Submit manuscript...
Journal of
eISSN: 2373-4396

Cardiology & Current Research

Case Report Volume 9 Issue 1

A Rare Case of Candida Tropicalis Causing Native Aortic Valve Endocarditis in an Immunocompetent Host

Shanmugam Balaji, Khalif Adnan, Butcher Brad W, Yassin Mohamed, John R Ward DO

UPMC Mercy, USA

Correspondence: John R Ward DO, Vice Chair of Internal Medicine, Treasurer of Medical Executive Committee, Osteopathic Program Director, Clinical Professor of Medicine, UPMC Mercy, USA

Received: May 22, 2017 | Published: June 2, 2017

Citation: Balaji S, Adnan K, Brad BW, Mohamed Y, John R Ward DO (2017) A Rare Case of Candida Tropicalis Causing Native Aortic Valve Endocarditis in an Immunocompetent Host. J Cardiol Curr Res 9(1): 00310. DOI: 10.15406/jccr.2017.09.00310

Download PDF

Abstract

Infective Endocarditis remains a difficult to treat and life threatening condition despite advances in antimicrobial therapy and surgical intervention.1​ ​Infective endocarditis when caused by fungal infection is an entity that holds significantly increased morbidity and mortality. We discuss a case of fungal endocarditis and its successful management.

Introduction

In the context of the worsening epidemic of heroin abuse, the incidence of hospitalization for endocarditis in the United States has been increasing at a rate of 2.4%2 annually. Despite this, fungal endocarditis remains relatively rare, accounting for only 2% of all endocarditis cases, most often occurring in immunocompromised patients or those with prosthetic valves. Here, we present a rare case of Candida tropicalis causing native aortic valve endocarditis in an immunocompetent patient.

Case presentation

A 47-year-old immunocompetent male with a medical history significant for active intravenous heroin abuse presented to the hospital with fever and respiratory distress. On admission, he was diaphoretic, febrile, and hypoxemic with an oxygen saturation of 70% on ambient air, necessitating intubation and mechanical ventilation. Chest radiography revealed a right lower lobe infiltrate concerning for pneumonia, blood cultures were obtained, and vancomycin and piperacillin-tazobactam were empirically administered. Within 48hours, blood cultures grew Candida tropicalis, and antifungal therapy with micafungin was initiated. Computed tomographic scan of the chest revealed bilateral upper lobe infiltrates and dense consolidations with air bronchograms in the bilateral posterior lobes. Transthoracic echocardiography demonstrated severe aortic thickening and aortic regurgitation but no clear evidence of vegetation despite clinical suspicion for endocarditis. Sites of metastatic infection, including endophthalmitis and septic emboli to the brain were ruled out, and antifungal therapy was adjusted to amphotericin B and flucytosine. A subsequent transesophageal echocardiogram revealed a 1.3cm aortic valve vegetation associated with severe aortic regurgitation, for which he underwent aortic valve replacement with a bioprosthetic pericardial valve. Intra-operative cultures from the aortic valve confirmed Candida Tropicalis. He was discharged to a skilled nursing facility to complete 6weeks of antifungal therapy.

Discussion

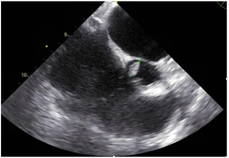
In the absence of appropriate treatment, which includes appropriate antifungal therapy and surgical valve replacement, fungal endocarditis has a mortality rate of 72%.3 Given such marked mortality and recurrence rates, a high index of suspicion is required in patients presenting with risk factors such as intravenous drug abuse, even in those without prosthetic valves or immunocompromised state. Cardiologists in regions of endemic intravenous drug abuse should have heightened clinical suspicion for less common etiologies of endocarditis. Empiric broad-spectrum antibiotic therapies, blood cultures using techniques to isolate fungal organisms, and early consultation of infectious diseases and cardiothoracic surgery should be considered in an effort to improve patient outcomes 4‒6 (Figure 1 & 2).

Figure 1 Transesophageal Echocardiogram showing a 1.3 cm vegetation in right coronary cusp.

Figure 2 Transesophageal Echocardiogram showing left atrium dilatation (4.8cm); and severe aortic valve regurgitation.

Acknowledgments

None.

Funding

None.

Conflicts of interest

Author declares there are no conflicts of interest.

References

Creative Commons Attribution License

©2017 Balaji, et al. This is an open access article distributed under the terms of the, which permits unrestricted use, distribution, and build upon your work non-commercially.