiology and the treatment of cardiovascular diseases. The LAD coronary artery has the most consistent origin, course, and distribution in the human heart, and anomalies are rare. The dual LAD system is a very rare congenital anomaly and reports estimate a prevalence around 1%. Awareness of dual LAD anomalies could be very important for coronary surgery and interventional procedures. Subtype 4 LADs have a prevalence of ~ 0.021% in large series of patients referred for coronary angiography 3, [8-13] (Table 1).

Patient/Sample Size

Prevalence of the anomalous LAD

Origin from the RCA

Origin from the RSV

Origin from the PSV

Initial course of the LAD

Yamanaka et al. [1]

38/126595

0.03

-

-

-

-

Spindola-Franco [3]

2/2140

0.009

2

-

-

Anterior (2)

Tuncer et al. [8]

12/70850

0.017

4

7

1

Interarterial (2)
Septal (2)
Anterior (8)

Gol MK et al. [9]

6/58023

0.01

2

4

-

Villa RB et al. [10]

2/13500

0.014

2

Anterior (2)

Wilkins et al. [11]

2/10661

0.018

2

Anterior (2)

Harikrishman et al. [12]

1/7400

0.013

1

Anterior (1)

Kimbiris et al. [13]

2/7000

0.028

2

Anterior (1) Septal (2)

Total

65/296169

0.02%

Table 1: Prevalence Values of the Anomalous Left Anterior Descending Artery in Several Angiographic Studies.

LAD: Left Descending Artery; RCA: Right Coronary Artery; RVS: Right Valsalva Sinus; PVS: Posterior Valsalva Sinus

Spindola – Franco [3] divided this anomaly into four types (Table 2) in series of twenty-three patients, subtype 1 and 2 are considered normal variants and are the most common and have benign prognosis. The origin of the LAD in the opposite sinus, has drawn attention for its association to sudden death or life-threatening ventricular arrhythmias. Further case reports identified two additional variations, called subtype 5 and subtype 6 (Table 3) due to certain minor anatomical variations, which added to the traditional classification of Spindola-Franco. These new subtypes appear in the first case, due to the separate source in the RVS (type 5) or on the way to take the LAD to resume its normal position in the AIVS, for example, between the aortic root and RVOT (subtype 6).

Origin

Course

Location of long LAD

LMCA

LAD proper

Short LAD

Long LAD

Short LAD

Long LAD

Proximal long LAD

Distal long LAD

Type 1

Present

Present

LAD proper

LAD proper

Originates from LAD proper terminates in the proximal AIVS

Originates from LAD proper, course on LV side of the proximal AIVS, reenters the distal AIVS

Epicardical (LV)

Distal AIVS

Type 2

Present

Present

LAD proper

LAD proper

Originates from LAD proper terminates in the proximal AIVS

Originates from LAD proper, course on RV side of the proximal AIVS, reenters the distal AIVS

Epicardical (RV)

Distal AIVS

Type 3

Present

Present

LAD proper

LAD proper

Originates from LAD proper terminates in the proximal AIVS

Originates from LAD proper follows an intramyocardial course in the septum proximally, and emerges epicardially in the distal AIVS (or does not emerge in the AIVS and terminated, intramyocardially)

Intramyocardical (intraventricular septum)

Distal AIVS

Type4

Present

Absent

LMCA

Proximal RCA

Originates from the LMCA, terminate in AIVS

Originates from the proximal RCA follows an anomalous prepulmonic course anterior to the RVOT, and enters the distal AIVS

Epicardical (prepumonic)

Distal AIVS

Table 2: The original dual LAD classification made by Spindola-Franco et al. [3].

LMCA: Left Main Coronary Artery; LAD: Left Anterior Descending Artery; AIVS: Anterior Intraventricular Sulcus; LV: Left Ventricle; RV: Right Ventricle; ROVT: Right Outflow Ventricle Tract

A study of prevalence of this anomaly by CT angiography6 in 1337 patients found incidence of dual LAD to be 4%, four times greater than the frequency described in the catheter angiography studies, the most frequent was the type 1 (86%), three case of type 3 and two case of type 4 (0.03%). Type 2, 5 and 6 were not detected and the authors propose three new subtypes suggesting to call them type 7 to 9 (Table 4). However, in two of these cases (type 7 and 8), the LMCA emerged from the opposite coronary sinus: in the former, both short and long LAD are born on the LAD properly. In our opinion this anomaly, would be a source of LMCA combined with a LAD 1 type variant, this type of anatomy was presented by Tuncer et al as a variant (called type 5) double LAD [14]. This shows that through various case reports, many authors have been changing and adding new types, generating confusion in the classification. In the second type proposed by the authors, together with the anomalous origin of LMCA, long LAD merges directly from a marginal branch of RCA. We consider that the only anomaly in the rise of LMCA is the opposite coronary sinus carrying a prognosis that depends exclusively on the course that takes the LMCA to return to its normal position, and therefore should not be considered as new variants of dual LAD. Type 9, corresponds, on type 1 with poorly development of the long LAD and prominent development of the posterior descending artery to cover the area of the apex.

Origin

Course

Location of long LAD

LMCA

LAD proper

Short LAD

Long LAD

Short LAD

Long LAD

Proximal long LAD

Distal long LAD

Type 5 (4)

Absent

Absent

LVS

RSV

Originates from LVS proper, terminates in the proximal AIVS

Originates from proximal RVS, follows an anomalous intramyocardial course within the septal crest, emerges epicardially, and enters the distal AIVS

Intramyocardial (septal crest)

Distal AIVS

Type 6 (5)

Present

Absent

LMCA

Proximal RCA

Originates from LMCA, terminates in the proximal AIVS

Originates from proximal RCA, follows an anomalous course between the RVOT and the aortic root, and enters the distal AIVS

Epicardical (retropulmonic)

Distal AIVS

Table 3: Other dual LAD types published in the literature.

LMCA: Left Main Coronary Artery; LAD: Left Anterior Descending Artery; LVS: Left Valsalva Sinus; RVS: Right Valsalva Sinus; AIVS: Anterior Instraventricular Sulcus; RCA: Right Coronary Artery; RVOT: Right Ventricular Outflow Tract.

Origin

Course

Location of long LAD

LMCA

LAD proper

Short LAD

Long LAD

Short LAD

Long LAD

Proximal long LAD

Distal long LAD

Type 7

Present (LMCA originates from RCA and follows interarterial course)

Present

LAD proper

LAD proper

Originates from LAD proper, terminates in the proximal AIVS

Originates from LAD proper, course on LV side of the proximal AIVS, reenters the distal AIVS

Epicardical (LV)

Distal AIVS

Type 8

Present (LMCA originates from RCA and follows retroaortic course)

Absent

LMCA

Mild RCA (branch right marginal artery)

Originates from LMCA, terminates in the proximal AIVS

Originates from mid RCA, course inferior wall surface of the RV turns around of apex the and reaches to the distal AIVS

Epicardical (RV inferior side)

Distal AIVS

Type 9 (triple LAD)

Present

Present

La proper

LAD proper

Originates from LAD proper, terminates in the mild AIVS

Originates from LAD proper course on LV side of the mid AIVS, reenters the distal AIVS, and terminates before reaching to the apex

Epicardical (LV)

Distal AIVS

Table 4: Morphologic features of novel dual LAD subtypes described in this series [6].

AIVS: Anterior Intraventricular Sulcus; LAD: Left Anterior Descending Artery; LVS: Left Valsalva Sinus; LMCA: Left Main Coronary Artery; LV: Left Ventricle; RCA: Right Coronary Artery; RVS: Right Valsalva Sinus; RV: Right Ventricle.

We show a case of dual LAD with long the LAD arising separately from RVS similar to that described by Manchanda et al. [4] but the short LAD becomes the LAD proper in the LMCA and provides a large septal and diagonal branch prior to termination in the top of the AIVS. This is different from Manchanda et al. [4], where the short LAD stems directly from the wall of the aorta separately from the LCx. The course takes the anomalous long LAD from the RVS -in our case, it is between the aortic root and RVOT, similar to the case described by Maroney et al5, this being the type of path which carries worse prognosis. The confusion in the classification is, in the first case, of the low incidence of this anomaly. This is more important when the subtype 4 is involved, secondly, because when these anomalies are present at birth with slight variations. For example: in termination or course, different authors propose new types. In our opinion, the source in the opposite sinus of the LMCA, should not be considered as dual LAD.

Conclusion

Abnormalities in the LAD are highly rare, natural history is unknown, we present a case of type 6 double LAD, where the long LAD arises directly from the RVS and takes a course between the aortic root and RVOT (interarterial) in a patient with MI with ST elevation successfully treated with thrombolytics and subsequent stenting.

References

  1. Yamanaka O, Hobbs RE (1990) Coronary artery anomalies in 126,595 patients undergoing coronary angiography. Cathet Cardiovasc Diagn 21(1): 28-40.
  2. Roberts WC, Shirani J (1992) The four subtypes of anomalous origin of the left main coronary artery from the right aortic sinus (or from the right coronary artery). Am J Cardiol 70(1): 119-121.
  3. Spindola-Franco H, Grose R, Solomon N (1983) Dual left anterior descending coronary ar¬tery: Angiographic description of import¬ant variants and surgical implications. Am Heart J 105(3): 445-455.
  4. Manchanda A, Qureshi A, Brofferio A, Go D, Shirani J (2010) Novel variant of dual left ante-rior descending coronary artery. J Cardiovasc Comput Tomogr 4(2): 139-141.
  5. Maroney J, Klein LW (2012) Report of a new anomaly of the left anterior descending artery: type VI dual LAD. Catheter Cardio¬vasc Interv 80(4): 626-629.
  6. Bozlar U, Uğurel MS, Sarı S, Akgün V, Örs F, Taşar M (2015)  Prevalence of dual left anterior descending artery variations in CT angiography. Diagn Interv Radiol 21(1): 34-41.
  7. Angelini P (2007) Coronary Artery Anomalies: an Entity in Search of an Identity. Circulation 115(10): 1296-1305.
  8. Tuncer C, Batyaraliev T, Yilmaz R, Gokce, M, Eryonucu B, et al. (2006) Origin and distribution anomalies of left anterior descending artery in 70,850 adult patients: Multicenter data collection. Catheter Cardiovasc Interv 68(4): 574-585.
  9. Gol MK, Ozatik MA, Kunt A, Iscan Z, Yavas S, et al. (2002) Coronary artery anomalies in adult patients. Med Sci Monit 8(9): 636-641.
  10. Villa RB, Moris C, Muniz AL, Hernandez LC, San Roman L, et al. (2001) Adylt congenital anomalies of the coronary arteries described 31 years of angiografic sudies in the Principado de Austurias: Angiographic and clinical charasteristics. Rev Esp Cardiol 54(3): 269-281.
  11. Wilkins CE, Betancourt B, Mathur CS, Massumi A, De Castro CM, et al. (1998) Coronary artery anomalies: A review of more than 10,000 patients from the Clayton Cardiovascular Laboratories. Tex Heart Inst J 15(3): 166-173.
  12. Harikrishnan S, Jacob SP, Tharakan J, Titus T, Kumar VK, et al. (2002) Congenital coronary anomalies of origin and distribution in adults: A coronary arteriographic study. Indian Heart J 54(3): 271-275.
  13. Kimbiris D, Iskandrian AS, Segal BL, Bemis CE (1978) Anomalous aortic origin of coronary arteries. Circulation 58: 606-615.
  14. Tuncer C, Gumusalan Y, Sokmen A, Sokmen G, Koroglu S, et al. (2000) A previously undescribed anomaly of left anterior descending artery: type V dual left anterior descending artery. Int J Cardiol 134(3): e141-143.
Creative Commons Attribution License

©2016 Aramberry, et al. This is an open access article distributed under the terms of the, which permits unrestricted use, distribution, and build upon your work non-commercially.