Submit manuscript...
Journal of
eISSN: 2373-633X

Cancer Prevention & Current Research

Case Report Volume 5 Issue 6

Pseudo-Progression in Breast Cancer Brain Metastasis after Initiating Therapy with Ado-Trastuzumab Emtansine

Alyssa Johnston, Tamara Ortiz-Perez, Chandandeep Nagi, Julie Nangia

Baylor College of Medicine, USA

Correspondence: Alyssa Johnston, Baylor College of Medicine, USA

Received: September 17, 2016 | Published: October 18, 2016

Citation: Johnston A, Ortiz-Perez T, Nagi C, Nangia J (2016) Pseudo-Progression in Breast Cancer Brain Metastasis after Initiating Therapy with Ado-Trastuzumab Emtansine. J Cancer Prev Curr Res 5(6): 00185. DOI: 10.15406/jcpcr.2016.05.00185

Download PDF

Abbreviations

IDC, invasive ductal carcinoma; ER, estrogen receptor; PR, progesterone receptor; HER2, human epithelial growth factor receptor 2; XRT, external radiation therapy; SRS, stereotactic radio surgery; WBRT, whole brain radiation therapy; Tdm-1, ado-trastuzumab emtansine; BCBM, breast cancer brain metastases; TNF-α, tumor necrosis factor-alpha

Clinical practice points

A 60year-old woman initially presented with primary inflammatory left breast cancer. Breast biopsy showed invasive ductal carcinoma (IDC), grade 2; immuno histochemistry showed positive staining for the estrogen receptor (ER), progesterone receptor (PR), and human epithelial growth factor receptor 2 (HER2). Extensive metastasis of disease was noted with metastases present in the lungs, liver, bones, spine, right internal mammary, right axillary and retroperitoneal nodes. She was started on letrozole and lapatinib (note--patient was on bone agents with each line of therapy including pamidronate, zolendronic acid and denosumab). Shortly after treatment initiation patient underwent palliative external radiation therapy (XRT) to the lumbar spine for right hip pain and difficulty walking. Four months later she developed nausea/vomiting and was found to have 2 brain metastasis which were treated with stereotactic radio surgery (SRS). Shortly after this trastuzumab was added to the letrozole and lapatinib combination due to worsening bone metastasis. Four months later there was continued progression of disease with growing breast mass and lung/liver metastasis-her therapy was changed to capecitabine and trastuzumab.

Five months later patient had worsening brain metastasis that was treated with whole brain radiation therapy (WBRT) along with palliative left breast radiation during which time the capecitabine was held. Three months after re-starting capecitabine there was continued disease progression on exam with growing breast mass and jaundice. Re-staging scans showed worsening lung and liver metastasis and therapy was changed to protein-bound paclitaxel and trastuzumab. She also had worsening of the brain metastasis and hip pain and received XRT to bilateral hips and SRS to the brain. After 5months of therapy with protein-bound paclitaxel and trastuzumab she had worsening of her bone and brain metastasis and was enrolled on a clinical trial with neratinib. Three months later she had progression of the disease in the lungs and she was enrolled in the extension phase of the clinical trial where trastuzumab was added to the neratinib. Her disease was well controlled until 1year later when there was progression of disease in the brain and she was taken off the clinical trial and started on ado-trastuzumab emtansine (tDM-1).

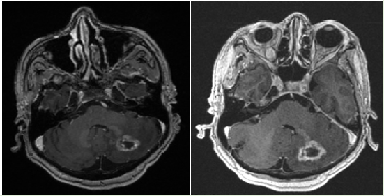
After 2 cycles of therapy with tDM1 a MRI of the brain showed a white matter size increase in the left cerebellum with two new metastasis present on the roof of the fourth ventricle and in the left middle frontal gyrus without mass effect (Figure 1). A craniotomy of the left cerebellum was performed to resect the mass. Pathologist noted that the mass measured 2.3 x 1.7 x 1.5cm. It was cerebriform with a variegated appearance ranging in color from pink to maroon to yellow. Microscopic examination of the specimen displayed coagulated necrosis along with rarified cerebellar white and grey matter. Gliosis, macrophage infiltration, Purkinji cell depopulation, and Bergman gliosis were present. A few esoniophilic granular bodies were also seen. There was no underlying neoplasm, either metastasis, glioma, or hemagioblastoma, present in sample. It was concluded that the presumed metastatic lesion on the left cerebellar was chronic, non-neoplastic and histopathically consistent with radio necrosis, both with the histopathology review and medical records (Figure 2). Patient continued on therapy with tDM1 for almost 1year when she had progression of her cancer in the lungs and breast at which time she was started on pertuzumab, trastuzumab and liposomal paclitaxel. 3months later she had progression of disease and worsening of her performance status so hospice was recommended and she passed away 11months later having lived for more than 6years from her initial diagnosis of metastatic breast cancer.

Figure 1 Axial 3D IR fast SPGR post-contrast images show interval increase in size in a metastatic lesion in the left cerebellar white matter from 1.3 cm x 1.7 cm x 1.7 cm (SAT) (Figure 1a) to 1.6 cm x 1.8 cm x 2.3 cm (SAT) 3 months later (Figure 1b).

Figure 2 The left cerebellar mass that was resected on pathologic review was chronic, non-neoplastic and histopathically consistent with radionecrosis. 
Figure 2a 20x magnification. Figure 2b 40x magnification, and Figure 2c100x magnification.

Introduction

Breast cancer brain metastases (BCBM) are common in patients with advanced stage disease and observed in 10-30% of patients with metastatic breast cancer. BCBM are more common in the HER2+ and triple negative subtypes of breast cancer and about 25% of HER2+ metastatic breast cancer patients will develop brain metastasis. Most breast cancer therapies fail to penetrate the blood-brain barrier (BBB), allowing tumor recurrence in the brain.1 In a study of 222 consecutive patients with breast cancer, the median survival of patients presenting with metastatic brain lesions with HER2+ primary breast cancer without treatment, after chemotherapy, and adjuvant chemotherapy with targeted therapy was 3, 8, and 11months respectively.2 Pseudo-progression has previously been reported with use of radiation and tDM-1. We report a patient with extensive metastatic disease including BCBM. This patient was placed on tDM-1 and appeared to have progression of the BCBM on brain MRI. The BCBM were surgically resected and found to be pure radio-necrosis with no neoplasm present. Diagnosis of cancer progression is challenging and we report this rare case of pseudo-progression of BCBM due to treatment with tDM-1.

Discussion

Radiation therapy is an important modality used in the treatment of patients with metastatic brain disease and post radiation treatment includes serial MRI analysis. Little is known about radio necrosis after radiotherapy and data on actual risk in the population of treated patients is scarce. Patients receiving radiotherapy for brain tumors can present clinically with apparent increasing tumor development that could suggest progression of disease, yet it could also be attributed to edema and necrosis in the tumor bed with no tumor present. Important disease management decisions can be complicated by any change in patient’s MRI that could suggest disease progression when, in fact, the change could be due to radiation induced injury.3 In 1990 MacDonald et al.,4 defined criteria for evaluating response to treatment in disease progression which included variations in tumor enhancing area, neurological function, steroid usage and other important factors.4 More recently, in 2010, a RANO working group published an updated versionto this criteria for MRI that defined treatment responses and criteria that included T-1 gadolinium enhancing disease, T2/Flair changes, new lesions, corticosteroid usage, clinical status, and requirement for proper responses.5 However, even with all these guidelines, it is still difficult to differentiate radio necrosis from tumor reoccurrence radio logically.

It has been long documented that pseudo progression after concomitant radio-chemotherapy is possible in patients undergoing brain cancer treatment. In 1979, Hoffman et al.,6 described a subset of patients treated with radio therapy and concurrent chemotherapeutics for brain cancer. After 8weeks, 49% of patients had deterioration of condition that was strongly suggestive of worsening disease however, 28% of these cases improved without change in chemotherapy.6 Rubin et al.,7 suggests that any radio-chemotherapy and previous irradiation can increase risk of radio necrosis.7 It has been further documented that the addition of chemotherapy to radiation therapy can have a cumulative effect on the development of radio necrosis with a direct relationship to radiation dose, treatment duration, and irritated brain volume.7,8

Pseudo progression can appear for several weeks or months following the treatment and then can spontaneously disappear without change in treatment. This could be due to a transient interruption of myelin synthesis as a secondary injury of oligodendrocytes9 Radio necrosis is a more severe effect and may appear several months following concomitant treatment and be accompanied with mass effect and neurological dysfunction.3 It is believed that this radiation injury is due to the fact that oligodendrocytes, epithelial cells, and neuronal precursors are sensitive to radiation. Cells of the CNS will then go through apoptotic mediated cell death after injury mediated largely by the amount of radiation damage received to the area.10,11 Vascular damage is also present in radio damaged CNS and can initiate necrosis.12 VEGF leads to small vessel permeability with cerebral edema and recent data has shown that the degree of VEGF was found to be associated with radiation necrosis.13 Two recent studies have also shown that radiation can damage the BBB when tumor necrosis factor-alpha (TNF-α) produces disruption and that anti-TNF-α treatment can reduce damage in irradiated mice.9,14 It is possible that after combination treatment of chemotherapy and radiation, the BBB remains permeable to allow gadolinium through to falsely report a disease that is larger than it actually is and that radiation damaged injured the cells of the CNS drastically enough to induce apoptosis and cell death after treatment. In this case, the pseudo-progression occurred 21months after the last radiation therapy exposure so was likely due to the treatment with tDM-1 which from our review of the literature has not been previously reported.

Conclusion

As adjuvant therapy of chemotherapy and radiation therapy becomes a standard practice, it is imperative to properly interpret data to be able to distinguish the difference between tumor progression and radio necrosis. Pathophysiology, molecular changes, and discerning differences between the two diagnoses are poorly understood. Current imaging technologies do not always allow us to easily distinguish between the two classifications; however, a combination of different imaging techniques could allow us to more accurately diagnosis the condition. In addition to MRI, other imaging options like MRS, DCE-MRI, PET, proton MRI, 2D proton spectroscopic imaging, and perfusion could be utilized to confirm diagnosis.15 It is important to not halt adjuvant therapy without a convincing diagnosis of progressive tumor confirmed by this secondary, more specific imaging method. Halting therapy can be disadvantageous to overall survival advantage. Additional guidelines for discerning between tumor recurrence and radio necrosis could also be proposed as well as therapeutic management strategies such as steroid therapy, hyperbaric oxygen, and Bevacizumab treatment against VEGF could also be investigated16 It should also be noted that the increased BBB permeability seen in this method of treatment could be used as an advantage by increasing chemotherapy update to the metastatic sites that would not normally be accessible due to the BBB. We recommend that extreme care in treatment decisions when examining a patient that resembles this case study and propose mechanism by which the diagnosis could be improved and further used towards our advantage in metastatic breast cancer treatment.

Acknowledgments

None.

Conflicts of interest

Authors declare there are no conflicts of interest.

References

  1. Lim E, Lin NU. Updates on the management of breast cancer brain metastases. Oncology (Williston Park). 2014;28(7):572–578.
  2. Niwinska A, Murawska M, Pogoda K. Breast cancer brain metastases: differences in survival depending on biological subtype, RPA RTOG prognostic class and systemic treatment after whole-brain radiotherapy (WBRT). Ann Oncol. 2010;21(5):942–948.
  3. Brandes AA, Tosoni A, Spagnolli F, et al. Disease progression or pseudoprogression after concomitant radiochemotherapy treatment: Pitfalls in neurooncology. Neuro Oncol. 2008;10(3):361–367.
  4. Macdonald DR, Cascino TL, Schold SC Jr, et al. Response criteria for phase II studies of supratentorial malignant glioma. J Clin Oncol. 1990;8(7):1277–1280.
  5. Wen PY, Macdonald DR, Reardon DA, et al. Updated response assessment criteria for high-grade gliomas: response assessment in neuro-oncology working group. J Clin Oncol. 2010;28(11):1963–972.
  6. Hoffman WF, Levin VA, Wilson CB. Evaluation of malignant glioma patients during the postirradiation period. J Neurosurg. 1979;50(5):624–628.
  7. Ruben JD, Dally M, Bailey M, et al. Cerebral radiation necrosis: incidence, outcomes, and risk factors with emphasis on radiation parameters and chemotherapy. Int J Radiat Oncol Biol Phys. 2006;65(2):499–508.
  8. Verma N, Cowperthwaite MC, Burnett MG, et al. Differentiating tumor recurrence from treatment necrosis: a review of neuro-oncologic imaging strategies. Neuro Oncol. 2013;15(5):515–534.
  9. Wilson CM, Gaber MW, Sabek OM, et al. Radiation-induced astrogliosis and blood-brain barrier damage can be abrogated using anti-TNF treatment. Int J Radiat Oncol Biol Phys. 2009;74(3):934–941.
  10. Wong CS, Van der Kogel AJ. Mechanisms of radiation injury to the central nervous system: implications for neuroprotection. Mol Interv. 2004;4(5):273–284.
  11. Pena LA, Fuks Z, Kolesnick RN. Radiation-induced apoptosis of endothelial cells in the murine central nervous system: protection by fibroblast growth factor and sphingomyelinase deficiency. Cancer Res. 2000;60(2):321–327.
  12. Yoshii Y. Pathological review of late cerebral radionecrosis. Brain Tumor Pathol. 2008;25(2):51–58.
  13. van Bruggen N, Thibodeaux H, Palmer JT, et al. VEGF antagonism reduces edema formation and tissue damage after ischemia/reperfusion injury in the mouse brain. J Clin Invest. 1999;104(11):1613–1620.
  14. Mayhan WG. Cellular mechanisms by which tumor necrosis factor-alpha produces disruption of the blood-brain barrier. Brain Res. 2002;927(2):144–152.
  15. Hygino da Cruz LC Jr, Rodriguez I, Domingues RC, et al.Pseudoprogression and pseudoresponse: imaging challenges in the assessment of posttreatment glioma. AJNR Am J Neuroradiol. 2011;32(11):1978–1985.
  16. Parvez K, Parvez A, Zadeh G. The Diagnosis and Treatment of Pseudoprogression, Radiation Necrosis and Brain Tumor Recurrence. Int J Mol Sci. 2014;15(7):11832–11846.
Creative Commons Attribution License

©2016 Johnston, et al. This is an open access article distributed under the terms of the, which permits unrestricted use, distribution, and build upon your work non-commercially.