Submit manuscript...
Journal of
eISSN: 2373-4396

Cardiology & Current Research

Case Report Volume 1 Issue 4

Takotsubo cardiomyopathy: a challenging diagnosis for emergency service clinicians!

Umut Ocak,1 Levent Avsarogullari,2 Ozcan Orscelik,3 Tayfun Ozturk,2 N Dogan Kaymaz,2 Ayse Ertekin,2 Deniz Elcik3

1Department of Emergency Service, Yuksekova State Hospital, Turkey
2Department of Emergency Medicine, Erciyes University Medical School, Turkey
3Department of Cardiology, Erciyes University Medical School, Turkey

Correspondence: Umut Ocak, Department of Emergency Service, Yuksekova State Hospital, Yuksekova, Hakkari, Turkey, Tel 90-544-743-7780

Received: June 18, 2014 | Published: August 4, 2014

Citation: Ocak U, Avsarogullari L, Orscelik O, et al. Takotsubo cardiomyopathy: a challenging diagnosis for emergency service clinicians! J Cardiol Curr Res. 2014;1(4):99-100. DOI: 10.15406/jccr.2014.01.00019

Download PDF

Abstract

Takotsubo cardiomyopathy (TTC) is a clinical entity characterized with transient left ventricular wall dysfunction without significant culprit obstructive coronary artery disease. For definitive diagnosis ventriculography and invasive coronary angiography are gold standard techniques. We present a case with TTC, who was first diagnosed as anterior STEMI (ST elevated myocardial infarction) in our emergency service.

Keywords: takotsubo, cardiomyopathy, coronary artery disease, emergency service

Introduction

Takotsubo Cardiomyopathy (TTC), which is characterized by chest pain, abnormalities in the wall motion of the left ventricle and electrocardiographic changes, is frequently seen after physical or emotional stress.1 The pathophysiology remains unknown, but catecholamine mediated myocardial stunning is the most favored explanation. Typically, there is hypokinesis or akinesis of the mid and apical segments of the left ventricle with sparing of the basal systolic function without obstructive coronary lesions. Supportive treatment leads to spontaneous rapid recovery in nearly all patients.2 The clinical picture usually mimics acute coronary syndrome (ACS). We present a case with TTC, who was first diagnosed as anterior STEMI in our emergency service.

Case report

A 77-year-old female patient presenting to the emergency department with chest pain was diagnosed with acute anterior myocardial infarction, but later TTC was discovered. She had squeezing chest pain that started shortly after an emotional stress. The patient had a medical history hypertension. She also noted an argument with her family and neighbor, after which progressed to chest pain associated with mild shortness of breath and sensation of warmth. Ears, nose, and throat exam was negative and there was no jugular venous distension, carotid bruits, or thyromegaly. Breath sounds were clear and equal bilaterally. Cardiovascular exam revealed a regular rate and rhythm without murmurs, rubs, gallops, or clicks. Peripheral pulses were recorded as strong and equal throughout. The abdomen was sensitive, with tenderness diffusely, but no peritoneal signs could be elicited. No femoral, umbilical, or inguinal hernias were palpable. Neurological exam revealed no focal deficit. Extremities were non tender with normal range of motion and no pedal edema. The electrocardiogram revealed a ST-segment elevation in V2 to V4 (Figure 1). Troponin T level was 0.367ng/mL (normal: 0-0.01 ng/mL). After a transthoracic echocardiogram, urgent coronary angiography and ventriculography; coronary angiography was normally, ventriculography had been Aneurysm on anterolateral, anterior and apical valve (Figure 2). TTC was considered and she was started on a β-adrenergic blocking agent and angiotensin converting enzyme inhibitor. Later that day, a repeat ECG revealed resolution of her ST-segment abnormalities. The severe left ventricular systolic dysfunction improved and normalized during the follow-up (6 days). She was discharged without any complications.

Figure 1 ST segment elevation may be detected in electrocardiography which mimics myocardial infarction.

Figure 2 Ventriculography demonstrates anteroapical balooning and hyper contractility of basal segments.

Discussion

TTC is more common in postmenopausal women and classically occurs following acute emotional or physiologic stress.3 TTC is a new entity of acute cardiac events, and patients usually recover completely without sequelae with proper diagnosis and management. Their ECG may show STE (81.6% of the patients, mainly in the precordial leads), T-wave abnormalities (64.3%) and Q waves (31.8%).4 The underlying cause of TTC is unclear; the dominating theory involves complex interactions of sympathetic-mediated myocardial stunning via catecholamine vasoconstriction inducing underlying metabolic abnormality (Figure 3).5 The TTC flow-metabolism association is based on microvascular spasm due to catecholamine excess yielding myocyte toxicity as a result of cyclic adenosine monophosphate-mediated calcium overload.6 An exact diagnosis may also prevent an inappropriate application in the setting of recurrences. There is no guideline for the treatment of TTC. Consideration in management focuses on the apparent ACS event.5 Patient presents with left heart failure and/or pulmonary congestion, current recommendations suggest diuresis, angiotensin-converting enzyme inhibitors, and hemodynamic support until the clinical situation improves and ultimately resolves. For patients with symptomatic outflow obstruction, management should include β-adrenergic blockade.7 The treatment is generally supportive according to few cases. In hospitals which coronary angiography cannot be performed, patients should be treated like patients with myocardial infarction (Figure 4). The prognosis is generally favorable. TTC are at risk for cardiogenic shock and ventricular fibrillation; most patients, however, present with mild-to-moderate left ventricular failure with a mean ejection fraction ranging from 20% to 49%. Usually resolves over 2 to 4 weeks.5 In the literature, emergency service admissions of CT patients are limited. Daoko et al.8 reported a 62 year old woman with biventricular TTC case. Sugiura et al.9 reported a CT patient with complete atrioventricular block.

Figure 3 Echocardiography shows anteroapical akinesia or diskinesia.

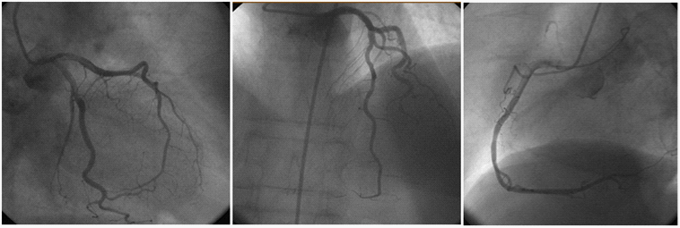
Figure 4 Significant coronary artery stenosis is not detected on coronary angiography.

Conclusion

Emergency physicians should keep in mind that TTC often is clinically indistinguishable in the acute setting from ACS.

Acknowledgments

None.

Conflicts of interest

Authors declare that there are no conflicts of interest.

References

  1. Ceyhan C, Turgut H. Tako tsubo Cardiomyopathy. Adnan Menderes University Med J. 2010;11(7):47– 55.
  2. Prasad A, Lerman A, Rihal CS. Apical ballooning syndrome (Tako Tsubo or stress cardiomyopathy): a mimic of acute myocardial infarction. Am Heart J. 2008;155(3):408– 417.
  3. Huang HD, Birnbaum Y. ST elevation: differentiation between ST elevation myocardial infarction and nonischemic ST elevation. J Electrocardiol. 2011; 44(5):494.e1–494.e12.
  4. Gianni M, Dentali F, Grandi AM, Sumner G, et al. Apical ballooning syndrome or takotsubo cardiomyopathy: a systematic review. Eur Heart J. 2006;27(13):1523–1529.
  5. Barker S, Solomon H, Bergin JD, et al. Electrocardiographic ST–segment elevation: Takotsubo cardiomyopathy versus ST–segment elevation myocardial infarction–a case series. Am J Emerg Med. 2009; 27(2):220–226.
  6. Dorfman T, Aqel R, Allred J, Woodham R, et al. Takotsubo cardiomyopathy induced by treadmill exercise testing: an insight into the pathophysiology of transient left ventricular apical (or midventricular) ballooning in the absence of obstructive coronary artery disease. J Am Coll Cardiol. 2006;49(11):1223–1225.
  7. Bybee KA, Murphy J, Prasad A, et al. Acute impairment of regional myocardial glucose uptake in the apical ballooning (Takotsubo) syndrome. J Nucl Cardiol. 2006;13(2):244–250.
  8. Daoko J, Rajachandran M, Savarese R, et al. Biventricular takotsubo cardiomyopathy: case study and review of literature. Tex Heart Inst J.2013;40(3):305–311.
  9. Sugiura T, Dohi Y, Yamashita S, Goto T, et al. Midventricular ballooning Takotsubo cardiomyopathy complicated by transient complete atrioventricular block. Intern Med. 2013;52(17):1919–1921.
Creative Commons Attribution License

©2014 Ocak, et al. This is an open access article distributed under the terms of the, which permits unrestricted use, distribution, and build upon your work non-commercially.