Submit manuscript...
Journal of
eISSN: 2373-633X

Cancer Prevention & Current Research

Case Report Volume 13 Issue 2

Paraneoplastic polymyositis revealing a localized breast cancer: diagnostic and therapeutic management in the medical oncology department of the CHU Mohamed VI of Marrakesh in Morocco

K El Bouaouidi, K Lakloumi, G El Mohadab, I Aitouahman, O Zouiten, M El Fadli, R Belbaraka

Mohamed VI university hospital center of Marrakech, Morocco

Correspondence: K El Bouaouidi, Mohamed VI university hospital center of Marrakech, Service d’oncologie médicale, CHU Mohammed 6, Marrakech, Morocco, Tel 00212634857544

Received: March 30, 2022 | Published: April 19, 2022

Citation: El Bouaouidi K, Lakloumi K, El Mohadab G, et al. Paraneoplastic polymyositis revealing a localized breast cancer: diagnostic and therapeutic management in the medical oncology department of the CHU Mohamed VI of Marrakesh in Morocco. J Cancer Prev Curr Res. 2022;13(2):48-49. DOI: 10.15406/jcpcr.2022.13.00486

Download PDF

Abstract

Polymyositis is an autoimmune disease marked by inflammatory myopathy. It may precede or occur simultaneously during a cancer, and even persist after treatment of the primary cancer. We report the case of a 42-year-old woman with paraneoplastic polymyositis revealing a localized breast cancer.

Case presentation

This is a 42-year-old female patient who came to our training for a physical presentation made of asthenia and proximal muscular weakness evolving progressively for one year without respiratory or deglutition difficulty. During the clinical examination, the patient presented a reduction in muscular strength, mainly in the proximal muscular belt of the inferior limbs, sparing the superior limbs. Tendon reflexes and sensitivity were normal. The patient did not present fever, neither articular, respiratory or skin signs. She did not have abdominal pain or digestive signs.

Biological examinations revealed creatine kinase (CK) level at 377 IU/L, lactate dehydrogenase (LDH) at 286 IU/L, sedimentation rate at 28 minutes. The thyroid check-up was normal as well as the electrolyte balance, the 24-hour proteinuria at 0.06g/24h, the serology of hepatitis C and B, HIV and syphilis were negative. The electromyography (EMG) was in favor of a myogenic syndrome characterized by the presence of prominent muscle membrane irritability, especially in proximal muscles, the motor unit action potential is small, short, and polyphasic. The diagnosis of polymyositis was suspected in view of these clinical and paraclinical signs, the muscle biopsy had confirmed the diagnosis.

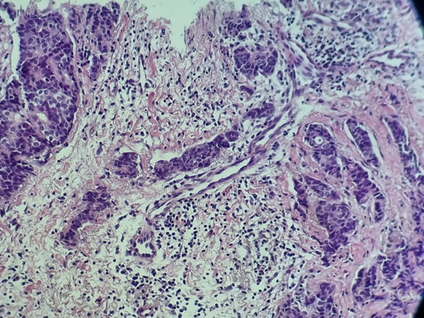
As part of the etiological diagnosis, the patient was referred to our medical oncology department at the Mohamed VI University Hospital. Our clinical examination found a two-centimeter nodule in the left breast that was mobile in relation to the two planes, and the echomammography showed a multifocal multicentric left breast with 5 nodules classified as Birads 5. The extension evaluation was mainly based on a thoracic-abdominal-pelvic scanner which did not reveal the presence of metastases. The histological diagnosis revealed the presence of a poorly differentiated infiltrating breast carcinoma (Figure 1), grade III SBR, with hormone receptors-positif , human epidermal growth factor receptor 2-negative (HR+/HER2−) and the Ki 67 is 30%.

Figure 1 Histological image showing a poorly differentiated infiltrating breast carcinoma.

In our multidisciplinary consultation meeting, we decided on a radical surgical treatment of the tumor in view of the multifocality observed on mammography. The anatomopathological results of the mastectomy showed five focal points of nonspecific grade III SBR breast carcinoma. The largest of which measured 30 mm with the presence of vascular emboli and perineuronal invasion nervous. Whereas, the various lateral and deep surgical borders were intact. Then, the patient started on adjuvant chemotherapy with Adriamycin, Cyclophosphamide and Docetaxel.

The patient showed a noted clinical benefit with an improvement in muscle strength. We started a treatment based on corticosteroids and analgesics simultaneously with the treatment of the breast cancer in collaboration with the rheumatology department of our hospital.

Discussion

Patients with breast cancer typically present with a breast mass or pathologic mammogram. Polymyositis is rarely the first presentation. It is well recognized that patients with polymyositis have an increased risk of developing malignancy.1 The most common cancers in women with idiopathic inflammatory myopathies are breast, lung and gynecological cancers.2,3 The overall risk of developing a malignancy is 2.1 for those with polymyositis, with risk before and after disease onset.4

Among the etiologies of polymyositis other than cancer have been described viral infections by human immunodeficiency virus and viral hepatitis C, human T-cell lymphotropic virus type 1 (HTLV1) and Coxsackievirus, iatrogenic causes including the use of hydralazine, procainamide, antiepileptic drugs, angiotensin converting enzyme inhibitors and statins.5 The viral serologies of hepatitis C and B, HIV and syphilitic were negative in our patient.

The pathophysiology is still unclear. The rhabdomyolysis occurring in polymyositis is explained by direct mechanisms due to the cellular immune response that develops due to the abnormal activation of cytotoxic T cells (CD8) and macrophages with some involvement of B lymphocytes and dendritic cells, and indirect mechanisms due to the release of inflammatory mediators by the cells, such as cytokines and interleukins.5,6

It is therefore possible that an immune response directed against cancer cells may be cross-reactive with regenerating muscle cells, initiating the development of the disease in genetically predisposed individuals.7

The diagnosis of polymyositis is based on a combination of clinical, biological, electrical, radiological and pathological findings, such as elevated lymphocyte count in the majority of patients. Also, thrombocytosis, creatine kinase (CK) levels may be elevated up to 50 times normal values. Several antibodies may be elevated in polymyositis, such as nonspecific antinuclear antibody (ANA), which may be positive in approximately 33% of polymyositis patients. Almost all patients with PM have abnormal electromyography (EMG) findings.5 Muscle biopsy is the essential investigation to confirm the diagnosis of myositis, showing perivascular and endomysial mononuclear infiltrates (cytotoxic T lymphocytes and macrophages) and areas of necrosis. It should be noted that several tests available in current clinical practice, such as electromyography, magnetic resonance imaging and other myositis-specific autoantibodies other than anti-Jo-1 antibodies, have not been included in the new diagnostic criteria.8 In our case, due to lack of resources, the antibody assay was not performed.

However, the CK level was 377 IU/L, the EMG and muscle biopsy was in favor of the diagnosis.

The most frequent differential diagnoses at the origin of myopathies are hydro-electolytic disorders such as hypokalemia and hypophosphatemia, endocrinological disorders such as dysthyroidism, diabetes and metabolic syndrome, certain autoimmune diseases such as dermatopolyositis, systemic lupus erythematosus, scleroderma, without forgetting Cushing's syndrome.5

In view of the multifocal multicentric character, breast conservation is technically possible in a safe way of a multifocal multicentric breast cancer while remodeling the breast in a cosmetically acceptable way.9 For our patient, a mastectomy was opted for in concert with the patient.

The immunological treatment is varied and includes the use of Corticosteroids, Tacrolimus, Cylophosphamide, intravenous immunoglobulin and Rituximab.10 As it is reported in the literature, the standard treatments of breast cancer are recommended and improve the symptomatology.11,12 For our case, the patient improved immediately after the treatment. The patient received an etiological treatment with a clear improvement without recourse to immunological treatments.

Conclusion

The search for malignancy preceding or following the appearance of polymyositis must be carried out with precision. Breast cancer is the most frequent female cancer. The mode of appearance of this cancer can be confusing and may simulate neuromuscular pictures.

Acknowledgments

None.

Conflicts of interest

Authors declare that there is no conflict of interest.

References

  1. Zantos D, Zhang Y, Felson D. The overall and temporal association of cancer with polymyositis and dermatomyositis. J Rheumatol. 1994;21(10):1855‒1859.
  2. Jakubaszek M, Kwiatkowska B, Maślińska M. Polymyositis and dermatomyositis as a risk of developing cancer. Reumatologia. 2015;53(2):101‒105.
  3. Maoz CR, Langevitz P, Livneh A, et al. High incidence of malignancies in patients with dermatomyositis and polymyositis: an 11-year analysis. Semin Arthritis Rheum. 1998;27(5):319‒324.
  4. Mammen AL. Dermatomyositis and polymyositis: Clinical presentation, autoantibodies, and pathogenesis. Ann N Y Acad Sci. 2010;1184:134‒153.
  5. Sarwar A, Dydyk AM, Jatwani S. Polymyositis. In: StatPearls [Internet]. Treasure Island (FL): StatPearls Publishing; 2022.
  6. Mammen AL. Dermatomyositis and polymyositis: Clinical presentation, autoantibodies, and pathogenesis. Ann N Y Acad Sci. 2010;1184:134‒153.
  7. Zampieri S, Valente M, Adami N, et al. Polymyositis, dermatomyositis and malignancy: a further intriguing link. Autoimmun Rev. 2010;9(6):449‒453.
  8. Sasaki H, Kohsaka H. Current diagnosis and treatment of polymyositis and dermatomyositis. Mod Rheumatol. 2018;28(6):913‒921.
  9. Masannat YA, Agrawal A, Maraqa L, et al. Multifocal and multicentric breast cancer, is it time to think again? Ann R Coll Surg Engl. 2020;102(1):62‒66.
  10. Croce S, Guèye M, Korganow AC, et al. Paraneoplastic polymyositis associated with breast cancer: a therapeutic emergency. Breast Cancer Res Treat. 2011;126(3):811‒814.
  11. Alessandro M, Giada P, Paolo B, et al. Paraneoplastic neurological syndromes and breast cancer. Regression of paraneoplastic neurological sensorimotor neuropathy in a patient with metastatic breast cancer treated with capecitabine: a case study and mini-review of the literature. Breast cancer research and treatment. 2007;105(2):133‒138.
  12. Merali N, Yousuff M, Poddar A, et al. Paraneoplastic polymyositis presenting as a clinically occult breast cancer. Annals of the Royal College of Surgeons of England. 2017;99(2):e40‒e43.
Creative Commons Attribution License

©2022 El, et al. This is an open access article distributed under the terms of the, which permits unrestricted use, distribution, and build upon your work non-commercially.