Submit manuscript...
Journal of
eISSN: 2373-633X

Cancer Prevention & Current Research

Case Report Volume 14 Issue 5

Video assisted surgery in penetrating chest trauma: clinical case

Ulises Parada,1 Lorena Clavijo,2 Alexandra Duffau,3 Marisol Martínez,1 Santiago Cubas1

1Assistant Surgeon of the Emergency Department of the Hospital de Clínicas, Universidad de la República, Uruguay
2Surgery Resident, Emergency Department of the Hospital de Clínicas, Universidad de la República, Uruguay
3Surgeon, Emergency Department of the Hospital de Clínicas, Universidad de la República, Uruguay

Correspondence: Ulises Parada, Assistant Surgeon of the Surgical Clinic "A", Hospital de Clínicas Universidad de la República, Montevideo, Uruguay, Tel 099313877

Received: November 10, 2023 | Published: November 20, 2023

Citation: Parada U, Girardi F, Fernández L, et al. Video assisted surgery in penetrating chest trauma: clinical case. J Cancer Prev Curr Res. 2023;14(5):122-124. DOI: 10.15406/jcpcr.2023.14.00534

Download PDF

Summary

Most thoracic traumas require only pleural drainage for their treatment. However, 10% require emergency thoracotomy due to hemodynamic instability. Video-assisted thoracic surgery (VATS) is a therapeutic alternative between these two traditional approaches with advantages and precise indications. We will analyze the case of a patient submitted to thoracic video surgery by general surgery team for treatment of penetrating thoracic injury. Conclusions: Thoracic video surgery is a safe procedure in stable patients and with equipment trained in the technique. It has the benefits of the mini-invasive approach; it also allows the extraction of the penetrating object under direct vision treating air evacuation and bleeding "in situ". In addition, it allows complete removal of the pleural cavity, avoiding future complications such as retained hemothorax and empyema.

Keywords: thoracic trauma, VATS, emergency, general surgery

Introduction

In Uruguay, traumatic disease is the leading cause of death in children under 40 years of age,1 with thoracic trauma being responsible for 25 to 35% of these deaths.2 Although in our environment closed chest injuries are more frequent,1 in the context of polytraumatized patients due to traffic accidents, penetrating chest injuries represent 10% of hospital admissions and most of them are managed with a conservative approach.3

However, 15-25% of cases treated with pleural drainage alone develop a retained hemothorax, which is the main risk factor for the development of fibrothorax and empyema. In addition, one fifth of these patients present a persistent air leak and 10% a diaphragmatic injury which goes unnoticed in 30% of cases.4,5 Before the advent of minimally invasive thoracic procedures, failure in the management of chest traumas with pleural drainage alone required thoracotomy. Recently, video-assisted surgery has appeared as a therapeutic alternative between these two traditional approaches, providing the emergency surgeon with an accurate way to evaluate the chest wall, lung parenchyma, mediastinum and diaphragm with the additional advantage of allowing simultaneous definitive treatment of the lesions. With this mini-invasive procedure, an accurate anatomolesional diagnosis is achieved, reducing the number of missed lesions that generate late mortality and/or chronic sequelae. We will analyze the case of a patient who underwent video-assisted chest surgery for the management of a penetrating wound.

Case presentation

Patient 25 years deprived of liberty, smoker and with a surgical antecedent of a median stab wound in the abdomen. He is transferred by mobile emergency unit with a penetrating chest wound from a prison cut. He arrived at the Emergency Department five hours after the incident lucid, hemodynamically stable with a heart rate of 78 cycles per minute, blood pressure of 130-90 mmHg, respiratory rate of 16 RPM with an oxygen saturation of 98%.

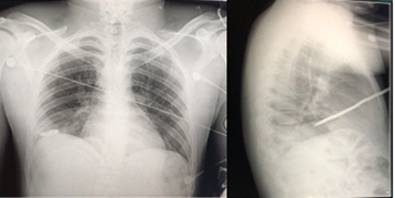
Chest examination revealed the presence of a carcinoma on the anterior aspect of the right hemithorax, mediclavicular line at the level of the 4th intercostal space (Figure 1). An extended FAST was performed, confirming the presence of a right pneumothorax. There was no evidence of free abdominal fluid or cardiopericardial occupation. The radiological pair performed in the emergency room shows an anteroposterior trajectory, from top to bottom with an angle of 30 degrees. The stabbing weapon, 25 cm long, is limited to the right hemithorax and does not appear to contact the right hemidiaphragm (Figure 2).

Figure 1 Stab wound in the right hemithorax.

Figure 2 Radiological pair. Foreign body is evidenced giving an approximation of its trajectory.

With a hemodynamically stable patient, a well-tolerated pneumothorax and the sharp object in the right hemithorax, it was decided to perform videothoracoscopic surgery.

Other therapeutic options were:

  1. Removal of the stabbing weapon in block and placement of pleural drainage acting a posteriori according to the expense.
  2. Emergency thoracotomy and removal of the sharp object.

For VATS, a selective intubation of the left main bronchus was performed by the anesthesia team, corroborating its good positioning with fibrobronchoscopy. The patient was placed in left lateral decubitus with the right arm hanging freely in front of the thorax. The surgeon operates from the ventral side of the patient and the assistants are positioned one in front and the other at the patient's side.  The monitor is positioned in front of the surgeon and on the back of the patient as shown in Figure 3A.

A first 10 mm trocar is placed in the right seventh intercostal space in the mid axillary line. It will be used for the placement of the optic. After the right pulmonary collapse and having made the initial assessment of the stab wound, trajectory and associated lesions, it was decided to place the second and third trocars. In our case, given the middle lobe lesion, it was decided to place two assist trocars: one of 5mm in the 5th intercostal space in the anterior axillary line and another of 10mm in the 6th intercostal space below the angle of the scapula.

It is important to achieve a correct and wide view of the entire thoracic cavity as well as a correct trangulation of the trocars. We did not use positive pressure. We varied the placement of the optics through the 10 mm ports in order to explore the cavity from various angles. Intraoperative findings showed a 200cc hemothorax that was aspirated. The sharp weapon was extracted under thoracoscopic vision showing a lesion in the middle pulmonary lobe (Figure 3B). After removal of the weapon it was decided to perform an atypical resection with endografting of the injured area, inhibiting the bleeding of the parenchyma and performing the respective aerostasis. Chest drainage of 20 Fr is left. 

Figure 3 A) Patient position and trocars, B) Removal of sharp weapon under vision.

At 24 hours the patient presents with controlled pain with an O2 saturation of 99%. The drainage does not ostialize or barbel and presents a serohematic output of 100cc. The control X-ray shows a complete pulmonary re-expansion, without pleural occupation.  Drainage was removed 48 hours after surgery. Discharge on the third day with oral analgesics. 

Discussion

Thoracoscopy in trauma was described by Branco in 1946, for the management of penetrating chest trauma, where hemostasis of the bleeding vessel is described, thus avoiding a thoracotomy.6 Although there are isolated descriptions after this date, the procedure had not become popular among emergency surgeons, mainly due to technical difficulties. However, with the arrival in the 1990s of technological advances (monitor, video camera, laparoscopic instruments) there was a resurgence of this procedure to such an extent that, today, the vast majority of procedures in thoracic surgery are approached by VATS.7-9

The benefits of VATS in elective surgery are now firmly documented. Video thoracoscopic surgery reduces pain, pulmonary complications, prolonged air fistula, arrhythmias, hospital stay and improves postoperative quality of life in patients.9

While most emergency surgeons are familiar with and use thoracotomy to treat thoracic trauma requiring surgery, the video-assisted thoracic approach is gaining increasing popularity. In selected patients, hemodynamically stable and with teams trained in video-assisted thoracic surgery, it can be a valid therapeutic alternative.10-12 A meta-analysis by Wu et al. comparing thoracotomy with VATS in thoracic trauma showed a decrease in bleeding, a shorter duration of pleural drainage and a reduction in the number of days of hospitalization.13

An absolute contraindication is the suspicion of cardiac or great vessels lesion and a relative contraindication is the presence of associated mediastinal lesions, previous thoracic surgery, radiological signs of pleural adhesions or pleurodesis.14,15 Most authors14,15 emphasize that thoracic video surgery allows an accurate anatomolesional diagnosis and at the same time definitive treatment of hemostasis and/or aerostasis, avoiding future possible complications such as retained hemothorax or persistent air fistula.

VATS is proposed for the management of the following situations:

  1. Complete and accurate assessment of the thoracic continent directly visualizing the parietal pleura, mediastinal pleura and diaphragm.
  2. Removal of the sharp weapon under direct vision in penetrating trauma.
  3. Hemostasis of intercostal pedicles and lung parenchyma
  4. Pulmonary aerostasis by suture or atypical resections
  5. Diaphragmatic repairs

These therapeutic maneuvers have been shown to decrease the rate of postoperative complications by avoiding retained hemothorax, prolonged air leakage and empyema.13,14

Conclusion

Video thoracic surgery is a safe procedure in stable patients and with teams trained in the technique. It has the benefits of the mini-invasive approach; it also allows the extraction of the stabbing weapon under direct vision treating ¨in situ¨ the air leak and bleeding. Additionally, it allows complete evacuation of the pleural cavity, thus avoiding future complications such as retained hemothorax and empyema.

Acknowledgments

None.

Conflicts of interest

Authors declare that there is no conflict of interest.

References

  1. Sánchez Gustavo V, Pablo T, Julio M. Epidemiologic profile of severe trauma patients in an acute care hospital. Rev Méd Urug. 2006;22(3):179–184.
  2. González L. Thoracic trauma: characterization of hospitalizations during three decades. Rev Méd Chile. 2018;(2):196–205.
  3. Jain A, Sekusky AL, Burns B. Penetrating Chest Trauma. StatPearls Publishing; 2023.
  4. Ludwig C, Koryllos A. Management of chest trauma. J Thorac Dis. 2017;9(3):S172–S177.
  5. Undurraga F, Rodríguez P, Lazo D. Chest Trauma. Rev Med Clin Condes. 2011;22(5):617–622.
  6. Branco J. Thoracoscopy as a method of exploration in penetrating injuries of the chest. Dis Chest. 1946;12:330–335.
  7. Oschner MG, Rozycki GS, Lucente F, et al. Prospective evaluation of thoracoscopy for diagnosing diaphragmatic injury in thoracoabdominal trauma: a preliminary report. J Trauma. 1993;34(5):704–709.
  8. Mealy K, Murphy M, Broe P. Diagnosis of traumatic rupture of the right hemidiaphragm by thoracoscopy. Br J Surg. 1993;80(2):210–211.
  9. Gutierrez E, Ortiz CA, Gomez J, et al. Current status of video-thoracoscopic surgery. Rev Colomb Cir. 2013;28(3):212–222.
  10. Schönffeldt K. Video-assisted surgery in chest trauma. Rev Argent Cirug. 2018;110(2):106–108.
  11. Jin J, Song B, Lei YC, et al. Video-assisted thoracoscopic surgery for penetrating thoracic trauma. Chin J Traumatol. 2015;18(1):39–40.
  12. Sánchez LR, Lopez FR, Diaz RC. Experience of video-assisted thoracic surgery (VATS) at the Hospital Universitario de Neiva. Revista Facultad de Salud. 2010;2(2):35–41.
  13. Wu N, Wu L, Qiu C, et al. A comparison of video-assisted thoracoscopic surgery with open thoracotomy for the management of chest trauma: a systematic review and meta-analysis. World J Surg. 2015;39(4):940–952.
  14. Ramírez Vázquez, editor. Experiencia clínica inicial en el manejo del trauma torácico en Hospital de Alta Especialidad de Veracruz. Mexico; 2016.
  15. Goodman M, Lewis J, Guitron J, et al. Video-assisted thoracoscopic surgery for acute thoracic trauma. J Emerg Trauma Shock. 2013;6(2):106–109.
Creative Commons Attribution License

©2023 Parada, et al. This is an open access article distributed under the terms of the, which permits unrestricted use, distribution, and build upon your work non-commercially.