Submit manuscript...
Journal of
eISSN: 2373-633X

Cancer Prevention & Current Research

Mini Review Volume 3 Issue 1

Advanced neuroimaging methods in the diagnosis of brain tumors

Kamil Karaali, Alper Batak

Department of Radiology, Akdeniz University Hospital, Turkey

Correspondence: Kamil Karaali, Department of Radiology, Akdeniz University Hospital, Turkey

Received: February 14, 2015 | Published: July 29, 2015

Citation: Karaali K, Batak A. Advanced neuroimaging methods in the diagnosis of brain tumors. J Cancer Prev Curr Res. 2015;3(1):205-206. DOI: 10.15406/jcpcr.2015.03.00067

Download PDF

Abstract

MRI has been the standard imaging method in the diagnosis of brain tumors. Since surgery is the first step treatment method in most brain tumors, presurgical evaluation of the location, vascularity, invasiveness, and relationship to eloquent areas should be performed.

Conventional MRI

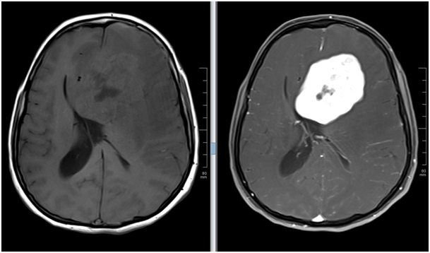
Methods are superior too the resectional imaging methods for these evaluations. In conventional MRI, sections through the brain are obtained. These images show location, and relationship of them as slesions. IV contrast materials which contains Gadolinium (Gd) is also frequently used to define vascularity and enhancement patterns of the tumors. Enhancement patterns may also used to predict tumoral grade. Low grade (grade 1 & 2) tumors usually do not show contrast enhancement, where as high grade (grade 3 & 4) tumors show prominent enhancement (Figure 1). Sensitivity of the presurgical estimation of tumor grade can be increased by using advanced neuroimaging techniques. As well some of these techniques can also be used to evaluate infiltration of the eloquent areas. These advanced techniques include diffusion-weighted imaging (DWI), diffusion tract imaging (DTI), perfusion-weighted imaging (PWI), and MR-spectroscopy (MRS).

Figure 1 Glioblastome multiforme. Left frontal mass showing intense contrast enhancement and mass effect.

DWI and DTI

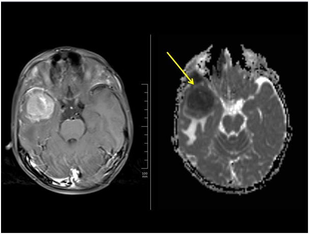
In diffusion-weighted imaging, additional gradients (which are the strong magnetic fields) are applied in very short durations. With this application, information about random molecular movements of water molecules is obtained. It is mostly used in the evaluation of strokes, since the ischemia causes restricted diffusion within the cells. However, tumors, especially cellular tumors with high nucelus/cytoplasm a ratios may also show restricted diffusion. Also, lymphomas usually show prominent restricted diffusion (Figure 2).1,2 In DTI, number of the diffusion gradient are much more than DWI. With DTI, direction of the diffusion can be measured for each voxel (smallest element of the image data), and therefore, tracts can be visualised within the brain. Presurgical evaluation of involvement or displacement of the certain tracts (such as cortico spinal tract, (Figure 3) can be shown or degree of infiltration can be estimated by measuring the diffusion parameters.

Figure 2 Lymphoma. Right temporal mass lesion. Showing intense enhancement and restricted diffusion (arrow).

Figure 3 DTI image shows displacement of the cortico spinal tract (arrows).

PWI

Inconventional MRI, contrast enhancement is seen where the blood-brain barrier is damaged, it does not show the intrinsic tumoral vascularity. In PWI, however, transmission of blood through capillaries can be measured and therefore vascularity of the tumors, which is correalated to tumor grade can be estimated. PWI can be performed by using an IV contrast (Gd), which is the dynamic-susceptibility contrast (DSC) technique, or without contrast, by labeling the protons magnetically and using them as a tracer to measure blood flow (ASL, arterial spinlabeling). The first method is more frequently used, since Gd is usually given in routine MR imaging for tumors. Use of ASL for tumors is limited due to the technical difficulties, however, it may be used especially in patients who can not be given contrast due to contraindications. High grade tumors typically show increased perfusion (Figure 4). Lymphomas usually enhances on conventional MR images however they do not show increased perfusion.3 As well as the presurgical evaluation of tumors, PWI is also valuable in follow up, especially in the differentiation of tumor recurrence, radiation necrosis or pseudoprogression.

Figure 4 Glioblastome multiforme. Perfusion weighted image shows increased perfusion of the tumor (right hand side image, red areas within tumor).

MRS

MRS allows in vivo measurement of certain metabolites, such as choline, lactate, N-acetyl aspartate, glutamate and alanine. Of these, choline (Cho) is a marker of membrane turnover and usually increased as the tumor grade increases. Lactate may also increase in high grade tumors (Figure 5).4 Usually, spectroscopic data are not used alone for the diagnosis, it is used as a supplement to other findings.

Figure 5 MR spectroscopy of a high grade tumor shows increased choline (circled) and lactate.

Acknowledgments

None.

Conflicts of interest

The authors have no financial conflicts of interest to declare.

Funding

None.

References

Creative Commons Attribution License

©2015 Karaali, et al. This is an open access article distributed under the terms of the, which permits unrestricted use, distribution, and build upon your work non-commercially.