Submit manuscript...
Journal of
eISSN: 2373-633X

Cancer Prevention & Current Research

Letter to Editor Volume 4 Issue 5

Ectopic thyroid: medullary carcinoma rarest presentation

Bhushan Kathuria,1 Vikrant kamboj,2 Sharad hernot,1 Mohit pareek1

1Department of Otolaryngology and Head and Neck Surgery, Pt BD Sharma PGIMS Rohtak, India
2Department of Otolaryngology and Head and Neck Surgery, KMC Manipal, India

Correspondence: Bhushan kathuria, Resident, Department of Otorhinolaryngology and Head and Neck Surgery, Pt B D Sharma PGIMS Rohtak, India

Received: April 03, 2016 | Published: April 19, 2016

Citation: Kathuria B, Kamboj V, Hernot S, et al. Ectopic thyroid: medullary carcinoma rarest presentation. J Cancer Prev Curr Res. 2016;4(5):144-145. DOI: 10.15406/jcpcr.2016.04.00133

Download PDF

Abstract

In evaluation of a lateral neck mass, the occurrence of a thyroid ectopic tissue and the presence of a thyroid carcinoma arising in this lesion should be taken into account.1 Although all kinds of thyroid malignancies have been reported, however papillary thyroid carcinoma is the commonest and medullary thyroid carcinoma is the rarest form of malignancy in the ectopic thyroid tissue.2 Such a malignancy is virtually always diagnosed after surgical excision of the lesion and pathological examination. Hereby we discuss an extremely rare case of ectopic medullary thyroid cancer in a 36-year-old woman.

Keywords: ectopic thyroid, lateral neck mass, medullary carcinoma

Introduction

A 36 year old female presented with a progressively growing right sided unilateral neck mass since 4 years. There was no history of any difficulty in swallowing, breathing, change in voice or any associated pain. On examination around 6X4cm, firm, non tender swelling with well defined margins and smooth surface was present in the right side of lower part of the neck. The swelling was moving with deglutition, pushing the trachea to opposite side with feeble right side carotid pulsations. On evaluation ultrasonography revealed a hypoechoic nodular lesion measuring 6.5X3.5cm, probably arising from the right lobe of thyroid gland. Also few anechoic cystic areas were noticed within the lesion with mild vascularity suggestive of a malignancy.

Further FNAC of the lesion was done, which was suggestive of spindle cell Carcinoma or thyroid malignancy, however confirmatory histopathological diagnosis was not possible and excision biopsy was adviced.

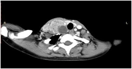
Next computerized tomography scan was planned, which demonstrated a heterogenous enhancing lobulated lesion (6X3.3X3.8cm) in the right posterior parathyroid region in carotid space displacing the right lobe of thyroid. Carotid artery was compressed anteriomedially, and jugular vein was compressed laterally. The lesion was extentding laterally beneath the sternocleomastoid muscle displacing it anteriolaterally and inferiorly it extended along the paratracheal region. The differential diagnosis on imaging was Parathyroid paraganglioma, thyroid malignancy or Schwannoma (Figure 1).

Figure 1 Computerized tomography scan which shows hetrogenous enhancing lobulated lesion (6X3.3X3.8cm) in right posterior parathyroid region in carotid space displacing right lobe of thyroid. Carotid artery compressed anteriomedially, and jugular veins compressed laterally.

Patient was planned for excision of the lesion. Intraoperatively a solid lesion was seen separate from the thyroid gland pushing the right side carotid artery medially and internal jugular vein was lying superolaterally over the mass. The mass appeared to arise within the carotid space. The thyroid gland was grossly normal. (Figure 2)The mass was excised separately leaving thyroid gland in situ

Figure 2 Shows intraoperatively finding, thyroid gland normal (arrow) and mass in right carotid space.

The histopathology report disclosed the lesion as medullary carcinoma thyroid. Retrospectively patient was evaluated postoperatively for other tumor markers (CEA - Carcinoembryonic antigen, serum Calcitonin level, Serum PTH -parathyroid harmone and 24hr urine VMA-vanillylmandelic acid levels) which were found to be normal and ultrasonography of abdomen for adrenal glands was also inconclusive.

Finally the patient underwent total thyroidectomy with central and bilateral selective neck dissection. On histopathological examination thyroid gland was normal and there was no evidence of nodal metastasis. Patient was successively followed up for 3 months with normal serum level of tumour markers.1-2

Conflicts of interest

The authors declare no conflict of interest.

Acknowledgments

None.

Funding

None.

References

Creative Commons Attribution License

©2016 Kathuria, et al. This is an open access article distributed under the terms of the, which permits unrestricted use, distribution, and build upon your work non-commercially.