Submit manuscript...
Journal of
eISSN: 2574-9943

Dermatology & Cosmetology

Case Report Volume 5 Issue 1

Aneurysmal dermatofibroma: dermatoscopic aspects

Raquel de Melo Carvalho, Thaiana Botarelli, Nilton Rodrigues, Juliana Marques da Costa

Department of dermatology, Hospital Naval Marcílio Dias, Brazil

Correspondence: Raquel de Melo Carvalho, Hospital Naval Marcílio Dias, Rua Cesar Zama, Brazil, Tel +5517997472550

Received: January 22, 2021 | Published: February 24, 2021

Citation: Carvalho RDM, Botarelli T, Rodrigues N, et al. Aneurysmal dermatofibroma: dermatoscopic aspects. J Dermat Cosmetol. 2021;5(1):13-15. DOI: 10.15406/jdc.2021.05.00174

Download PDF

Abstract

Aneurysmal DF is considered a benign tumor of origin in the dermis and represents less than 2% of dermatofibromas,1-5 it etiology is unknown, it is more prevalent in women over 30 years old. Histopathology gives the definitive diagnosis. The DF is generally larger than the classic DF, has an erythematous-brown or violet color, and can be painful if the lesion grows rapidly. With dermoscopy, we can identify any of the patterns already known to classical DF, but what will suggest that it is an aneurysmatic DF are the linear white structures, vascular structures and delicate pigmented network on the periphery.

Case report

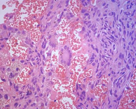
Case 1: A healthy, 25-year-old male patient presented with a hyperchromic, violaceous nodule, measuring an inch and a half, painful and with progressive growth, which had appeared for 3 years and had a positive sign of sunkenness. Dermoscopy identifies a delicate peripheral pigmented network, central wine red area and bright white areas Case 2: the patient was also male, healthy and of similar age, complaining of an arm injury, with progressive increase and starting 2 years ago. On examination, he had a pigmented nodular lesion, measuring 1cm in the right forearm and dermatoscopy showed delicate peripheral pigment network, central erythematous brownish amorphous area and pinkish branched vessels Histopathology of both cases showed acanthotic epidermis and hypercellularity in the center of the lesion, occupying the entire dermis, up to the subcutaneous, forming a fibrohistiocitoid neoplasm, with the presence of giant cells containing brownish pigmentation suggestive of hemosiderin. It also showed cracks without vascular endothelium containing red blood cells in its interior and on the periphery of the lesion, we observed the incarceration of pre-existing collagen fibers, by newly formed collagen.

Discussion and conclusion

The variants of the DFs are: cellular, epithelioid, hemangiopericytoid, atrophic, fibrocollagenous, pseudo-sarcomatosis and aneurysmal.4,5 Aneurysmatic DF is a benign tumor of origin in the dermis and represents less than 2% of DFs.1-5 Its etiology is unknown, although some authors suggest that the onset is triggered by local trauma. It is more prevalent in women over 30 and has a recurrence rate of 19% when excised. Histopathology is essential for the definitive diagnosis, and may show neoformation composed of spindle-starred cells that preclude new fibrillar collagen, acanthosis, elongation of epidermal cones, multinucleated cells and cracks containing red blood cells inside6. In the most doubtful cases, immunohistochemistry can help to differentiate: aneurysmal DF is negative for S100 and HMD45 and CD34.7,8 Clinically, aneurysmal dermatofibroma is generally larger than classic dermatofibroma, has an erythematous-brown or violet color and can be painful if the lesion grows rapidly.8 As a differential clinical diagnosis, Kaposi's sarcoma,7 vascular tumors and melanoma can be highlighted. Dermoscopy can identify white linear structures, vascular structures and a delicate pigmented network on the periphery, so this subtype can have any of the patterns already known to classical DFs, such as pigmented network, white area, vascular structures, homogeneous area, white network, structures globule-like and irregular crypts; but what suggests aneurysmal DF is the central erythematous-wine color.8-12 Therefore, we can conclude that dermoscopy is a helping tool for the dermatologist to differentiate aneurysmal dermatofibroma from its possible differential diagnoses, especially with malignant tumors. (Figure 1-6).

Figure 1&2 Case 1: 1 cm brownish nodule. dermatoscopy: delicate peripheral pigment network, central erythematous brownish amorphous area and branched pinkish vessels.

Figure 3&4 Case 2: 1.5cm brownish nodule. dermatoscopy: delicate peripheral pigment network, central wine red area and bright white areas.

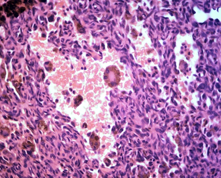
Figure 5&6 fibrohistiocytoid neoplasia, with giant cells containing brownish pigmentation suggestive of hemosiderin, cracks without vascular endothelium, containing red blood cells inside.

Acknowledgements

None.

Conflicts of interest

There are no conflicts of interest.

Funding

None.

References

  1. Zaballos P, Llambrich A, Ara M, et al. Dermoscopic findings of haemosiderotic and aneurysmal dermatofibroma: report of six patients. Br J Dermatol. 2006;154(2):244–250.
  2. Argenziano G, Soyer HP, De Giorgi V, et al. Dermoscopy: A Tutorial. Milan: EDRA Medical Publishing& New Media; 2000;100–157.
  3. Zaballos P, Llambrich A, Ara M, et al. Dermoscopic findings of haemosideroticandaneurysmal dermatofibroma: report of six patients. Br J Dermatol. 2006;154(2):244–250.
  4. Kilinc Karaarslan I, Gencoglan G, Akalin T, et al. Different dermoscopic faces of dermatofibromas. J Am Acad Dermatol. 2007;57(3):401–406.
  5. Puig S, Romero D, Zaballos P, et al. Dermoscopy of dermatofibroma. Arch Dermatol. 2005;141(1):122.
  6. Pegas JR, Santos BA, Tebcherani AJ, et al. Dermatofibromaaneurismático. Surg Cosmet Dermatol. 2010;2:225–227.
  7. Santa Cruz DJ, Kyriakos M. Aneurysmal ("Angiomatoid") fibrous histiocitoma of the skin. Cancer. 1981;47(8):2053–2061.
  8. Morariu SH, Suciu M, Vartolomei MD, et al. Aneurysmal dermatofibroma mimicking both clinical and dermoscopic malignant melanoma and Kaposi’s sarcoma. Rom J Morphol Embryol. 2014;55(3 Suppl):1221–1224.
  9. Ramos–E–Silva M, Campos–Do–Carmo G, Marques–Da–Costa J. FundamentosdeaDermatoscopia. Atlas Dermatológico. 2a edição.
  10. Espasandín–Arias M, Moscarella E, Mota–Buçard A, et al. The dermoscopic variability of dermatofibromas. J Am Acad Dermatol. 2015;72(1 suppl):S22–24.
  11. Pegas JR, Santos BA, Tebcherani AJ, et al. Dermatofibromaaneurismático. Surg Cosmet Dermatol. 2010;2(3):225–227.
  12. Ozdemir F, Kilinc I, Akalin T. Homogeneous blue pigmentation in dermatofibroma. J Eur Acad Dermatol Venereol. 2006;20(6):733–734.
Creative Commons Attribution License

©2021 Carvalho, et al. This is an open access article distributed under the terms of the, which permits unrestricted use, distribution, and build upon your work non-commercially.