Submit manuscript...
Journal of
eISSN: 2373-633X

Cancer Prevention & Current Research

Case Report Volume 9 Issue 1

Chemotherapy Induced Diarrhea: A Case Report

jianing Hou,1 Chen Guo,2 Guan Li,3 Guoqing Lv3

1Peking University Shenzhen Hospital, China
2Southern University of Science and Technology, China
3Peking University Shenzhen Hospital, China

Correspondence: Guoqing Lv, Department of Gastrointestinal Surgery, Peking University Shenzhen Hospital, Lianhua road No.1120, Shenzhen city, Guangdong province, Post code: 518000, China

Received: February 04, 2018 | Published: February 16, 2018

Citation: Hou J, Guo C, Li G, Lv G (2018) Chemotherapy Induced Diarrhea: A Case Report. J Cancer Prev Curr Res 9(1): 00318. DOI: 10.15406/jcpcr.2018.09.00318

Download PDF

Abstract

Background: Chemotherapy induced diarrhea (CID) is one of the most serious side–effects during cancer treatment, which can cause severe dehydration and malnutrition, or even death. Most of the CID patients could recover in a few weeks under sufficient supportive treatment.

Case presentation: We presented a complicated and long–lasting diarrhea induced by Tegafur Gimeracil Oteracil Potassium Capsule(S–1), which is widely used in Japan and China as an oral fluorouracil medicine. We analyzed the process and mechanism of complicated CID in order to offer experiences for other doctors.

Conclusion: The genesis of CID is believed a complicated process resulting from combination and interaction of multiple factors including gene mutation and enzyme deficiency, intestinal mucosa inflammation, dysbacteriosis as well as nervous system disability.

Keywords: diarrhea, CID, S–1, fluorouracil

Abbreviations

CID, chemotherapy induced diarrhea; S–1: Tegafur Gimeracil Oteracil Potassium Capsule; ENS, enteric nervous system

Introduction

Although chemotherapy in the field of gastrointestinal cancer has greatly expanded, the use of fluorouracil is still a suitable and effective choice.1–3 The gastrointestinal sideeffects of fluoruracil include nausea, vomiting, diarrhea, and ulceration, all of which present major complications resulting in prolonged hospitalization and alterations, or even cessation, of therapy.4–7

Chemotherapy induced diarrhea(CID) is definitely one of the most severe sideeffects of chemotherapy.8–10 It is usually underappreciated and poorly treated compared with other side effects like myelosuppression. We present a case of severe diarrhea induced by Tigafur Gimeracil Oteracil (S1), perhaps the safest oral fluorouracil, who was diagnosed and treated in department of gastrointestinal surgery of Peking University Shenzhen Hospital. We aim to analyze the process and mechanism of CID.

Case presentation

Case history

A 56 years old male patient was admitted by Peking University Shenzhen Hospital with a chief complaint of upper abdominal pain and distension after meals for 4 months. The patient was diagnosed as gastric antrum adenocarcinoma by endoscopic biopsy and received an operation of open distal gastrectomy (Billroth I reconstuction)+D2 lymph node dissection. The post operative pathological analysis revealed a gastric moderately and poordifferentiated adenocarcinoma with lymphnode infiltration (pT2N2M0). About 3 weeks after surgery, the patient received chemotherapy of S1 alone strategy. The dosage of medication was 60mg bid (twice per day) Day128 every 6 weeks for 6 cycles (BSA=1.64㎡). On the 21st day of first cycle, the patient suffered from a continuous left upper abdominal colic pain and severe diarrhea and readmitted by our hospital. His excrement was a nonbloody, dark yellow, watery content approximately 3 times per day. Physical examination revealed tenderness and rebound tenderness at left upper abdomen. The bowel sound was hypereactive, 12 times per minute.

Examination and treatment

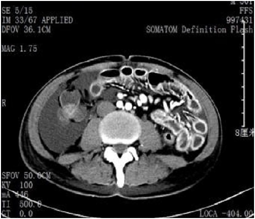
After admition, doctors in our center suspended his chemotherapy and started supportive treatment. However, the patient’s condition did not get better, the diarrhea frequency and white blood cell count increased gradually, at the same time, the albumin level and hemoglobin level decreased as a result of the consumption of severe diarrhea. Also, the patient suffered from a severe imbalance of water and electrolyte. Then we started to pay special attention to this case and try to find out the cause of his diarrhea. We gave the patient several times of stool culture and test of clostridium difficile toxin A&B, which revealed a negative result. A 5FU metabolism related genome test was also conducted to evaluate the sensitivity and tolerance of the patient for S1. The results revealed a genetic polymorphysm of gene TYMS, as well as a negative polymorphysm of gene DPD and MTHFR, which indicate a relatively good tolerance and sensitivity for the application of 5FU based chemotherapy (Figure 1). The CTscan conducted during the hospitalization periods revealed severe inflammation and edema on intestinal wall (Figure 2). The therapy was applied along with the serum evaluation and other examination. The supportive treatment includes fluid transfusion, management of water and electrolytic balance as well as albumin and blood transfusion when necessary. The pharmacological treatment is the combination of Glutamine, Celecoxib, Loperamide as well as Octreotide. The treating course is described in Figure 3.

Figure 1 The result of Gene test revealed polymorphysm of gene TYMS.

Figure 2 The CT-scan revealed severe inflammation of intestine.

Figure 3 The change of diarrhea frequency and application of medicine.

The patient was discharged after 34 days’ hospitalization. The symptoms were totally recovered. About 2 weeks after his dischargement, the patient recieved a gastrointestinal Endoscope test, which revealed anastomositis without other abnormality (Figure 4). During the whole treating course, the useful advices we could get from guidlines and past publications are really limited. The sufficient treatment is based on the detailed serum evaluation and early application of supportive treatment and pharmacological treatment.

Figure 4 The result of post-operative endoscopic test revealed anastomositis.

Discussion

CID is a dangerous and often underappreciated complication. According to the past study, CID results in treatment alternation in about 60% of the patients, complete termination of chemotherapy in 15% of the patients. The most severe CID could last for 10 years after chemotherapy. The severe dehydration related to CID would increase the early death rates in 5% of the patients under chemotherapy.1–4

Doctors had been trying to find out the mechanism of the disease. The susceptibility of patient for the physiological change was closely related to the metabolism of anticancer medications. So we had paid special attention to the genes related to the enzymes for 5FU degradation in our case. The main physiological change of the disease include malnutrition and dehydration, intestinal mucosa inflammation and bowel wall thickenning or ulceration, intestinal dysbacteriosis, which all appeared in our case above.

Chemotherapy agent metabolism deficiency

The molecular basis of chemotherapy agent toxicity (fluorouracil toxicity in this article) has been widely known as the dihydropyrimidine dehydrogenase deficiency. Which exists 35% in the general population?11–13 The reduction of DYPD leads to the prolonged existance of 5FU or its metabolic intermediate products in serum and tissue fluid, resulting in the toxicity raction of intestinal mucosa and other related organs. Besides, more than 50 more gene polymorphisms have potential relationship with the fluorouracil metabolism.14,15 There are still a large number of analyses needed to figure out every possible signal pathway of CID genesis.

Gastrointestinal mucositis

Although most of the patients didnot recieve endoscopy in the acute stage to make diagnosis for CID, it is still believed by researchers that the CID is a byproduct of gastrointestinal mucositis.16–19 The pathological change of GI mucositis include crypt ablation, villus blunt as well as epithelial atrophy in the GI tract, resulting in dysbacteriosis and abnormally activated secretion. In addition, the mucosal inflammation also plays an important role in the process of diarrhea.20,21 The inflammation was mediated by activation of nuclear factorkappa B, interleukin1, cyclooxygenase2 and prostaglandin E2, et al accroding to the former researches. There are also some researches trying to figure out the significance of AIDs (such as NSAIDs) application in the treatment of CID.22–25 The results of this analysis may influence the current therapeutic strategies towards CID.

Dysbacteriosis

The intestinal dysbacteriosis is believed to be one of the most common causes of diarrhea. Recent studies showed that chemotherapeutic administration has effects on intestinal microbial composition and fecal microbiota.26,27. The dsybacteriosis could aggravate the inflammation and mediate the modulation of inflammation response, resulting in the excreption and dehydration.28–30 In some of the guidelines for CID, the antibiotics and probiotics are recommended in the therapy.

Enteric nervous system damage

The enteric nervous system (ENS) is one of the main divisions of the nervous system. ENS consists of a meshlike serious of neurons, which govern the function of GI system. It is usually known as the second brain due to its own independent reflex activity from the CNS.31,32 The neurons of ENS located in the submucosal plexus of gastrointestinal tract to mediate the movement of mascularis and mucosal reaction to stimulation. Which work together with the endocrine and paracrine and autocrine system to mediate the movement of fluid between the body fluid and gastrointestinal tract? When the metabolism of anticancer medicine becomes abnormal, especially for the platinum, the exits of medicine in the mucosa induce damage to the ENS, and result in myenteric neuronal loss and increase of amplitude of neurally induced contractions. This mechanism has been ignored for a very long time until recent years.

As we have discussed above, the genesis of chemotherapy induced diarrhea is believed a complicated process resulting from combination and interaction of multiple factors including gene mutation and enzyme deficiency, intestinal mucosa inflammation, dysbacteriosis as well as nervous system disability. However, there are still puzzles and questions in all of the possible mechanisms.33–37 Medications towards these mechanisms still cannot work very well in quite a number of cases. Further studies and researches are needed for us to know about this disease and make the pharmacological treatment strategy more sufficient.

Acknowledgement

JH was a major contributor in writing the manuscript. CG made the diagnosis and conducted the treatment strategy for this patient. GL collected the basic data and examination results of this case. GL analyzed and concluded the past publications related to this disease. All authors read and approved the final manuscript.

Conflicts of interest

The authors declare that they have no competing interests.

Patient consent form

The data of this patient has been collected from the clinical data system of the Peking University Shenzhen Hospital with the permission of both the hospital and the patient, at the same time, the data and figures presented in this article is totally anoymous. Publication of such data does not compromise anonymity or confidentiality or breach local data protection laws.

References

  1. Stein A, Voigt W, Jordan K. Chemotherapy–induced diarrhea: pathophysiology, frequency and guideline–based management. Ther Adv Med Oncol. 2010;2(1):51–63.
  2. Ben–Arye E, Polliack A, Schiff E, et al. Advising patients on the use of non–herbal nutritional supplements during cancer therapy: a need for doctor–patient communication. J pain symptom manage. 2013;46(6):887–896.
  3. Keefe DM, Elting LS, Nguyen HT, et al. Risk and outcomes of chemotherapy–induced diarrhea (CID) among patients with colorectal cancer receiving multi–cycle chemotherapy. Cancer Chemother Pharmacol. 2014;74(4):675–680.
  4. Maroun JA, Anthony LB, Blais N, et al. Prevention and management of chemotherapy–induced diarrhea in patients with colorectal cancer: a consensus statement by the Canadian Working Group on Chemotherapy–Induced Diarrhea. Curr oncolo. 2007;14(1):13–20.
  5. Richardson G, Dobish R. Chemotherapy induced diarrhea. J Oncol Pharm Pract. 2007;13(4):181–198.
  6. Russo F, Linsalata M, Clemente C, et al. The effects of fluorouracil, epirubicin, and cyclophosphamide (FEC60) on the intestinal barrier function and gut peptides in breast cancer patients: an observational study. BMC cancer. 2013;13:56.
  7. Cantoreggi S. Helsinn: 20 years in primary cancer supportive care. Future oncology, London, England. 2016.
  8. Lee CS, Ryan EJ, Doherty GA. Gastro–intestinal toxicity of chemotherapeutics in colorectal cancer: the role of inflammation. World journal of gastroenterology. 2015;20(14):3751–3761.
  9. Lee KJ. Pharmacologic Agents for Chronic Diarrhea. Intestinal research. 2015;13(4):306–312.
  10. Tarricone R, Abu Koush D, Nyanzi–Wakholi B, et al. A systematic literature review of the economic implications of chemotherapy–induced diarrhea and its impact on quality of life. Crit Rev Oncol Hematol. 2016;99:37–48.
  11. Newton KF, Newman W, Hill J. Review of biomarkers in colorectal cancer. Colorectal disease : the official journal of the Association of Coloproctology of Great Britain and Ireland. 2012;14(1):3–17.
  12. Papanastasopoulos P, Stebbing J. Molecular basis of 5–fluorouracil–related toxicity: lessons from clinical practice. Anticancer res. 2014;4(4):1531–155.
  13. Rawat R, Kushwaha P, Das I. Magnetoresistance studies on RPd(2)Si (R = Tb, Dy, Lu) compounds. J Phys Condens Matter. 2009;21(30):306003.
  14. Hirota T, Date Y, Nishibatake Y, et al. Dihydropyrimidine dehydrogenase (DPD) expression is negatively regulated by certain microRNAs in human lung tissues. Lung cancer. 2012;77(1):16–23.
  15. Raskin GA, Pozharissky KM, Orlova RV, et al. Prognostic values of the clinical, morphological and molecular biological characteristics of colon adenocarcinoma. Arkhiv patologii. 2015;77(5):26–30.
  16. Azkur D, Yoldas T, Toyran M, et al. A pediatric case of anaphylaxis due to octreotide. Asian Pac J Allergy Immunol. 2011;29(4):361–363.
  17. Hoff PM, Saragiotto DF, Barrios CH, et al. Randomized phase III trial exploring the use of long–acting release octreotide in the prevention of chemotherapy–induced diarrhea in patients with colorectal cancer: the LARCID trial. J Clin Oncol. 22014;32(10):1006–1011.
  18. Javle MM, Cao S, Durrani FA, et al. Celecoxib and mucosal protection: translation from an animal model to a phase I clinical trial of celecoxib, irinotecan, and 5–fluorouracil. Clin Cancer Res. 2007;13(3):965–971.
  19. Melichar B, Dvorak J, Krcmova L, et al. Intestinal permeability and vitamin A absorption in patients with chemotherapy–induced diarrhea. AM J clin oncol. 2008;31(6):580–584.
  20. Pai V, Porter K, Ranalli M. Octreotide acetate is efficacious and safe in children for treating diarrhea due to chemotherapy but not acute graft versus host disease. Pediatr blood cancer. 2011;56(1):45–49.
  21. Stringer AM, Gibson RJ, Bowen JM, et al. Chemotherapy–induced mucositis: the role of gastrointestinal microflora and mucins in the luminal environment. J support oncol. 2007;5(6):259–267.
  22. Prommer EE. Established and potential therapeutic applications of octreotide in palliative care. Support Care Cancer. 2008;6(10):1117–1123.
  23. Sun J, Wang H, Hu H. Glutamine for chemotherapy induced diarrhea: a meta–analysis. Pac J Clin Nutr. 2012;21(3):380–385.
  24. Wang X, Gao J, Qian L, et al. Exogenous IL–1Ra attenuates intestinal mucositis induced by oxaliplatin and 5–fluorouracil through suppression of p53–dependent apoptosis. Anti–cancer drugs. 2015;26(1):35–45.
  25. Zachariah B, Gwede CK, James J, et al. Octreotide acetate in prevention of chemoradiation–induced diarrhea in anorectal cancer: randomized RTOG trial 0315. J Nat Cancer Inst. 2010;102(8):547–556.
  26. Salari P, Nikfar S, Abdollahi M. A meta–analysis and systematic review on the effect of probiotics in acute diarrhea. Inflamm Allergy drug targets. 2012;11(1):3–14.
  27. Wallace BD, Roberts AB, Pollet RM, et al. Structure and Inhibition of Microbiome beta–Glucuronidases Essential to the Alleviation of Cancer Drug Toxicity. Chem Biol. 2015;22(9):1238–1249.
  28. Abd El–Atti S, Wasicek K, Mark S, et al. Use of probiotics in the management of chemotherapy–induced diarrhea: a case study. JPEN Journal of parenteral and enteral nutrition. 2009;33(5):569–570.
  29. Miller AC, Elamin EM. Use of probiotics for treatment of chemotherapy–induced diarrhea: is it a myth? JPEN Journal of parenteral and enteral nutrition. 2009;33(5):573–574.
  30. Stringer AM, Gibson RJ, Logan RM, et al. Faecal microflora and beta–glucuronidase expression are altered in an irinotecan–induced diarrhea model in rats. Cancer Biol Ther. 2008;7(12):1919–1925.
  31. Ochoa–Cortes F, Turco F, Linan–Rico A, et al. Enteric Glial Cells: A New Frontier in Neurogastroenterology and Clinical Target for Inflammatory Bowel Diseases. Inflamm bowel dis. 2016;22(2):433–449.
  32. Vera G, Castillo M, Cabezos PA, et al. Enteric neuropathy evoked by repeated cisplatin in the rat. Neurogastroenterol Motil. 2011;23(4):370–3088, e162–e613.
  33. Abalo R, Uranga JA, Perez–Garcia I, et al. May cannabinoids prevent the development of chemotherapy–induced diarrhea and intestinal mucositis? Experimental study in the rat. Neurogastroenterol Motil. 2016;29(3).
  34. B VDH, Peeters M, Hendlisz A, et al. Long–acting octreotide as secondary prevention of chemotherapy–induced diarrhea: proof of concept. Minerva chir. 2016.
  35. Faiman B. Diarrhea in Multiple Myeloma: A Review of the Literature. Clin J oncol nurs. 2016;20(4):E100–E105.
  36. Robertson JP, Wells CI, Vather R, et al. Effect of Diversion Ileostomy on the Occurrence and Consequences of Chemotherapy–Induced Diarrhea. Dis Colon Rectum. 2016;59(3):194–200.
  37. Stringer AM, Gibson RJ, Logan RM, et al. Chemotherapy–induced diarrhea is associated with changes in the luminal environment in the DA rat. Exp Biol Med (Maywood). 2007;232(1):96–106.
Creative Commons Attribution License

©2018 Hou, et al. This is an open access article distributed under the terms of the, which permits unrestricted use, distribution, and build upon your work non-commercially.