Submit manuscript...
Journal of
eISSN: 2373-4396

Cardiology & Current Research

Case Report Volume 14 Issue 6

Isolated right ventricle acute myocardial infarction - report of two unusual cases

Chierice JRA,1 Pavaneli MJ,2 Gali LG,2 Pavão RB,1 Lima-Filho MO,1 Marçal PC,2 Braggion Santos MF,2 Schmidt A,2 Marin-Neto JA1

1Department of Hemodynamics and Interventional Cardiology, Clinics Hospital of Ribeirão Preto (HCRP) of the Medical School of Ribeirão Preto (FMRP - USP), Brazil
2Department of Cardiology, Clinics Hospital of Ribeirão Preto (HCRP) of the Medical School of Ribeirão Preto (FMRP - USP), Brazil

Correspondence: João Reynaldo Abbud Chierice, Department of Hemodynamics and Interventional Cardiology, Clinics Hospital of Ribeirão Preto (HCRP) of the Medical School of Ribeirão Preto (FMRP - USP), Brazil

Received: March 03, 2021 | Published: December 27, 2021

Citation: Chierice JRA, Pavaneli MJ, Gali LG, et al. Isolated right ventricle acute myocardial infarction - report of two unusual cases. J Cardiol Curr Res. 2021;14(6):181-185. DOI: 10.15406/jccr.2021.14.00539

Download PDF

Abstract

Right ventricular ischemic involvement during acute coronary syndromes is typically recognized associated with acute myocardial infarction with ST-segment elevation in the inferior left ventricular wall. In contrast, isolated right ventricular myocardial infarction is a rare entity that mimics anterior myocardial infarction of the left ventricle, both clinically and in the electrocardiographic presentation. We report two cases of isolated right ventricle acute myocardial infarction simulating anterior wall myocardial infarction.

Keywords: right ventricle, acute myocardial infarction, cardiac magnetic resonance

Abbreviations

AMT, acute myocardial infarction; ACS, acute coronary syndromes; AMI, acute myocardial infarction; RCA, right coronary artery; ECG, electrocardiographic; CMR, cardiac magnetic resonance

Introduction

Right ventricular (RV) ischemic involvement during acute coronary syndromes (ACS) is typically recognized associated with acute myocardial infarction (AMI) with ST-segment elevation in the inferior left ventricular (LV) wall, usually caused by proximal occlusion of the right coronary artery (RCA).1 In contrast, isolated RV myocardial infarction is a rare entity that mimics anterior myocardial infarction of the left ventricle (LV), both clinically and in the electrocardiographic (ECG) presentation, due to the anatomical topography of the RV located in a more anterior position.2 The use of cardiac magnetic resonance (CMR) in myocardial infarction adds to the more usual methods, a high diagnostic potential, especially when other markers or tests have limitations, such as in subacute infarction, previous infarction or isolated right ventricular involvement. In this article we report two cases of isolated RV AMI, documented and confirmed with angiography and CMR, simulating anterior wall myocardial infarction and no obstructive lesions in the other coronary arteries.

Case 1

Male, 50 years-old, with a history of systemic arterial hypertension (diagnosed 2years ago) and ex-smoker. He presented typical and unprecedented precordial pain that began during sleep, leading him to seek immediate medical attention. During the evaluation, the patient underwent an ECG that showed elevation of the ST segment in the anterior wall (Figure 1). Clinical measures for ACS were initiated and chemical thrombolysis with r-TPA, approximately three and a half hours after symptom onset, without clinical and ECG reperfusion criteria after the end of thrombolysis. Referred for rescue angioplasty by the right radial route; coronary angiography demonstrated total occlusion in the proximal segment of acute marginal branch, with evident thrombus in plaque, without other significant obstructive lesions in the other coronary arteries (Figure 2); left ventriculography in two projections demonstrated good segmental mobility and preserved LV global systolic function. No coronary angioplasty was performed since during the procedure the patient was asymptomatic, without hemodynamic instability or ventricular arrhythmia. Clinical treatment with double antiplatelet therapy (acetylsalicylic acid + clopidogrel), full anticoagulation (low molecular weight heparin) and statin (atorvastatin). In the laboratory evaluation, myocardial necrosis markers were elevated with Troponin I = 5,11 mcg/L (NV <0.01mcg/L) and MB-CK curve with values ​​of 16 - 20 - 79 - 80 - 61 U/L (NV <25U/L), in samples at 6-hour intervals. Patient evolved well during hospitalization, without recurrence of pain and remaining stable hemodynamically. During the in-hospital period, echocardiogram demonstrated normal segmental mobility and preserved global systolic function of both ventricles. He was discharged after seven days of hospitalization. In the outpatient follow-up CMR after twenty-eight days of the event showed cardiac chambers dimensions within normal limits, segmental and global LV systolic function preserved but with akinesis of the inferior and mid-apical segments of the RV free wall; late gadolinium enhancement (LGE) analysis showed transmural myocardial fibrosis in the inferior and lateral segments of the RV free wall (Figure 3).

Figure 1 Resting electrocardiogram of Case 1, demonstrating sinus rhythm with ST segment elevation in anterior wall and probable inactive electrical zone in inferior wall.

Figure 2 (A) Right coronariography in left oblique projection demonstrating occlusion of right marginal branch in proximal segment (arrow); (B) left coronary angiography in caudal projection; C: left coronary angiography in cranial projection; both showing no significant obstructive lesions in the other coronary arteries.

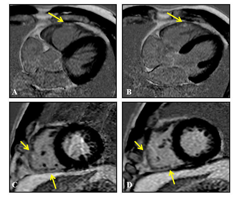
Figure 3 Magnetic resonance imaging, late gadolinium enhancement sequences, 4 chambers (A and B) and short axis (C and D) showing pathological late enhancement areas in the myocardium of the inferior and lateral segments of the right ventricular free wall (arrows), without associated left ventricular involvement.

Case 2

Male, 38years-old, smoker with no known comorbidities, had an episode of acute coronary syndrome with anteroseptal ST segment elevation (Figure 4). Clinical measures for SCA led to improvement of symptoms and of ECG changes, without need for chemical thrombolysis. There was elevation of myocardial necrosis markers with Troponin I = 0.38 mcg/L. Elective cardiac catheterization after nine days of the acute event and new blood sample showed Troponin I on the day of the procedure with a value of 0.10mcg/L. Left ventriculography demonstrated normal segmental mobility and preserved global systolic LV function. Angiography demonstrated total occlusion in the proximal segment of a non-dominant RCA, mild obstructive lesions (<40% luminal obstruction) in the dominant circumflex branch and in the first diagonal branch of the left coronary artery (Figure 5). Echocardiogram demonstrated normal segmental mobility and preserved global systolic function of both ventricles. We chose to not perform percutaneous intervention at the time. He remained hospitalized for ten days, remaining asymptomatic, hemodynamically stable and without ventricular arrhythmia. Patient was discharged with clinical therapy (acetylsalicylic acid + clopidogrel + atorvastatin). During out-hospital follow-up, after twenty-four days of the event, CMR was performed, demonstrating akinesia of the medial inferior-lateral segment of the RV free wall, normal LV segmental mobility and preserved global systolic function of both ventricles; evaluation with LGE showed ischemic, transmural myocardial fibrosis in the inferior-lateral segment of the RV free wall (Figure 6).

Figure 4 Resting electrocardiogram of Case 2 demonstrating sinus rhythm with mild ST segment elevation in leads V1, V2 and V3. Note the possible electrode exchange demonstrated by the evaluation of the QRS axis.

Figure 5 (A) right coronary angiography in left oblique projection demonstrating total occlusion of the non-dominant right coronary in its proximal portion (arrow); (B) left coronary angiography in direct cranial projection demonstrating mild obstructive lesion in diagonal branch; (C) left coronary angiography in right obliquous projection demonstrating dominant circumflex branch with mild obstructive lesion in its proximal portion.

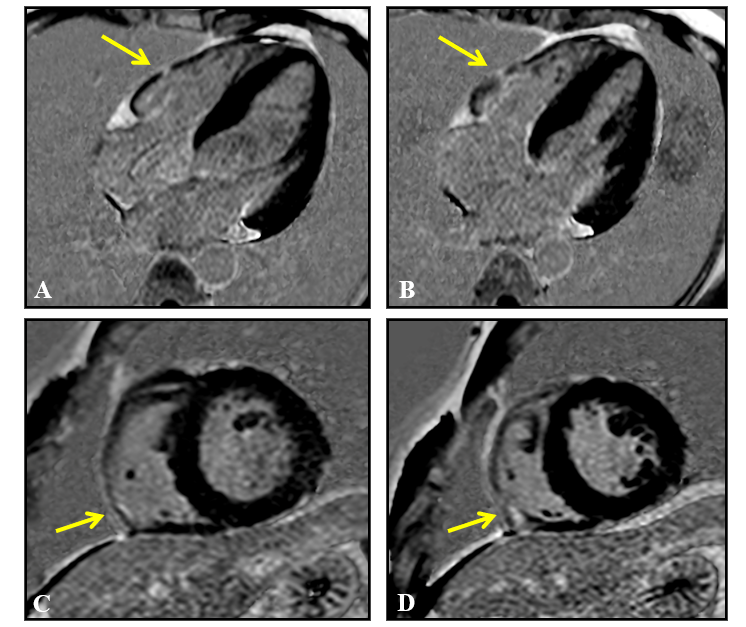
Figure 6 Cardiac magnetic resonance imaging, late gadolinium enhancement sequences, 4 chambers (A and B) and short axis (C and D), showing areas of pathological late enhancement in the myocardium of the inferior-lateral segment of the right ventricular free wall (arrows), without associated left ventricular involvement.

Discussion

About one-third of patients having inferior wall AMI with ST-segment elevation will have concomitant RV infarction.2 Isolated RV acute myocardial infarction is rare, occurring in approximately 2% of cases as reported in autopsy material.1,3 Such entity may occur through any of the four mechanisms proposed below: 1) isolated occlusion of the acute marginal branch of the RCA; 2) non-dominant or co-dominant RCA occlusion; 3) proximal occlusion of a dominant RCA in patients with: 3a) AMI in the old inferior wall of the LV and occlusion of the middle or distal RCA; 3b) or bypass graft for RCA with insufficient retrograde filling to the acute marginal branch; 3c) or with collateralization from the LCA to the right posterior descending branch, but insufficient retrograde filling of the acute marginal branch; 4) occlusion of a non-dominant RCA with anomalous origin.1 ST-segment elevation in anterior leads (V1 - V3) is described in cases of isolated RV AMI due to its typical topography (anterior heart chamber).1,2 Association of this specific electrocardiographic pattern with isolated RV myocardial infarction was previously documented in a canine model and by autopsy in humans.

In the cases of this report, this single electrocardiogram pattern was mistakenly assumed to represent acute myocardial infarction with ST-segment elevation of the anterior wall of the LV, resulting in a false diagnosis of left anterior descendent artery related infarction. Elevation of ST segment in the anterior precordial leads without reciprocal abnormalities and without any evidence of anterior wall dysfunction in the left ventriculography or echocardiogram warrants angiographic evaluation of the RCA and the acute marginal branch to confirm possible isolated RV infarction.3

From the clinical point of view, the RV is relatively resistant to the infarct episode and has good spontaneous functional recovery even after prolonged occlusion of the RCA, and in the absence of reperfusion. Right ventricular dysfunction, although often associated with the episode, usually resolves over time, and despite this potential reversibility, percutaneous coronary intervention of RCA has been shown to decrease mortality in patients with right ventricular failure or ventricular arrhythmias.3

The RV is not routinely evaluated during cardiac catheterization and contrast angiography. In addition, echocardiographic evaluation routinely neglects the RV, and there are inherent difficulties in the study of this chamber with this method. The use of CMR in myocardial infarction adds to the more usual methods, a high diagnostic potential, especially when other markers or tests have limitations, such as in subacute infarction, previous infarction or isolated right ventricular involvement.5 The method also provides essential prognostic value, such as the extent of the affected myocardium and its viability or substitution with fibrosis.6 New regional contractility changes assessed by the cine sequence and / or loss of viable tissue following LGE may be considered as evidence of myocardial infarction.5 The pattern of LGE involvement is an important indicator of topography of myocardial injury, with the ischemic pattern characterized by subendocardial hypersignal, with possible extension to the epicardium. Transmural involvement or LGE affecting more than 50% of the thickness of a myocardial segment indicates the absence of the viability.8,9 The diagnosis of RV infarction in CMR can be a great challenge because of the sharper feature of its free wall in relation to the left ventricle. Despite this limitation, several studies suggest that CMR, through LGE analysis, is more sensitive to this diagnosis when compared to others, such as the ECG and echocardiogram.10,11 A large prospective study performed with CMR showed that RV infarction, diagnosed by altered segmental mobility in the cine sequences, presence of myocardial edema in T2-weighted pre-contrast sequences and presence of pathological LGE, was a strong predictor of death, reinfarction and congestive heart failure, when complete revascularization could not be performed.11 Although histopathology is considered the gold standard for diagnosis, it has little clinical applicability, so CMR, a non-invasive method, appears as a fundamental tool in diagnostic and prognostic elucidation.10 Because many advantages of the method, CMR is indeed an exam to be definitively incorporated into the diagnostic arsenal of isolated RV infarction.12

Conclusion

Isolated RV AMI is a rare condition with inherent diagnostic challenges. There is a need for angiographic confirmation of the coronary involvement responsible for the RV perfusion. For diagnostic complementation, CMR has a fundamental role since it allows identifying the myocardial segments involved in the episodes of ACS, especially the RV, which is difficult to evaluate with other imaging methods.

Conflicts of interest

The authors declare no conflict of interest, financial or otherwise.

Acknowledgments

Declared none.

Funding

None.

References

  1. Harnett DY, LaHaye SA, Wilkinson JS, et.al; Isolated Right Ventricular Myocardial Infarction: A Sheep in Wolf's Clothing. JAMA Intern Med. 2016;176 (8):1207-1210.
  2. Forman MB, Goodin J, Phelan B, et al. Electrocardiographic Changes Associated with Isolated Right Ventricular Infarction. J Am Coll Cardiol. 1984 Sep;4(3):640-643.
  3. Namana V, Gupta SS, Abbasi AA, et. al; Right ventricular infarction. Cardiovasc Revasc Med. 2018;19(1 Pt A):43-50.
  4. Finn AV, Antman EM. Isolated Right Ventricular Infarction. NEJM. 2003;349.
  5. Kim HW, Farzaneh-Far A, Kim RJ, et al. Cardiovascular Magnetic Resonance in Patients with Myocardial Infarction - Current and Emerging Applications. J Am Coll Cardiol. 2009;55(1):1-16.
  6. Juan LJ, Crean AM, Wintersperger BJ, et al. Late Gadolinium Enhancement Imaging in Assessment of Myocardial Viability Techniques and Clinical Applications. Radiol Clin N Am. 2015;53(2):397-411.
  7. Vogel-Claussen J, Rochitte CE, Wu KC, et al. Delayed Enhancement MR Imaging: Utility in Myocardial Assessment. Radiographics. 2006;26:795-810.
  8. Souto ALM, Souto RM, Teixeira ICR, et al. Myocardial Viability on Cardiac Magnetic Resonance. Arq Bras Cardiol. 2017;108(5):458-469.
  9. Kumar A, Abdel-Aty H, a Kriedemann I, et al. Contrast-Enhanced Cardiovascular Magnetic Resonance Imaging of Right Ventricular Infarction. J Am Coll Cardiol. 2006;48(10):1969-1976.
  10. Miszalski-Jamka T, Klimeczek P, Tomala M, et al. Extent of RV Dysfunction and Myocardial Infarction Assessed by CMR Are Independent Outcome Predictors Early After STEMI Treated with Primary Angioplasty. JACC Cardiovasc Imaging. 2010;3(12):1237-1246.
  11. Grothoff M, Elpert C, Hoffmann J, et al. Right Ventricular Injury in ST-Elevation Myocardial Infarction Risk Stratification by Visualization of Wall Motion, Edema, and Delayed-Enhancement Cardiac Magnetic Resonance. Circ Cardiovasc Imaging. 2012;5(1):60-68.
  12. Schmidt A, Maciel BC, Marin-Neto J. A. Clinical Trial Report: Time is Resonant for Right Ventricular Evaluation. Current Cardiovascular Imaging Reports. 2011;4(3):177–179.
Creative Commons Attribution License

©2021 Chierice, et al. This is an open access article distributed under the terms of the, which permits unrestricted use, distribution, and build upon your work non-commercially.