Submit manuscript...
Journal of
eISSN: 2373-4396

Cardiology & Current Research

Case Report Volume 5 Issue 3

Pulmonary embolism in children: a report of two cases

Marcello Marcì,1 Maria Cristina Castiglione,2 Nicola Sanfilippo1

1Department of Cardiology, AOORR Villa Sofia Cervello-Palermo, Italy
2A.O. Policlinico ?Giaccone?- Palermo, Pediatric Clinic, Italy

Correspondence: Marcello Marcì, Department of Cardiology, AOORR Villa Sofia Cervello-Palermo, Italy

Received: February 11, 2016 | Published: March 14, 2016

Citation: Marcì M, Castiglione MC, Sanfilippo N. Pulmonary embolism in children: a report of two cases. J Cardiol Curr Res. 2016;5(3):11-12. DOI: 10.15406/jccr.2016.05.00166

Download PDF

Keywords

pulmonary embolism, echocardiography, thromboembolism

Introduction

Pulmonary embolism in children is an uncommon event, whose incidence has increased in last decades. We present a report concerning two pediatric patients with pulmonary embolism (P.E) admitted to our hospital.

Clinical cases

A 4-year-old, obese, girl was transferred from a referring hospital to our intensive care unit for acute onset of dyspnea and hypoxemia, without fever, cough or thoracic pain. She was a febrile, heart rate was 135 beats/min, blood pressure was 90/60 mmHg. Physical examination revealed a body weight of 50 kg (>99° percentile), height=110 cm, (BMI=41); the heart sounds were normal, a 2/6 Levine murmur was audible on the right sternal border; the breath sounds were diminished bilaterally, the peripheral oxygen saturation was 80%. The arterial blood gas analysis (ABG) revealed respiratory alkalosis (pH=7, 50), pO2=93 mmHg, pCO2=30mmHg. Endo-tracheal intubation and mechanical ventilation with 100% oxygen was necessary, furthermore a venous central catheter was placed into the right femoral vein. The chest X-ray study revealed bilateral infiltrates. Since a pneumonia was suspected the patient was treated with antibiotics (Teicoplanin and Ceftriaxone). Over six days, as the clinical conditions improved and the child was estubated, the venous central catheter was removed and she was transferred to the Pediatric Clinic. After one day the conditions suddenly worsened with dyspnea and signs of deep-vein thrombosis of the right limb, which was swollen and warm. Doppler ultrasound scan showed femoro-popliteal deep venous thrombosis. The echocardiography revealed a mildly dilatation of right ventricle and of inferior vena cava. Color-Doppler examination demonstrated a moderate-severe tricuspidal regurgitation, with a high atrio-ventricular peak pressure gradient (65 mmHg).

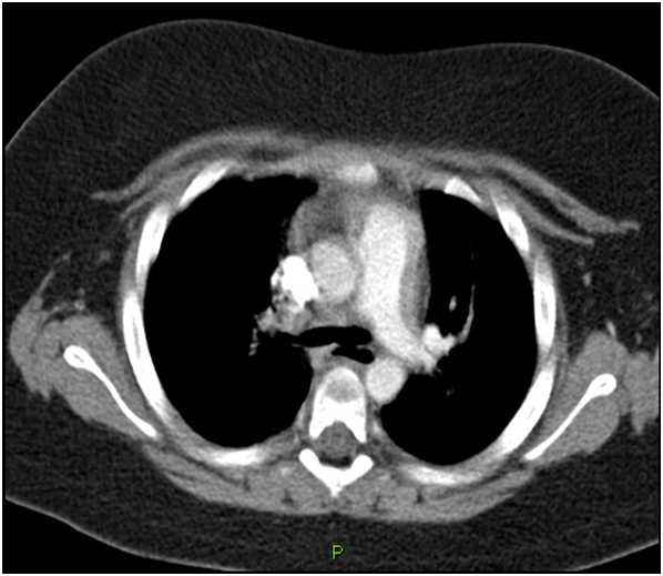
D-dimer was sevenfold the upper limit. A second chest radiograph showed a mild left pleural effusion. Because P.E. was suspected the patient underwent a contrast enhanced computed tomography (CT) of the thorax that demonstrated clots into the upper and lower lobar right pulmonary arteries (Figure 1). The girl was treated with LMWH followed by warfarin with resolution of symptoms. Further laboratory tests for thrombophilia screening revealed methylene tetrahydrofolate reductase heterozygotes mutation with normal homocysteine plasma level and heterozygotes mutation of the Factor II (G20210A). The patient was discharged from hospital on oral anticoagulant therapy for six months and with a hypo-caloric diet.

Figure 1 CT scan of the lungs demonstrating clots in right pulmonary artery.

The second patient was a 10-years-old girl, affected by mental retardation and tetraplegia due to neonatal hypoxemia. Initially, he was admitted to nephrology department for anuria, elevated creatine (3mg/dL) and pedal swelling. Physical examination revealed a diaphoretic and tachypneic patient, with a heart rate of 140 beats/min, the pulse oxygen saturation in room air was 88% and failed to rise under supplemental oxygen (3 L/min with nasal cannula), severe hypotension (systolic blood pressure <90mmHg), the heart sounds were normal while the breath sounds were diminished bilaterally, moreover jugular veins distension was noted. The ABG showed metabolic acidosis (pH = 7.2 and low bicarbonates =16 mmol/L), hypoxemia (pO2= 50 mmHg) and hypocapnia (pO2= 32 mmHg). Tachycardia and hypotension prompted an echocardiogram that showed dilatation and dysfunction of right ventricle, mild dilatation of inferior vena cava and moderate tricuspid insufficiency, with a peak velocity of 3, 3 m/s, which predicts a systolic pulmonary pressure of about 55 mmHg. The patient did not undergo pulmonary CT scan with intravenous contrast for the acute renal insufficiency.

P.E. with severe cardiovascular instability was suspected and the patient was promptly transferred to cardiology department, after stabilization of vital signs with intravenous fluid and bicarbonates, she was treated with thrombolytic therapy (Alteplase) without further exams. A rapid improvement of clinical conditions was obtained, blood pressure raised to 100/70 mmHg and oxygen saturation, with supplemental oxygen, was 94%. After two days Doppler ultrasound scan of the legs ruled out venous thrombosis. After one day oro-tracheal intubation was deemed necessary for the onset of respiratory failure due to myoclonic dystonia. Tests for thrombophilia screening resulted normal. She was weaned by mechanical ventilation and after a month he was discharged home on oral anticoagulant treatment for six months.

Discussion

PE in pediatric population is a potentially lethal disease, with a mortality rate of about 10%.1 It is uncommon in pediatric population and indeed it could be under-recognized clinically and often discovered at postmortem examinations.2-5 The exact incidence of the disease in pediatric population is unknown, about 0.9 per 100,000 children per year according to National Discharge Survey.2 An incidence of less than 0.3 per 100,000 was also reported by other authors.6 While, the Canadian and Dutch Registries reported incidence rates, respectively of 0.86 per 10,000 pediatric admissions and 1.4 per 10,000 children annually.7,8 The incidence of venous thrombosis in pediatric patients admitted to American hospital has risen from 0.34 % in 2001 to 0.50 % in 2007.9,10 Furthermore, the incidence shows a bimodal age distribution, occurring more often in neonates and adolescents. Venous thromboembolism affects 5.1 neonates per 100,000 births,11 but among patients admitted to neonatal intensive care units the incidence increases to 2.4 per 1,000. The major neonatal risk could be explained by lack of fibrinolytic factors and by the use of central venous catheter, in fact thrombosis is associated with a central venous catheter in 80% of newborns.4,8,12 Also in children the most important predisposing factor is central venous catheter,10,13 that determines thrombosis in about 25-30% of children.7,14

On the other hand, adolescents are at higher risk for two important predisposing factors: the use of oral contraceptive and obesity. As a matter of fact, a body mass index higher than 25 is the most common risk factor among their patients with PE.15,16 Other uncommon acquired risk factors are dehydration, septicemia, trauma, malignancy, nephrotic syndrome, heart disease, systemic lupus erythematosus and shock. However, thrombo-embolic events in children could be determined also by congenital pro-thrombotic risk factors such as hyper-homocysteinemia, factor V Leiden or prothrombin G20210A mutations, proteins C and S deficiency and higher level of lipoprotein A. Furthermore, acquired thrombophilic condition can be caused by disseminated intravascular coagulation or by bacterial sepsis. Increased prevalence of PE, especially in adolescential age, could be determined by diffusion of some predisposing risk factors such as obesity and oral contraceptive use.

PE is a misleading pathology even in adult patients since it rarely manifests with the classic triad of pleuritic chest pain, dyspnea and hemoptysis. These symptoms appear only in patients with large embolism that occludes more than 50% of lung vascular bed, as consequence many cases due to smaller emboli remain silent. Only about half of young patients with PE manifests symptoms and signs of the disease, moreover the diagnosis is suspected in only one third of them.5 Furthermore, children have a good pulmonary reserve which may reduce haemodynamic consequences of massive PE.

Admittedly, diagnosis can be more difficult in children, partly because these patients may have difficulties to manifest their symptoms, yet clinical presentation is often deceptive, because the most frequent symptoms, dyspnea and cough, may mimic other common respiratory diseases. Hemoptysis is very uncommon15 in children while pleuritic chest pain is more frequent in adolescents.4,17

Unexplained tachypnea is frequently found on physical examination, other clinical signs include right-sided heart insufficiency, hypotension, tachycardia, increased second heart sound and cyanosis. The chest radiograph is usually normal, but it allows to rule out other respiratory diseases. Also the ECG generally shows non-specific abnormalities, such as sinus tachycardia or right bundle branch block. Doppler echocardiogram allows to estimate pulmonary arterial pressure and right ventricular acute failure. The ABG is an important bedside test that almost invariably shows PO2<85mmHg. Otherwise, pulse oximetry may be sometimes deceptively normal because the hemoglobin oxygen dissociation curve can be shifted by alkalosis.

No routine laboratory test is specific for PE, but there are some suggestive findings, such as D-dimer, whose plasmatic level increases when fibrin is fragmented by spontaneous fibrinolysis. Measurement of D-dimer in adults patients is sensitive but non-specific test for suspected venous thrombo-embolism as consequence a normal D-dimer level associated to low clinical suspicion allows safely to rule out PE. Admittedly, the D-dimer level is less useful in children given that it may be elevated in the majority of pediatric patients with high risk of PE for underling conditions, such as cancer, trauma, inflammation, disseminated intravascular coagulation and surgery.4

Moreover, ventilation-perfusion lung scan appears useful when PE is suspected, despite this test has a positive predictive value of only 80%. So this test is helpful when it is positive, but a negative result in a high risk patient does not allow to rule out PE diagnosis. Contrast-enhanced CT angiography can rapidly demonstrate clots inside pulmonary arteries, with a good level of specificity and a sensitivity of about 90-100%.18,19 Although pulmonary arteriography is the golden standard test for the diagnosis it is seldom used because it is costly and invasive, with a morbidity of about 5% and mortality rate of about 0,5%.19

Although CT scan and pulmonary angiography are definitively the gold standard imaging tools for PE, they imply transferring critical patients to radiological department not to mention the risk of developing cancer from radiation exposure.20 Our patients were initially diagnosed with pneumonia and renal failure respectively, based on the nature of the clinical presentations. The right diagnosis was quickly confirmed by echocardiogram. The first patient was treated only with LMWH because his hemodynamic conditions were not compromised, while the second one needed thrombolityc therapy for the severe hypotension. Both of them were discharged on anticoagulant therapy for six months because they were at low bleeding risk. The younger patient presented more risk factors, namely heterozygotes mutations of factor II and of methylene tetrahydrofolate reductase, central venous catheter and obesity, due to incorrect dietary behavior. The only risk factor of the other patient was reduced mobility due to tetraplegia. In this patient venous Doppler scan of lower limbs failed to evidence venous thrombosis probably because upper extremity thrombosis is more frequent in children.

Although echocardiography is a safe and easily available test21 its diagnostic value has not been assessed, especially in infancy. As a matter of fact, echocardiography can demonstrate only indirect signs of PE such as tricuspidal regurgitation with a peak velocity >2.5 m/s, right ventricle enlargement and abnormal motion of inter-ventricular septum.22 None of these signs is specific of PE given that they could be found also in right ventricle infarction and chronic pulmonary hypertension due to respiratory diseases. These pathologies are very uncommon in pediatric patients, so the echocardiography should have theoretically a may or specificity than in adults. We lack studies about specifity and sensitivity of echocardiograms in children with PE, while in adults it has a sensitivity around 60-70% and a specificity of about 90%, with a negative predictive value of 93%.23 On the other hand, bedside echocardiography rapidly allows to demonstrate severe right ventricular dysfunction in patients with hemodynamic instability that must be treated aggressively with thrombolityc therapy.24-26

The cases described highlight the difficulty in timely diagnosing PE as it can mimic other conditions and rarely all the classic symptoms and signs of PE are present in the same patient. Our cases underline the need to keep in mind PE also in a pediatric patient presenting with unjustified tachypnea, chest pain or shortness of breath, especially if the ECG and chest X-ray are normal and the patient is hypoxic. The coexistence of thrombo-embolic risk factors should alert the clinician about the possible diagnosis of PE.27 A rapid diagnostic strategy in children must be comprehensive firstly of non-invasive tests, such as echocardiography, ABG and chest radiogram, that are safe and easily available in emergency, only when they give inconclusive information more invasive exams, involving ionizing radiations, should be considered.

Acknowledgments

None.

Conflicts of interest

Authors declare that there is no conflict of interest.

References

  1. Dijk FN, Curtin J, Lord D, Fitzgerald DA. Pulmonary embolism in children. Paediatr Respir Rev. 2012;13(2):112‒122.
  2. Stein PD, Kayali F, Olson RE. Incidence of venous thromboembolism in infants and children: data from the National Hospital Discharge Survey. J Pediatr. 2004;145(4):563‒565.
  3. Andrew M, David M, Adams M, et al. Venous thromboembolic complications (VTE) in children: first analyses of the Canadian Registry of VTE. Blood. 1994;83(5):1251‒1257.
  4. van Ommen CH, Peters M. Venous thromboembolic disease in childhood. Semin Thromb Hemost. 2003;29(4):391‒404.
  5. Buck JR, Connors RH, Coon WW, et al. Pulmonary embolism in children. J Pediatr Surg. 1981;16(3):385‒391.
  6. Silverstein MD, Heit JA, Mohr DN, et al. Trends in the incidence of deep vein thrombosis and pulmonary embolism: a 25-year population-based study. Arch Intern Med. 1998;158(6):585‒593.
  7. Andrew M, David M, Adams M, et al. Venous thromboembolic complications (VTE) in children: first analyses of the Canadian Registry of VTE. Blood. 1994;83(5):1251‒1257.
  8. Van Ommen CH, Heijboer H, Buller HR, et al. Venous thromboembolism in childhood: a prospective two-year registry in The Netherlands. J Pediatr. 2001;139(5):676‒681.
  9. Raffini L, Huang YS, Witmer C, et al. Dramatic increase in venous thromboembolism in children's hospitals in the United States from 2001 to 2007. Pediatrics. 2009;124(4):1001‒1008.
  10. Sandoval JA, Sheehan MP, Stonerock CE, et al. Incidence, and treatment patterns for deep venous thrombosis in hospitalized children: an increasing population at risk. J Vasc Surg. 2008;47(4):837‒843.
  11. Nowak-Gottl U, von Kries R, Gobel U. Neonatal symptomatic thromboembolism in Germany: two year survey. Arch Dis Child Fetal Neonatal Ed. 1997;76(3):F163‒F167.
  12. Schmidt B, Andrew M. Neonatal thrombosis: report of a prospective Canadian and international registry. Pediatrics. 1995;96(5 Pt 1):939‒943.
  13. Patocka C, Nemeth J. Pulmonary embolism in pediatrics. J Emerg Med. 2012;42(1):105‒116.
  14. Nuss R, Hays T, Manco-Johnson M. Childhood thrombosis. Pediatrics. 1995;96(2 Pt 1):291‒294.
  15. Agha BS, Sturm JJ, Simon HK, et al. Pulmonary Embolism in the Pediatric Emergency Department. Pediatrics. 2013;132(4):663‒667.
  16. Stokes S, Breheny P, Radulescu A, et al. Impact of obesity on the risk of venous thromboembolism in an inpatient pediatric population. Pediatr Hematol Oncol. 2014;31(5):475‒480.
  17. Kelly J, Rudd A, Lewis RR, et al. Plasma D-dimers in the diagnosis of venous thromboembolism. Arch Intern Med. 2002;162(7):747‒756.
  18. Konstantinides SV, Torbicki A, Agnelli G, et al. 2014 ESC guidelines on the diagnosis and management of acute pulmonary embolism. Eur Heart J. 2014;35(43):3033‒3069.
  19. Stein PD, Woodard PK, Weg JG, et al. Diagnostic pathways in acute pulmonary embolism: recommendations of the PIOPED investigators. Radiology. 2007;242(1):15‒21.  
  20. Picano E, Vañó E, Rehani MM, et al. The appropriate and justified use of medical radiation in cardiovascular imaging: a position document of the ESC Associations of Cardiovascular Imaging, Percutaneous Cardiovascular Interventions and Electrophysiology. Eur Heart J. 2014;35(10):665‒672.
  21. Presley BC, Park DB, Sterner SE, et al. Pulmonary embolism in the pediatric emergency department: a case demonstrating the application of point-of-care cardiac ultrasound in a pediatric patient with pulmonary embolism. Pediatr Emerg Care. 2014;30(11):839‒844.
  22. Goldhaber SZ. Echocardiography in the management of pulmonary embolism. Ann Intern Med. 2002;136(9):691‒700.
  23. Nazeyrollas P, Metz D, Jolly D, et al. Use of transthoracic Doppler echocardiography combined with clinical and electrocardiographic data to predict acute pulmonary embolism. Eur Heart J. 1996;17(5):779‒786.
  24. Leibowitz D. Role of echocardiography in the diagnosis and treatment of acute pulmonary thromboembolism. J Am Soc Echocardiogr. 2001;14(9):921‒926.
  25. Kurzyna M, Torbicki A, Pruszczyk P, et al. Disturbed right ventricular ejection pattern as a new Doppler echocardiographic sign of acute pulmonary embolism. Am J Cardiol. 2002;90(5):507‒511.
  26. Torbicki A, Pruszczyk P, Kurzyna M. Pulmonary embolism: role of echocardiography and of biological markers. Ital Heart J. 2005;6(10):805‒810.
  27. Van Ommen CH, Heyboer H, Groothoff JW, et al. Persistent tachypnea in children: keep pulmonary embolism in mind. J Pediatr Hematol Oncol. 1998;20(6):570‒573.
Creative Commons Attribution License

©2016 Marcì, et al. This is an open access article distributed under the terms of the, which permits unrestricted use, distribution, and build upon your work non-commercially.