Case Report Volume 16 Issue 1
General Surgeon, Mastologist, Uruguay
Correspondence: Guarneri Carolina, General Surgeon, Mastologist, Calle 20 y 1b, Atlántida. Canelones, Uruguay
Received: April 04, 2025 | Published: April 24, 2025
Citation: Guarneri C, Santandreu J, Risso M, et al. Parathyroid carcinoma, a rare entity: a review of two clinical cases. J Cancer Prev Curr Res. 2025;16(1):28‒30. DOI: 10.15406/jcpcr.2025.16.00573
Parathyroid carcinoma (PC) is an extremely rare malignant neoplasm with an incidence of less than 1 in every 1,000,000 people. It accounts for 1% of primary hyperparathyroidism (PHPT) cases, rising to 5% in Japanese descent.
The age of onset ranges from 20 to 70 years, with no gender predominance.
This is an entity whose clinical manifestations can range from highly nonspecific to widely symptomatic and severe. Surgical treatment is essential, as this neoplasm has a high probability of local recurrence and regional and distant metastasis.
Although it is a rare entity, awareness of it is of utmost importance given the poor prognosis it carries if left untreated.
The objective of this report is not only to develop the clinical case of a rare entity, but also to provide an update on its diagnosis and timely treatment.
Female, 70 years old. She presented with a past medical history of high blood pressure and multiple left-sided kidney stones requiring four lithotripsy procedures. She presented with weakness, malaise, anorexia, and intermittent confusional episodes. Nausea and vomiting of anything she had ingested were present. Diffuse abdominal pain. Upon admission to the emergency department, the patient was found to be polypneic and dehydrated. Heart rate was 89 bpm, with no hemodynamic implications. Both lung fields were well ventilated, with 89% oxygen sat on air, which was corrected to 99% with nasal cannula. Her abdomen was distended and painful, with no defenses.
The paraclinical results show: Hb 14 g/dl. Creatinine 2.30 mg/dl; azotemia 1.21 mg/dl. Na 135 mEq/L, K 2.3 mEq/L Calcium 20.55 mg/dl, ionic Ca 2.57 mmol/l Vit D 31.95 ng/ml. PTH 2395.7 pg/ml. The patient is admitted to the ICU and begins medical treatment and hemodialysis to manage the calcemia.
Neck ultrasound: occupying the right logia, a mixed expansive process is evident, with regular contours, predominantly cystic, measuring 51 x 35 x 33 mm, displacing and compressing the parenchyma of the right lobe, with central and peripheral vascularization, taking on the appearance of a thyroid nodule, although a parathyroid origin cannot be ruled out.
Parathyroid scintigraphy with SPECT/CT (Figure 1): Hypodense nodular image measuring 48 x 40 x 37 mm located in the LD, without MIBI or pertechnetate uptake.
A PET scan with methionine was requested: hypodense nodule in the thyroid logia with close contact with the right lobe and hyperuptake in the periphery, measuring 34 x 35 mm.
A right thyroid lobectomy and isthmusectomy were performed (Figure 2) without complications. The patient's progress in the ward was good, with immediate postoperative PTH of 196 pg/ml. Pathological examination confirmed the presence of intrathyroidal carcinoma with angioinvasion (Figure 3) pT1a.
Male, 52 years old. Personal history of high blood pressure, hypothyroidism under treatment. Chronic kidney disease with preserved diuresis. Baseline creatinine level of 1.7 mg/dl.
She was admitted for symptoms of weakness and anorexia. No other significant symptoms.
The paraclinical results highlight: Calcemia of 13 mg/dl, ionic Ca of 2.2 mmol/l Vit D 39 ng/ml. PTH 706 pg/ml. Hb 14 g/dl. Creatininemia 1.76 mg/dl; azotemia 0.90 mg/dl. Na 140 mEq/L, K 3.8 mEq/L.
Medical treatment with calcitonin and palmidronate was initiated without response.
Neck ultrasound: occupying the right logia, an expansive process with regular contours of 25 x 15 x 15 mm is evident, which appears to infiltrate the parenchyma of the right lobe, with central and peripheral vascularization that appears to correspond to the right inferior parathyroid.
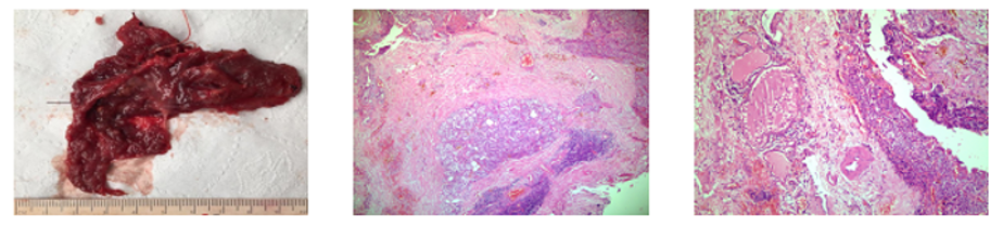
A right lobectomy and isthmusectomy with en bloc resection of the right lower parathyroid gland were performed. The postoperative outcome was good, with an initial PTH of 154 pg/ml.
Pathological anatomy (Figure 4): Parathyroid carcinoma infiltrating contiguous soft tissues and adjacent thyroid parenchyma. pT2. Associated with an encapsulated papillary microcarcinoma (microscopic finding) at the isthmus level. pT1a
Both patients are closely monitored by the endocrinology team. PTH and serum calcium levels are within normal ranges. There are no clinical or imaging indications of locoregional relapse.
The etiology of parathyroid carcinoma is still uncertain, and it is associated with both sporadic and familial forms. Among the latter, hereditary hyperparathyroidism and multiple endocrine neoplasia (MEN-1) are prominent. Authors describe an increased risk, especially in familial forms, as well as in patients with a history of neck radiation therapy.1
We highlight the second case as a clear example of an extremely rare association between thyroid and parathyroid neoplasia, making this patient a candidate for genetic evaluation.
The advent of the study of the molecular and genetic bases of different neoplasias has allowed for early diagnosis and timely treatment of several entities. Regarding PC, overexpression of the cyclin D1 oncogene increases the incidence of carcinoma by more than 40%. Likewise, MEN-1 is related to mutations in a suppressor gene on chromosome 11q13. 10 Other tumor suppressor genes linked to PC are the retinoblastoma gene or Rb 1 and the HRPT2 gene, whose mutations are not associated with familial hyperparathyroidism and are found not only in somatic form.2
Regarding the immunohistochemical study (IHC), nuclear markers such as E-cadherin, histone H1 and amyloid precursor protein bA4 could define the diagnosis of cancer with therapeutic implications.
In 95% of cases, they manifest as hyperfunctioning and therefore symptomatic, with a high incidence of nephrolithiasis and kidney failure. Wynne et al. report that between 44% and 91% of patients present with bone pain, fractures, subperiosteal resorption, osteitis fibrosa, and diffuse osteopenia.
The range of symptoms includes fatigue, weakness, polydipsia, polyuria, myalgia, arthralgia, depression, sleep disturbances, poor memory, and gastrointestinal symptoms such as anorexia, nausea, vomiting, constipation, and abdominal pain. Regional involvement is rare, with 17% to 32% presenting with lymphatic involvement at the time of diagnosis.3
Diagnosis is based on serum calcium and parathyroid hormone (PTH) levels. Clinically, parathyroid carcinoma should be suspected in the presence of hypercalcemia of more than 14 mg/dL or an albumin-corrected calcium level of >3 mmol/L, PTH greater than twice the normal level, hypercalcemia in a patient with a cervical mass or unilateral vocal cord paralysis, or, in the presence of hypercalcemia, renal disease, and skeletal disease.4
Imaging methods such as ultrasound, CT, and 99m technetium sestamibi scintigraphy are complementary but not decisive for diagnosis. They are necessary to map the lesion and assess the involvement of adjacent structures. Several reports indicate that the inferior parathyroid glands are frequently the site of CP and may coexist with parathyroid adenomas or glandular hyperplasia.5
Initial medical management of hypercalcemia is a decisive step towards surgical resolution, the latter being the only definitive treatment.
At the time of diagnosis, between 15 and 20% of patients present with regional lymphatic involvement, and more than 1/3 present with bone or lung metastasis.6
There is some controversy regarding the extent of surgical treatment. En bloc resection of the affected parathyroid gland along with the homolateral thyroid lobe is considered the treatment of choice. If necessary, tumor-infiltrated structures are included in the specimen, as is central cervical lymphadenectomy,7 especially in lesions larger than 3 cm.8
Disease recurrence after surgery is common in up to 40%-82% of cases at 5 years.5 According to Wang et al.9 this type of surgery reduces local recurrence from 54% to 37% without a clear impact on overall survival.10
The pathological diagnosis responds to the criteria of Schantz and Castleman: 1) organization in a solid structure and with a trabecular pattern (90% of cases), 2) mitotic figures in the parenchymal cells (81%), 3) capsular invasion (67%) and 4) invasion of blood vessels (12%)11 The presence of infiltration of adjacent structures, vascular invasion, of extraparathyroid vessels, as well as the presence of metastases are definitive elements of malignancy.
Regarding adjuvant treatment, the use of radiotherapy remains controversial. However, several authors have demonstrated a decrease in the rate of locoregional relapse, especially in patients with residual microscopic disease. 5,12,13
Parathyroid cancer is a rare entity whose manifestation is generally translated as severe primary hyperparathyroidism.
Diagnosis can be challenging, but timely treatment is essential. Surgical management with en bloc resection of the parathyroid, the ipsilateral thyroid lobe, and adjacent compromised structures is the only curative option.
Associated lymphadenectomy and adjuvant radiotherapy continue to be points of discussion, although there is literature that reflects their impact, reducing the percentage of locorectal relapses.
The Gamma distribution is parameterized in this paper in terms of the mean and the standard deviation. The probability density function of a Gamma distributed variable x is
No funding support was received from any organization.
No conflict of interest was declared by the authors.
©2025 Guarneri, et al. This is an open access article distributed under the terms of the, which permits unrestricted use, distribution, and build upon your work non-commercially.