Submit manuscript...
Journal of
eISSN: 2373-4396

Cardiology & Current Research

Case Report Volume 3 Issue 3

Three cases of very late thrombosis after bare-metal stenting

Jerbi Bassem

Department of Cardiology, Uniersity of Sfax, Tunisia

Correspondence: Jerbi Bassem, Uniersity of Sfax, Hedi Chaker university hospital department of cardiology, Tunisia, Tel 21652768839

Received: July 01, 2015 | Published: September 3, 2015

Citation: Bassem J. Three cases of very late thrombosis after bare-metal stenting. J Cardiol Curr Res. 2015;3(3):1-6. DOI: 10.15406/jccr.2015.03.00103

Download PDF

Abstract

Very late Stent thrombosis is a rare but potentially serious complication. VLT have a severe clinical outcomes due to a high risk of cardiac death. The mechanisms of VLST after BMS are not yet fully elucidated until now. Here we report three cases of VLST after successively eight, eleven and two years of BMS implantation.

Abbreviations

VLT, very late stent thrombosis; BMS, bare metal stent; RCA, right coronary artery; TIMI, thrombosis in myocardial infarction; IVUS, intravascular ultrasound

Introduction

Definitely, very late stent Thrombosis (VLT) is an extremely rare complication of bare metal stent (BMS) due to an effective re-endothelialization almost a month after the angioplasty.1 Yet, we have recently focused on very late thrombosis (VLT) of the bare metal stent (BMS). This event is always serious because it’s responsible for high mortality due to acute myocardial infarction (AMI) or sudden cardiac death.2,3 Here, we report cases of three patients presenting VLT of BMS.

The first case

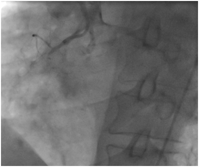
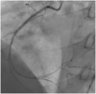
A 53year-old male without cardiovascular risk factor was admitted to our hospital in 2005 due to an inferior AMI. The culprit lesion was thrombotic occlusion of proximal right coronary artery (RCA). Primary percutaneous coronary intervention to RCA with a BMS (3.00x24mm; Liberté®; Boston scientific, Natick, Massachusetts) was done with an excellent result. No post-dilatation was needed. Dual antiplatet therapy was prescribed for one month (Clopidogrel 75mg once a day). Then; aspirin (ASA) was prescript alone for life. Eight years later, he suffered from a severe chest pain relevant to a recurrent inferior AMI. Hence, he was immediately referred for a primary angioplasty. In-stent huge thrombosis was located in the proximal edge of the stent of the RCA. IC stent® (Siemens Healthcare GmbHErlangen, Germany) had showed an underdeployment of the stent. Then, a predilatation with a non compliant Balloon had restored a TIMI III flow. He was discharged five days later with a daily 75mg of clopidogrel for 12months and 100mg of ASA associated daily for life (Figure 1-3).

Figure 1 Thrombotic occlusion at the proximal edge of the bare metal stent.

Figure 2 Underdeployment of stent on the IC stent®.

Figure 3 Final result.

The second case

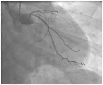
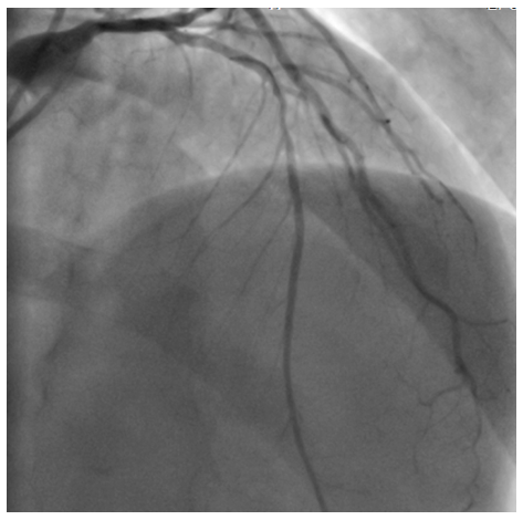
A 59-year old male, smoker, was admitted for anterior AMI with a cardiogenic shock in 2002. A primary PCI was done. In the angiogram, there was an acute thrombotic occlusion of the first segment of the LAD. A direct stenting of the culprit lesion was done successfully with a BMS (3.5/9mm; Synchro; SORIN®; Costa Mesa, California). No post-dilatation was done. Afterwards, he was discharged on ASA (100 mg once daily) and ticlopidine (500mg once daily for one month). Eleven years later, he was admitted again for chest pain due to an anterior AMI. Emergency coronary angiography revealed a total thrombotic occlusion of the stent of the LAD. On the IC stent®, there wasn’t an underdeployment. A predilatation with a balloon 2.5x15mm restored a TIMI III flow, then optimized by a non compliant balloon dilatation 3x8mm with an excellent angiographic result. He was discharged with DAPT (clopidogrel 75mg + ASA 100mg) for 3months then 100mg ASA daily alone long life. He was seen 3months later, free of any symptoms (Figure 4-6).

Figure 4 Thrombotic occlusion of the proximal LAD.

Figure 5 Excellent deployment of the stent in the IC stent®.

Figure 6 Final Result.

The third case

A 56year-old male, smoker, was admitted to our hospital in January 2013 for an inferior AMI. The culprit lesion was thrombotic occlusion of proximal right coronary artery (RCA). He had undergone primary PCI to RCA with a BMS (2.75x20mm; Liberté®, Boston scientific, Natick, Massachusetts) with an excellent angiographic result. No post dilatation was done. A scheduled PCI of the circumflex was done successfully with a drug eluted stent within two months later. Two years later, in March 2015, our patient was admitted for recurrent inferior AMI. Urgent angiography revealed a total occlusion of the proximal edge of the stent with a huge thrombosis. In IC stent®, there wasn’t an underdeployment of the stent. Intracoronary thrombus aspiration was performed and thrombus was extracted from the coronary artery with subsequent restoration of the thrombosis in Myocardial Infarction (TIMI) 3 distal flow. The patient was discharged with DAPT for 12months (Figure 7 & 8).

Figure 7 Thrombotic occlusion of the RCA.

Figure 8 Final result.

Discussion

According to definitions set by the Academic Research Consortium, VLT refers to any stent thrombosis beyond 1 year after stent implantation.4 VLT of BMS is a too scare event.5 Long-term follow-up studies revealed that VLT could occur at a rate of 0.1% per year even in patients with BMS implantation.6 Some conditions are associated with a higher risk of VLT such as calcified lesions, vein graft intervention, prior myocardial infarction, prior coronary artery bypass graft operation, prior cerebrovascular accident, prior congestive heart failure and presence of peripheral vascular disease.7

Doyle et al.,7 reported that the incidence of stent thrombosis associated with BMS is 2% in 10years. Despite remaining an uncommon complication of PCI, when stent thrombosis occurs, it can be catastrophic, commonly presenting as AMI (60%) or sudden cardiac death (20%).8

We report cases of very late stent thrombosis occurring successively at eight, eleven and two years after stent implantation. To the best of our knowledge, the most delayed case of BMS occlusion is thirteen years after stent implantation.9

Physiopathology and anapathology

Presumed causes of bare-metal stent thrombosis, both early and late, include noncompliance with antiplatelet agents.10 an exercise-induced procoagulant state 11, brachytherapy 12, small stent size, and underdeployment of a stent.13 The pathogenesis of VLT hasn’t been yet completely known. BMS doesn’t have an antiproliferative coating that can cause local hypersensitivity reactions. Several hypotheses are trying to explain mechanisms of VLT: stent underdeployment or undersizing and rupture of new atherosclerotic plaque. Histopathology studies in patients with VLT are currently very limited. Therefore, many suggest that new atherosclerotic progression occurs inside the implanted stent without peri-strut inflammation. Therefore, in order to understand the physiologic mechanisms of VLT of BMS, a monocentric study14 had identified 42 patients with VLT. Evidence for fragments of atherosclerotic plaques, such as foamy macrophages, cholesterol crystals, and thin fibrous cap, was predominantly seen in VLT (31%). Plasma level of total cholesterol and triglyceride were significantly higher in VLT cases with atherosclerotic fragments as compared with those without.

Studies with intravascular ultrasound (IVUS) from the BMS era have shown that 94% of stent thrombosis cases demonstrated at least one abnormal IVUS finding (stent under-expansion, malapposition, inflow/ outflow disease, dissection, or thrombus), while angiography demonstrated an abnormality in only 32% of cases.15 The disruption of neo-atherosclerosis plaque represents the main cause of VLT found by IVUS.16 In our patients, we didn’t perform intravascular ultrasound or OCT study before coronary angioplasty, so we couldn’t comment on the exact mechanism of ST.17 IC stent®, a stent visualization enhancement technique, had shown an underdeployment in the first case, only. Thus, an important contributing factor seems to be initial stent undersizing and malapposition of the stent. Although we had neither IVUS nor OCT in our cath lab, we have enhancement imaging technique (IC stent®). Therefore, it should be emphasized that meticulous PCI technique is important and in cases of uncertainty, IC stent® can give the information needed in order to guide angioplasty and optimize stenting.

Our patients had also undergone their first PCI, following an acute myocardial infarction. Brodie and al.,15 found that the frequency of ST after primary PCI for STEMI is high with both BMS and DES and continues to increase to at least 11years with BMS and to at least 4.5years with DES. He also reports that most of the late stent thromboses with BMS had severe restenosis associated with thrombotic occlusion, indicating that restenosis with BMS can occur very late in some patients and can result in VLT.

Conclusion

We would like to emphasize the risk of very late stent thrombosis that may be associated with BMS. Therefore, it should be emphasized that meticulous PCI technique is important and in cases of uncertainty, IC stent® might be necessary, and it can give the information needed in order to guide angioplasty and optimize stenting. Regarding our cases, we believe that late malapposition is the main mechanism of VLT. So, IC stent® is helpful in these situations.

Acknowledgments

None.

Conflicts of interest

Author declares there are no conflicts of interest.

Funding

None.

References

  1. Wenaweser P, Rey C, Eberli FR, et al. Stent thrombosis following bare-metal stent implantation: success of emergency percutaneous coronary intervention and predictors of adverse outcome. Eur Heart J. 2005;26(12):1180˗1187.
  2. Cutlip DE, Baim DS, Ho KK, et al. Stent thrombosis in the modern era: a pooled analysis of multicenter coronary stent clinical trials. Circulation. 2001;103(15):1967˗1971.
  3. Malenka DJ, O’ Rourke D, Miller MA, et al. Cause of in-hospital death in 12, 232 consecutive patients undergoing percutaneous transluminal coronary angioplasty. The Northern New England Cardiovascular Disease Study Group. Am Heart J. 1999;137(4 Pt 1):632˗638.
  4. Lemesle G, Delhayea C, Bonellob L, et al. Stent thrombosis in 2008: Definition, predictors, prognosis and treatment. Arch Cardiovasc Dis. 2008;101(11-12):769˗777.
  5. Applegate RJ, Sacrinty MT, Kutcher MA, et al. "Off-label" stent therapy 2-year comparison of drug-eluting versus bare-metal stents. J Am Coll Cardiol. 2008;51(6):607˗614.
  6. Yamaji K, Inoue K, NakahashiInoue T, et al. Bare Metal Stent Thrombosis and In-Stent Neoatherosclerosis. Circ Cardiovasc Interv . 2012;5(1):47˗54.
  7. Doyle B, Rihal CS, O'Sullivan CJ, et al. Outcomes of stent thrombosis and restenosis during extended follow-up of patients treated with bare-metal coronary stents. Circulation. 2007;116(21):2391˗2398.
  8. Armstrong EJ, Feldman DN, Wang TY, et al. “Clinical presentation, management, and outcomes of angiographically documented early, late, and very late stent thrombosis,”. JACC Cardiovasc Interv. 2012;5(2):131˗140.
  9. Sarkees ML, Bavry AA, Galla JM, et al. Bare metal stent thrombosis 13 years after implantation. Cardiovasc Revasc Med. 2009; 10(1):58˗59.
  10. Bhargava B, Karthikeyan G, Yadav R, et al. Late stent thrombosis following antiplatelet withdrawal while fasting during holy months. Indian Heart J. 2004;56(6):685.
  11. Parodi G, Antoniucci D. Late coronary stent thrombosis associated with exercise testing. Catheter Cardiovasc Interv. 2004;61(4):515˗517.
  12. Cutlip DE, Baim DS, Ho KK, et al. Stent thrombosis in the modern era: a pooled analysis of multicenter coronary stent clinical trials. Circulation. 2001;103(15):1967˗1971.
  13. Celik T, Iyisoy A, Kursaklioglu H. A case of late stent thrombosis after exercise electrocardiography: exerciseor residual plaque-induced? J Invasive Cardiol. 2005;17(5):280˗282.
  14. Brodie B, Pokharel Y, Fleishman N, et al. Very Late Stent Thrombosis After Primary Percutaneous Coronary Intervention With Bare-Metal and Drug-Eluting Stents for ST-Segment Elevation Myocardial Infarction, J Am Coll Cardiol Intv. 2011;4(1):30˗38.
  15. Uren NG, Schwarzacher SP, Metz JA, et al. Predictors and outcomes of stent thrombosis: an intravascular ultrasound registry. Eur Heart J. 2002;23(2):124˗132.
  16. Mboup MC, Moquet B, Zabalawi A, et al. Very late bare-metal stent thrombosis 10 years after the implantation: A case repor. Ann Cardiol Angeiol (Paris). 2013;62(2):435˗437.
  17. Şengül C, Erdoğan T, Dindar I. Very late bare metal stent thrombosis: The role of restenosis. Turk Kardiyol Dern Ars. 2010;38(4):282˗284.
Creative Commons Attribution License

©2015 Bassem. This is an open access article distributed under the terms of the, which permits unrestricted use, distribution, and build upon your work non-commercially.