Submit manuscript...
Journal of
eISSN: 2373-633X

Cancer Prevention & Current Research

Case Report Volume 6 Issue 4

Primary vaginal Ewing’s sarcoma or primitive neuroectodermal tumor with liver, breast and lung metastasis in a 45-year old woman

Prashant B Patel,1 Ankita Parikh,2 U Suryanarayan,3 Sonal Patel Shah,4 Shikha Dhal,5 Rakesh Vyas6

1Resident, Gujarat Cancer Research Institute, India
2Associate Professor, Gujarat Cancer Research Institute, India
3Professor & HOD of the department, Gujarat Cancer Research Institute, India
4Assistant Professor, Gujarat Cancer Research Institute, India
5Assitant Proffesor, Gujarat Cancer Research Institute, India
6Director, Gujarat Cancer Research Institute, India

Correspondence: Prashant Patel, Gujarat cancer and research institute, Gujarat university,Department of Radiotherapy, Gujarat cancer research institute, Civil hospital, Asarwa, Ahmedabad, Tel 9426361710

Received: January 10, 2016 | Published: December 30, 2016

Citation: Patel PB, Parikh A, Suryanarayan U, et al. Primary vaginal Ewing’s sarcoma or primitive neuroectodermal tumor with liver, breast and lung metastasis in a 45-year old woman. J Cancer Prev Curr Res. 2016;6(4):518-519. DOI: 10.15406/jcpcr.2016.06.00218

Download PDF

Keywords

'extra osseous Ewing sarcoma, PNET, metastasis, vagina

Introduction

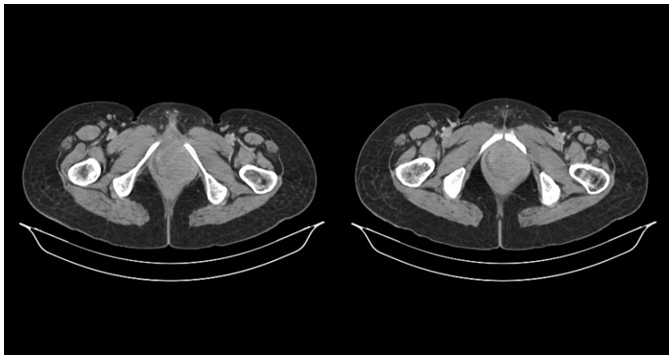
Ewing sarcoma/PNET of the female genital tract is very unusual, but has been reported to involve the ovary, uterine corpus, uterine cervix, and vulva. To our knowledge, only 10-12 cases of primary vaginal Ewing sarcoma/PNET have previously been reported in the English literature and all of them had no evidence of metastasis when reported. Here, we present a rare case of primary vaginal Ewing sarcoma/PNET with liver, breast and lung metastasis (Figure 1A & 1B).

Figure 1A & 1B lesion with internal necrotic area involving vagina more on left side extending upto labial fold.

Case report

We present the case of a 45year old woman, gravida 2, para 2, with complain of whitish, foul smelling vaginal discharge & swelling at vulva since 2months, itching at local site since 1month. Per vaginal & per speculum examination of vagina showed 6*6 submucosal growth at left side vulva, disease involving 10’Oclock to 5’Oclock position of middle & lower vagina, cervix free.

Rectal examination- B/L paravaginal medially involved rectal mucosa free. Routine haemogram, liver and renal functions are within normal. Chest radiograph revealed no abnormality and contrast-enhanced computed tomography (CECT) thorax revealed few calcified nodes in right hilar region and sub-carinal region sized nodule with bilateral lung metastasis and liver metastasis, heart, great vessels, bilateral bronchi were normal. CECT abdomen revealed liver metastasis both right and left kidneys normal other organs and biliary tree were normal; no abdominal lymphadenopathy was evident. Pelvic CECT scan showed a 57*47*120mm lesion with internal necrotic area involving vagina more on left side extending upto labial fold, both ischiorectal fossa, infiltrates proximal part of left obturatus internus, loss of fat plane with rectum and anal canal, 40*38mm fibroid involving fundus of uterus, Bilateral adnexa were normal with no ascites or lymphadenopathy. Bone scan is normal. Punch biopsy of the vaginal mass was then performed which showed poorly differentiated adenocarcinoma with probable neuroendocrine differentiation. Immunohistochemistry was done with a panel of antibodies, which revealed Ewing’s sarcoma. Following our diagnosis of primary Ewing’s sarcoma or PNET of the vagina, our patient was subjected to combination chemotherapy for 35days 1 cycle VACA, during chemotherapy disease was progressive, then patient was send for palliative radiotherapy 30Gy/15# (200CGy/# ) by AP/PA portal, during which our patient was found to be clinically progressive disease. Following this she was on palliative chemotherapy, single agent (Adriyamycin) (Table 1).

Study

Age

T-size

IHC profile

Treatment

Follow up(months)

Outcome

Liao et al.,1

30

5

VIM+, MIC2+,FLI+,Synaptopysin+,NSE+,S-100+

TAH+BSO+CT

36

FOD

Farley et al.,2

35

4

MIC+

CT+EBRT+ICBT

48

FOD

Vang et al.,3

35

3

VIM+,MIC2+

WE+CT+RT

19

FOD

Gaona-luviano et al.,4

34

4

MIC2+

WE+CT+RT+ICBT

20

FOD

Rekhi et al.,5

17

10

VIM=,MIC2=,FL1=,BCL2=

CT+EBRT

FU

 

Al-Taimini et al.,6

47

ND

ND

ND

ND

ND

Yip et al.,7

27

6

MIC2+

WE+RT

18

FOD

Pang et al.,8

54

4

MIC2+

EBRT+ICBT

18

DOD

Petkovic et al.,9

45

9

MIC2+

CT+EBRT+ICBT

18

AWD

McCluggage et al.,10

40

8

VIM+,MIC2+,FL1+

ND

ND

 

Our case

45

11

VIM+, MIB1+(>50%), CD99+

CT+EBRT+CT

FU

 

Table 1 10 cases of primary vaginal Ewing’s sarcoma/PNET reported earlier
PNET, primitive neuroectodermal tumour; T-Size, tumour size in largest dimension; IHC, immunohistochemistry; VIM, vimentin; +, positive; –, negative; WE, wide excision; CT, chemotherapy; EBRT, external beam radiotherapy; ICBT, intracavitary brachytherapy; TAH+BSO, total abdominal hysterectomy + bilateral salpingoophorectomy; MIC2, microneme protein 2; FOD, free of disease; AWD, alive with disease; DOD, died of disease; FU, follow-up; ND, not described

Result

Our patient is regular in treatment

Discussion

Ewing’s sarcoma has a potential for haematogenous metastasis and the most common sites of metastases include lungs, bones and bone marrow. About 25% of patients have metastatic disease at presentation, patients with isolated lung metastasis have better prognosis than those with extra-pulmonary disease. The chemotherapy regimen and initial treatment for patients with metastatic disease is the same as that for localized disease. At the time of local therapy, all sites of the disease must be re-evaluated. If tumor shows progression or there is persistence of widespread disease, there is little hope for cure such patients should be treated with palliative intent. For patients responding well, at this stage, local therapy in the form of surgery and or radiation is recommended to the primary site as well as all metastatic sites. Management of vaginal Ewing sarcoma is controversial, due to rarity of its presentation.11,12

Conclusion

Our case report describes a rare site of primary vaginal Ewing’s sarcoma/PNET in the 45year old patient. It reinforces the value of IHC, emphasizing the utility of immunohistochemical staining in establishing the diagnosis of tumours at unusual sites. Further the case also highlights the utility of induction chemotherapy followed by radiation treatment and subsequent palliative chemotherapy as a treatment modality.

Acknowledgments

None.

Conflicts of interest

Authors declares there are no conflicts of interest.

References

  1. Liao X, Xin X, Lü X. Primary Ewing’s sarcoma-primitive neuroectodermal tumour of the vagina. Gynecol Oncol. 2004;92:684‒688.
  2. Farley J, O’Boyle JD, Heaton J, et al. Extraosseous Ewing sarcoma of the vagina. Obstet Gynecol. 2000;96(5):832‒834.
  3. Petkovic M, Zamolo G, Muhvic D, et al. The first report of extraosseous Ewing’s sarcoma in the rectovaginal septum.Tumori. 2002;88(4):345‒346.
  4. Vang R, Taubenberger JK, Mannion CM, et al. Primary vulval and vaginal extraosseous Ewing’s sarcoma/peripheral neuroectodermal tumour: diagnostic confirmation with CD99 immunostaining and reverse transcriptase polymerse chain reaction. Int J Gynecol Pathol. 2000;19(2):103‒109.
  5. Rekhi B, Qureshi S, Basak R, et al. Primary vaginal Ewing’s sarcoma or primitive neuroectodermal tumour in a 17-year-old woman:a case report. J Med Case Rep. 2010;4:88.
  6. Al-Tamimi H, Al-Hadi AA, Al-Khater AH, et al. Extraskeletal neuroectodermal tumour of the vagina: a single case report and review. Arch Gyneco Obstet. 2009;280(3):465‒468.
  7. Yip CM, Hsu SS, Chang NJ, et al. Primary vaginal extraosseous Ewing sarcoma/primitive neuroectodermal tumour with cranialmetastasis. JChin Med Assoc. 2009;72(6):332‒335.
  8. Pang X, Chen P, Wen F, et al. Primary Ewing’s sarcoma/primitive neuroectodermal tumour of the vagina in a 54-year-old woman: a case report. Arch Gynecol Obstet. 2012;285:1031‒1033.
  9. Gaona-Luviano P, Unda-Franco E, González-Jara L, et al. Primitive neuroectodermal tumour of the vagina. Gynecol Oncol. 2003;91(2):456‒458.
  10. McCluggage WG, Sumathi VP, Nucci MR, et al. Ewing family of tumours involving the vulva and vagina: report of a series of four cases. J Clin Pathology. 2007;60(6):674‒680.
  11.  Ranjini Kudva, Lakshmi Rao, Mohammed Musheb. Peripheral Primitive Neuroectodermal Tumor (PNET) of the Paravaginal Tissue Ranjini Kudva, Lakshmi Rao, Mohammed Musheb Dept of Pathology, Kasturba Medical College, Manipal, Manipal University, India. International Journal of Scientific and Research Publications. 2013;3(3):1‒3.
  12. Das P, Gunaseelan K, Basu D, et al. Primary vaginal ewing’s sarcoma/primitive neuroectodermal tumour: diagnostic and treatment challenges. J Clin Sci Res. 2014;3:145‒149.
Creative Commons Attribution License

©2016 Patel, et al. This is an open access article distributed under the terms of the, which permits unrestricted use, distribution, and build upon your work non-commercially.