Submit manuscript...
Journal of
eISSN: 2373-4396

Cardiology & Current Research

Clinical Images Volume 11 Issue 5

Double mitral apparatus

Maria Laura Vidales,1 Paola Vilche, Daghero Fernando,3 Marcelo Urinovsky,3 Miguel Angel Tibaldi4

1Fellow of echocardiography, Sanatorio Allende Cerro branch, Argentina
2Degree in radiology, echocardiography technique, Sanatorium Allende Cerro branch, Argentina
3Cardiologist staff, Sanatorium Allende branch Cerro, Córdoba, Argentina
4Cardiologist staff, chief of cardiology service, Sanatorio Allende Cerro branch, Córdoba, Argentina

Correspondence: Maria Laura Vidales, Fellow of echocardiography, Sanatorio Allende Cerro branch, Argentina,

Received: August 22, 2018 | Published: September 5, 2018

Citation: Vidales ML, Vilche P, Fernando D, et al. Double mitral apparatus. J Cardiol Curr Res. 2018;11(5):201-202. DOI: 10.15406/jccr.2018.11.00399

Download PDF

Clinical image

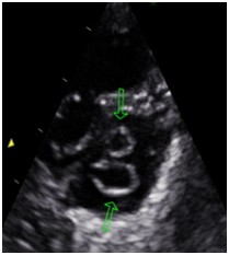
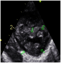
Doubling the mitral valve is a rare congenital heart defect. It is Characterized by the presence of two smaller mitral apparatus, Generally attachment system, is located in the anterior mitral cusp, separated by a fibrous tissue.1 The explanation of the change in the embryological development is accepted by an abnormality in the development between the ventral or dorsal medial tubers pad with side.2,3

Usually they associated with aortic aneurysm, bicuspid aortic valve, aortic coarctation, subaortic stenosis, patent ductus arteriosus, abnormal interatrial and interventricular septum. They may evolve failure and / or mitral stenosis. (Figures 1–4)

Figure 1 Parasternal short axis.

Figure 2 Parasternal short axis. Presence of 4 muscle Papillary. Double mitral orifice.

Figure 3 Long Axis 5 cameras.

Figure 4 Long Axis 5 cameras. Double mitral apparatus. Mitral presence of two flows.

Echocardiography is essential for the diagnosis, treatment and follow-up.4–5 We present a newborn preterm, low birth weight, the doppler echocardiogram applying for breath. echodopplercardiogram is performed evidencing patent foramen ovale with shunt from left to right, moderate muscle septal shunt left to nonsignificant right, double mitral apparatus, permeable, no records diastolic gradient and mild impairment of both, patent ductus arteriosus, big, not restrictive and overactive.

Acknowledgements

None.

Conflict of interest

The author declares that there is no conflict of interest.

References

Creative Commons Attribution License

©2018 Vidales, et al. This is an open access article distributed under the terms of the, which permits unrestricted use, distribution, and build upon your work non-commercially.