Submit manuscript...
Journal of
eISSN: 2373-4396

Cardiology & Current Research

Case Report Volume 7 Issue 1

De Winter ECG Pattern with Acute Thrombotic Occlusion of Diagonal While LAD is Patent

Ahmed Said Saad

Interventional cardiologist at Shebin Elkoum Teaching Hospital, Egypt

Correspondence: Ahmed Said Saad, Interventional cardiologist at Shebin Elkoum Teaching Hospital, Egypt

Received: September 01, 2016 | Published: November 8, 2016

Citation: Saad AS (2016) De Winter ECG Pattern with Acute Thrombotic Occlusion of Diagonal While LAD is Patent. J Cardiol Curr Res 7(1): 00233 DOI: 10.15406/jccr.2016.07.00233

Download PDF

Summary

De Winter ECG pattern can present with thrombus occlusion of Diagonal branch while LAD is patent.

Presentation

53 years old patient known with hypertension, not diabetic, presented with 3 hours continuous typical chest pain at rest, after emotional stress. His hemodynamics were stable, BP was 170/100, Heart rate was 60 bpm (on bisoprolol 10mg daily), clinical examination was normal.

Initial findings

ECG (Figure 1a) showed upsloping ST depression at the J point from Lead V3 to V6 that continued into tall, positive symmetrical T waves, with narrow QRS complex) (De Winter pattern described in new england journal of medicine 359;19  november 6, 2008). Bedside Echocardiography showed normal LV systolic function with akinitic antero-lateral wall.

Treatment

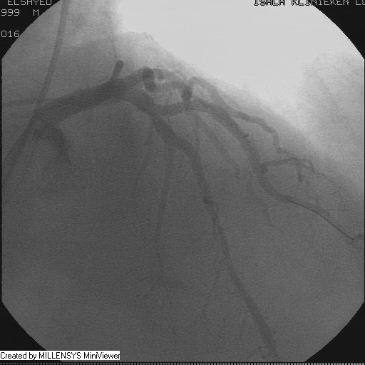
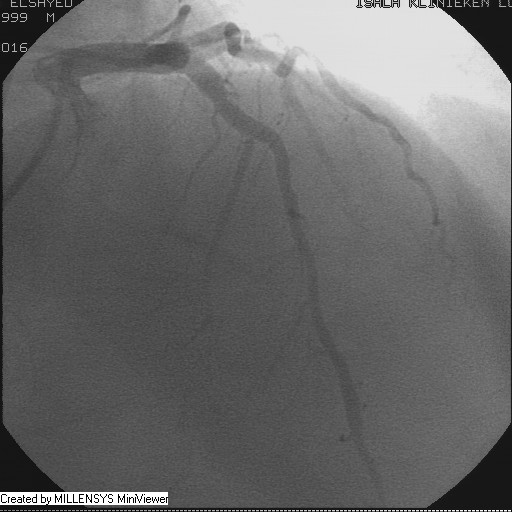
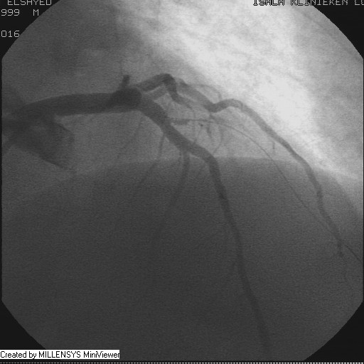
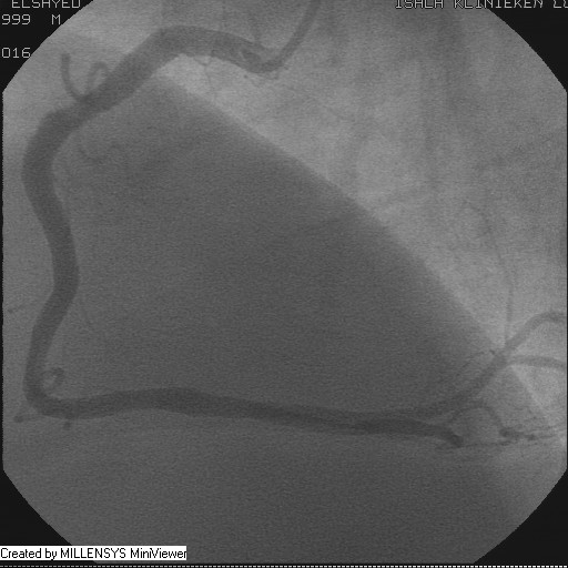
Patient transfered to Cardiac Catheterization Laboratory, coronary angiography showed atherosclerotic coronaries but without significant lesions, especially LAD that was patent with TIMI 3 flow (Figure 1- 5). Re-evaluation of the Angiography showed a small stump that can be for an occluded 1st diagonal (Figure 2a), at that level the LAD has a non-significant lesion.
Although it was not convenient, but started trying to wire that diagonal based on:

  1. The resting chest pain.
  2. ECG changes.
  3. Echocardiographic Data.

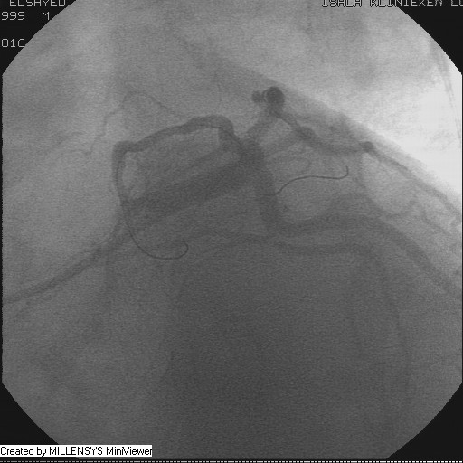
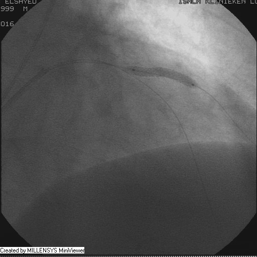
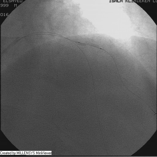
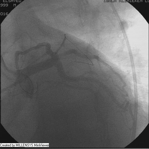
After crossing with the PTCA wire, a minimal flow started to appear in the diagonal branch (Figure 6), then LAD was wired, then a 2x15mm Balloon was used to pre-dilate (Figure 7,8), a big diagonal branch appeared with proximal thrombotic tight lesion (Figure 9), the diagonal angle to LAD was about 90 degree (Figure 10), so provisional stenting done to diagonal from its ostium with 3x20mm PROMUS ELEMENT PLUS DES (Figure 11,12), with good final result (Figures 13&14).

Figure 1A
Figure 1
Figure 2
Figure 2A
Figure 3
Figure 4
Figure 5
Figure 6
Figure 7
Figure 8
Figure 9
Figure 10
Figure 11
Figure 12
Figure 13
Figure 14
Figure 15

Discussion

The ECG Sign of Proximal LAD Occlusion, that was described by Robbert J. de Winter et al. in 2008, was discovered in this patient, The ST depression was from V3 to V6, unlike De Winter pattern which was from V1 to V6, also his LAD was patent with TIMI 3 flow, while the occlusion was in a big diagonal that could be missed because of the ostial position of the occluding thrombus. Explanation of these changes instead of the ST segment elevation is still not clear, although De Winter et al. theoretically assumed an anatomical variant of the Purkinje fibers, with endocardial conduction delay, or the absence of ST elevation may be related to the lack of activation of sarcolemmal ATPsensitive potassium (KATP) channels by ischemic ATP depletion. The occlusion of the diagonal can explain the ST depression in V3 to V6 (not in V1 and V2) that was described by De Winter as specific for LAD (V1 to V6).

Creative Commons Attribution License

©2016 Saad. This is an open access article distributed under the terms of the, which permits unrestricted use, distribution, and build upon your work non-commercially.