Submit manuscript...
Journal of
eISSN: 2373-633X

Cancer Prevention & Current Research

Case Report Volume 12 Issue 4

Identifying necrolytic migratory erythema in glucagonoma syndrome

Rikhav Vasanwala,1 Joseph R Malhis,1 Vivek Malhotra,2 Ethan Anderson,2 Kerry J Williams-Wuch3

1PGY-3 Internal Medicine Resident, University of Arkansas for Medical Sciences Northwest Regional Campus, USA
2PGY-2 Internal Medicine Resident, University of Arkansas for Medical Sciences Northwest Regional Campus, USA
3Department of Hematology & Oncology, VA Medical Center, USA

Correspondence: Rikhav Vasanwala, PGY-3 Internal Medicine Resident, University of Arkansas for Medical Sciences, Northwest Regional Campus, Fayetteville, AR, USA

Received: July 25, 2021 | Published: August 12, 2021

Citation: Vasanwala R, Malhis JR, Malhotra V, et al. Identifying necrolytic migratory erythema in glucagonoma syndrome. J Cancer Prev Curr Res. 2021;12(4):128-131. DOI: 10.15406/jcpcr.2021.12.00465

Download PDF

Abstract

The glucagon secreted by a glucagonoma causes the combination of symptoms known as glucagonoma syndrome.1 A common presenting feature of glucagonoma syndrome is necrolytic migratory erythema (NME) occurring in about 70 to 80 percent of patients.2,3 Although this rash is can be found in a handful of other disorders, NME should raise an alarm for glucagonoma syndrome especially if present with systemic symptoms. We present a 51 year old male with a past medical history of type 2 diabetes who presented to oncology after seeing several dermatologists regarding a progressive painful pruritic papular rash along his lower extremities and groin. Previous punch biopsies did not reveal the characteristic findings of necrolytic migratory erythema and the rash was thought to be pustular psoriasis. It was only after over a year as the patient continued to worsen that a malignancy work up was done. Eventually glucagonoma syndrome was confirmed. Necrolytic migratory erythema can disguise itself as several different types of rashes. An unusual or unresponsive psoriasiform rash should prompt an investigation for an alternative diagnosis.

Keywords: necrolytic migratory erythema, glucagonoma, pustular psoriasis

Background

Glucagonomas are very rare with an annual incidence of .01 to .1 new cases per 1,000,000 with patients presenting typically in their fifties.3,4 Glucagonomas arise from the alpha cells of the pancreas and the majority of glucagonomas are present in the distal pancreas.3 Most glucagonomas are sporadic but up to 20% may be associated with MEN1. Notably glucagonomas occur in only 3% of MEN1 patients.5 Unfortunately up to 80% of glucagonomas present as metastatic disease at the time of diagnosis.6 The early clinical signs are subtle and lead to long delays in diagnosis. Necrolytic migratory erythema is the presenting feature in about 70% to 80% of patients with glucagonoma syndrome however NME is commonly mistaken for other types of rashes.1,3 Histologically, NME can appear as other conditions leading to long delays in diagnosis of the rash as well as glucagonoma syndrome.7 Typically several skin biopsies are required to find the characteristic histologic findings of NME.7 Other findings associated with glucagonoma syndrome include diabetes mellitus, stomatitis, weight loss, and normocytic anemia.8

Case report

A 49 year old male with a past medical history of DM2 initially presented to his doctor due to a painful and pruritic skin rash over his lower extremities that had been developing over the past month. A physical exam revealed several centrally indurated blisters with crusting and surrounding erythema (Figure 1).

Figure 1 Presenting NME rash over lower extremity.

Lab work was unremarkable except an albumin of 3.4, an ESR of 37, and blood glucose of 162. The initial skin biopsy returned inconclusive. After two more skin biopsies mainly demonstrating psoriasiform changes in the epidermis and perivascular lymphocyte-predominant infiltrate in the upper dermis, the patient was diagnosed with generalized annular pustular psoriasis. The patient was started on Methotrexate. The patient’s rash would wax and wane but ultimately worsen. He subsequently was tried on Acitretin then Apremilast. During a few weeks into the course of Apremilast, the patient started to notice progressive weight loss and diarrhea. The rash continued to worsen. Common side effects of Apremilast include diarrhea and weight loss which coincides with findings of glucagonoma syndrome.

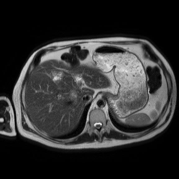
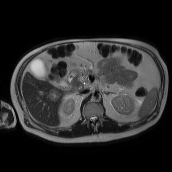
Nearly 11 months after his initial presentation, the patient presented again to his doctor for another follow up. At that point it was clear that the patient was declining rapidly. The rash had spread to his perineum and groin. He described the rash as excruciatingly painful to the point where the patient needed a wheelchair to ambulate. Upon further questioning, the patient reported a thirty pound weight loss over the prior 4 months. He still endorsed the diarrhea. A closer examination of his mouth and oral mucosa revealed dry, cracked and inflamed lips. The patient stated he had noticed this for about a year but did not make much of it. Lab work showed a new normocytic anemia with Hemoglobin of 11.4, an albumin of 2.8, and ESR of 63, and a blood sugar of 165. A malignancy work up was started at this point. CT of his abdomen revealed a pancreatic tail mass as well as three focal liver lesions which were confirmed on MRI (Figures 2-4).

Figure 2 Abdominal CT showing pancreatic tail mass.

Figure 3 Abdominal MRI showing pancreatic tail mass.

Figure 4 Abdominal MRI showing focal hepatic lesions.

He underwent a biopsy of a liver lesion which revealed a well differentiated neuroendocrine neoplasm with pancreatic origin. At this point he was referred to oncology. With the new biopsy results in hand, the patient’s previous rash diagnosis of pustular psoriasis was re-examined and uncovered to actually be necrolytic migratory erythema. Glucagon levels were drawn and found to be 2,978ng/liter confirming glucagonoma syndrome. An octreotide scan was completed for staging and lanreotide injections were initiated. The patient underwent extensive surgery including distal pancreatectomy with splenectomy, hepatic wedge resection, and omental pedicle flap to pancreas with surveillance imaging along the way. The patient is currently on his sixth cycle of temozolomide and capecitabine and shows a complete resolution of his red herring of a rash. Since his initial reading, the patient’s glucagon levels have been periodically monitored over ten months. His most recent reading is 97ng/liter (Figure 5).

Figure 3 Abdominal MRI showing pancreatic tail mass.

Discussion

Glucagonoma syndrome is a rare and elusive diagnosis but can be spotted early with a keen eye. About 70% to 80% of patients present with NME as the initial feature.3 When paired with weight loss, which is present in 60% to 80% of glucagonoma syndrome, a high clinical suspicion should be raised.9 Diabetes can also help lead to the diagnosis of glucagonoma syndrome. About 40% of patients have diabetes at initial presentation and about 75% of patients will eventually develop it.3 Other clinical manifestations of glucagonoma syndrome include venous thrombosis (up to 50%), neuropsychiatric manifestations (20%), chronic diarrhea (14% to 18%), and glossitis, stomatitis, or cheilitis (41%).9-12 Of note, a normocytic normochromic anemia is present in up to 90% of patients.9 The most common site for metastasis is the liver.13 Metastasis to the peripancreatic lymph nodes, bones, adrenal glands, kidneys, and lungs is also seen.13 Once glucagonoma is suspected, in order to detect the primary tumor and metastatic lesions, contrast-enhanced CT and contrast-enhanced MRI is used.14 Subsequently for staging, an OctreoScan has traditionally been used, as seen in the above case patient.15 However, DOTATATE PET scans are quickly becoming the imaging modality of choice for staging and localization for most well differentiated neuroendocrine tumors due to an increased sensitivity for small lesions when compared to an OctreoScan.16 Diagnosis of glucagonoma is confirmed when plasma glucagon levels exceed 500 ng/liter.3 Treatment will generally start with somatostatin analogs to control the symptoms of glucagon hypersecretion.17 Our patient in the case above was started on a lanreotide at the time of diagnosis and underwent distal pancreatic resection with splenectomy and hepatic resection. Pancreatic resection is indicated if the tumor is localized at the time of diagnosis which provides a chance for a complete cure.18 However, even when localized pre-operatively, the cure rate is only about 30%.19 Hepatic resection is also indicated for liver metastasis in the absence of diffuse bilobar involvement, compromised liver function, or extensive extrahepatic metastases.20-22 Resection does help relieve the symptoms of glucagonoma and may increase survival but most cases will not be cured by surgery.20-22 Ablation can also be used as a primary treatment modality or as an adjunct to surgical resection.21 Our case patient also underwent chemotherapy following surgery. Several studies have shown in metastatic disease, chemotherapy following aggressive surgery improves life expectancy.1,23,24 Molecularly targeted agents and peptide receptor radioligand therapy can also have roles in the management of patients with glucagonoma.25

Recognizing necrolytic migratory erythema early can greatly ease patient suffering and prevent unnecessary therapy. As seen in the above patient, an initial incorrect diagnosis of pustular psoriasis led to erroneous treatments. The adverse effects of apremilast unfortunately overlap with several features of glucagonoma syndrome further delaying the case patient’s diagnosis. Lesions similar in appearance to NME can be seen in zinc deficiency, pemphigus foliaceus, pellagra, kwashiorkor, and end-stage liver disease.1,13,26,27 NME typically begins as erythematous papules or plaques.28 Over the subsequent two weeks, the papules or plaques indurate centrally with blistering, crusting, and scaling at the borders.28 The rash is typically involves the face, perineum, and extremities.28 NME on skin biopsy demonstrates superficial necrolysis with separation of the outer layers of the epidermis and perivascular infiltration with lymphocytes and histiocytes.7 However, as previously mentioned, usually several skin biopsies are required to exhibit these findings and by that time an alternate diagnosis may have already been established.29 NME is almost ubiquitous with glucagonoma syndrome but it can also occur in a handful of other disorders including hepatitis B and cirrhosis, jejunal and rectal adenocarcinoma, villous atrophy of the small intestine, and myelodysplastic syndrome.7,29 NME in glucagonoma syndrome occurs due to decreasing levels of plasma amino acids and zinc as well as increasing levels of glucagon.6 As glucagon levels decrease to normal levels, the rash resolves.6 NME also has been shown in some cases to respond to long term amino acid infusions but data is limited and these infusions do not treat the underlying tumor.2

This case illustrates how subtle early clinical signs can uncover a veiled diagnosis. Necrolytic migratory erythema can disguise itself as several different types of rashes but an unusual or unresponsive psoriasiform rash should prompt an investigation for an alternative diagnosis especially when coupled with systemic symptoms.

Acknowledgments

None.

Conflicts of interest

The authors declare there is no conflict of interests regarding the publication of this paper.

References

  1. Chastain MA. The glucagonoma syndrome: a review of its features and discussion of new perspectives. Am J Med Sci. 2001;321(5):306‒320.
  2. Eldor R, Glaser B, Fraenkel M, et al. Glucagonoma and the glucagonoma syndrome - cumulative experience with an elusive endocrine tumour. Clin Endocrinol (Oxf). 2011;74(5):593‒598.
  3. Wermers RA, Fatourechi V, Wynne AG, et al. The glucagonoma syndrome. Clinical and pathologic features in 21 patients. Medicine (Baltimore). 1996;75(2):53‒63.
  4. Jensen RT, Cadiot G, Brandi ML, et al. Barcelona Consensus Conference participants. ENETS Consensus Guidelines for the management of patients with digestive neuroendocrine neoplasms: functional pancreatic endocrine tumor syndromes. Neuroendocrinology. 2012;95(2):98‒119.
  5. Schmidt LA, Robinson TN Jr. Low self-esteem in differentiating fearful and self-conscious forms of shyness. Psychol Rep. 1992;70(1):255‒257.
  6. O'Grady HL, Conlon KC. Pancreatic neuroendocrine tumours. Eur J Surg Oncol. 2008;34(3):324‒332.
  7. Technau K, Renkl A, Norgauer J, et al. Necrolytic migratory erythema with myelodysplastic syndrome without glucagonoma. Eur J Dermatol. 2005;15(2):110‒112.
  8. Soga J, Yakuwa Y. Glucagonomas/diabetico-dermatogenic syndrome (DDS): a statistical evaluation of 407 reported cases. J Hepatobiliary Pancreat Surg. 1998;5(3):312‒319.
  9. Song X, Zheng S, Yang G, et al. Glucagonoma and the glucagonoma syndrome. Oncol Lett. 2018;15(3):2749‒2755.
  10. Ito T, Jensen RT. Perspectives on the current pharmacotherapeutic strategies for management of functional neuroendocrine tumor syndromes. Expert Opin Pharmacother. 2021;22(6):685‒693.
  11. Stacpoole PW. The glucagonoma syndrome: clinical features, diagnosis, and treatment. Endocr Rev. 1981;2(3):347‒361.
  12. Boujan N, Géraud C. Neuropsychiatric symptoms, skin disease, and weight loss: Necrolytic migratory erythema and a glucagonoma. The Lancet. 2020;395(10228):985.
  13. Dinc B, Sahin C. Metastatic glucagonoma. Eurasian J Med. 2009;41(1):70‒72.
  14. Sundin A, Arnold R, Baudin E, et al. Antibes Consensus Conference participants. ENETS Consensus Guidelines for the Standards of Care in Neuroendocrine Tumors: Radiological, Nuclear Medicine & Hybrid Imaging. Neuroendocrinology. 2017;105(3):212‒244.
  15. Oberg K. Neuroendocrine tumors of the gastrointestinal tract: recent advances in molecular genetics, diagnosis, and treatment. Curr Opin Oncol. 2005;17(4):386‒391.
  16. Delpassand ES, Ranganathan D, Wagh N, et al. 64Cu-DOTATATE PET/CT for Imaging Patients with Known or Suspected Somatostatin Receptor-Positive Neuroendocrine Tumors: Results of the First U.S. Prospective, Reader-Masked Clinical Trial. J Nucl Med. 2020;61(6):890‒896.
  17. Rosenbaum A, Flourie B, Chagnon S, et al. Octreotide (SMS 201-995) in the treatment of metastatic glucagonoma: report of one case and review of the literature. Digestion. 1989;42(2):116‒120.
  18. Smith AP, Doolas A, Staren ED. Rapid resolution of necrolytic migratory erythema after glucagonoma resection. J Surg Oncol. 1996;61(4):306‒309.
  19. Fraker DL, Norton JA. The role of surgery in the management of islet cell tumors. Gastroenterol Clin North Am. 1989;18(4):805‒830.
  20. Glazer ES, Tseng JF, Al-Refaie W, et al. Long-term survival after surgical management of neuroendocrine hepatic metastases. HPB (Oxford). 2010;12(6):427‒433.
  21. Tran CG, Sherman SK, Chandrasekharan C, et al. Surgical Management of Neuroendocrine Tumor Liver Metastases. Surg Oncol Clin N Am. 2021;30(1):39‒55.
  22. Cloyd JM, Ejaz A, Konda B, et al. Neuroendocrine liver metastases: a contemporary review of treatment strategies. Hepatobiliary Surg Nutr. 2020;9(4):440‒451.
  23. Dourakis SP, Alexopoulou A, Georgousi KK, et al. Glucagonoma syndrome: survival 21 years with concurrent liver metastases. Am J Med Sci. 2007;334(3):225‒227.
  24. Norton JA, Warren RS, Kelly MG, et al. Aggressive surgery for metastatic liver neuroendocrine tumors. Surgery. 2003;134(6):1057‒1063.
  25. Zandee WT, Brabander T, Blažević A, et al. Symptomatic and Radiological Response to 177Lu-DOTATATE for the Treatment of Functioning Pancreatic Neuroendocrine Tumors. J Clin Endocrinol Metab. 2019;104(4):1336‒1344.
  26. Radny P, Eigentler TK, Soennichsen K, et al. Metastatic glucagonoma: treatment with liver transplantation. J Am Acad Dermatol. 2006;54(2):344‒347.
  27. Joly P, Litrowski N. Pemphigus group (vulgaris, vegetans, foliaceus, herpetiformis, brasiliensis). Clin Dermatol. 2011;29(4):432-436.
  28. Wilkinson DS. Necrolytic migratory erythema with carcinoma of the pancreas. Trans St Johns Hosp Dermatol Soc. 1973;59(2):244‒50.
  29. Kitamura Y, Sato M, Hatamochi A, et al. Necrolytic migratory erythema without glucagonoma associated with hepatitis B. Eur J Dermatol. 2005;15(1):49‒51.
Creative Commons Attribution License

©2021 Vasanwala, et al. This is an open access article distributed under the terms of the, which permits unrestricted use, distribution, and build upon your work non-commercially.