Submit manuscript...
Journal of
eISSN: 2373-633X

Cancer Prevention & Current Research

Research Article Volume 13 Issue 3

PD-L1 expression in Congolese women with triple negative breast cancer

Stanislas Maseb’a Mwang Sulu,1 Bienvenu Lebwaze Massamba,1-3 Arnold Maseb Sul Sulu,1 Olivier Mukuku,4 Donatien Babaka Batalansi,1,5 Justin Esimo Mboloko,2 Stanislas Okitotsho Wembonyama,6 Antoine Tshimpi Wola2,7

1Nganda Hospital Center, Kinshasa, Democratic Republic of the Congo
2Faculty of Medicine, University of Kinshasa, Kinshasa, Democratic Republic of the Congo
3Cabinet d’Anatomie et Cytologie Pathologiques LEBOMA, Kinshasa, Democratic Republic of the Congo
4Institut Supérieur des Techniques Médicales de Lubumbashi, Lubumbashi, Democratic Republic of the Congo
5Kinshasa Provincial General Reference Hospital, Kinshasa, Democratic Republic of the Congo
6Faculty of Medicine, University of Lubumbashi, Lubumbashi, Democratic Republic of the Congo
7Marie-Yvette Clinics, Kinshasa, Democratic Republic of the Congo

Correspondence: Olivier Mukuku, Institut Supérieur des Techniques Médicales de Lubumbashi, Lubumbashi, Democratic Republic of the Congo, Tel +243997925649

Received: April 28, 2022 | Published: May 6, 2022

Citation: Sulu SMM, Massamba BL, Sulu AMS, et al. PD-L1 expression in Congolese women with triple-negative breast cancer. J Cancer Prev Curr Res. 2022;13(3):61-63. DOI: 10.15406/jcpcr.2022.13.00489

Download PDF

Abstract

Introduction: Inhibition of antibody interaction against Programmed Death-Ligand 1 (PD-L1) is becoming a valuable therapeutic strategy in the management of breast cancer (BC). The expression of PD-L1 in Congolese patients with metastatic triple-negative breast cancer (TNBC) has never been reported.

Methods: We investigated PD-L1 expression in a series of Congolese patients diagnosed with TNBC. Immunohistochemical analyzes were performed using anti-PD-L1 antibodies.

Results: In this study, the expression of PD-L1 in samples of patients with TNBC in Kinshasa (Democratic Republic of the Congo) was evaluated. Appropriate tissue samples were available from 14 patients with TNBC. Tumor sections incorporated in paraffin were stained with the PD-L1 antibody. The PD-L1 positive expression rate in TNBC was 71.43% (10/14).

Conclusion: This study quantified the expression of PD-L1 in TNBC for the first time in a Congolese cohort. This opens the possibility of exploring anti-PD-L1 therapy to treat the most aggressive TNBCs of the Congolese population.

Keywords: breast cancer, triple-negative, PD-L1, immunohistochemistry, Kinshasa

Abbreviations

BC, breast cancer; DRC, Democratic Republic of the Congo; ER, estrogen receptor; HER2, human epidermal growth factor receptor 2; PD-1, programmed cell death 1; PD-L1, programmed death-ligand 1; PR, progesterone receptor; RTU, ready to use; TNBC, triple-negative breast cancer

Introduction

Triple-negative breast cancer (TNBC), which represents for 10-20% of all breast cancers (BCs), is distinguished by the absence of expression of estrogen receptors (ER), progesterone receptors (PR), and human epidermal growth factor receptors 2 (HER2).1,2 It is more immunogenic than other BC subtypes.3 In accordance with the American Society of Clinical Oncology/College of American Pathologists guidelines, immunohistochemical features of TNBC are ≤1% cellular expression of ER and PR, and HER2 expression of 0 to 1+, or 2+; and fluorescence in situ hybridization negative.4,5 Depending on its distinct transcriptional subtypes, TNBC is subdivided into 6 different subgroups based on molecular heterogeneity: Basal-like; luminal androgen receptor expression; mesenchymal stem-like; mesenchymal-like; immunomodulatory; and unstable type.6

In comparison to other subtypes of BCs, TNBCs are commonly aggressive high-grade tumors characterized by a high rate of metastasis and a reduced rate of disease-specific survival.1,7 Even though traditional chemotherapy schemes have an activity against these tumors, poor outcomes occur. Because of their immunohistochemical characteristics (ER-, PR-, and HER2-), TNBCs are without a real therapeutic target.8 As a result, new therapeutic approaches are needed to enhance the management of TNBC patients.9 Since many years, researchers have recognized the relevance of the microenvironment and immune-mediated factors in the BC.10 It has recently become an essential tool in the treatment of this subtype of cancer, following the recognition of the substantial role that these processes have in some BCs.11,12 Traditionally, BC was not thought to be an immunogenic malignant tumor. Recent researches have revealed that some TNBCs are immunogenic, resistant to chemotharepy, and have a poor outcome.12 These tumors have been demonstrated to express molecules that have been identified as immunotherapeutic targets.13

Recent researches on the TNBC treatment has focused on an immune checkpoint protein, Programmed Death-Ligand 1 (PD-L1).13,14 PD-L1 is expressed in lymphocytes (T and B), dendritic cells, macrophages, and tumor cells. The investigation of PD-L1 in inflammatory and/or tumor cells remains an interesting topic.10 PD-L1 gene (also known as CD274 or B7-H1) is encodes a 33 kDa protein and located on chromosome 9p24.1 (Gene accession: ENSG00000120217). PD-L1 is a type-I transmembrane protein and has an extracellular domain containing a V-type and a C2-type immunoglobulin domain, a hydrophobic transmembrane region, followed by a cytoplasmic tail of 30 amino acids.15 This protein is found in a variety of tumor cells, and its level of surface expression corresponds with inhibition of T-cell function.16

According to a recent meta-analysis, BC expressing PD-L1 is generally more aggressive and has a shorter survival time.17 Immunohistochemical studies demonstrated that PD-L1 expression was an adverse factor associated with a decrease in overall survival in patients with BC.18,19 Furthermore, multiple publications have shown that PD-L1 is more strongly expressed in TNBCs.9,20 An improved comprehension of the tumor microenvironment and the roles of its constituents will aid in improving BC management, implying that immunotherapy may have a role in the management of TNBC patients.9 Therefore, the study of PD-L1 expression in TNBC patients in Kinshasa is very important. This study aimed to investigate the expression of PD-L1 among women with TNBC in Kinshasa city, in the Democratic Republic of the Congo (DRC).

Material and methods

This was a retrospective study of histologically confirmed cases of BC observed at the oncology department of the Nganda Hospital Center in Kinshasa (DRC) over a 6-year period from January 2014 to December 2019. In this study, we included 190 women with metastatic BC and complete immunohistochemical examination. Only 14 TNBCs were searched for PD-L1 expression.

Ribbons 3-5µm thick from paraffin blocks from each tumor were spread over silanized slides. The different steps as recommended by the manufacturer, namely deparaffinization and dehydration, pretreatment in EDTA 9.0 buffer, incubation with anti-peroxidase (H2O2), incubation with primary antibody RTU (Ready to use) then secondary and use of diaminobenzidine (DAB) before the Hematoxylin counter-staining. Human tonsillar tissue was used as a positive control.

Results

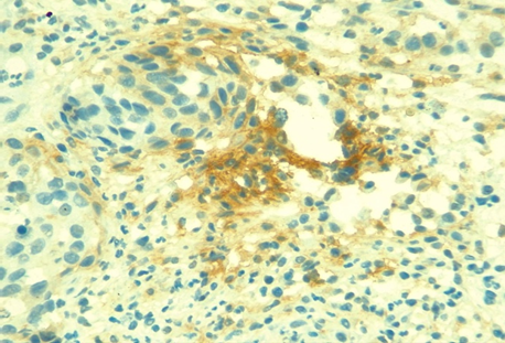
A total of 190 invasive BCs were included in the study, of which 85 (44.74%) were classified as Luminal A, 77 (40.53%) as Luminal B, 8 (4.21%) as overexpressing HER2, and 20 (10.53%) as triple-negative. Of these 20 TNBCs, 14 were analyzed for PD-L1 expression. By immunohistochemical analysis, PD-L1 has been found at the membrane or in the cytoplasm (or both) of tumor cells (Figure 1). PD-L1 expression was seen in 10 patients (71.43%).

Figure 1 Representative TNBC patient tumor tissues showing a membrane labeling of more than 80% of tumor cells with anti-PD-L1 antibody (IHC X 20).

Discussion

The prevalence and significance of PD-L1 expression in TNBCs was studied. In this study of 14 TNBC patients, PD-L1 positive expression was 71.43%. PD-L1 expression varied among studies and regions. This positivity rate is close to 75.2%, a rate reported in an American study in the state of Ohio.21 Another American study in Phoenix showed 59% of PD-L1 expression in TNBCs.20 Another American study in Texas noted that PD-L1 expression was positive in 19% of TNBCs.4 In a Chinese study, this positivity was reported in 55.9% of TNBCs.22 In India, PD-L1 expression was found to be 52% in TNBCs.23

Programmed cell death 1 (PD-1) is a co-inhibitor receptor that expresses on the membranes of activated B and T lymphocytes24 and plays a key role in tumor immune escape.25,26 The primary PD-1 ligand is PD-L1, which is found in various cancers.27 Acquired immune responses, which include PD1/PD-L1 expression, are linked to a relapse of BC. PD1/PD-L1 is a significant axis that plays a vital role in the infiltration of different immune effectors as well as in the proclivity to recur with a metastatic disease. Recent studies show that activation of the PD-1/PD-L1 pathway is a mechanism that allows tumors to evade the host immunity.28-30 Previous researches have shown that PD-L1 is implicated in the negative regulation of the immune response’s connection to PD-1 receptor, resulting in malignant cells evading the host’s immune surveillance and ultimately increasing metastases.9,31,32

Due to the small sample size, PD-L1 positive expression rate identified in our study might be an underestimate of the true frequency of PD-L1 expression in TNBCs. Although interpretation of these results requires caution due to small sample size, our results provide rationale for investigating PD-L1/PD-1 targeted therapies in TNBCs that are known to have few therapeutic options.

Conclusion

This study quantified the expression of PD-L1 in TNBCs for the first time in a Congolese cohort. More than 71% of cases had PD-L1 positive expression, which opens the possibility of exploring anti-PD-L1 therapy to treat the most aggressive TNBCs in the Congolese population. In the era of immunotherapy, blocking the PD1/PD-L1 immune control point pathway is one of the most promising strategies for reversing immune evasion in BC. Additional studies are required to estimate the likelihood of PD-L1 expression based on clinical characteristics, as well as to assess overall survival based on PD-L1 expression.

Funding

The authors received no funding for this study.

Acknowledgments

None.

Conflicts of interest

The authors have no conflicts of interest relevant to this article to disclose.

References

  1. Dent R, Trudeau M, Pritchard KI, et al. Triple-negative breast cancer: clinical features and patterns of recurrence. Clin Cancer Res. 2007;13(15 Pt 1):4429–4434.
  2. Lehmann BD, Bauer JA, Chen X, et al. Identification of human triple-negative breast cancer subtypes and preclinical models for selection of targeted therapies. J Clin Invest. 2011;121(7):2750–2767.
  3. Won KA, Spruck C. Triple negative breast cancer therapy: Current and future perspectives (Review). Int J Oncol. 2020;57(6):1245–1261.
  4. Wolff AC, Hammond MEH, Allison KH, et al. Human epidermal growth factor receptor 2 testing in breast cancer: American Society of Clinical Oncology/College of American pathologists clinical practice guideline focused update. J Clin Oncol. 2018;36(20):2105–2122.
  5. Allison KH, Hammond MEH, Dowsett M, et al. Estrogen and progesterone receptor testing in breast cancer: ASCO/CAP guideline update. J Clin Oncol. 2020;38(12):1346–1366.
  6. Yam C, Mani SA, Moulder SL. Targeting the molecular subtypes of triple negative breast cancer: Understanding the diversity to progress the field. Oncologist. 2017;22(9):1086–1093.
  7. Haffty BG, Yang Q, Reiss M, et al. Locoregional relapse and distant metastasis in conservatively managed triple negative early-stage breast cancer. J Clin Oncol. 2006;24(36):5652–5657.
  8. Wahba HA, El-Hadaad HA. Current approaches in treatment of triple-negative breast cancer. Cancer Biology & Medicine. 2015;12(2):106–116.
  9. Mittendorf EA, Philips AV, Meric-Bernstam F, et al. PD-L1 expression in triple-negative breast cancer. Cancer Immunology Research. 2014;2(4):361–370.
  10. Vranic S, Cyprian FS, Gatalica Z, et al. PD-L1 status in breast cancer: Current view and perspectives. In Seminars in Cancer Biology. 2021;72:146–154.
  11. Chen DS, Mellman I. Oncology meets immunology: the cancer-immunity cycle. Immunity. 2013;39(1):1–10.
  12. Adams S, Gatti-Mays ME, Kalinsky K, et al. Current landscape of immunotherapy in breast cancer: a review. JAMA Oncol. 2019;5(8):1205–1214.
  13. Polk A, Svane IM, Andersson M, et al. Checkpoint inhibitors in breast cancer - current status. Cancer Treat Rev. 2018;63:122–134.
  14. Miglietta F, Griguolo G, Guarneri V, et al. Programmed cell death ligand 1 in breast cancer: technical aspects, prognostic implications, and predictive value. Oncologist. 2019;24(11):e1055–e1069.
  15. Kataoka K, Shiraishi Y, Takeda Y, et al. Aberrant PD-L1 expression through 3’-UTR disruption in multiple cancers. Nature. 2016;534:402–406.
  16. Pardoll DM. The blockade of immune checkpoints in cancer immunotherapy. Nat Rev Cancer. 2012;12(4):252–264.
  17. Huang W, Ran R, Shao B, et al. Prognostic and clinicopathological value of PD-L1 expression in primary breast cancer: a meta-analysis. Breast Cancer Res Treat. 2019;178(1):17–33.
  18. Muenst S, Schaerli AR, Gao F, et al. Expression of programmed death ligand 1 (PD-L1) is associated with poor prognosis in human breast cancer. Breast Cancer Res Treat. 2014;146(1):15–24.
  19. Ghebeh H, Mohammed S, Al-Omair A, et al. The B7-H1 (PD-L1) T lymphocyte-inhibitory molecule is expressed in breast cancer patients with infiltrating ductal carcinoma: correlation with important high-risk prognostic factors. Neoplasia. 2006;8(3):190–198.
  20. Gatalica Z, Snyder C, Maney T, et al. Programmed Cell Death 1 (PD-1) and Its Ligand (PD-L1) in Common Cancers and Their Correlation with Molecular Cancer Type. Cancer Epidemiol Biomarkers Prev. 2014;23(12):2965–2970.
  21. Hou Y, Nitta H, Parwani AV, et al. PD-L1 and CD8 are associated with deficient mismatch repair status in triple-negative and HER2-positive breast cancers. Human Pathology. 2019;86:108–114.
  22. Qin T, Zeng YD, Qin G, et al. High PD-L1 expression was associated with poor prognosis in 870 Chinese patients with breast cancer. Oncotarget. 2015;6(32):33972–33981.
  23. Bharadwa KR, Dasgupta K, Narayana SM, et al. PD-1 and PD-L1 Expression in Indian Women with Breast Cancer. Eur J Breast Health. 2021;18(1):21–29.
  24. Gettinger S, Herbst RS. B7-H1/PD-1 blockade therapy in non-small cell lung cancer: current status and future direction. Cancer J. 2014;20(4):281–289.
  25. Thompson RH, Dong H, Lohse CM, et al. PD-1 is expressed by tumor-infiltrating immune cells and is associated with poor outcome for patients with renal cell carcinoma. Clin Cancer Res. 2007;13(6):1757–1761.
  26. Chawla A, Philips AV, Alatrash G, et al. Immune checkpoints: A therapeutic target in triple negative breast cancer. Oncoimmunology. 2014;3(3):e28325.
  27. Powles T, Eder JP, Fine GD, et al. MPDL3280A (anti-PD-L1) treatment leads to clinical activity in metastatic bladder cancer. Nature. 2014;515(7528):558–562.
  28. Gibson J. Anti-PD-L1 for metastatic triple-negative breast cancer. Lancet Oncol. 2015;16(6):e264.
  29. Schalper KA, Velcheti V, Carvajal D, et al. In situ tumor PD-L1 mRNA expression is associated with increased TILs and better outcome in breast carcinomas. Clin Cancer Res. 2014;20(10):2773–2782.
  30. Sabatier R, Finetti P, Mamessier E, et al. Prognostic and predictive value of PDL1 expression in breast cancer. Oncotarget. 2015;6(7):5449–5464.
  31. Zielinski CC. A phase I study of MEDI4736, NNT-PD-L1 antibody in patients with advanced solid tumors. Transl Lung Cancer Res. 2014;3(6):406–407.
  32. Sunshine J, Taube JM. PD-1/PD-L1 inhibitors. Curr Opin Pharmacol. 2015;23:32–38.
Creative Commons Attribution License

©2022 Sulu, et al. This is an open access article distributed under the terms of the, which permits unrestricted use, distribution, and build upon your work non-commercially.