Submit manuscript...
Journal of
eISSN: 2373-633X

Cancer Prevention & Current Research

Research Article Volume 9 Issue 4

Cytokeratin 5/6, p63 and ttf-1 immuno marker use in tiny non-small cell lung cancer

Farashin Rashid Muhammad,1 Intisar Salim Pity,2 Abddulazeez Sulaiman Safo,3 Ashur Y Izac4

1Pathologist, Iraq
2Professor Pathology, University of Duhok, Iraq
3College of Medicine, University of Duhok, Iraq
4Thoracic Surgeon, University of Duhok, Iraq

Correspondence: Intisar Salim Pity, Professor Pathology, College of Medicine, University of Duhok, Duhok, Iraq

Received: July 27, 2018 | Published: July 31, 2018

Citation: Muhammad FR, Pity IS, Safo AS, et al. Cytokeratin 5/6, p63 and ttf-1 immuno marker use in tiny non-small cell lung cancer. J Cancer Prev Curr Res. 2018;9(4):191-195. DOI: 10.15406/jcpcr.2018.09.00348

Download PDF

Abstract

Background and objectives: Using immunomarkers nowadays becomes a routine histologic practice. This study is designed to declare the use of p63, CK5/6 and TTF-1 immunomarkers for categorization of non-small cell lung cancer in tiny biopsy specimens.

Method: Out of 200 lung biopsy specimens, 88 non-small cell lung carcinomas were received between 2010 and 2014. All cases were formalin fixed, paraffin embedded. Specimens were processed with fully automated immunostaining instrument using monoclonal antibodies against CK5/6, p63 and TTF-1. For triple negative cases, selected antibodies and special stains were added to confirm the diagnosis and exclude mimics.

Results: In squamous cell carcinoma, Cytokeratin 5/6 showed 95.3% sensitivity, 100% specificity, 100% positive predictive value and 88.4% negative predictive value, whereas p63 sensitivity and specificity were 98.4% and 86.9% respectively with 95.5% positive predictive value and 95.2% negative predictive value. Coexpression of p63 and CK5/6 increased the sensitivity to 96.8% but decreased specificity to 87.5%. TTF-1 sensitivity for diagnosis of adenocarcinoma was 80.9% while its specificity was 100% with 100% positive predictive value and 94.3% negative predictive value.

Conclusions: The study declared the fact that CK5/6 and TTF-1 formed an optimal practical immunohistochemical panel for distinction between pulmonary squamous cell carcinoma and adenocarcinoma in the routine histologic practice. This panel offered the best discrimination, and correctly separated these two carcinomas with 100% specificity and 100% positive predictive value and decreased the undifferentiated cases. However, using CK5/6, p63 and TTF-1 couldn’t distinguish primary from metastatic lung carcinomas.

Keywords: non-small cell lung cancer, ck5/6, p63, ttf-1, immuno histochemistry, tiny biopsy

Introduction

World-wide, including Iraq, lung cancer (LC) is the second most commonly diagnosed cancer. Behind pulmonary cancer, lie a diverse and heterogeneous number of subtypes rendering it a serious threat to human life and a leading cause of cancer-related death.1‒5 This heterogeneity is reflected in the wide range of therapeutic strategies developed to combat the disease. The relationship of therapies and patient outcome with specific histologies and predictive biomarkers has made the handling of small biopsy specimens being the key factor for therapeutic and prognostic purposes. Hence the diagnosis should be reasonable.6,7 The reproducibility rate of the pathologic diagnoses, based on the routine light microscopic features is satisfactory for distinguishing small cell lung carcinoma (SCLC) from non-small cell lung carcinoma (NSCLC) and for identifying of glandular versus squamous differentiation in low grade adenocarcinoma (AC) and squamous cell carcinoma (SCC). However, it is less than satisfactory for categorization high grade NSCLC cases especially in tiny tissues8-10. The emerging evidence for differential responses of NSCLC specific subtypes to the new targeted therapies highlighted the increased need for a greater accuracy in such subtyping. Novel target therapy of lung cancer necessitates accurate diagnosis of non-small cell lung carcinoma. Several recent studies have addressed the issue of using immunohistochemistry (IHC) panels to correctly distinguish lung AC from SCC which form the commonest NSCLC.8‒12 To our best knowledge, the relative analysis of the sensitivity and specificity of specific immuno markers addressed for identifying subtypes of NSCLC in small bioptic specimens is limited in our locality and no previous study has been conducted in Kurdistan Region-Iraq in the same field. In this study, we focused on the immuno histochemical characterization of NSCLC in small biopsy samples using specific monoclonal antibodies (CK5/6 and p63 and TTF-1) to discriminate between SCC and AC and to find out the specificity and sensitivity rates of these three markers used for the same purpose.

Materials and methods

Overall, 200 lung biopsy specimens were received in Duhok Central Laboratory and Duhok Medical Private Laboratories, from January 2010 to January 2014. Of these, only 88 tiny (bronchoscopic and tru cut) biopsies were newly diagnosed NSCLC with no prior chemo or radiotherapy and thus were enrolled in the study. Information related to the patient's age at presentation and gender were obtained from patient's request forms. Two cases were excluded because of inadequate data and histopathological/immunohistochemical testing was performed on 88 patients in Histopathology Department, Central General Laboratories in Duhok-Iraq. Specimens were already fixed in 10% formalin for at least 2hours, processed and embedded in paraffin wax. Four micron-thick tissue sections were taken from the tumor and re-stained with Hematoxylin and Eosin (H&E) stains to confirm the diagnosis. The immunohistochemical technique applied was streptavidin-biotin, using monoclonal antibodies manufactured by Ventana corporation (Ventana, Rocklin, California) with 3-3'- diaminobenzidine tetrahydrochloride used as chromogen (DAB) and standard DAB detection kit (Ventana) was applied according to instructions described previously.13‒18 The primary antibodies used were monoclonal antibodies directed against cytokeratin 5/6 (REF-790-4554, Ventana, USA), p63 (4A4, Ref-790-4509, Ventana, USA) and TTF-1 (REF-760-4756, Ventana, USA). Strong positive controls (well differentiated squamous cell carcinoma for CK 5/6 and p63 and normal thyroid tissue for TTF-1) and negative controls (using globulin instead of the primary antibody) were applied with each run. After being extracted from automated immunostaining instrument, sections were counterstained with Mayer's Hematoxylin. Finally, slides were dehydrated through graded alcohols to xylen and then mounted with DPX solution and coverslipped. Immunostaining results were evaluated semi-quantitatively according to the percentage of positive tumor cells as described previous studies performed in this Laboratories.19‒21 The positivity was further evaluated according to the staining density into homogeneous (diffuse) or heterogeneous (focal). To exclude equivocal reactions, at least moderate staining intensity in more than 10% of the tumor cells was considered as diagnostically relevant positive reaction. Only cytoplasmic staining for CK5/6 and nuclear staining for p63 and TTF-1 were addressed as positive Kaufmann et al.22 The designations true and false were based on the study hypothesis that p63 and CK5/6 are expressed in all squamous cell carcinomas, not in non-squamous cell carcinomas, while TTF-1 is expressed in all adenocarcinomas, not in non-adenocarcinomas.22

For triple negative cases, a panel of Pankeratin, Vimentin, CD45 and S-100 protein was added to fix the diagnosis of carcinoma and exclude mesenchymal, hematopoietic and melanocytic neoplasms. Cases with Pankeratin positive and totally negative for vimentin and CD45, were exposed to further selective immunomarkers like CK7, CK20, EMA, monoclonal CEA, MOC-31, CD56, synaptophysin, chromogranin A, WT-1 and calretinin in addition to the special stains (PAS/PASD, mucicarmine and alcian blue stains) to confirm the diagnosis of adenocarcinoma and exclude neuroendocrine neoplasms, embryonal carcinoma and mesothelioma. The remaining negative cases were again immunostained with HMB45, Melan A, CD117, HCG, OCT3/4, CD30 and PLAP to exclude melanoma and germ cell tumors. Demographic variables and collected data were organized and tabulated. Statistics were used to summarize the numerical results. Sensitivity, specificity, positive predictive value and negative predictive value were measured as described previously.23 Double (Pankeratin and Vimentin) positive cases while negative for the above mentioned markers were exposed to extra markers, like CD34, CD31, CD99 and Bcl2 to exclude biphasic tumors.

Results

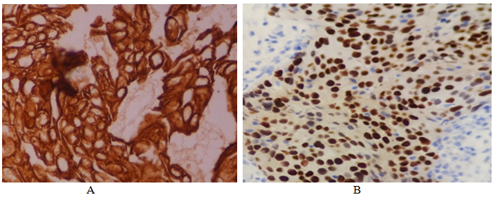
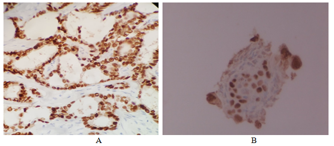
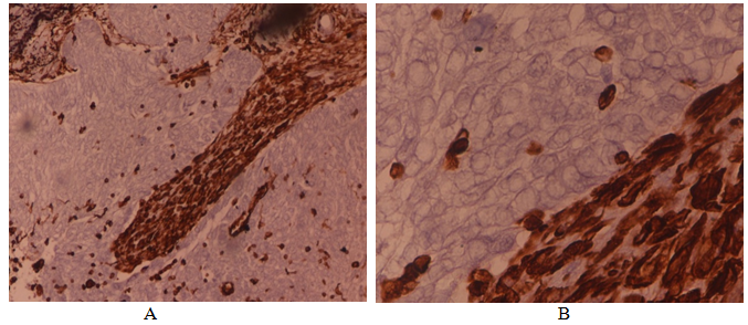
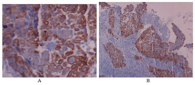
Eighty eight (74 males and 14 females) patients with tiny lung biopsy specimens, diagnosed as NSCLC, were enrolled in the study. Their ages ranged from 38-88 (mean: 41.5) year. Morphologically and before applying immunomarkers, 63 cases were diagnosed as squamous cell carcinoma, 17 adenocarcinoma and 8 undifferentiated non-small cell carcinoma. Table 1 demonstrates CK5/6, p63 and TTF-1 expression results. CK5/6 showed a strong cytoplasmic immunostaining for 61 (96.8%) SCC (Figure 1), while negative in all adenocarcinoma and undifferentiated cases. p63 expressed a strong and homogenous nuclear staining in 63 SCC cases (Figures 2A) and heterogeneous nuclear staining in 3 adenocarcinoma cases (Figure 2B).  On the other hand, TTF-1 showed a robust nuclear immunostaining in the 17 histologically diagnosed cases of adenocarcinoma (Figures 3), while negative in all cases of squamous cell carcinomas. The diagnosis of adenocarcinoma was also given for other four TTF-1 negative cases after proved to be positive for monoclonal CEA, CK7 and MOC31 immunostains in addition to PASD and mucicarmine special stains. Carcinosarcoma was addressed for 2 biphasic tumors after being stained positive for both Pankeratin in the carcinomatous component and for Vimentin in the sarcomatous compartment (Figure 4). The carcinomatous component of one case was SCC as it stained strongly positive for both CK5/6 and p63 (Figure 5), but negative for TTF-1. The carcinomatous component of the second case was negative for p63, CK5/6 and TTF-1, in addition to all the above mentioned immunomarkers and the special stains applied, hence addressed as large undifferentiated carcinoma component. The diagnosis of Non-Small Cell Lung Carcinoma-Not Otherwise Specified (NSCLC-NOS) was given for the remaining 2 Pankeratin positive cases showing triple (p63, CK5/6 and TTF-1) negative cases, after immunohistochemical exclusion of sarcoma, neuroendocrine tumors, germ cell tumors, melanoma and mesothelioma.

 

Squamous cell carcinoma
 N= 63

Adenocarcinoma
N= 21

NSCLC-NOS
 N=4

Carcinosarcoma
N=2

Marker

Positive

Negative

Positive

Negative

Positive

Negative

Positive

Negative

CK5/6

61

2

0

21

0

4

1

1

P63

63●

0

3*

18

0

4

1

1

TTF-1

0

63

17

4

0

4

0

2

Table 1 CK 5/6, p63 and TTF-1 expression in the study cases

NSCLC-NOS, non-small cell lung carcinoma not otherwise specified

●, The staining was homogenous; *, The staining was heterogeneous

Figure 1 A strong cytoplasmic CK5/6 staining in squamous cell carcinoma “A” and the carcinomatous compartment of a carcinosarcoma “B” (IHC, A, 400X, B, 100X).

Figure 2 p63 showing homogenous nuclear staining in squamous cell carcinoma “A” and heterogeneous nuclear staining in adenocarcinoma“B” (IHC, 400X).

Figure 3 Adenocarcinoma showing heterogeneous nuclear staining for p63 “A” and homogenous nuclear staining for TTF-1 “B” (IHC, A, 400X, B, 200X).

Figure 4 Strong cytoplasmic staining for vimentin in the sarcomatous compartment of carcinosarcoma (IHC, A, 100X; B, 400X).

Figure 5 A carcinosarcoma case showing strong cytoplasmic CK5/6 (A) and nuclear p63 (B) positivity in the squamous component (IHC, A, 400X, B, 250X).

CK5/6, p63 and TTF-1 sensitivity, specificity and predictive value

For diagnosis of squamous cell carcinoma, the sensitivity of CK5/6 was 95.3% and its specificity was 100% with 100% positive predictive value and 88.4% negative predictive value. Whereas, the p63 sensitivity was 98.4% while its specificity was 86.9% with 95.5% positive predictive value and 95.2% negative predictive value. Adding p63 to CK5/6 resulted in an increase in sensitivity to 96.8% while the specificity decreased to 87.5%. TTF-1 sensitivity for diagnosis of adenocarcinoma was 80.9% while its specificity was 100% with 100% positive predictive value and 94.3% negative predictive value.

Discussion

Application of a panel composed of CK5/6, p63 and TTF-1, has been shown to reduce the proportion of cases labeled as NSCLC-NOS with no definitive or probable histologic subtyping.24 In this study we used these three markers to find out their specificity and sensitivity in diagnosis of NSCLC in Duhok-Iraq. CK5/6 was found to be characteristic for SCC as it was completely negative in AC (i.e.100% specificity and 100% positive predictive value). Its sensitivity reached up to 95.3% with 88.4% negative predictive value among our series. Although most prior literature reported CK5/6 sensitivity in more than 60% of SCC, a variable expression ranging from 0-64% in bronchogenic adenocarcinoma has been reported.8,10,22,25,26 Stojisic et al.,27 in their study among Serbian population, have also demonstrated 100% sensitivity but lower specificity as it was expressed in 7.4% of all diagnosed lung ACs and 28.6% of diagnosed NSCLCs-unclassified type. A study performed by Mukhopakhyay & Katzenstein9 indicated evidenced a lower CK5/6 sensitivity of expression in lung SCC (73%) but they demonstrated as high as our specificity (100%) with completely negative immunostaining in AC and unclassified NSCLC cases.9 Different origin of SCC can profoundly affect the detection rate.22,28 The score and cut-off point used, in addition to the variable interobserver reproducibility might represent the potential selection biases. The discrepancy rates observed might be further contributed to the impact of the employed staining technique, different antibody clone used. Most of the previously published results were based on polyclonal antibodies.22,28

Owing to its high specificity and sensitivity to distinguish between SCC from AC, p63 has been recommended exclusively for small biopsy samples to differentiate these two major lung cancers.8‒10,22,26,28 Tan and Zander reported that p63 is essential in the differential diagnosis of small-cell lung carcinoma and small-cell type of SCC of the lung.29 Our findings concerning 98.4% sensitivity and 86.9% specificity of p63 expression in poorly differentiated SCC were correlated with what was reported by Mukhopadhyay and Katzenstein in their diagnostic algorithm.9 A wide range of p63 expression in SCC (50-99%) was described by Wang et al.,30 in their large meta-analysis study with a slightly decreasing sensitivity by grade. p63 has been reported to be the most sensitive marker (98.7%) for SCC but much less specific than CK5/6 and other markers like desmocollin 3, glypican 3, S-100A2, S-100A7 and SOX-2.26 The relatively lower specificity reported of p63 in SCC varies considerably with the SCC origin, being lowest in primary pulmonary SCC.22,26 It is noteworthy that we also demonstrated a heterogeneous p63 nuclear staining in AC. Similarly, Mukhopadhyay and Katzenstein also observed a positive expression of p63 in AC and large cell carcinoma.9 Given this consideration, it is useful to recall that genuine staining of p63 must be intensive and extensive. Faint or focal immunostaining for p63 should be considered nonspecific until proved otherwise.22

Whilst some authors found that working together, CK5/6 and p63 co-expression is highly specific and sensitive,10,31,32 yet others evidenced unaltered sensitivity and specificity for both markers whether used together or alone,8,29,33 Adding p63 to CK5/6 in our series resulted in an increased sensitivity to 96.8% but the specificity decreased to 87.5%. In a study done by Kaufmann et al, the results of immunostaining for CK5/6 in squamous cell and non-squamous cell carcinomas were found to be similar to p63 results with slightly anti-CK5/6 only more sensitive (0.84 vs 0.81) and slightly less specific (0.79 vs 0.86) than anti-p63 for squamous cell carcinomas.22 Thus, a high predictive value for a squamous cell carcinoma of the lung was achieved with anti-CK5/6 alone (more specific and more sensitive than p63), a finding which is exactly correlated with what was demonstrated by Kaufmann et al.22

In our study the sensitivity and positive predictive value of TTF-1 for diagnosis of AC was (80.9%) and (100%) respectively. On the other hand, all SCC cases showed a negative immunoreactivity for TTF-1 resulting in (100%) specificity and 94.3% negative predictive. These findings are coincided by a series reported by Stojsic et al.,9 Mukhopadhyay et al.,27 Contrarily, Terry et al demonstrated 97% sensitivity and 88% specificity.10 The specificity of TTF-1 antibody is more likely to be decreased if the differential is expanded to include metastatic non-pulmonary ACs.28 This helps explain absence of TTF-1 in 4 of our cases, where the diagnosis of AC (probably metastatic) was given after applying other immunomarkers and mucus-special stains. Therefore, further tests and a clinic-radiological assessment are mandatory to exclude metastatic neoplasms.

A worth mentioning point in this study is that, 4 cases were designated as ‘NSCLC-NOS’ as previously described by the 2011 IASLC/ATS/ERS guidelines, allowing patient eligibility for further molecular testing.11,24 This designation was coined since the diagnosis of large cell carcinoma has been discouraged nowadays particularly in limited biopsies or cytologic samples as none of these tumors could be diagnosed even with immunohistochemical support.11,24 This term ‘NSCLC-NOS’ was given after exclusion of epithelial, mesenchymal and hematopoietic neoplasms, melanoma, germ cell tumors and mesothelioma.

Furthermore, the two cases of carcinosarcoma showed strong vimentin positivity in the sarcomatous compartment. Whilst the carcinomatous compartment of one case was SCC because of the strong cytoplasmic expression of Pankeratin and CK5/6 and p63, but totally negative for TTF-1, the carcinomatous compartment of the second case was highly undifferentiated carcinoma (only Pankeratin and EMA were positive while negative for p63, CK5/6, TTF-1, CD56, chromogranin A, synaptophysin, S-100 protein, HMB45, Melan A, CD45, CD30, CD99, Bcl2, p63, monoclonal CEA, CD34, CD31, CD117, HCG, PLAP, AFP, WT-1 and calretinin, perhaps NSCLC-NOS compartment. Finally, some limitations were observed in this study; a relatively small number of patients (n= 88) were studied with focusing on CK5/6, TTF-1 and p63 and we didn’t consider other tissue markers like Napsin A, desmocollin 3, glypican 3, S-100A2, S-100A7 and SOX-2, despite the fact that the latter five markers are so costly with no absolute sensitivity and specificity for NSCLC in addition to the evidenced false positive results.24,26,34 Additionally, in this study, we used cores of 2.0 mm diameter. The drawback of this tiny material is in its no enough preserve material for extra markers and for more advanced tests.

Acknowledgements

None.

Conflict of interest

Author declares that there is no conflict of interest.

References

  1. Iraqi cancer registry. Results of Iraqi cancer registry 1991-2010. Baghdad: World health organization, Ministry of Health (WHO); 2012.
  2. American Cancer Society. Cancer Facts and Figures, 2014. Centers for Disease Control and Prevention. National Center for Health Statistics. National Vital Statistics Report. Deaths: Final Data for 2010. 2012;61(4).
  3. Ferlay J, Shin HR, Bray F, et al. Estimates of worldwide burden of cancer in 2008: GLOBOCAN 2008. Int J Cancer. 2010;127(12):2893‒2917.
  4. Holmberg L, Sandin F, Bray F, et al. National comparisons of lung cancer survival in England, Norway and Sweden 2001-2004: differences occur early in follow-up. Thorax. 2010;65(5):436‒441.
  5. Jemal A, Bray F, Center MM, et al. Global cancer statistics. CA Cancer J Clin. 2011;61(2):69‒90.
  6. Conde E, Angulo B, Redondo P, et al. The use of P63 immunohistochemistry for the identification of squamous cell carcinoma of the lung. PLoS One. 2010:5(8):e12209.
  7. Wilkerson MD, Yin X, Walter V, et al. Differential pathogenesis of lung adenocarcinoma subtypes involving sequence mutations, copy number, chromosomalinstability, and methylation. PLoS One. 2012:7(5):e36530.
  8. Loo PS, Thomas SC, Nicolson MC, et al. Subtyping of undifferentiated non-small cell carcinomas in bronchial biopsy specimens. J Thorac Oncol. 2010;5(4):442–447.
  9. Mukhopadhyay S, Katzenstein AL. Subclassification of non-small cell lung carcinomas lacking morphologic differentiation on biopsy specimens: utility of an immunohistochemical panel containing TTF-1, napsin A, p63, and CK5/6. Am J Surg Pathol. 2011;35(1):15–25.
  10. Terry J, Leung S, Laskin J, et al. Optimal immunohistochemical markers for distinguishing lung adenocarcinomas from squamous cell carcinomas in small tumor samples. Am J Surg Pathol. 2010;34:1805‒1811.
  11. Travis WD, Brambilla E, Noguchi M, et al. International Association for the Study of Lung Cancer/American Thoracic Society/European Respiratory Society international multidisciplinary classification of lung adenocarcinoma. J Thorac Oncol. 2011;6(2):244–285.
  12. Travis W, Rekhtman N, Riley GJ. Pathologic diagnosis of advanced lung cancer based on small biopsies and cytology, a paradigm shift. J Thorac Oncol. 2010;5(4):411–414. 
  13. George GG, Ibrahim HH, Arif SH, et al. Coexpression of HER2 and p53 in gastric and esophageal adenocarcinoma. DMJ. 2015;9(1):31‒46.
  14. Pity IS, Arif SH, Hadji DA. Angiogenesis, p53 and Bcl2 in colorectal carcinoma. IJOART. 2013;2(3):1‒6.
  15. Pity IS, Baizeed AM. Identification of helicobacter pylori in gastric biopsies of patients with chronic gastritis, histopathological, immunohistochemical study. Duhok Med J. 2011;5(1):69‒77.
  16. Pity IS, Salih AM, Hassan N. BRAFV600 gene mutation in thyroid cancer in Duhok-Iraq. DMJ. 2014;1:30‒42.
  17. Pity IS, Ibrahim SN. Cellular proliferation in oral mucosal atypia. IJSER. 2013;4(2):1‒4.
  18. Pity IS; Yousif RS. Cutis verticis gyrata and neurofibroma; A case report. DMJ. 2014;1:68‒75.
  19. Pity IS, Jalal AJ. Expression of Ki-67 and p53 in oral squamous epithelial abnormalities. Medical Journal of Babylon. 2013;10(1):85‒99.
  20. Pity IS, Jalal AJ, Napaki SME. Characterization of undifferentiated malignant spindle cell tumors, a practical immunohistochemical study in Kurdistan Region, Iraq. JABHS. 2012;13(4):24‒33.
  21. Pity IS. Histopathological and immunohistochemical approach for characterization of undifferentiated malignant tumors. JABHS. 2011;12(2):49‒57.
  22. Kaufmann O, Fietze E, Mengs J, et al. Value of p63 and cytokeratin 5/6 as immunohistochemical markers for the differential diagnosis of poorly differentiated and undifferentiated carcinomas. Am J Clin Pathol. 2001;116(6):823–830.
  23. Pity IS, Jalal AJ, Hassawi BA. Hysterectomy, a clinicopathologic study. Tikrit Medical Journal. 2011;17(2):7‒16.
  24. Kim GY, Lim SJ, Kim WS, et al. A Minimal Immunohistochemical Panel for Subtyping Poorly Differentiated Non-Small Cell Lung Carcinoma: A Tissue Microarray Study Simulating Small Biopsy Conditions. J Lung Cancer. 2012;11(1):21‒32.
  25. Camilo R, Capelozzi VL, Siqueira SA, et al. Expression of p63, keratin 5/6, keratin 7, and surfactant-A in non-small cell lung carcinomas. Hum Pathol. 2006;37(5):542–546.
  26. Tsuta K, Tanabe Y, Yoshida A, et al. Utility of 10 Immunohistochemical Markers Including Novel Markers (Desmocollin-3, Glypican 3, S100A2, S100A7, and Sox-2) for Differential Diagnosis of Squamous Cell Carcinoma from Adenocarcinoma of the Lung. Journal of Thoracic Oncology. 2011;6(7):1190‒1199.
  27. Stojsic J, Jovanic I, Markovic J, et al .Contribution of immunohistochemistry in the differential diagnosis of non-small cell lung carcinomas on small biopsy samples. J BUON. 2013;18(1):176‒187.
  28. Whithaus K, Fukuoka J, Prihoda TJ, et al. Evaluation of napsin A, cytokeratin 5/6, p63, and thyroid Transcription Factor 1 in adenocarcinoma versus squamous cell carcinoma of the lung. Arch Pathol Lab Med. 2012;136(2):155–162.
  29. Tan D, Zander DS. Immunohistochemistry for assessment of pulmonary and pleural neoplasms: a review and update. Int J Clin Exp Pathol. 2008;1:19‒31.
  30. Wang B, Han Y, Zang J. Expression of p63 in Squamous Cell Carcinoma of the Lung and its Diagnostic Significance: A Meta-Analysis. Journal of Cancer Research Updates. 2012;1:228‒38.
  31. Ordonez NG. The immunohistochemical diagnosis of mesothelioma: a comparative study of epithelioid mesothelioma and lung adenocarcinoma. Am J Surg Pathol. 2003;27(8):1031‒1051.
  32. Barletta JA, Perner S, Lafrate JA, et al. Clinical significance of TTF-1 protein expression and TTF-1 gene amplification in lung adenocarcinoma. J Cell Mol Med. 2009;13(8B):1977–86.  
  33. Chu PG, Weiss LM. Expression of cytokeratin5/6 in epithelial neoplasms: an immunohistochemical study of 509 Cases. Mod Pathol. 2002;15:6–10.
  34. Tacha D, Yu C, Bremer R, et al. A 6-Antibody Panel for the Classification of Lung Adenocarcinoma Versus Squamous Cell Carcinoma. Appl Immunohistochem Mol Morphol. 2012;20(3):201‒207.
Creative Commons Attribution License

©2018 Muhammad, et al. This is an open access article distributed under the terms of the, which permits unrestricted use, distribution, and build upon your work non-commercially.