Submit manuscript...
Journal of
eISSN: 2373-4396

Cardiology & Current Research

Case Report Volume 6 Issue 2

A Large, Unruptured, Aneurysm of Right Sinus of Valsalva, Extending Behind the Main Pulmonary Artery Associated with Bicuspid Aortic Valve-a Rarest Presentation

Mohd Shahbaaz Khan, Gautam Sengupta

Department of Cardiothoracic and Vascular Surgery, Institute of Postgraduate Medical Education and Research, India

Correspondence: Mohd Shahbaaz Khan, Department of Cardiothoracic and Vascular Surgery, Institute of Postgraduate Medical Education and Research, Kolkata, India

Received: February 17, 2016 | Published: July 7, 2016

Citation: Khan MS, Sengupta G (2016) A Large, Unruptured, Aneurysm of Right Sinus of Valsalva, Extending Behind the Main Pulmonary Artery Associated with Bicuspid Aortic Valve-a Rarest Presentation. J Cardiol Curr Res 6(2): 00197. DOI: 10.15406/jccr.2016.06.00197

Download PDF

Abstract

Background: Aneurysm of Sinus of valsalva is caused due to lack of the continuity between the middle layer of the aortic wall and aortic valves.

Case report: A patient presented with dyspnoea and chest pain. Computed tomographic angiocardiography revealed dysplastic aortic valve and aneurysm of right sinus of valsalva. We presenting here a case with bicuspid aortic valve complicated with aneurysm of right sinus of valsalva. The aneurysm of sinus of valsalva was extracardiac and extending behind the main pulmonary artery and to the left. Computed tomographic angiocardiography revealed dysplastic aortic valve, para valvular aneurysmal sac communicating with aortic root as well as to left ventricle (? Pseudo-aneurysm). Opening of the aneurysm of sinus of valsalva was closed with Dacron patch from inside of the aorta. Aortic valve was replaced with sorin mechanical valve, size 21. Postoperative period was uneventful and patient was discharged on 7th postoperative day in good general condition. Patient is doing well in follow up visits.

Discussion: This is associated with other heart defects, Ventricular septal defect in 30-60%, bicuspid valve (10%), and aortic stenosis (6.5%). Sinus of valsalva aneurysm recurrence per se is rare.1,2 There is no doubt of the indication of surgical repair for symptomatic Sinus of valsalva aneurysm because this represents a significant risk of death. Operative mortality is generally low.

Conclusion: This is the rare presentation of the aneurysm of right sinus of valsalva and is first time in literature because of following reasons.

  1. Aneurysm of sinus of valsalva was originating from the right sinus and was extending behind the main pulmonary artery.
  2. This was compressing the left anterior descending artery and causing angina like symptoms.
  3. This was associated with bicuspid aortic valve which is also a rare occurrence (10%) with aneurysm of sinus of valsalva.

Introduction

Sinus of the valsalva is the dilatation of the aortic wall located between the aortic valve and the sinotubular junction. It is designated according to the origin of the coronary arteries as right, left and non- coronary sinuses. Sinus of valsalva aneurysm is caused due to lack of the continuity between the middle layer of the aortic wall and aortic valves. It is a rare disease and in western studies the incidence is 0.14-0.23 % and in Asian studies 0.46-3.5 % has been reported. The most common cause is congenital, although its origin may be acquired (trauma, infection, or degenerative diseases).3˗5,15 It can coexists with other malformations such as ventricular septal defect, anomalies of the aortic valve and coarctation of the aorta.3,4,9 Right coronary sinus is the most frequently affected followed by the Noncoronary sinus and, rarely, the Left coronary sinus.3,4,6,9,15 The most common complication is rupture of the sinus of valsalva. Unruptured Sinus of valsalva aneurysm is usually asymptomatic. Continuous monitoring and surgery is indicated only when they demonstrate aneurysmal expansion, rupture or infection. However, the potential risk of rupture, cardiac insufficiency, stroke and sudden death has led other authors to consider surgical repair of unruptured aneurysms even if they are asymptomatic or incidentally detected, reporting a generally low surgical mortality.2˗6,9 Sakakibara and Konno proposed a classification system which actually highlights the rupture of aneurysm of sinus of valsalva into the different chambers of the heart.

Classification for Sinus of Valsalva Aneurysm proposed by Sakakibara and Konno

Type I: Connect the right Sinus of valsalva and the existing tract of the Right ventricle below the pulmonary valve.

Type II: Connect the right Sinus of valsalva and the Ventricle in the supraventricularis crest.

Type IIIa: Connect the right Sinus of valsalva and the Right atrium.

Type IIIv: Connect the posterior zone of the right Sinus of valsalva and the Right ventricle.

Type IIIa+v: Connect the right Sinus of valsalva and both Right atrium and Right ventricle.

Type IV: Connect the noncoronary Sinus of valsalva and the Right atrium.

Case report

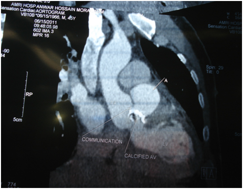
We presenting here a case of the patient with bicuspid aortic valve complicated with aneurysm of right sinus of valsalva. The aneurysm of sinus of valsalva was extracardiac and extending behind the main pulmonary artery and to the left. A 45years old Muslim male patient, carpenter by occupation was admitted with chief complaints of shortness of the breath and chest pain for 1 month. He was having orthopnoea and paroxysmal nocturnal dyspnoea and swelling of the feet. His vitals were stable with pulse rate 96/min, blood pressure 130/50mm Hg, and respiratory rate 14/min. On auscultation S1 was normal and S2 was soft with grade III/VI diastolic murmur in aortic area. Patient was properly investigated. ECG showed sinus rhythm and X-ray chest was showing cardiomegaly. Transthoracic echocardiography showed calcified bicuspid aortic valve, severe aortic regurgitation, grade II mitral regurgitation and that was appeared to be as dissecting flap in ascending aorta with 75% ejection fraction (Figure 1). Computed tomography chest was domne and it showed large pseudo-aneurysm of right sinus of Valsalva (Figures 2 & 3). Computed tomographic angiocardiography was done to define the lesion in the aorta accurately. Computed tomographic angiocardiography (Figures 4 & 5) revealed dysplastic aortic valve, para valvular aneurysmal sac communicating with aortic root as well as to left ventricle (? Pseudo-aneurysm). Routine investigations were done and patient was prepared for surgical intervention. Transoesophageal echocardiography was done in after induction of anaesthesia, which showed a large aneurysmal swelling behind the root of aorta. Conventional sternotomy was done. There were adhesions between pericardium and the heart. All adhesions were lysed. Aortotomy was done after institution of cardiopulmonary bypass. Bicuspid aortic valve and opening of the aneurysm were identified (Figure 6). Distorted, calcified aortic leaflets were excised and the opening of the aneurysm of sinus of valsalva was closed with Dacron patch from inside of the aorta (Figure 7). Aortic valve was replaced with sorin, bileaflet, mechanical valve, size 21 using interrupted ethibond, pladgeted sutures (Figure 8). Postoperative period was uneventful and patient was discharged on 7th postoperative day in good general condition. Patient is doing well in follow up visits.

Figure 1 Echocardiography.

Figure 2 CT scan.

Figure 3 CT scan.

Figure 4 CT Angiography.

Figure 5 CT Angiography.

Figure 6 After Aortotomy.

Figure 7 Dacron patch closure of RSOV opening.

Figure 8 Aortic valve replacement with Mechanical valve.

Discussion

The incidence of aneurysm of sinus of valsalva is very low and 0.15-1.5% of cardiac surgeries corresponds to sinus of valsalva aneurysm repair.4˗13 This range is attributed to ethnic variation. Chu et al.,7 reported that the incidence of ruptured Sinus of valsalva aneurysm is five times higher in Asian countries (0.46-3.5% in Eastern and 0.14-0.23% in Western areas).3,7˗8,11,13,14 Male and female ratio is 4:1.3,6,8,15 Diagnosis can occur at any age (average: 39years old, range: 2-74years).3,8,9,11,14,15 Sinus of valsalva aneurysm affect the right sinus in 65-86% of cases, noncoronary sinus in 10-30% and the left sinus in 2-5%.2˗4,6˗9,10,11,14,15 Sinus of valsalva aneurysm can be congenital or has an acquired origin, which may be due to infection, trauma or degenerative diseases.3˗5,15 They are associated with other heart defects, Ventricular septal defect in 30-60% of cases, aortic valve abnormalities such as aortic insufficiency in 20-30% of cases, bicuspid valve (10%), aortic stenosis (6.5%). They may also be associated with pulmonary stenosis (9.7%), coarctation of the aorta (6.5%), persistence of the ductus arteriosus (3.2%), tricuspid insufficiency (3.2%).2,7,9,11,13 Rupture may be spontaneous, after trauma, extreme physical exercise or due to endocarditis.3 Rupture of a Sinus of valsalva aneurysm occurs principally into the Right ventricle (60%), the Right atrium (29%), the Left atrium (6%), Left ventricle (4%) or at the pericardium (1%). Extracardiac ruptures are rare, usually fatal, and occur towards the pericardium or the pleural space and are more common when the Sinus of valsalva is of acquired origin.4,7,8,9,11,13,14,15 The perforation of acutely high flow causes sudden hemodynamic decompensation.2,6,14,15 A small, gradual and progressive perforation can be tolerated temporarily, occurring in 25% of cases.3 The intact Sinus of valsalva aneurysm may be asymptomatic, produce thrombus or distortion and compression of the coronary arteries, leading to ischemia.2,6,10 The only formal classification for the Sinus of valsalva aneurysm has been proposed by Sakakibara and Konno in 1962, describing four types according to the coronary sinus affected and the area where they protrude or rupture.3,9,15 ECG findings in the cases of ruptured Sinus of valsalva aneurysm are ventricular hypertrophy, electrical axis towards the right and atrial fibrillation. In unruptured Sinus of valsalva aneurysm, ECG is usually normal unless the aneurysm compresses the atrioventricular node or its branches, resulting in complete blockage or other atrio-ventricular conduction alterations. Transthoracic echocardiography and transesophageal echocardiogram have a diagnostic accuracy of 75% and 90%, respectively, for ruptured or unruptured Sinus of valsalva and allow discrimination of size, origin of the sinus, point of termination, severity and mechanism of the valvular insufficiency, presence of cardiac or associated vascular abnormalities as well as the orientation of the surgical procedure.6,8,9,14 Magnetic resonance imaging and Computed tomography offer high diagnostic effectiveness.1,6,8,11,3 In 1955, the first successful correction of a Sinus of valsalva aneurysm was reported under deep hypothermia without cardiopulmonary bypass.3 In 1956, Cardiopulmonary bypass was used for the first time for resection of the Sinus of valsalva aneurysm and primary closure of the defect, as well as the use of cardioplegia 3. The usual therapeutic option for Sinus of valsalva is surgery. For patients with untreated ruptured Sinus of valsalva aneurysm, the average survival after diagnosis is 3.9 years, which supports the indication for surgical repair. Unruptured Sinus of valsalva aneurysm that produces malignant arrhythmias, infection, blockage of coronary arteries or ventricular outflow tracts indicate the need for surgery.3,4,6,9,11 Velocity of the progression of the aneurysm is a factor in the decision because it may be rapid, as reported by Regueiro et al.,4 Therefore, the presence of an unruptured Sinus of valsalva aneurysm, even if it is asymptomatic or incidentally detected, is an indication for surgical intervention in most cases. A Sinus of valsalva aneurysm found during heart surgery for some other pathology should be repaired, even if it is small.3,5,10,11 In addition, repair of the asymptomatic Sinus of valsalva aneurysm has excellent results. Because of the rarity of Sinus of valsalva aneurysm, there are no studies that demonstrate which surgical technique is superior. However, the best results were obtained with the aneurysm closure, removal of the aneurysm sac and repair of any other associated defect without causing blockage or dysfunction of the aortic valve.9,11 In general, surgical repair of Sinus of valsalva aneurysm is divided into repairs through the chamber of origin (aorta), through the chamber of the penetration or through both chambers. The technique is also classified as primary closure (with or without Teflon reinforcement), aortic root replacement (usually associated with severe aortic insufficiency or compromise of more than one Sinus of valsalva) or patch closure (single or double), which prevents aortic valve deformation, reduces stress on the suture line, and optimizes long-term functionality compared to direct closure.9 Operative mortality is generally low (1%)1,8 in patients without infection; an Eastern study registered 3.5% mortality.7,11,3 However, cases of infected Sinus of valsalva aneurysms (endocarditis or sepsis) have 4-5 times greater risk of perioperative death. Perioperative mortality in patients without an infection is attributed to low cardiac output, especially in patients with cardiac abnormalities that are corrected concomitantly. Recent series have estimated a survival of 5 and 10 years after the correction of Sinus of valsalva aneurysm of 97% and 82%, respectively.1,9 The prognosis seems to be improved if the aortic valve and aortocoronary bridge replacement can be avoided.2,4 Sinus of valsalva aneurysm recurrence per se is rare.1,2 There is no doubt of the indication of surgical repair for symptomatic Sinus of valsalva aneurysm because this represents a significant risk of death. Operative mortality is generally low.

Conclusion

This is the rare presentation of the aneurysm of right sinus of valsalva and is first time in literature because of following reasons.

  1. Aneurysm of sinus of valsalva was originating from the right sinus and was extending behind the main pulmonary artery.
  2. This was compressing the left anterior descending artery and causing angina like symptoms.
  3. This was associated with bicuspid aortic valve which is also a rare occurrence (10%) with aneurysm of sinus of valsalva.

Acknowledgments

None.

Conflicts of interest

None.

Funding

None.

References

  1. Harkness J, Fitton T, Barreiro CJ, et al. A 32-year experience with surgical repair of sinus of Valsalva aneurysms. J Cardiac Surg. 2005;20(2):198˗204.
  2. Beck M, Blanco F, Márquez E, et al. Aneurisma congénito del seno de Valsalva roto a ventrículo derecho asociado a comunicación interventricular. Rev Conarec. 2003;71:158˗160.
  3. Steves W. Congenital heart surgery nomenclature and database project: aortic aneurysm, sinus of valsalva aneurysm, and aortic dissection. Ann Thoracic Surg. 2000;69(4 Suppl):S147˗S163.
  4. Regueiro M, Penas M, López V, et al. Aneurisma del seno de Valsalva como causa de un infarto agudo de miocardio. Rev Esp Cardiol. 2002;55(01):77˗79.
  5. Vautrin E, Barone-Rochette G, Philippe J. Rupture of right sinus of Valsalva into right atrium: ultrasound, magnetic resonance, angiography and surgical imaging. Arch Cardiovasc Dis. 2008; 101(7):501˗502.
  6. Missault L, Callens B, Taeymans Y. Echocardiography of sinus of Valsalva aneurysm with rupture into the right atrium. Int J Cardiol. 1995;47:269˗272.
  7. Chu SH, Hung CR, How SS, et al. Ruptured aneurysms of the sinus of Valsalva in Oriental patients. J Thorac Cardiovasc Surg. 1990;99(2):288˗298.
  8. Dong C, YuWu Q, Tang Y. Ruptured sinus of Valsalva aneurysm: a Beijing experience. Ann Thorac Surg. 2002;74(5):1621˗1624.
  9. Ott D. Aneurysm of the sinus of Valsalva. Semin Thorac Cardiovasc Surg Pediatr Card Surg Annu. 2006;9:165˗176.
  10. Vázquez C, Erdmenger J, Roldán FJ, et al. Valoración ecocardiográfica bi y tridimensional de aneurisma no roto del seno de Valsalva. Arch Cardiolog Mex. 2005;75:148˗153.
  11. Leos A, Benavides M, Nacoud A, et al. Aneurisma del seno de Valsalva con rotura al ventrículo derecho, relacionado con comunicación interventricular perimembranosa. Med Univ. 2007; 9(35):77˗81.
  12. Marciani G, Pulita M, Boccio E, et al. Rotura de aneurisma del seno de Valsalva coronariano derecho. A propósito de un caso. Rev Fed Arg Cardiol. 2006;35:186˗188.
  13. Sánchez M, Garcia M, Quintana C, et al. Heart failure in rupture of a sinus of valsalva aneurysm. Am J Med Sci. 2006;331(2):100˗102.
  14. Lobato E, Greene M, Malias M, et al. Intraoperative usefulness of transesophageal echocardiography: detection of unsuspected rupture of an aneurysm of the sinus of Valsalva. J Cardiothorac Vasc Anesth. 1997;11(5):619˗621.
  15. Caballero J, Arana R, Calle G, et al. Aneurisma congénito del seno de Valsalva roto a ventrículo derecho, comunicación interventricular e insuficiencia aórtica. Rev Esp Cardiol. 1999;52(8):635˗638.
Creative Commons Attribution License

©2016 Khan, et al. This is an open access article distributed under the terms of the, which permits unrestricted use, distribution, and build upon your work non-commercially.