Submit manuscript...
Journal of
eISSN: 2373-633X

Cancer Prevention & Current Research

Case Report Volume 14 Issue 4

Sclerosing stromal tumor of the ovary: case report

Maria Luísa Buzatto,1 Hellen Cruz Xavier,1 Beatriz Guedes Fernandez,1 Pedro Henrique Bertoleti Ribeiro,1 Samuel Rabello,2 Regis Vilela Leal,3 Ana Clara de Moura Silva,4 Fabiana Shimabuko da Silveira,5 Tane Machado Scaloppe1

1Physician and Resident of the General Surgery Medical Residency Program at Hospital Geral de Cuiabá, Brazil
2Digestive System Surgeon and preceptor of the General Surgery Medical Residency Program at Hospital Geral de Cuiabá, Brazil
3General Surgeon and preceptor of the General Surgery Medical Residency Program at Hospital Geral de Cuiabá, Brazil
4Student of the Medicine course at the University of Cuiabá (UNIC), Brazil
5Gynecologist and Obstetrician graduated from the Hospital Júlio Müller de Cuiabá, Brazil

Correspondence: Maria Luísa Buzatto, Physician and Resident of the General Surgery Residency Program at Hospital Geral de Cuiabá, Treze de Junho street, Cuiabá, Mato Grosso, Brazil, Tel +55 (65) 981392057

Received: September 12, 2023 | Published: September 28, 2023

Citation: Buzatto ML, Xavier HC, Fernandez BG, et al. Sclerosing stromal tumor of the ovary: case report. J Cancer Prev Curr Res. 2023;14(4):99-101. DOI: 10.15406/jcpcr.2023.14.00529

Download PDF

Abstract

Ovarian Sex Cord Stromal Tumors are a group of predominantly benign neoplasms that develop from the sex cord, stromal cells or both, the incidence of which is extremely rare.1 Sclerosing stromal tumors are those that get up from mesenchymal cells in the ovarian stroma. More often in young women with non-specific symptoms, making diagnosis difficult, particularly in patients who do not undergo routine examinations.1,2 Pelvic pain is one of the main reported symptoms that make it possible to continue an etiological investigation and imaging exams are essential for its assistance, with transvaginal ultrasonography and Magnetic Resonance Imaging (MRI) being the foremost propaedeutic methods established. Diagnosis with such tests will not always be sufficient to differentiate between benign and malignant findings, thus most often requiring surgical intervention.3 The objective of this work is to report a case of this neoplasm and contribute to diagnostic and therapeutic improvement, since there are few publications on the subject.

Keywords: ovarian neoplasms, ovary, sex cord-gonadal stromal tumors, sclerosing stromal tumor of the ovary

Introduction

The Sclerosing Stromal Tumors are part of an important subgroup of ovarian tumors, Ovarian Sex Cord Stromal Tumors, which can be benign or malignant and they are being developed from the sex cord or stromal cells. There is also the possibility of subdividing them into Pure Stromal Tumors, Pure Sexual Cord Tumors or Mixed Stromal and Sexual Cord Tumors, as postulated by the World Health Organization.4

The Pure Stromal Tumors are originated from epithelial and germ cells of the ovarian stroma and the main types are the Fibromas, the Techomas, the Microcystic Stromal Tumors, the Leydig Cell Tumors and the Sclerosing Stromal Tumors. The most common are Fibromas, mainly in menopausal women, which constitute solid and benign masses, not producing hormones and associated with Gorlin Syndrome (Presence of multiple basal cell carcinomas, odontogenic tumors and skeletal anomalies) when presented bilaterally. Techomas, which are rarer, generally appear in younger patients and might produce hormones due to their luteinization capacity. Moreover, regarding Microcystic Tumors, they are even rarer tumors, affecting women between 20 and 60 years old, associated with Familial Adenomatous Polyposis.4

In this line within the scope of Pure Stromal Tumors, there is the Sclerosing Stromal Tumor, representing a minority of such tumors, more common in young women, after menarche. Normally, these tumors are hormone producers, causing androgenic symptoms, expressly during pregnancy. At first glance, it is a benign tumor with a strong predisposition to malignancy due to the expression of the FHL2 and GLI2 genes.4

Regarding the Pure Sexual Cord Tumors, we can list two main subtypes: Granulosa Cell Tumors and Sertoli Cell Tumors. Concerning Sertoli Cell Tumors, we can state that these are infrequent and when they appear, they are present in women of reproductive age and children, being hormone producers, and may be related to Peutz Jeghers Syndrome, which is characterized by presence of hamartomatous colonic polyps, mucocutaneous pigmentation and growth of tumors in the most varied spots. Granulosa Cell Tumors, the most common of this subtype, originated from granulosa cells after late ovulation, expressing hormonal, biochemical and morphological characteristics of this material. This tumor is further divided into Adult Granulosa Cell Tumors, a malignant, estrogen- secreting type, which manifests itself as abnormal uterine bleeding, pain and abdominal distension, and Young Granulosa Cell Tumors, more recurrent in women between 13 and 30 years with a better prognosis since it is generally confined to the ovary and manifesting with precocious pseudopuberty, abnormal uterine bleeding, menstrual irregularity, virilization and hisurtism.4

Among Mixed Tumors, there is the subtype Tumor of Stromal and Sexual Cells with Annular Tubules, which can be sporadic and have a poorer quality prognosis or be associated with Peutz Jeghers Syndrome. We can also mention Sertoli and Leydig Cell Tumors, which are rare, affect women under 30 years of age and manifest, in most cases, with virilization.4

Briefly, from the management of these tumors, there are basically three therapeutic routes: Chemotherapy, hormonal therapy and surgical treatment.4,5 It is important to point out that chemotherapy is generally indicated for patients with advanced disease or recurrent thereby there is no scientific data that corroborates the effectiveness of this approach in patients with Granular Cell Tumors.4 Another point that stands out is the issue of hormone therapy, which is not very widespread, but which presents promising results in patients with severe or recurrent disease, since the hormonal blockade aims to reduce or extinguish cell proliferation.4 Finally, especially in less advanced stages, the surgical approach is the most indicated. The role of surgery in these cases is interesting not only in a therapeutic sense, but also in a propaedeutic sense, inasmuch as the power of direct visualization of the mass and collection of material for subsequent histological analysis.5 In this sense, we must consider the definition of the patient's offspring and the desire to have a baby, and may opt for a hysterectomy with bilateral salpingo oophorectomy in older women with defined offspring, or a unilateral salpingo oophorectomy in young patients. It is also worth highlighting the necessity for a histological study of endometrial cells concomitantly, in order to search for endometrial hyperplasia or carcinoma, common comorbidities in this group of patients.4,5

Case description

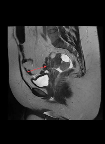
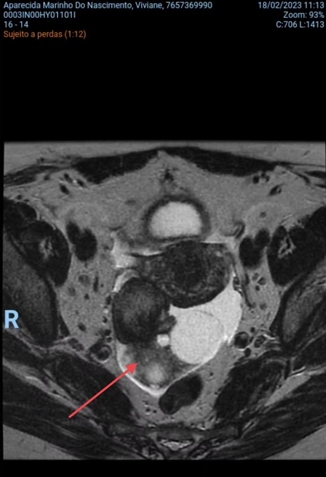
A 50-year-old female patient, asymptomatic, in a routine gynecological medical consultation, was requested to perform a transvaginal ultrasonography, which revealed an enlarged right ovary, showing regular contours and heterogeneous echotexture due to the presence of a nodular, heterogeneous, predominantly echogenic image, with areas of posterior acoustic shadow measuring approximately 3.2 x 3.1 cm. Dermoid cyst was questioned by the ultrasonographer and recommended further investigation with MRI. The patient underwent the suggested examination within a few days and the right ovary was found to be enlarged, displaced posteriorly, measuring approximately 7 x 5.6 x 2.8 cm, associated with the presence of simple cystic formations measuring up to 3.2 cm and one with thick content measuring 2.1 cm (Figure 1 and 2). It is also noted the presence of two hypovascular nodular formations in between, with heterogeneous signal, in close proximity to the serosa of the right lateral uterine body wall, measuring 4.5 x 3.1 cm.

Figure 1 Right adnexal mass axial plane in MRI demonstrated by red arrow.

Figure 2 Right adnexal mass sagittal plane in MRI demonstrated by red arrow.

Patient was forward to the surgeon and was indicated and executed laparoscopic oophorectomy uneventfully, with no evidence of adjacent involvement intraoperatively and then patient was discharged the following day. The Histopathology showed a sclerosing stromal tumor of the ovary and immunohistochemistry confirmed these findings, the immunohistochemical report has demonstrated positivity only for actin (HHF35) and inhibin (R1) antibodies and it contribute to the diagnostic hypothesis, according to table 1. No estrogen or progesterone receptors were analyzed. The initial imaging tests did not show any extraovarian lesion. The patient was advised to undergo clinical follow-up with periodic consultations and radiological evaluations according to symptomatological changes.

Antibody

Clone

Manufacturer

Results

CYTOCERATIN

AE1/AE3

DAKO

NEGATIVE

CD34

Q BEND 10

DAKO

NEGATIVE

CD10

56C6

DAKO

NEGATIVE

ACTIN

HHF35

DAKO

POSITIVE

INHIBIN

R1

DAKO

POSITIVE

CA125

M11

DAKO

NEGATIVE

WT1

6F – H2

DAKO

NEGATIVE

CALRETENIN

DAK – CARET 1

DAKO

NEGATIVE

Table 1 Immunohistochemistry report

Discussion

The Sclerosing Stromal Tumor is a rare pathology with few publications. It mainly affects individuals in the second or third decades of life, differing slightly from the patient presented in this case.3 Most of the time its evolution is asymptomatic or without specific symptoms, in this case the diagnostic possibility arose after the analysis of radiological changes through pelvic imaging exams after routine gynecological consultation, demonstrating the value of imaging exams as well as periodic medical evaluation.3 For the most patients, the diagnosis of an adnexal mass is done by ultrasound.5 For masses with indeterminate characteristics on ultrasound or suboptimal imaging, further characterization of the mass can be obtained by obtaining MRI. Despite of imaging tests are capable of accenting peculiar characteristics of Ovarian Stromal Tumor, there is no pathognomonic finding.2,5

The Preoperative preparation of the patient is routine, apart from in patients with virilization or signs of excess estrogen, in which the evaluation of tumor markers and the performance of an endometrial sample to detect a possible endometrial neoplasia may be indicated.3 In the present case, due to the absence of signs that suggested malignancy, preoperative tumor markers or specific hormone levels were not requested because of the absence of signs of virilization.6

The management of sclerosing stromal tumor of the ovary will differ according to the histological finding, those with malignant characteristics more aggressive. Afterwards a definitive diagnosis is fulfilled, sometimes it is not made preoperatively or intraoperatively, then the surgeon will need to make an intraoperative decision about which surgical option to employ based on overall operative findings (e.g., disease other than the ovary) and patient preferences.6,7

Patients with a benign-appearing mass, unilateral oophorectomy with bilateral salpingectomy is typically performed. Bilateral salpingectomy has the potential beneficial effect of decreasing the risk of developing ovarian cancer. Removal of the contralateral ovary depends on the patient's age, years since menopause, the desire to avoid subsequent surgery for additional adnexal pathology, and the threshold for long-term health risks subsequently bilateral oophorectomy. Despite the recommendation, according to intraoperative findings, only oophorectomy with unilateral salpingectomy was chosen.3,5

There is no high-quality evidence to support one post-treatment surveillance strategy over another for ovarian SCSTs. Nonetheless, according to the guidelines of the Society of Gynecologic Oncologists, review of symptoms and physical examination as well as measurement of serum tumor markers, in those patients who were diagnosed with the same elevated levels, is recommended.5,6

It is suggested that the patient be monitored more closely for the next two years and review of symptoms and a physical examination every two to four months. The same way the assessment of tumor markers must be repeated every two to four months in the first two years and then every six months, these include CA 125, testosterone, inhibin, alpha-fetoprotein and anti-Müllerian hormone. Moreover, the follow-up of multiple markers rather than a single marker appears to be superior for detecting macroscopic disease. Routine use of imaging studies is not recommended. Lastly, computed tomography or other imaging tests are mostly reserved for evaluating patients with symptoms or an boost in the serum level of a tumor marker.5,6

Conclusion

As it is a benign and little-known pathology, it is necessary to report this case with clarifications on the therapy used and the possibilities emerging on the market, such as chemotherapy, fertility preservation surgery or enlarged surgical margins evaluated according to the initial clinical stage.7-9

Acknowledgments

I thank my teachers who dedicate their precious time for sharing knowledge.

Conflicts of interest

There were no conflicts of interest.

References

Creative Commons Attribution License

©2023 Buzatto, et al. This is an open access article distributed under the terms of the, which permits unrestricted use, distribution, and build upon your work non-commercially.