Submit manuscript...
Journal of
eISSN: 2373-633X

Cancer Prevention & Current Research

Mini Review Volume 5 Issue 5

Urothelial tumours and smoking - a radiological practical approach

Ahmad Maaliki

Department of radiology, Al Hamidy Medical Charitable Center, Lebanon

Correspondence: Ahmad Maaliki, MD, EBR, MSc, Department of radiology, Al Hamidy Medical Charitable Center, Chahine Hospital Tripoli, Lebanon, Tel 96170688120

Received: July 28, 2016 | Published: September 14, 2016

Citation: Maaliki A. Urothelial tumours and smoking - Aradiological practical approach. J Cancer Prev Curr Res. 2016;5(5):317-320. DOI: 10.15406/jcpcr.2016.05.00175

Download PDF

Abstract

Medical diagnosis is being evolved rapidly these days sand radiology is one of the most rapidly growing field in diagnosis as well as in the treatment of many diseases. Due to the increase of the number of smokers in males and females we are observing a huge increase of disease outbreaks and cancer is very highly increased in these years. Urothelial tumours are among these increasing cancers and became increasingly seen among female smokers. Urothelial carcinoma that is previously known as transitional cell carcinoma accounts for about 90% histologic type of bladder cancer which is the commonest location in the United States and Western Europe; it is also the ninth commonest tumour.1

Introduction

Smokers are rapidly increasing among the population of both sexes with this increase there is marked increase in the noticed cases of urinary tract cancers mainly urothelial. In this study, we are concentrating on the radiologic diagnosis and possible treatment options mainly involving interventional radiologic choices.

Anatomy and histopathology

The urinary tract consists of the kidneys, ureters, bladder and urethra. The bladder is a pelvic organ under the peritoneum and its role to collect urine. "The urinary bladder is located centrally in the anterior part of the pelvic cavity surrounded inferolaterally by the obturator internus and levator ani muscles.2

In males, the prostate surrounds a part of the urethra and is located below the bladder (Figure 1). The bladder and both ureters have an inner layer of epithelium (previously known as pseudo stratified) known as transitional epithelium when the bladder is empty the cells appear of multiple levels when the bladder is full and it's wall is stretched , these cells are seen in a single a single row (Figures 2 & 3).

Figure 1 Normal urinary tract.

Figure 2 Transitional cell epithelium during empty bladder.

Figure 3 Bladder epithelium when the bladder is distended.

The next layer is muscular layer allowing the bladder to contract and the upper layer is adventitial layer covering the bladder externally.

Mainly and initially cancer cells appear in the inner layer (the transitional cells as in Figure 4). "For malignant bladder tumours, the staging system most commonly used today is the TNM classification (T- local tumour staging; N-nodal metastasis; M-distant metastasis). The Jewett-Strong American Urology System is no longer used. Cancer of the bladder has a high Incidence in patients who smoke, use artificial sweeleners, consume coffee or aromatic amines, or who are exposed to cyclophosphamides. The diagnosis of bladder tumours includes clinical history, physical examination, urinalysis, cystoscopy, biopsy and careful bimanual examination under anaesthesla. The evaluation of bladder tumours Includes an analysis of the size, site and pattern of tumour growth.

Figure 4 a-layer through normal bladder wall, b- malignant cell growth.

 Tumours are classified into four growth patterns:

  1. In situ (noninvasive)
  2. Papillary
  3. Infiltrating
  4. Combined papillary and infiltrating.2

Renal cell carcinoma and other tumours are not discussed in our study.

Statistics

During my practice I have done about 5000 cases involving the pelvis (ultrasound and CT procedures mostly), about 3000 are males and 2000 are females about 200 cases of them (about 4 %) show TCC but surprisingly male to female ratio is 1:1 but 99% of them are smokers, 1% of them non smoker and without and familial history of TCC and 1% are related to inhalation of concentrated acetic acid or painters. The interesting in this disease is the quick rise of female involvement due to increase number of female smokers.

No alcohol abusers were seen in my case with TCC, though about 10% of my overall patients consume alcohol yet no positive cases came to me. This tumour may involve the bladder (about 85-90%), ureteric, renal pelvicalceal system or isolated renal (5-10%) or involving the bladder with another urinary tract areas, urachal remnant (about 10%) and rarely urethral involvement (less than 1%- mostly the tumours of the urethra are squamous cell or adenocarcinoma, I personally didn't see any during my practice and after finishing my residency I didn't see any urachal TCC after 2010).

The early diagnosis of TCC is usually very easy and effective treatment can be quickly initiated. The first symptom that warrants the patient is hematuria and sometimes can be incidentally found during imaging for other causes.

Diagnostic measurements

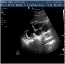
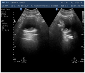
The first and most clinical and cost effective diagnostic tool are urine analysis and ultrasound (Figure 5). CT scan might be used later for further evaluation (Figure 5).

Figure 5 Urothelial cancer in different modalities.

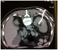
The disease if not treated may progress to the ureters and cause hydronephrosis (Figure 6) or may metastasize to another areas. During my practice I noted that 20 % (about 40 cases) of tumor recurrence occurred, mostly because the patient's did not quit smoking.

Figure 6 Moderate to severe hydronephrosis due to outlet obstruction.

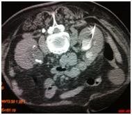
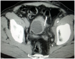
Endoscopy is the second diagnostic tool for this disease and during this procedure usually biopsies are taken -I did once percutaneous CT guided bladder biopsy (Figure 7) to assess the depth of tumor invasion of the bladder layers after insistence of the treating physician even though I think it's not necessary and cost ineffective.

Figure 7 Percutaneous CT guided bladder biopsy.

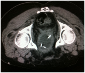
Figure 8 Nephrostomy and double J catheter insertion.

Prognosis and treatment options

Early diagnosis and treatment mostly tumour resection endoscopically, intravesical BCG lavage and chemotherapy are very effective with more than 5 years tumor recurrence free (with my follow up of patients appeared to be 80%).

In more advanced cases cystectomy is the only choice with ileal diversion with few cases we use temporary imaging guided nephrostomy (about 10 cases) or imaging guided antegrade double J catheter insertion (I did about 4 cases ) but mostly if no serious tumor obstruction of the ureters retrograde endoscopic double J catheter insertion is effective. If the case is too advanced (terminal) we do palliative treatment to ease patient's syndromes.

Conclusion

Uerothelial tumours are increasingly rapidly occurring due to the increase of cigarette smoking and tobacco consumption. Best prognosis is noted with early diagnosis and treatment. With adequate prophylaxis 90% of the cases might be effectively prevented.

Best prevention measurements are:

  1. Cessation of smoking or substance abuse.
  2. Use masks and safe clothings to reduce chemical Inhalation or contact with toxic chemicals.
  3. Wise use of pain killers and other unnecessary drugs.
  4. Drinking plenty of water to dilute toxins in the urine and their quick washout.

Acknowledgments

None.

Conflicts of interest

The author declares no conflicts of interest.

Funding

None.

References

Creative Commons Attribution License

©2016 Maaliki. This is an open access article distributed under the terms of the, which permits unrestricted use, distribution, and build upon your work non-commercially.