Submit manuscript...
Journal of
eISSN: 2373-4396

Cardiology & Current Research

Case Report Volume 8 Issue 2

Risk Stratification in Frequent Ventricular Extrasystoles: The Importance of Cardiac Magnetic Resonance

Berrios-Barcenas E,1 Islava Galvez,2 Lainez-Zelaya J2

1Cardiology, Hospital Espa
2Cardiology, Mexican Institute of Transplantation, Mexico

Correspondence: Lainez Zelaya J, Cardiology, Mexican Institute of Transplantation, Morelos, Mexico, Tel 52 044 55 6421 0039

Received: January 26, 2017 | Published: February 1, 2017

Citation: Berrios-Barcenas E, Islava-Gálvez and Laínez-Zelaya J (2017) Risk Stratification in Frequent Ventricular Extrasystoles: The Importance of Cardiac Magnetic Resonance. J Cardiol Curr Res 8(2): 00273. DOI: 10.15406/jccr.2017.08.00273

Download PDF

Abstract

Ventricular tachycardia (VT) has a direct relationship with sudden cardiac death (SCD) and risk stratification is essential for further treatment. In a context of a structural normal heart, idiopathic VT is the principal suspicion. Cardiac magnetic resonance (CMR) is a powerfull tool to evaluate the anatomic substrate of ventricular arrhytmias. Myocarditis is a frequent cause of a arrhytmias, and is properly diagnosis by CMR. The presence of late gadolinium enhacement is relate with the diagnosis and pronostic of myocarditis.

Keywords: Ventricular extrasystole; Ventricular tachycardia; Myocarditis

Abbreviations

BPM: Beats Per Minute; CMR: Cardiac Magnetic Resonance; LBBB: Left Bundle Branch Block; LGE: Late Gadolinium Enhacement; LV: Left Ventricule; LVOT: Left Ventricular Outflow Tract; RVOT: Right Ventricular Outflow Tract; VT: Ventricular Tachycardia; SCD: Sudden Cardiac Death

Introduction

Ventricular tachycardia has a direct relationship with SCD, so risk stratification is essential for further treatment, which fluctate from expectant management or pharmacological treatment, to catheter ablation procedures or the implantation of an automatic defibrillator device. The initial step is to know the coexistence of structural heart disease using imaging technics. Myocarditis has been associated with the presence of ventricular arrhythmias with a variable prognosis. An appropriate diagnosis and risk stratification by magnetic resonance imaging can turn the treatment. The objective of the present review is to report a case of ventricular arrhythmia in which the result of CMR changed the diagnosis and subsequent treatment.

Case Presentation

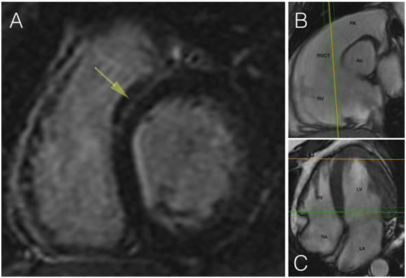
A 21 year-old man was evaluated by a cardiologist in an emergency unit with a three hours history of palpitations, lightheadedness and diaphoresis. Physical examination was unremarkable except for a heart rate of 150 bpm. No laboratory abnormalities were observed.  Electrocardiogram (ECG) showed a wide QRS complex tachyarrhythmia (Figure 1) with monomorphic ventricular tachycardia (VT) criteria. After amiodarona administration, a second ECG showed sinusal rhythm and monomorphic ventricular trigeminism (LBBB pattern with inferior axis) (Figure 2). Transthoracic echocardiogram was unremarkable. In follow-up, ECG and 24 hours ambulatory Holter showed the same of monomorphic ventricular extrasystoles in 30% of the beats. In this context, the diagnosis of idiopathic ventricular tachycardia was suspected. Three weeks later, cardiac magnetic resonance was requested and  basal interventricular septum myocarditis scar between both outflow tract, and systolic dysfunction (LVEF=48%)  was reported (Figure 3). In that context, what is the next step?

Figure 1: Widex QRS complex tachyarrhythmia. AV dissociation with AV relation ˂ 1, and onset QRS to peak in lead DII > 50 mseg was observed, supporting the diagnosis of VT.

Figure 2: ECG in sinus rithm and frequent extrasystoles with LBBB morphology, ausence or R wave in V1 and QS in  aVR derivation ≥ aVL. This findings are consitense with a posterolateral portion of the right outflow tract as the genesis of the extrasystole and VT.

Figure 3: CMR. In A we observe a lineal intramyocardial LGE in the bsal portion of interventricular septum, in correlation to the right ventricule outflow tract (B, C). This finding support the posible origen of the extrasystole and VT in relation to the scar.

Discussion

Ventricular tachycardia is a rhythm associated with sudden cardiac death (SCD) [1], therefore an adequate diagnosis is fundamental in the prognosis. ECG is the initial tool in differential diagnosis of a wide QRS complex tachycardia. The most commonly used algorithm is the so-called Brugada algorithm or Brugada criteria, in which the isolated presence of atrioventricular dissociation has specificity of 100% to support VT diagnosis [2] (Figure 1).

Premature ventricular complexes (PVCs) are ectopic beats originated from the Purkinje system or ventricular myocardium. PVCs can be classified according to the place of origin (right or left ventricle), frequency (isolated, bigeminy, trigeminy and repetitive) shape (monomorphic, polimorphic) and relationship with cardiac cycle (relationship with diastole) [3]. In cases that PVCs or VT has a LBBB morphology with a inferior axis, idiopathic VT (adenosine-sensitive outflow tract) should be suspected4, especially in young patients without structural heart disease (Figure 2). In these cases, its important to define the possible location of the ectopic focus, most of them between or inside the right and left ventricular outflow tracts, using ECG data (Table 1 & 2) [5-8]. In our case, posterolateral superior region in RVOT is the most possible source. Evolution, treatment and prognosis of this arrhythmia could be benign [9]. In other hand, this morphology is a minor criteria of arrhythmogenic right ventricular displasia, becoming the main differential diagnosis of idiopathic VT.

QRS Morphology

R Relationship in V1 Lead

Precordial QRS Transition in RS

Precordial QRS Transition in VT (da= 100%)

V2 Transition Ratio* (da = 91%)

V3 R/S Ratio (da=83%)

RVOT

LBBB

Absence

V3-V4

earlier than RS

< 0.6

≥ 1

LVOT

Present

V1-V2

≥ 0.6

< 1

Table 1: Differentiation between right ventricular outflow tract versus left ventricular outflow region VT origin by 12 lead ECG.

LBBB: Left Bundle Branch Block; LVOT: Left Ventricle Outflow Tract; NSR: Normal Sinusal Rhythm; RVOT: Right Ventricle Outflow Tract; VT: Ventricular Tachycardia.

Anterior (Free wall side) versus Posterior (Septal)

QRS duration (da = 80%)

Leads II and III R wave pattern (da=86%)

Free wall side

> 140 mseg

RR' or Rr'

Septal

≤ 140 mseg

R

Left (anteromedial attachment) versus Right (posterolateral attachemnt)

Leads aVR and aVL QS wave amplitude (da = 80%)

Lead I polarity (da = 83%)

Left side

aVR ˂ aVL

Negative

Right side

aVR ≥ aVL

Positive

Superior versus Inferior relationship to the pulmonic valve

Leads V1 and V2 initial r Wave amplitude (da = 66%)

Superior (proximal below pulmonic valve)

≥ 0.2 mV

Inferior (distal below pulmonic valve)

˂ 0.2 mV

Table 2: Estimation of exactly localization of right ventricular outflow tachycardia origins by 12 lead ECG.

mseg: Milliseconds.

Mechanism of idiopathic VT in most cases are adenosine sensitive and are thought to be caused by catecholamine induced cyclic adenosine monophosphate (cAMP) mediated delayed after-depolarizations  and triggered activity [10]. There are two phenotypic forms of adenosine sensitive VT, the first one is repetitive monomorphic VT (most common characterized by frequent premature ventricular complexes), and the second one is paroxysmal exercise induced VT (characterized by sustained episodes of VT precipitated by exercise or emotional stress) [11]. Idiopatic VT usually arises from outflow tracts (80-90% from RVOT), pulmonary artery, aortic cusps, papillary muscles, mitral o tricuspids inflow tracts and epicardial foci [12]. This arrhythmia appears at a relatively early age (30 - 50 years), with equal distribution between sexes in LVOT, whereas RVOT is more common in females. Common symptoms are palpitations, dizziness and syncope (rare) [13]. Acute management can be achieved by vagal maneuver or adenosine, verapamil or cardioversion; and chronic management include medical therapy (mild to moderate symptoms: beta blockers, verapamil, diltiazem, anthiarrhytmic class IA, IC and III agents). Catheter ablation is reserve for symptomatic, drug refractor patients, with a success rate of 90% and only 5% of recurrence [14].

In patients with malignant arrhythmias, CMR has been shown to be a powerful tool in the evaluation of the arrhythmogenic substrate. In a study of 82 patients with resuscitated SCD or VT, CMR diagnosed underlaying myocardial disease in 74% of cases, and 50% were reassigned to a new diagnosis [15]. In the case of myocarditis, CMR has shown a high specificity (91%) making it the gold standard now-a-days [16]. Most of these patients present a combination of oedema, hyperemia and late gadolinium enhacement (LGE), supported by the presence of systolic dysfunction and pericardial effusion. However, oedema and hyperemia are closely related to the acute event, and disappear after 3 weeks. Therefore, in the subacute or chronic phase, LGE may be the only histological mark of a recent inflammatory process. The presence of cardiac arrhythmias (PVC or VT) occur frequently in viral myocarditis. In a study involving 222 patients with biopsy proven myocarditis, 19.2% all-cause mortality was observed in the follow-up, mostly SCD-related, and LGE was the main independent predictor [17].  On the other hand, myocarditis was identified as the cause of SCD in 40% of cases in a Air Force recruits study  [18].  The mechanisms by which arrhythmias occur in these patients remain controversial, however, it is hypothesized that fibrosis induced by viral inflammation leads to reentrant circuits. Other proposed mechanisms are: myocyte necrosis, proarrhythmic effects of cytokines, altered function at myocardial gap junctions, altered calcium handling, infarction and protease release [18]. In other cases, the inflammatory process could unmask an subclinical cardiomyopathy or channelopathy and predispose the genesis of malignant arrhythmias.

In most cases of malignant arrhythmias secondary to myocarditis, no further treatment is required. In general, when the inflammation turn off, the arrhythmogenic substrate also disappears, and most have a good prognosis. In cases where a scar persists, we can assume a torpid evolution with ventricular remodeling, progression to cardiac failure and a high risk of SCD. However, in the context of primary prevention, there is limited evidence to support the implantation of ICDs in patients with severe sequelae of myocarditis, so it often depends on the patient's clinical context and their own evolution.

Conclusion

In patients with sustained monomorphic ventricular tachycardia and frequent extrasystole it is essential to evaluate a possible anatomical substrate with imaging techniques such as CMR. Adequate etiological diagnos is related to prognosis and treatment.

References

  1. Bayés de Luna A, Coumel P, Leclercq JF (1989) Ambulatory sudden cardiac death: mechanisms of production of fatal arrhythmias on the basis of data from 157 cases. Am Heart J 117(1): 151-159.
  2. Brugada P, Brugada J, Mont L, Smeets J, Andries EW (1991) A new approach to the differential diagnosis of a regular tachycardia with a wide QRS complex. Circulation 83(5): 1649-1659.
  3. Iturralde P (2016) Arritmias cardíacas. (4th edn), PyDESA, Mexico City, Mexico p. 87-89.
  4. Iwai S, Cantillon DJ, Kim RJ, Steven MM, Suneet Mittal, et al. (2006) Right and left ventricular outflow tract tachycardia: evidence for a common electrophysiology mechanism. J Cardiovasc Electrophysiol 17(10): 1052-1058.
  5. Tanner H, Hindricks G, Schirdewahn P, Kobza R, Dorszewski A, et al. (2008) Ourflow tract rachycardia with R/S transition in lead V3, six different anatomic approacheas for successful ablation. J Am Coll Cardiol 45(3): 418-423.
  6. Betensky BP, Park RE, Marchilinski FE, Hutchinson MD, Garcia FC, et al. (2011) The V2 transition ratio: a new electrocardiographic criterion for distinguishing left from right ventricular outflow tract tachycardia origin. J Am Coll Cardiol 57(22): 2255-2262.
  7. Kottkamp H, Chen X, Hindricks G (1995) Idiopathic left ventricle tachycardia: new insights into electrophysiological characteristics and radiofrequency catheter ablation. Pacing Clin Electrophysiol 18(6): 1285-1297.
  8. Kamakura S, Shimizu W, Matsuo K, Taguchi A, Suyama K, et al. (1998) Localization of optimal ablation site of idiopathic ventricular tachycardia from right and left ventricular outflow tract by body surface ECG. Circulation 98(15): 1525-1533.
  9. Kim RJ, Iwai S, Markowitz SM, Shah BK, Stein KM, et al. (2007) Clinical and electrophysiological spectrum of idiopathic ventricular outflow tract arrhythmia. J Cardiovasc Electrophysiol 49(20): 2035-2043.
  10. Markowitz SM, Lerman BB (2009) Mechanisms of focal ventricular outflow tract tachycardias: evidence for a common electrophysiologic mechanisms. J Cardiovasc Electrophysiol 17: 1052-1058.
  11. Lermann BB (2009). In Zipes DP (Eds.), Cardiac electrophysiology: from cell to bedside. Ventricular tachycardia in patients with structurally normal hearts. (5th edn), USA, pp. 657-668.
  12. Natale A, Raviele A, Al-Ahmad A, Alfieri O, Aliot E, et al. (2010) Venice Chart International Consensus document on ventricular tachycardia/ventricular fibrillation ablation. J Cardiovasc Electrophysiol 21(3): 339-379.
  13. Buxton AE, Waxman HL, Marchlinski FE (1983) Right ventricular tachycardia: clinical and electrophysiologic characteristics. Circulation 68(1): 917-927.
  14. Joshi S, Wilber DJ (2005) Ablation of idiophatic right ventricular outflow tract tachycardia: current perspectives. J Cardiovas Electrophysiol 16(Suppl 1): S52-58.
  15. White JA, Fine NM, Gula L, Yee R, Skanes A, et al. (2012) Utility of Cardiovascular Magnetic Resonance in Identifying Substrate for Malignant Ventricular Arrhythmias. Circ Cardiovasc Imaging 5(1): 12-20.
  16. Friedrich MG, Sechtem U, Schulz-Menger J, Holmvang G, Alakija P, et al. (2009) Cardiovascular Magnetic Resonance in Myocarditis: A JACC White Paper. J Am Coll Cardiol 53(17): 1475-1487.
  17. Grün S, Schumm J, Greulich S, Wagner A, Schneider S, et al. (2012) Long-term follow-up of biopsy-proven viral myocarditis: predictors of mortality and incomplete recovery. J Am Coll Cardiol 59(18): 1604-1615.
  18. Baksi AJ, Kanaganayagam GS, Prasad SK (2015) Arrhythmias in Viral Myocarditis and Pericarditis. Card Electrophysiol Clin 7(2): 269-281.
Creative Commons Attribution License

©2017 Berrios-Barcenas, et al. This is an open access article distributed under the terms of the, which permits unrestricted use, distribution, and build upon your work non-commercially.