Submit manuscript...
Journal of
eISSN: 2373-4396

Cardiology & Current Research

Research Article Volume 14 Issue 5

Histological classification and collagen distribution in atherosclerotic plaques in aorta of hypercholesterolemic rabbits

Leonardo de Oliveira Andrade,1 Silvia Saiuli Miki Ihara,1 Anita L R Saldanha,2 Eliane Pereira da Silva,4 Walter Kuymjian,3 Francisco A H Fonseca,3 Tania Leme da Rocha Martinez2

1Department of Pathology, Universidade Federal de São Paulo, Brazil
2Nephrology Department, BP - A Beneficência Portuguesa de São Paulo, Brazil
3Department of Medicine, Universidade Federal de São Paulo, Brazil
4Department of Clinical Medicine, Universidade Federal do Rio Grande do Norte, Brazil

Correspondence: Tania Leme da Rocha Martinez, BP - A Beneficência Portuguesa de São Paulo, Rua Comandante Ismael Guilherme, 358 - Jardim Lusitânia, CEP 04031-120 - São Paulo – SP, Brazil, Tel 55 11 98323-9863, Fax 55 11 3842-3789

Received: September 21, 2021 | Published: October 6, 2021

Citation: Andrade LO, Ihara SSM, Saldanha ALR, et al. Histological classification and collagen distribution in atherosclerotic plaques in aorta of hypercholesterolemic rabbits. J Cardiol Curr Res. 2021;14(5):126-131. DOI: 10.15406/jccr.2021.14.00528

Download PDF

Abstract

Objective: To analyze the histopathological aspect of atheroma plaques in the aorta of rabbits submitted to diet modification and different evolution times.

Methods: Aortic fragments of rabbits submitted to the following protocols were analyzed: all animals received a diet plus 0.5% cholesterol for 3 months and/or followed by: group A (n=8) - sacrificed at 3 months; group B (n=10) - followed by 3 months of standard diet; group C (n=20) followed by 3 months of 0.1% cholesterol diet; group D (n=12) - followed by 9 months of 0.1% cholesterol diet. Histological sections of aortic arch fragment were analyzed in hematoxylin-eosin and picro-sirius red staining. The atherosclerotic plaques were analyzed, classifying them according to the predominance of cellularity (type 2) or presence of extracellular matrix and fibromuscular cap (type 3) and associated with a large amount of extracellular cholesterol crystals (type 4).

Results: We did not observe a statistically significant difference in the intima/media relationship, although there was a tendency to larger plaques in groups with lipid diet for prolonged time (p<0.06). We found after 3 months of hypercholesterolemic diet (group A), high serum cholesterol levels (1972±127 mg/dL) and plaques with higher cellularity (type 2), destructuring of the media layer, especially along the internal elastic lamina. The modification of the diet for 3 months (groups B and C) reduced serum cholesterol levels, modifying the characteristics of the plaque, verifying more developed plaques (types 3 and 4) in animals with lipid diet. After 12 months (group D) plaques with matrix predominance in relation to cellularity were observed, with a large amount of crystal of cholesterol and collagen fibers.

Conclusion: The normalization of the diet or reduction of the lipid content modifies the histology of the plaque, evolving with higher extracellular matrix content.

Keywords: atherosclerosis, histology, aorta, cholesterol, rabbits

Abbreviations

EEL, external elastic lamina; HE, hematoxylin-eosin; I/M, intima/media; IEL, internal elastic lamina

Introduction

The use of experimental models in the study of atherosclerosis has expanded our knowledge in understanding the pathophysiological processes of atherosclerosis and thrombogenesis. In this project we intend to use part of material already collected in previous studies, and analyze the characteristics of atherosclerotic plaques developed in hypercholesterolemic rabbits at different evolutionary times, regarding histopathological aspects and their correlation with plaque evolution. Atherosclerosis is a disease of the large and middle muscular arteries and elastic arteries, characterized by elevation in the vessel wall containing intra and extracellular lipids in the intima layer, covered by a fibrous cap, with atheroma being the basic lesion.1 This is the result of complex interaction between blood elements, altered blood flow and abnormalities of the vessel wall, involving several pathological processes: increased permeability and endothelial activation, recruitment of monocytes and activation of inflammatory cells, proliferation of smooth muscle cells, migration and synthesis of matrix, degeneration with lipid accumulation, necrosis due to oxidized lipids, calcification and plaque rupture, platelet recruitment, fibrin and thrombus formation.

Several factors, such as hypertension, diabetes mellitus, dyslipidemia and smoking, lead to endothelial dysfunction, initiating the atherogenic process. As a consequence, lipoprotein penetration into the subendothelial space occurs, particularly Low Density Lipoprotein, generation of adhering molecules on the surface of endothelial cells and secretion of growth factors and cytokines implicated in migration, cell proliferation and coagulation.2,3 Monocytes penetrate the intima and subendothelial space and are transformed into activated macrophages that capture oxidized Low Density Lipoprotein. The progressive accumulation of lipids intracellular, or extracellular form the fatty streak. Fibrous lesions have a layer composed of smooth muscle cells, extracellular matrix rich in collagen and proteoglycan, covering the necrotic nucleus rich in lipids. Plaques can become highly complex with calcifications, ulcerations, and hemorrhages of small vessels.

In the last decades, it has been found that plaque composition and vulnerability, more than its volume and degree of stenosis, are the most important determinants for the development of acute coronary thrombus-mediated syndrome, and soft plaques, rich in lipids, are more dangerous than rigid and collagen-rich plaques, because they are more unstable and highly thrombogenic. When analyzing the degree of stenosis in patients who suffered acute myocardial infarction, it was observed that in only 14% of them, the infarction was due to rupture of a plaque with more than 70% of stenosis. In 70% of the patients, the lesion that caused the symptoms presented stenosis lower than 50%, suggesting, therefore, that small and silent atherosclerotic lesions, considered angiographically non-significant, may lead to thrombosis and clinical event.4,5

Plaques containing a soft lipid nucleus are unstable and can rupture, i.e., the fibrous cover that separates the nucleus from the lumen can disintegrate, erode or rupture, exposing highly thrombogenic components to the bloodstream.6

Histopathological observations indicate that thrombosis formation is closely involved with plaque erosion or rupture. Such ruptures are observed in plaques that contain tenuous fibromuscular cap and large amount of lipids. In these vulnerable plaques, macrophages, T cells and mast cells were located near the site of rupture of the fibromuscular cap. These cells secrete cytokines and proteases, which make the fibromuscular cap vulnerable. The cytokines and proteases suppress the proliferation of smooth muscle cells, prevent collagen synthesis and degrade collagen fibers. As a result of inhibiting collagen synthesis and increasing its degradation, the fibromuscular cap is weakned.7

Plaque rupture often occurs when the fibrous layer is thin, heavily infiltrated by foamy cells. The ruptured plaque is usually intensely infiltrated by activated cells, indicating an inflammatory process, synthesizing not only collagen, but also metalloproteinases, which constitute a family of enzymes specialized in degrading the constituents of the extracellular matrix, leading to fissure of the plaque.

Inflammation involvement is described in all stages of atherosclerosis, from the first steps of leukocyte recruitment in atherosclerotic lesion, to the development of atheroma plaque, culminating in its rupture and thrombosis in the acute coronary event.8 We found a constant release of inflammatory mediators, by macrophages, T lymphocytes, endothelial cells and smooth muscle cells of vessels, hepatocytes and adipocytes. High concentrations of inflammatory markers such as Tumor Necrosis Factor Alpha (TNF-alpha), Interleukin-6 (IL-6), Intracellular Adhesion Molecule-1 (ICAM-1), P-Selectin, E-Selectin, C-Reactive Protein (CRP), fibrinogen, Serum Amyloid A, in apparently healthy individuals, have shown predictive value for future vascular events.9,10 More recently it has been suggested the participation of the adventitious layer in the development and rupture of the atherosclerotic plaque. With the progression of the plate, a compensatory dilation of the vessel diameter is observed in order to preserve its lumen, with rupture of the internal elastic lamina with disarrangement of the middle layer of the vessel wall, triggering an inflammatory reaction and production of reactive oxygen species, with proliferation of fibrosis and smooth muscle cell. These reactions in adventitia may contribute to the evolution and rupture of the atherosclerotic lesion.11,12

In addition to inflammation, infectious processes have also been demonstrated by participating in the undestabilization of the atherosclerotic plaque.13 It was found that the rupture of the atherosclerotic plaque was associated with classical factors, such as thin fibrous layer and large lipid nucleus, but also to the large amount of bacteria.14 Chlamydia pneumoniae and Mycoplasma pneumoniae in plaque have been reported. Chlamydia would reach the vessel wall by adventitious, producing an intense inflammatory process. Mycoplasma is concentrated in the lipid nucleus, determining an inflammatory process in the intima and cholesterol-rich area.15

Rabbits submitted to a high cholesterol diet are an important model in the study of experimental atherosclerosis16,17 since it is possible to induce hyperlipidemia and atherosclerotic lesions in a short period of time. Marked hypercholesterolemia induced in rabbits through diet results from the absorption of large amounts of dietary cholesterol without compensatory increase in cholesterol degradation and excretion. Rabbits are widely cited in the literature and, although they do not develop atherosclerosis spontaneously, they are highly responsive to cholesterol manipulation and develop lesions in a short time, allowing the study of therapeutic response, analyzing morphological aspects of atheroma plaque, as well as endothelial function, evaluating vascular reactivity.18-20 In studies with Watanabe rabbits, which develop hypercholesterolemia spontaneously, the use of statins reduced the expression of metalloproteinases in atheroma leading to greater stability.21,22

Goals and objectives

To analyze the histopathological aspect of atheroma plaques regarding their histological classification and collagen proliferation in aorta of rabbits submitted to hypercholesterolemic diet at different times of evolution.

Methodology and strategy of action

A retrospective study was carried out, using materials already collected, embedded in paraffin, from animals that constituted control groups in previous experiments. Fragments of ascending aorta from rabbits submitted to a hypercholesterolemic diet and classified into 4 groups were analyzed, according to the following:

Rabbits submitted to a diet rich in cholesterol (0.5%) for 3 months to induce hypercholesterolemia (Group A, n=8); rabbits who after 3 months of atherogenic diet with 0.5% cholesterol received a normal diet for another 3 months (group B, n=14); rabbits who, after the induction period, received a diet with lower cholesterol content (0.1%) for 3 months (group C, n=20) or for another 9 months (group D, n= 12), and were therefore sacrificed, respectively, 6 and 12 months after the beginning of the experiment.

Design drawing:

The hypercholesterolemic diet was prepared by adding cholesterol to the standard diet of rabbits. Cholesterol was mixed with crushed feed, at a concentration of 0.5 g/100g of feed (diet 0.5%) or 0.1 g/100g of feed (0.1% diet). The ration was repeletized and dried in an oven at 60ºC. Feed and water were offered to be consumed ad libitum.

The animals were sacrificed after 3 months (group A), 6 months (groups B and C) and 12 months (group D) at the beginning of the experiment.

Histopathological analysis of atherosclerotic plaque

A fragment of the aortic arch was fixed in buffered formaldehyde, included in paraffin, and histological sections were performed stained with hematoxylin-eosin (HE) and picro-sirius red. The histological aspects of the plate were analyzed to characterize its evolutionary stage. On slides stained by HE, the following parameters were analyzed: greater or lesser cellularity, extracellular matrix, presence of cholesterol crystals, formation of fibromuscular cap with collagen and smooth muscle cells, disstructuring of the media layer along with the internal elastic lamina (IEL), disstructuring of the media layer next to the external elastic lamina (EEL) and inflammatory process in the adventitious layer.

The characterization of the evolutionary stage of the plates was based on the classification suggested by Stary,23 considering as type II plaques the lesions in which there was predominance of foamy cells arranged in stratified layers, with predominance of cells in relation to the matrix. The lesions were considered type III, when there was a predominance of matrix in relation to cellularity, in addition to the formation of fibromuscular cover. Type IV plaques showed a matrix predominance associated with a large number of confluent extracellular cholesterol crystals.

The intima/media (I/M) ratio was calculated by measuring the area of the intima layer and the media layer in the histological sections of the aortic arch fragments as a parameter to evaluate intimal thickening. Extracellular matrix was determined by quantification of collagen in picro-sirius stained sections, using morphometric method by image analysis, using the Image Tool software version 3.0. Images obtained in an increase of 200x were captured and digitized. On the images transformed into grayscale, a threshold between 180-200 pixels was applied to isolate the corthed area, and the percentage of collagen per captured area was quantified.

Statistical analysis

The variables were represented by means of standard error. The differences between the groups were evaluated by the variance analysis test (ANOVA) and, if there were differences, multiple differences were made between the groups by the Newman-Keuls test for the continuous variables and with comparable variances. For categorical variables, the Chi-Square test and Fisher's exact test were used for comparison between the groups. In all tests, statistical significance was established for a p<0.05.

Results

Serum cholesterol

The 0.5% diet for 3 months was introduced to induce dyslipidemia and atherosclerosis. We checked 3 months after this diet (group A), a large increase in serum cholesterol. With the change in diet, either for normal diet (group B) or diet with 0.1% cholesterol for another 3 months (group C) or another 9 months (group D), serum cholesterol levels were reduced, although no statistically significant difference between them (Table 1).

Group (n)

Cholesterol (mg/dL)

A (8)

1972±127**

B (14)

87±40

C (20)

279±44

D (12)

152±36

Table 1 Serum level of total cholesterol determined at the time of animal sacrifice
**p>0.05 vs B, C, D by ANOVA test followed by Newman-Keuls
average ± SEM (Standard Error Mean)

Relationship between the areas of the intima and media layers

There was no significant difference in plate size, evaluated by the I/M ratio (Table 2).

Group (n)

I/M

A (8)

0.47±0.12

B (14)

0.50±0.08

C (20)

0.76±0.11

D (12)

0.85±0.13

Table 2 Relationship between the areas of the intima and middle (I/M) layers of the aortic arch fragment
average ± SEM (Standard Error Mean)

Analysis of the type of plate, regarding cellularity and matrix

We verified that 3 months of 0.5% hypercholesterolemic diet (group A) led to the formation of plaques with higher cellularity in relation to the matrix. The group that had the diet modified for normal diet (group B) presented predominantly cellular plaques, while in the group with modification for diet with cholesterol (groups C and D) more fibrous and less cellular plaques and predominance of extracellular matrix were observed (Table 3).

Group (n)

DIET

Cellularity

Cell (%)

Matrix (%)

A (8)

0.5% 3m

87.50

12.50

B (14)

0.5% 3m+ NL 3m

71.50

28.50

C (20)

0.5% 3m + 0.1% 3m

35.00

65.00

D (12)

0.5% 3m+ 0.1% 9m

0.00

100.00

Table 3 Prevalence of atherosclerotic plaques with predominant characteristic of foamy cells or extracellular matrix

Classification of histological plaques

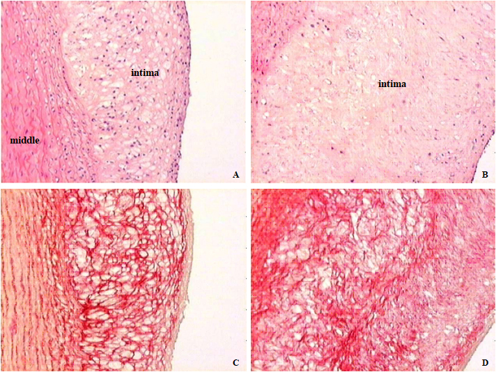
The combined analysis of cellularity and extracellular matrix allowed the histological classification of the plaques in type 2, 3 or 4 (Figure 1). Regarding the type of plaque, we verified that group A presented higher cellularity with predominance of type 2 plaques. Diet normalization (group B) did not prevent plaque progression, presenting types 2 and 3. Diets 0.1% for another 3 months (group C) increased type 3 plaques and presence of type 4 plaques. In group D there was a predominance of type 4 plaques (Table 4).

Figure 1 Photomicrograph of atherosclerotic plaques of aortic arch of rabbits with hypercholemic diet. Type 2 plaque - cellular (A and C); type 3 plaque - matrix (B and D). Hematoxylin-eosin staining (A and B). Staining with Picro-sirius (C and D) - 100x.

Group (n)

DIET

Plate Type

 

2 (%)*

3 (%)**

4 (%)***

A (8)

0.5% 3m

87

13

0

B (14)

0.5% 3m + NL 3m

71

29

0

C (20)

0.5% 3m + 0.1% 3m

35

60

5

D (12)

0.5% 3m + 0.1% 9m

0

8

92

Table 4 Prevalence of the type of atherosclerotic plaque classified histologically in terms of cellularity and extracellular matrix
*p< 0.0001- A, B, C > D; A>C; **p<0.01 – A<C; C>D; ***p<0.0001- A, B, C < D

Evaluation of changes in the middle and adventitious layer

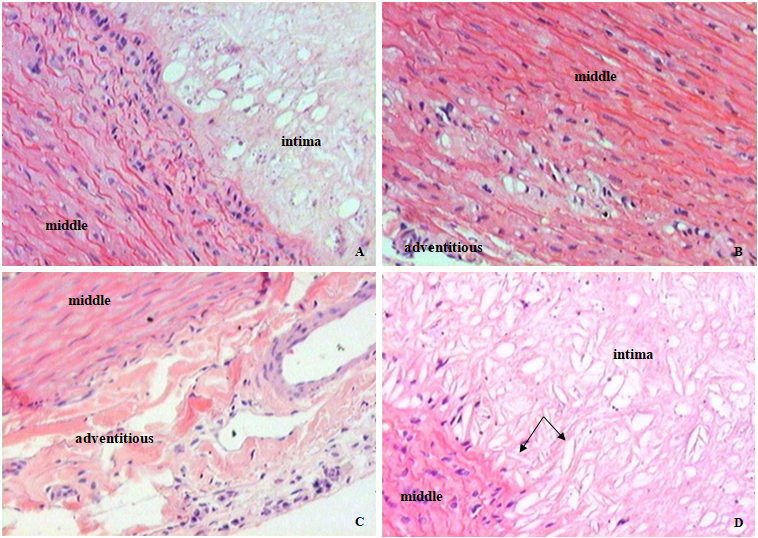
The media layer was analyzed for destructuring along with the internal and external elastic lamina, and adventitia as to the presence of inflammatory reaction, in histological sections of aortic arch fragment (Figure 2). We checked in all groups, disarray in the middle layer with the IEL. With EEL, there was no statistically significant difference. As for adventitious inflammation, group D presented a lower number of plaques with alteration in adventitia, although without statistical significance (Table 5).

Figure 2 Photomicrograph of histological sections of the aortic arch of rabbits. Destructuring of the media layer with the internal elastic lamina (A) and external elastic lamina (B). Presence of inflammatory reaction in the adventitious layer (C) and cholesterol crystals in the deep region of the intima layer (D). Hematoxin-eosin staining, 200x.

Groups

DIET

IEL (%)

EEL (%)

Adventitia (%)

A (8)

0.5% 3m

100.00

37.50

50.00

B (14)

0.5% + NL 3m

100.00

78.50

71.00

C (20)

0.5% + 0.1% 3m

100.00

65.00

55.00

D (12)

0.5% + 0.1% 9m

100.00

41.50

25.00

Table 5 Percentage of animals presenting alterations in the media layer, along with the internal elastic lamina (IEL) and external elastic lamina (EEL) and adventitia

Presence of extracellular cholesterol crystals

We evaluated the intensity of extracellular cholesterol crystals in the plaque. Groups with atherogenic diet presented higher concentration of cholesterol crystals (Table 6), being significantly higher in group D.

Groups

Diet

Crystal (%)

0(+)*

1(+)**

2(+)

3(+)***

A (8)

0.5% 3m

100.00

0.00

0.00

0.00

B (14)

0.5%/ NL 3m

7.00

93.00

0.00

0.00

C (20)

0.5%/ 0.1% 3m

25.00

55.00

15.00

5.00

D (12)

0.5%/ 0.1% 9m

0.00

0.00

8.5

91.5

Table 6 Percentage of animals presenting extracellular cholesterol crystals, according to the evaluation of 0 to 3+
*p<0.0001-A>B, C, D; **p<0.0001 –A, D<B, C; p=0.0001 – D>A,B,C

Extracellular matrix - collagen

We verified an increase in collagen in aortic arch plaques, due to the time of hypercholesterolemic diet (p<0.05; group D > Group C) (Table 7).

Group (n)

Collagen (%)

A (8)

31±6

B (14)

43±4

C (20)

36±4

D (12)

53±4*

Table 7 Percentage of collagen in atherosclerotic plaque
*p<0.05 vs C

Discussion

The aim of this study was to analyze the morphological aspect of atheromatous plaque in the aorta of rabbits submitted to different hypercholesterolemic diet protocols, analyzing the variation in the type of diet (normal or with 0.1% cholesterol) and diet time (6 months or 12 months). Although the study was not conducted with all groups simultaneously, since animals were used that constituted control groups of other studies, we believe that the same methodology used, always by the same team under the same conditions, allows comparative analysis in the parameters analyzed.

The composition of the atherosclerotic plaque is related to rupture and, consequently, incidence of clinical events, being classified into vulnerable or stable plaques, according to their morphological aspect. Macrophages and inflammatory cells are predominant in rupture sites, while stable plaques have higher collagen-rich extracellular matrix content.

In our study, rabbits were fed a diet plus 0.5% cholesterol for 3 months, and it was verified in this period that histological sections of specimens obtained from the ascending aorta presented predominantly cellular plaques, with predominance of foamy macrophages (group A). Next, we compared the change in diet for normal diet (group B) or decreased cholesterol at 0.1% (group C) for a period of another 3 months, verifying that the modification of the diet, whether for normal or with lower cholesterol content, leads to the decline of serum cholesterol. However, regarding the histological aspect, in the groups with a diet containing cholesterol, more evolved plaques were observed in this group in relation to the normalization of the diet.

When we compared diet time with 0.1% cholesterol, either for another 3 months (group C) or for another 9 months (group D), after the modification of the diet from 0.5% to 0.1%, we verified more evolved plaques, with predominance of type 4 plaques, containing a large amount of extracellular cholesterol crystals, collagen increase and with predominance of extracellular matrix in relation to cellularity.

Therefore, these data confirm, in an experimental model, that the adaptation of the diet leads to a change in the morphology of the atherosclerotic plaque, leading to changes in the cellularity/matrix ratio, and consequently, better stability, regardless of the change in plaque size.

Several studies indicate that the reduction of plasma cholesterol induces a reduction in the accumulation of lipid component and macrophage cells/foamy cells in atherosclerotic plaques. In addition, a reduction in plasma cholesterol level suppresses the expression of matrix and tissue factor mataloproteinases in macrophages of atherosclerotic plaques of rabbits.24-26 In this study, we used only animals without drug treatment. However, experimental studies with rabbits submitted to the hypercholesterolemic diet have shown that treatment with statins decreases the lipid/fibromuscular component relationship, suggesting that the stability of atheromatous plaques improves due to the reduction of the lipid component and reduced the vulnerability of the fibromuscular layer.27

Conclusion

Normalization or reduction in the lipid content of the diet reduces the level of serum cholesterol, however, although there has been no reduction in plaque size, there was a change in the histological type, evolving to more stable plaques, with predominance of collagen, little cellularity and a large number of cholesterol crystals.

Acknowledgments

None.

Conflicts of interest

No conflict of interest.

Funding

None.

References

  1. Kumar V, Abbas AK, Fausto N. Vasos sanguíneos. In: Robbins & Cotran. Patologia - Bases Patológicas das Doenças. 7th edn. Rio de Janeiro: Elsevier; 2005. p. 537-582.
  2. Ross R. The pathogenesis of atherosclerosis: a perspective for the 1990s. Nature. 1993;362(6423):801-809.
  3. Hunt BJ. The endothelium in atherogenesis. Lupus. 2000;9(3):189-193.
  4. Falk E, Shah PK, Fuster V. Coronary plaque disruption. Circulation. 1995;92(3):657-671.
  5. Virmani R, Burke AP, Farb A, et al. Pathology of the unstable plaque. Prog Cardiovasc Dis. 2002;44(5):349-356.v
  6. Davies MJ. Going from immutable to mutable atherosclerotic plaques. Am J Cardiol. 2001;88(4A):2F-9F.
  7. Mullenix PS, Andersen CA, Starnes BW. Atherosclerosis as inflammation. Ann Vasc Surg. 2005;19(1):130-138.
  8. Hansson GK. Inflammation, atherosclerosis, and coronary artery disease. N Engl J Med. 2005;352(16):1685-1695.
  9. Ridker PM, Hennekens CH, Buring JE, et al. C-reactive protein and other markers of inflammation in the prediction of cardiovascular disease in women. N Engl J Med. 2000;342(12):836-843.
  10. Libby P, Ridker PM, Maseri A. Inflammation and atherosclerosis. Circulation. 2002;105(9):1135-1143.
  11. Rey FE, Pagano PJ. The reactive adventitia: fibroblast oxidase in vascular function. Arterioscler Thromb Vasc Biol. 2002;22(12):1962-1971.
  12. Moreno PR, Purushothaman KR, Fuster V, et al. Intimomedial interface damage and adventitial inflammation is increased beneath disrupted atherosclerosis in the aorta: implications for plaque vulnerability. Circulation. 2002;105(21):2504-2511.
  13. Kalayoglu MV, Libby P, Byrne GI. Chlamydia pneumoniae as an emerging risk factor in cardiovascular disease. JAMA. 2002;288(21):2724-2731.
  14. Higuchi ML, Gutierrez PS, Bezerra HG, et al. Comparison between adventitial and intimal inflammation of ruptured and nonruptured atherosclerotic plaques in human coronary arteries. Arq Bras Cardiol. 2002;79(1):20-24.
  15. Ramires JAF, Higuchi ML. Mycoplasma pneumoniae y Chamydia pneumoniae se asocian con la inflamación y la rotura de las placas coronarias ateroscleróticas. Rev Esp Cardiol. 2002;55(Supl 1):2-9.
  16. Fan J, Kitajima S, Watanabe T, et al. Rabbit models for the study of human atherosclerosis: from pathophysiological mechanisms to translational medicine. Pharmacol Ther. 2015;146:104-119.
  17. O'Reilly PJ, Ding Q, Akthar S, et al. Angiotensin-converting enzyme defines matrikine-regulated inflammation and fibrosis. JCI Insight. 2017;2(22):e91923.
  18. Silva EP, Fonseca FA, Ihara SS, et al. Early benefits of pravastatin to experimentally induced atherosclerosis. J Cardiovasc Pharmacol. 2002;39(3):389-395.
  19. Fonseca FA, Ihara SS, Izar MC, et al. Hydrochlorothiazide abolishes the anti-atherosclerotic effect of quinapril. Clin Exp Pharmacol Physiol. 2003;30(10):779-785.
  20. Pomaro DR, Ihara SS, Pinto LE, et al. High glucose levels abolish antiatherosclerotic benefits of ACE inhibition in alloxan-induced diabetes in rabbits. J Cardiovasc Pharmacol. 2005;45(4):295-300.
  21. Shiomi M, Ito T, Hirouchi Y, et al. Fibromuscular cap composition is important for the stability of established atherosclerotic plaques in mature WHHL rabbits treated with statins. Atherosclerosis. 2001;157(1):75-84.v
  22. Fukumoto Y, Libby P, Rabkin E, et al. Statins alter smooth muscle cell accumulation and collagen content in established atheroma of watanabe heritable hyperlipidemic rabbits. Circulation. 2001;103(7):993-999.
  23. Stary HC, Chandler AB, Glagov S, et al. A definition of initial, fatty streak, and intermediate lesions of atherosclerosis. A report from the Committee on Vascular Lesions of the Council on Arteriosclerosis, American Heart Association. Circulation. 1994;89(5):2462-2478.
  24. Aikawa M, Voglic SJ, Sugiyama S, et al. Dietary lipid lowering reduces tissue factor expression in rabbit atheroma. Circulation. 1999;100(11):1215-1222.
  25. Aikawa M, Rabkin E, Sugiyama S, et al. An HMG-CoA reductase inhibitor, cerivastatin, suppresses growth of macrophages expressing matrix metalloproteinases and tissue factor in vivo and in vitro. Circulation. 2001;103(2):276-283.
  26. Fukumoto Y, Libby P, Rabkin E, et al. Statins alter smooth muscle cell accumulation and collagen content in established atheroma of watanabe heritable hyperlipidemic rabbits. Circulation. 2001;103(7):993-999.
  27. Shiomi M, Ito T, Hirouchi Y, et al. Fibromuscular cap composition is important for the stability of established atherosclerotic plaques in mature WHHL rabbits treated with statins. 2001 Jul;157(1):75-84.
Creative Commons Attribution License

©2021 Andrade, et al. This is an open access article distributed under the terms of the, which permits unrestricted use, distribution, and build upon your work non-commercially.