Submit manuscript...
Journal of
eISSN: 2373-633X

Cancer Prevention & Current Research

Case Report Volume 15 Issue 3

Intraparotid lipoma: a diagnostic perplexity

Sonam Sharma, Arushi Bhadwal

Department of Pathology, Vardhman Mahavir Medical College and Safdarjung Hospital, New Delhi, India

Correspondence: Sonam Sharma, Department of Pathology, Vardhman Mahavir Medical College and Safdarjung Hospital, New Delhi, India

Received: June 20, 2024 | Published: July 5, 2024

Citation: Sharma S, Bhadwal A. Intraparotid lipoma: a diagnostic perplexity.J Cancer Prev Curr Res. 2024;15(3):73-75. DOI: 10.15406/jcpcr.2024.15.00554

Download PDF

Abstract

Lipoma, a benign tumor composed of mature adipocytes, rarely makes clinicians inquisitive as it has an excellent prognosis. It is interestingly the most common and less concerned mesenchymal tumor in the adult age group. Mostly, reported in subcutaneous tissue but can be deep-seated also. However, lipoma at unusual locations like the parotid gland are often less studied and account for up to 0.6-4.4% of all documented benign parotid gland tumors. A 58-year-old female presented with a complaint of right cheek swelling which was insidious in onset, progressively increasing in size, and painless with no history of dysphagia or odynophagia. Local examination revealed a soft mobile mass with an intact facial nerve function test. Fine needle aspiration cytology of the lesion revealed findings of lipoma. The patient underwent surgical excision for the same after confirmation with radiology. Histopathology of the resected tumor confirmed features of an intraparotid lipoma. Thus, an accurate sequential approach can help plan for definitive surgery and tumor removal without risk of recurrence.

Keywords: benign, lipoma, parotid gland

Introduction

Lipomas are the most common soft tissue tumors that are encountered in clinical practice. The exact cause of lipomas is unknown, nevertheless, researchers have linked the condition to genetic anomalies, with roughly two-thirds of lipomas exhibiting these traits. Apart from the hereditary component, an alternative explanation posits a direct positive correlation between trauma and lipoma development.l Epidemiologically, they are frequently found in obese individuals especially females between 40 to 60 years of age, and rarely occur in the pediatric population. They tend to arise at almost any anatomical location of the body where fat normally exists. However, the most common sites include the upper back, shoulders, arms, and cephalic parts including the head and neck region. Superficial lipomas are commoner than the deep-seated ones. However, lipomas at unusual locations like the salivary glands have been seldom documented. These are reported with an incidence of up to 4% in the parotid gland, accounting for 0.6-4.4% of all documented benign parotid gland tumors.2 They can occur adjacent to the parotid capsule, inside the capsule, or within the substance of the parotid. We herein describe one such rare case of intraparotid lipoma in a 58-year-old female so as to create awareness among the dealing clinicians about this enigmatic entity.

Case report

A 58-year-old female presented to the otolaryngology outpatient department of our hospital with a chief complaint of right cheek swelling near the angle of the mandible. It was insidious in onset, progressively increasing in size, and was not associated with pain. There was no history of dysphagia, odynophagia, or any discharge from the swelling. Local examination revealed a well-circumscribed, non-tender, non-pulsatile, non-fluctuant, mobile, soft to firm mass measuring about 4 x 4 cm arising from the right parotid gland region. The overlying skin was normal in color (Figure 1). There was no other mass palpable in the head and neck region. Facial nerve function was sound. The rest of the otolaryngological examination was normal. Her medical history for any major disease or prior surgeries as well as her family history of any cancer, especially of the head and neck was non-contributory. Her systemic examinations were within normal limits and routine laboratory investigations were unremarkable. A provisional clinical diagnosis of a benign salivary gland neoplasm, pleomorphic adenoma was made. The ultrasonography (USG) showed a bulky right parotid gland with a hyperechoic lesion measuring 3.4 x 2.3 cm in size. However, no vascular extension was seen. Subsequently, a Contrast-Enhanced Computed Tomography (CECT) scan of the head and neck revealed a well-defined, non-enhancing, lobulated, oval fat attenuation lesion within the superficial lobe of the right parotid gland measuring about 2.7 x 2.8 x 4 cm in size. A few thin enhancing septae with a maximum thickness of 2mm were also identified within it. No local invasion or any significant cervical or mediastinal lymphadenopathy was seen. These findings indicated a benign fatty lesion of the right parotid gland. Nevertheless, the presence of fat in a patient clinically diagnosed as pleomorphic adenoma added to the diagnostic dilemma. Magnetic Resonance Imaging (MRI) was done to confirm the fatty nature of the lesion. MRI showed the parotid lesion with a similar extent as described on CECT with preserved adjacent fat planes. The well-encapsulated intraparotid lesion in the superficial lobe measured 40.8 x 16.4 x 39.4 mm and was homogenously hyperintense on T1/T2 with homogenous fat suppression as compared to surrounding parotid parenchyma. The overlying parotid capsule was intact (Figure 2). Based on these findings, a possibility of a benign lesion likely intraparotid lipoma was kept. For pathological correlation, Fine Needle Aspiration Cytology (FNAC) was performed. Smears showed the presence of benign-looking acinar cells interspersed with fat. These cytological features were in concordance with the radiological diagnosis of intraparotid lipoma. The patient underwent elective superficial parotidectomy with negative suction drainage under general anesthesia. Intraoperatively, a large fibrofatty superficial lobe parotid mass measuring 5 x 4 x 4 cm was seen. The facial nerve along with its branches was identified and preserved. The resected specimen was sent for histopathological examination. Grossly, the tumor was a grey-yellow to grey-brown soft tissue piece measuring 4.5 x 3.5 x 1.5 cm. On the cut section, fibrofatty homogenous areas were identified (Figure 3). Microscopy exhibited a well-circumscribed tumor of bland-appearing adipose tissue composed of mature adipocytes with abundant clear cytoplasm and eccentric inconspicuous nuclei intermingled with small amounts of capillary and connective tissue. No glandular elements were identified within the lesion (Figure 4). Thereby, supporting and confirming the preoperative diagnosis of intraparotid lipoma. The postoperative period of the patient was uneventful. She is on regular follow-up and is doing well with no signs of any recurrence.

Figure 1 Right parotid gland region swelling on clinical inspection.

Figure 2
(a) Axial CECT scan exhibiting a large, well-defined hypodense lesion (Hounsfield units ‑90 to ‑100 HU) showing fat density.
(b) Coronal T2W MRI showing a well-encapsulated hyperintense lesion within the superficial lobe of the right parotid gland with a homogenous fat signal.

Figure 3
(a) Excised surgical specimen.
(b) Yellowish white cut section of the resected tumor.

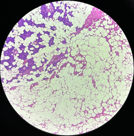
Figure 4 Photomicrograph showing mature, uniform adipocytes contained within the parotid parenchyma (H and E, x200).

Discussion

Lipoma or sialolipoma is a neoplastic lipomatous growth originating predominantly from the major salivary glands. Sialolipoma contains an epithelial component in addition to ordinary lipoma. Since lipoma in this region is extremely rare, it is often not included in the differentials of salivary gland swellings. According to the World Health Organization (WHO), it constitutes less than 0.5% of salivary gland tumors. Most lipomas develop in parotid glands, rarely in submandibular glands, and very exceptionally in minor salivary glands. They commonly involve the superficial lobe with bilobe presentation being extremely rare with only very few cases reported in the literature till date.3,4 They affect individuals who are more than 50 years of age with a predilection for male gender. The exact etiology has been not specified but risk factors include alcoholism, malnutrition, hormone imbalance, and medications. Mutations implicated are those involving reactivated expression of the HMGA2 gene on chromosome 12 and the absence of MDM2 amplification.1 They usually are asymptomatic in presentation and occur as a slow-growing mass. They might present with facial swelling and very rarely as facial nerve deformity.2,5 Parotid gland lipomas can further be classified based on location as well as histologic subtypes such as periparotid if they are found to be compressing the lateral surface of the parotid gland and intraparotid when they are surrounded by salivary gland tissue entirely.6

The diagnosis relies mainly on radiology and histopathology. Radiology plays an important role in deciphering the diagnosis. USG picture can be variable, ranging from hypoechoic to adjacent muscle, isoechoic or hypoechoic. Our case had a hyperechoic appearance. The best tools for diagnosis and surgical planning are CT scans and MRI as these tests are especially required when the mass is deep or difficult to spot. MRI remains the modality of choice and yields a typical distinct "black rim" encircling the tumor that can aid in distinguishing lipoma from healthy adipose tissue, or subcutaneous tissue.7 It is the safest as there is no exposure to radiation. Preoperative FNAC also plays a pivotal role in differentiating most of the salivary gland lesions especially while examining common parotid gland tumors.8–12 However, while some authors consider FNAC to be a reliable and useful early method for identifying parotid lipoma,13,14 others consider it unreliable because salivary gland tumors can have a high percentage of false negatives, even when an experienced and trained cytologist performs the procedure.7,15 Furthermore, lipomas' fat cells are the same as those of regular subcutaneous fat cells. Sometimes FNAC procedure causes fibrosis or adhesions between the facial nerve branches and the lipoma capsule, and this may increase the risk of facial nerve injury during surgery.16 Few authors have also mentioned that when FNAC was compared with radiological modalities like CT scans and MRI, it was observed that MRI and CT scans were more dependable with 100% accuracy in comparison to FNAC's 25% accuracy.17

Histopathological examination of the resected specimen is the gold standard for its definitive diagnosis. Grossly, the tumor is well-circumscribed yellow to tan in appearance. The cut section is homogenous and fatty. On histomorphology, although similar to mature adipose tissue, a fibrous capsule aids in distinguishing a lipoma from benign aggregation of fat. Intraparotid lipoma shows lobules of parotid parenchyma with interspersed equally spaced isomorphic adipocytes or adipose tissue surrounded by a compressed rim of salivary gland tissue. Very rarely, focal sebaceous differentiation might be encountered. Important differentials include lipomatous metaplasia in pleomorphic adenoma, myoepithelioma with co-existing lipomatosis, oncocytic lipoadenoma, non-oncocytic sialolipoma, ordinary lipoma, pseudolipoma, lobular lipomatous atrophy and primary or metastatic parotid gland masses.5,6 Ancillary techniques like immunohistochemistry and cytogenetics/molecular studies have potentially no role in the diagnosis of this rare neoplasm.

Intraparotid lipomas are surgically curable tumors with excellent prognosis and have less than 1% chance of recurrence. However, the major concerns postoperatively are the esthetical and functional results.15,18 Therefore, an understanding of anatomy and careful surgical technique is crucial. Special emphasis on blunt dissection and facial nerve sparing during the surgery should be made and this approach can successfully help to deal with such ambiguous cases.

Conclusion

Intraparotid lipoma is a rare neoplasm that should always be kept in mind while dealing with parotid gland swellings. A high index of suspicion and an accurate sequential approach including clinical evaluation, cytology as well as radiology can help plan for definitive surgery and tumor removal without risk of recurrence. Nevertheless, a definite diagnosis is usually made on histopathology as there are varieties of fat-containing parotid gland lesions that may evade detection by cytology and radiology leading to a diagnostic conundrum and a therapeutic challenge.

Acknowledgments

None.

Conflicts of interest

The authors declare that there are no conflicts of interest.

References

  1. Sonam S, Sansar CS. Giant lipoma of the shoulder: a conundrum in a child. J Med Surg Pathol.2018;3(4):171.
  2. Houle A, Mandel L. Diagnosing the parotid lipoma. Case report. NY State Dent J. 2015;81(3):48–50.
  3. Mohammadi G, Notash R. A rare case of bilobe parotid lipoma involving both superficial and deep lobe of parotid. Egypt J Ear Nose Throat Allied Sci. 2014;15(1):69–71.
  4. Lamture YR, Tabrez MO, Jaiswal S. Bilobe parotid lipoma: a rare case report of parotid involving both the superficial and deep lobe with review of literature. Int Surg J. 2016;3(2):972–974.
  5. Agaimy A. Fat-containing salivary gland tumors: a review. Head Neck Pathol. 2013;7(Suppl 1):90–96.
  6. Tong KN, Seltzer S, Castle JT. Lipoma of the parotid gland. Head Neck Pathol. 2020;14(1):220–223.
  7. Mesolella M, Ricciardiello F, Oliva F, et al. Parotid lipoma: a case report. Case Rep Clin Med. 2014;3(7):437–442.
  8. Sharma S, Mannan R, Bhasin T. Cytological diagnosis of deep-seated cellular hemangioma of the parotid gland by using cell button technique. J Cytol. 2016;33(3):174–176.
  9. Mannan R, Piplani S, Sharma S, et al. Cytological correlation of spectrum of head and neck lesions with epidemiological and diagnostic parameters. Indian J Pathol Oncol. 2017;4(1):92–97.
  10. Sharma S, Ahluwalia C, Singh M, et al. Diagnostic utility and efficacy of conventional versus surepath liquid-based cytology in head and neck pathology: a study in an Indian tertiary care hospital. Iran J Pathol. 2018;13(2):188–195.
  11. Singh P, Mittal MK, Sharma S. Thyrolipoma: a rare thyroid gland entity. Nepalese J Radiol. 2019;9(13):24–29.
  12. Sharma S, Sharma A. Pleomorphic adenoma of the buccal mucosa: a rare entity. J Cancer Prev Curr Res. 2019;10(6):146–149.
  13. Ozcan C, Unal M, Talas D, et al. Deep lobe parotid gland lipoma. J Oral Maxillofac Surg. 2002;60(4):449-450.
  14. Dellaportas D, Mantzos DS, Theodosopoulos T, et al. Parotid gland lipoma: an unusual entity. Chirurgia (Bucur). 2016;111(1):64–66.
  15. Daniels JS, Albakry I, Braimah RO, et al. Lipoma of the parotid gland: a case report and review of clinical presentation, method of investigation and management. Archives Oral Maxillofac Surg. 2021;4(2):153–158.
  16. Wu CW, Chi HP, Chiang FY, et al. Giant lipoma arising from deep lobe of the parotid gland. World J Surg Oncol. 2006;4:28.
  17. Paparo F, Massarelli M, Giuliani G. A rare case of parotid gland lipoma arising from the deep lobe of the parotid gland. Ann Maxillofac Surg. 2016;6(2):308–310. 
  18. Raju D, Srikanth GG, Rashmitha A, et al. A rare case of parotid gland lipoma arising from the superficial lobe of the parotid gland. J India Acad Oral Med Radiol. 2020;32(2):186–188.
Creative Commons Attribution License

©2024 Sharma, et al. This is an open access article distributed under the terms of the, which permits unrestricted use, distribution, and build upon your work non-commercially.