Submit manuscript...
Journal of
eISSN: 2373-4396

Cardiology & Current Research

Case Report Volume 15 Issue 3

Association of myocardial infarction with malignant right coronary anomaly and coarctation of aorta (mid aortic syndrome)

Ashish K Mohapatra, Ravinder S Sambi , Cyril James

Senior Consultant, Interventional and Structural Cardiology, Bethanien Hospital, Germany

Correspondence: Dr. Ashish Kumar Mohapatra, Senior Consultant, Interventional and Structural Cardiology, Bethanien Hospital, Moers, Germany, Tel +49-17647840414

Received: April 22, 2022 | Published: April 29, 2022

Citation: Mohapatra AK, Sambi RS, James C. Association of myocardial infarction with malignant right coronary anomaly and coarctation of aorta (mid aortic syndrome). J Cardiol Curr Res. 2022;15(2):68-71. DOI: 10.15406/jccr.2022.15.00554

Download PDF

Abstract

A young woman presenting to the Emergency Department with anginal symptoms and early repolarisation changes without specific ST-elevation or depression on electrocardiogram. Serology revealed elevated cardiac enzymes thus leading to the diagnosis of an acute myocardial infarction. Coronary angiography revealed a disease free left main coronary artery with inability to identify the right coronary artery ostium. The Aortography and Cardiac Computer Tomography (cardiac CT) demonstrated the right coronary artery originating from the left coronary sinus ventral to left main origin, lying between aorta and pulmonary trunk. At the age of 12 years, the patient underwent the resection of the stenotic inter-mesenterial aortic segment, implantation of (PTFE) Polytetrafluoroethylene Prosthesis with bilateral Implantation of renal arteries for coarctation of abdominal aorta with bilateral renal artery stenosis. The association of coarctation of aorta and right coronary artery anomaly with myocardial infarct is a very critical life-threatening situation, so that early diagnosis and prompt intervention is warranted.

Keywords: Myocardial Infarction, Anomalous Right Coronary Artery, Coarctation of Aorta, Mid-aortic-syndrome

Introduction

One of the rare congenital anomalies of the cardiac vasculature is the anomalous origin of right coronary artery (RCA), first described by White and Edwards1 and the prevalence of anomalous origin of RCA from left coronary sinus in a retrospective study done through autopsies was 0.026%.2 In prospective studies done in Japanese centers by Kaku et al.3 the prevalence of cardiac vasculature anomalies of upto 0.25%. In another study in Hispanic population by Topaz et al.4 the prevalence reported was similar with the distinct illustration that the most prevalent of these anomalies is the anomalous origin of RCA. These anomalies remain clinically undetected as they usually present either as sudden death (first manifestation) or they do not manifest any anginal symptoms. Less than 30% of adult population are symptomatic (Angina or Heart failure) leading to the diagnosis of coronary artery anomaly. More often an anomaly of the coronary vasculature is a random accidental finding during imaging studies or autopsy, and may be associated with the risk of sudden death and myocardial ischemia, especially with a course of anomalous vessels between the aorta and the pulmonary artery trunk. The main aim of this case report is to narrate another rare association of Myocardial infarction in a patient with diagnosed coarctation of abdominal aorta.

Case report

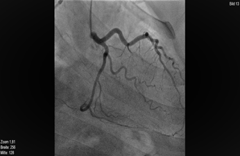
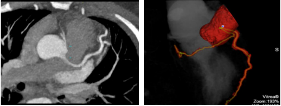
A 32 years young woman with history of hypertension, dyslipidaemia and active smoking, presented to the Emergency Department of our hospital with symptoms of unstable angina pectoris. The patient was a diagnosed case of Mid-Aortic-Syndrome with bilateral renal artery stenosis (2000) and underwent resection of the stenotic intermesenterial aortic segment with implantation of PTFE-Prosthesis and bilateral implantation of renal arteries at the very young age of 12 years. Her physical examination was unremarkable with no evidence of dyspnoea, lung congestion, murmurs or signs of raised jugular venous pulse (JVP). Her heart rate was 76 bpm and the blood pressure was stable at 130/80 mm Hg. Her daily medication was Aspirin 100 mg, Candesartan 32mg, Bisoprolol 7.5mg and Atorvastatin 40mg. An electrocardiogram (Figure 1) on admission demonstrated sinus rhythm with early repolarisation changes and laboratory analysis revealed normal blood count with normal liver and kidney functions. Initially, the cardiac biomarker (Troponin T) was 34pg/ml (normal range < 14 pg/ml) but follow up results showed a significant rise from 34pg/mL to 661 pg/mL. With the diagnosis of an acute myocardial infarction on the basis of a sudden exponential change in the Troponin levels, the patient underwent coronary angiography through the right femoral artery route (Figure 2), which revealed a disease free left main coronary artery. We were unable to identify the RCA ostium, for which an Aortography was performed and it revealed the RCA originating from left coronary sinus. Further confirmation of the anomality was done through a coronary computed tomography angiography (Figure 3). The coronary computed tomography angiography (CCTA) showed the anomalous origin of a hypoplastic RCA from left coronary sinus ventral to the left main origin, lying between the aorta and the pulmonary trunk with a negative Agatston score. The transthoracic echocardiogram revealed a normal left ventricular function without any regional wall motion abnormalities, diastolic dysfunction Grade II and minimal mitral- and tricuspid-regurgitation. Laboratory investigation for cardiotropic virus marker revealed increased values of IgG-EBV, which most probably reflects an old Epstein-Barr virus (EBV) Infection.

Figure 1 Initial EKG.

Figure 2 Coronarangiography.

Figure 3 Coronary CT Angiography.

A Positron Emission Tomography (PET–CT (Figure 4) demonstrated no relevant myocardial scar and a Myocardial-Scintigraphy Scan (Figure 5) also failed to demonstrate any evidence of myocardial scarring or ischemia. It was decided in Team Discussion for guideline directed medical therapy (GDMT). Despite of the GDMT, the patient complained of anginal symptoms sometimes even at rest. After 7 weeks of GDMT, the patient presented again to the emergency with recurrent angina (3-4 days) for more than 30 minutes and Angina pectoris (CCS) Canadian Cardiovascular Society grading (class III). The Laboratory investigations revealed raised cardiac enzymes. The transthoracic echocardiogram revealed reduction in the left ventricular ejection function (LVEF of 42%) with mild inferior wall hypokinesia. The case was again re-evaluated in Heart Team Discussion and the option of an operative Revascularisation was given.

Figure 4 PET-CT.

Figure 5 Myocard Szintigraphy.

The patient underwent an operative myocardial revascularisation with a venous graft to proximal RCA. There were no post-operative complications and the patient was discharged on 7th post-operative day. After 3 months of operation, the patient presented to the Cardiology outpatient department for post-operative evaluation. She was completely free of any anginal symptoms. For further evaluation an exercise treadmill test was performed which failed to demonstrate any evidence of inducible ischemia.

Discussion

To the best of our knowledge, this is the first report of a young female with the combination of coarctation of the aorta, anomalous origin of the RCA with potentially malignant course and evidence of myocardial infarction. Coronary angiographic studies demonstrated this rare anomaly of the RCA-origin from the left sinus with an incidence varying from 0.019% to 0.49%.5,6 In angiographic studies the incidence rate of anomalous RCA is higher than anomalous LCA as compared to autopsy studies. These studies also demonstrated that sudden cardiac death was more common in patients with anomalous LCA (Table 1).7 The majority of these patients were asymptomatic, but they could present with ischemic symptoms, arrhythmias or even sudden cardiac death.8

First author

Study method

Anomalous RCA

Anomalous LCA

Total cases

Sudden death  cases

Total cases

Sudden death  cases

Cheltlin11

Autopsy

18

0

33

9

Libetthson12

Angiography, autopsy

9

0

9

3

Roberts13

Autopsy

10

3

N/A

N/A

Kragel14

Autopsy

25

8

7

5

Frescura15

Autopsy

7

3

 N/A

4

Taylor16

Autopsy

52

13

49

28

Kaku17

Angiography, clinical

44

0

 12*

0

Table 1 Literature review of the correlation between sudden death and anomalous right or left coronary arteries originating from the contralateral aortic sinus
*There was no case of anomalous LCA with an interarterial course. Most cases in other studies are anomalous LCAs with interarterial course
N/A, not available; RCA, right coronary artery; LCA, left coronary artery

Depending on the method of detection the prevalence rates of the anomalous coronary artery from the opposite sinus (ACAOS), which in itself a very rare phenomenon, varies. In angiographic studies like Angelini et al., the estimated total prevalence rate was found to be 1.07%. This study showed prevalence rate of ACAOS with 0.92% demonstrating an RCA from the left sinus and 0.15% demonstrating an anomalous LCA from the right sinus.10 

In echocardiographic studies, the prevalence rate of ACAOS was much lower at 0.17%.11 Despite these rather large differences in prevalence rates, it can be illustrated that ACAOS is associated with the high risk of sudden cardiac death (SCD), therefore warranting a well optimized and intensive approach for all symptomatic patients.9 Patients with ACAOS usually present with clinical symptoms very similarly to those seen in coronary artery disease, especially if the anomalous arteries have an interarterial course.12 This was evident in our case also, where the patient presented with unstable angina and was diagnosed with right coronary ACAOS. The interarterial course associated with a right-sided ACAOS can be further classified as taking either a high or a low interarterial course. A high interarterial course is when the anomalous RCA travels between the aorta and pulmonary artery and a low interarterial course is when the anomalous RCA travels between the aorta and right ventricular outflow tract. In a study by Lee et al., these two subtypes demonstrated a significant difference in clinical presentation. In the high group, 43% of the patients had typical anginal symptoms as compared to the low group with only 6%. A higher prevalence of major adverse cardiac events (MACEs), which includes cardiac death, nonfatal myocardial infarction, unstable angina, and surgical treatment, was seen in 28% patients of the high group versus only 6% in the low group.13 Theoretically during strenuous activity there is an increased cardiac output resulting in greater expansion of the aorta and pulmonary artery which in course mechanically compresses the anomalous RCA (both in the high and low interarterial course of the right-sided ACAOS) thus causing an exercise-dependent form of stenosis. This was evident in our case also.

During stratification of patients at risk, it is important to determine the course of the anomalous coronary artery along with differentiation between the different types of coronary artery anomalies. As is true in our case, it is ascertained that right-sided ACAOS are generally more benign than other coronary artery anomalies, such as a left-sided ACAOS. Autopsy-Studies have reported the difference in mortality between the 2 subtypes, with a suggested mortality rate of 57% for left-sided ACAOS and 25% for right-sided ACAOS.14

The diagnosis of ACAOS is usually incidental as most patients are asymptomatic. The symptomatic patients present to the emergency usually with exertional syncope, angina, or palpitations.15 Imaging through a coronary computed tomography angiography (CCTA) is very helpful and effective in diagnosing ACAOS and excluding other coronary anomalies with high accuracy,16 as well as being an accurate technique for distinguishing patients at high risk for adverse events.17 In imaging studies yit was demonstrated that the increased risk for MACEs was dependent on specific CT-derived anatomical criteria.17

Based on the increased risk of SCD, it is necessary to carefully optimize treatment options in these symptomatic ACAOS patients. The three treatment options are 1) medical treatment, 2) coronary angioplasty with stenting, and 3) surgical repair, which includes bypass surgery, reimplantation of the anomalous artery, unroofing of intramural segments of the anomalous artery, or osteoplasty.18 2008 Guidelines of the American College of Cardiology and American Heart Association recommend surgery in patients with clinical adverse events or evidence of ischemia. Other treatment modalities wan be offered to patients with neither of those criteria. As was the situation in our case, the patient was symptomatic, had a myocardial infarction and underwent a surgical treatment.

Once the diagnosis of the anomaly is established, patients should make lifestyle changes (avoid intense and competitive physical activities) along with the prompt initiation of betablockers (pharmacological therapy).18,19 Conventional revascularization, ostium reimplantation on the aortic root, excision of the common wall between the aorta and the anomalous vessel and the creation of a new ostium at the end of the intramural segment of the vessel are all plausible alternatives. Good surgical options for patients with anomalous origin of the RCA include myocardial revascularization with right internal thoracic artery grafting to the proximal RCA segment and proximal ligation of the RCA as described by Martins et al.20 Repair surgery can be obtained by RCA reimplantation, or by using a graft for this coronary.21 It is necessary to perform a re-evaluation of the treated vessel through non-invasive means before the patient can be permitted to be able to resume his normal physical activities.18,19

References

  1. White NK, Edwards JE. Anomalies of the coronary arteries. Report of four cases. Arch Pathol. 1948;45:766‒771.
  2. Alexander RW, Griffiths GC. Anomalies of the coronary arteries and their clinical significance. Circulation. 1956;14:800‒805.
  3. Kaku B, Shimizu M, Yoshio H, et al. Clinical features of prognosis of Japanese patients with anomalous origin of the coronary artery. Jpn Circ J. 1996;60:731‒41.
  4. Topaz O, DeMarchena EJ, Perin E, et al. Anomalous coronary arteries: angiographic findings in 80 patients. Int J Cardiol. 1992;34:129‒138.
  5. Yamanaka O, Hobbs RE. Coronary artery anomalies in 126,595 patients undergoing coronary arteriography. Catheterization and Cardiovascular Diagnosis. 1990;21(1):28‒40.
  6. Garg N, Tewari S, Kapoor A, et al. Primary congenital anomalies of the coronary arteries: a coronary: arteriographic study. Int J Cardiol. 2000;74(1):39‒46.
  7. crescura C, Basso C, Thiene G, et al. Anomalous origin of coronary arteries and risk of sudden death: a study based on an autopsy population of congenital heart disease. Hum Pathol. 1998;29(7):689‒695.
  8. Narayanan S R, Al Shamkhani W, Rajappan AK. Anomalous origin of RCA from left coronary sinus presenting as PSVT and recurrent acute coronary syndromes. Indian Heart Journal. 2016;68(2):208‒210.
  9. Angelini P, Villason S, Chan AV. Normal and anomalous coronary arteries in humans. In: Angelini P, editor. Coronary artery anomalies: a comprehensive approach. Philadelphia: Lipincott Williams and Wilkins; 1999: 27‒150.
  10. Frommelt PC, Frommelt MA, Tweddell JS. Prospective echocardiographic diagnosis and surgical repair of anomalous origin of a coronary artery from the opposite sinus with an interarterial course. J Am Coll Cardiol. 2003;42(1):148.
  11. Lee BY. Anomalous right coronary artery from the left coronary sinus with an interarterial course: is it really dangerous? Korean Circ J. 2009;39(5):175‒179.
  12. Peñalver JM, Mosca RS, Weitz D, et al. Anomalous aortic origin of coronary arteries from the opposite sinus: a critical appraisal of risk. BMC Cardiovasc Disord. 2012;12:83.
  13. Lee HJ, Hong YJ, Kim HY, et al. Anomalous origin of the right coronary artery from the left coronary sinus with an interarterial course: subtypes and clinical importance. Radiology. 2012;262(1):101‒108.
  14. Taylor AJ, Rogan KM, Virmani R. Sudden cardiac death associated with isolated congenital coronary artery anomalies. J Am Coll Cardiol. 1992;20(3):640.
  15. 15.   Basso C, Maron BJ, Corrado D. Clinical profile of congenital coronary artery anomalies with origin from the wrong aortic sinus leading to sudden death in young competitive athletes. J Am Coll Cardiol. 2000;35(6):1493.
  16. Angelini P, Velasco JA, Flamm S. Coronary anomalies: incidence, pathophysiology, and clinical relevance. Circulation. 2002;105(20):2449.
  17. Ashrafpoor G, Danchin N, Houyel L, et al. Anatomical criteria of malignancy by computed tomography angiography in patients with anomalous coronary arteries with an interarterial course. Eur Radiol. 2014;25(3):760.
  18. 18.  Angelini P. Coronary artery anomalies: an entity in search of an identity. Circulation. 2007;115(10):1296.
  19. Akcay A, Tuncer C, Batyraliev T. Isolated single coronary artery: a series of 10 cases. Circ J. 2008;72:1254.
  20. Martins MS, Bastos BS, Annibal JB, et al. Myocardial revascularization in anomalous origin of the right coronary artery: case report. Rev Bras Cir Cardiovasc. 2007;22: 2(4):505‒508.
  21. Di Lello F, Mnuk JF, Flemma RJ, et al. Successful coronary reimplantation for anomalous origin of the right coronary artery from the left sinus of Valsalva. J Thorac Cardiovasc Surg. 1991;102:455.
Creative Commons Attribution License

©2022 Mohapatra, et al. This is an open access article distributed under the terms of the, which permits unrestricted use, distribution, and build upon your work non-commercially.